JavaScript is disabled in your browser. Please enable JavaScript to view this website.
AB179877

Anti-EB3 (phospho S162) antibody [KT113]

Be the first to review this product! Submit a review

|

(1 Publication)

Mouse Monoclonal EB3 phospho S162 antibody. Suitable for WB and reacts with Human samples. Cited in 1 publication. Immunogen corresponding to Synthetic Peptide within Human MAPRE3 phospho S162.

View Alternative Names

Microtubule-associated protein RP/EB family member 3, EB1 protein family member 3, End-binding protein 3, RP3, EBF3, EB3, MAPRE3

1 Images
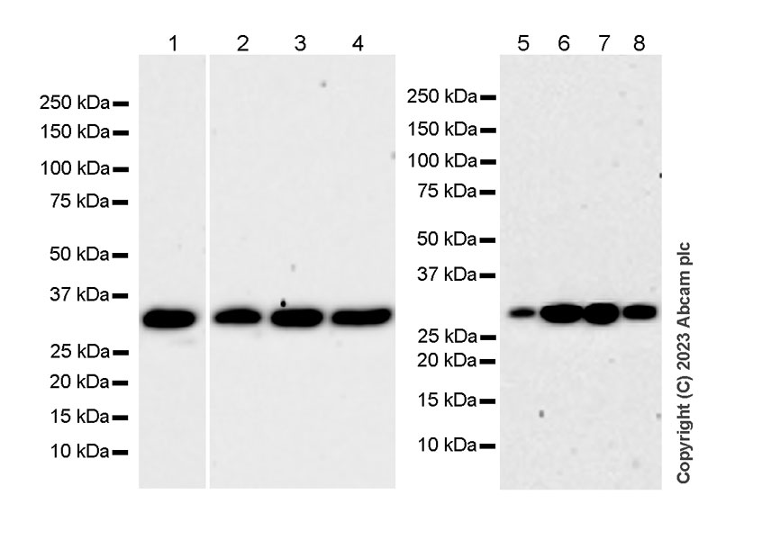
Western blot - Anti-EB3 (phospho S162) antibody [KT113] (AB179877)
  • WB

Supplier Data

Western blot - Anti-EB3 (phospho S162) antibody [KT113] (AB179877)

All lanes:

Western blot - Anti-EB3 (phospho S162) antibody [KT113] (ab179877) at 1/5000 dilution

Lane 1:

HEK cells expressing wild type EB3 (S162 phosphorylated) fused with GFP

Lane 2:

HEK cells expressing non-phosphorylated EB3 fused with GFP

Predicted band size: 31 kDa

false

Key facts

Host species

Mouse

Clonality

Monoclonal

Clone number

KT113

Isotype

IgG1

Carrier free

No

Reacts with

Human

Applications

WB

applications

Immunogen

Synthetic Peptide within Human MAPRE3 phospho S162. The exact immunogen used to generate this antibody is proprietary information.

Q9UPY8

Specificity

ab179877 does not cross-react with EB3 if not phosphorylated at S162.

Reactivity data

{ "title": "Reactivity Data", "filters": { "stats": ["", "Species", "Dilution Info", "Notes"], "tabs": { "all-applications": {"fullname" : "All Applications", "shortname": "All Applications"}, "WB" : {"fullname" : "Western blot", "shortname":"WB"} }, "product-promise": { "all": "all", "testedAndGuaranteed": "tested", "guaranteed": "expected", "predicted": "predicted", "notRecommended": "not-recommended" } }, "values": { "Human": { "WB-species-checked": "testedAndGuaranteed", "WB-species-dilution-info": "1/1000 - 1/20000", "WB-species-notes": "<p></p>" } } }

Properties and storage information

Form
Liquid
Purification technique
Affinity purification Protein A
Purification notes
Purified from culture supernatant.
Storage buffer
Preservative: 0.1% Sodium azide Constituents: PBS
Shipped at conditions
Blue Ice
Appropriate short-term storage duration
1-2 weeks
Appropriate short-term storage conditions
+4°C
Appropriate long-term storage conditions
-20°C
Aliquoting information
Upon delivery aliquot
Storage information
Avoid freeze / thaw cycle

Supplementary information

This supplementary information is collated from multiple sources and compiled automatically.

EB3 also known as End-binding protein 3 is a microtubule-associated protein with a molecular weight of approximately 32 kDa. This protein belongs to the EB family of proteins which includes EB1 and EB2. EB3 facilitates microtubule dynamics by binding to the plus ends of microtubules and playing a role in their stabilization and elongation. Researchers have observed its expression in various tissues with a notable presence in neuronal tissues where it supports complex cellular activities.
Biological function summary

EB3 interacts with other end-binding proteins as part of the plus-end tracking complex often abbreviated as +TIPs. This complex modulates the behavior of microtubules essential for processes like mitosis and cell migration. EB3’s interaction within this complex stabilizes microtubules at the growing edge important for neuronal development and synaptic function. Additionally EB3 helps in intracellular signaling through direct interaction with other microtubule-associated proteins thereby contributing to cellular structural integrity.

Pathways

EB3 plays an integral role in the Wnt signaling pathway and the microtubule polymerization regulation pathway. These pathways are important for normal cell division and signaling. In the Wnt signaling pathway EB3 interacts with proteins like APC essential for the pathway’s downstream signaling events that influence cell polarity and differentiation. Moreover its involvement in the polymerization regulation pathway helps in facilitating effective cargo transport along microtubules.

EB3 has been linked to neurodegenerative diseases such as Alzheimer’s disease and certain types of cancer. Abnormalities in EB3 expression and function can lead to disruptions in microtubule stability contributing to the pathogenesis of these conditions. EB3's connection with tau protein further highlights its role in Alzheimer’s where tau aggregation negatively affects microtubule function. In cancer alterations in EB3 expression influence tumor progression by impacting cell motility and invasiveness with implications for metastasis development.

Product protocols

For this product, it's our understanding that no specific protocols are required. You can visit:

Target data

Plus-end tracking protein (+TIP) that binds to the plus-end of microtubules and regulates the dynamics of the microtubule cytoskeleton (PubMed : 19255245, PubMed : 28814570). Promotes microtubule growth (PubMed : 19255245, PubMed : 28814570). May be involved in spindle function by stabilizing microtubules and anchoring them at centrosomes (PubMed : 19255245, PubMed : 28814570). Also acts as a regulator of minus-end microtubule organization : interacts with the complex formed by AKAP9 and PDE4DIP, leading to recruit CAMSAP2 to the Golgi apparatus, thereby tethering non-centrosomal minus-end microtubules to the Golgi, an important step for polarized cell movement (PubMed : 28814570). Promotes elongation of CAMSAP2-decorated microtubule stretches on the minus-end of microtubules (PubMed : 28814570).
See full target information MAPRE3 phospho S162

Publications (1)

Recent publications for all applications. Explore the full list and refine your search

Journal of gastrointestinal and liver diseases : JGLD 32:346-355 PubMed37774228

2023

The p53 Family of Transcription Factors Represses the Alpha- fetoprotein Gene Expression in Hepatocellular Carcinoma.

Applications

Unspecified application

Species

Unspecified reactive species

Gisela Wölfel,Elisabeth Ostheim,Agnes Staub,Deniz Tümen,Philipp Heumann,Stephan Schmid,Sophie Schlosser,Martina Müller,Karsten Gulow,Claudia Kunst
View all publications

Product promise

We are committed to supporting your work with high-quality reagents, and we're here for you every step of the way. In the unlikely event that one of our products does not perform as expected, you're protected by our Product Promise.
For full details, please see our Terms & Conditions

Please note: All products are 'FOR RESEARCH USE ONLY. NOT FOR USE IN DIAGNOSTIC OR THERAPEUTIC PROCEDURES'.

For licensing inquiries, please contact partnerships@abcam.com