JavaScript is disabled in your browser. Please enable JavaScript to view this website.
AB315451

Anti-EBF1 antibody [EPR27344-49] - BSA and Azide free

Be the first to review this product! Submit a review

|

(0 Publication)

Rabbit Recombinant Monoclonal EBF1 antibody. Carrier free. Suitable for WB, IP and reacts with Human, Mouse, Recombinant fragment - Human, Rat samples.

View Alternative Names

COE1, EBF, EBF1, Transcription factor COE1, O/E-1, OE-1, Early B-cell factor

4 Images
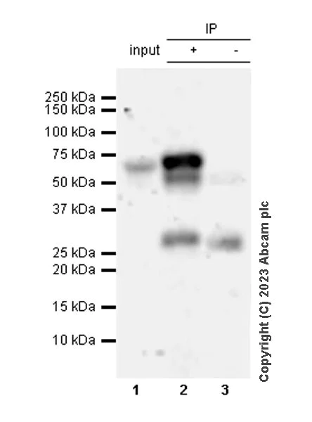
Immunoprecipitation - Anti-EBF1 antibody [EPR27344-49] - BSA and Azide free (AB315451)
  • IP

Supplier Data

Immunoprecipitation - Anti-EBF1 antibody [EPR27344-49] - BSA and Azide free (AB315451)

This data was developed using ab315450, the same antibody clone in a different buffer formulation.

EBF1 was immunoprecipitated from 0.35 mg Raji (human Burkitt's lymphoma B lymphocyte) whole cell lysate with ab315450 at 1/30 dilution (2ug in 0.35mg lysates). Western blot was performed on the immunoprecipitate using ab315450 at 1/1000 dilution. VeriBlot for IP secondary antibody(HRP)(ab131366) was used at 1/5000 dilution.

This blot was developed using a high sensitivity ECL substrate. The high-sensitivity ECL substrate used allows for the detection of proteins in the mid-femtogram range.

Lane 1 : Raji (human Burkitt's lymphoma B lymphocyte) whole cell lysate

Lane 2 : ab315450 IP in Raji (human Burkitt's lymphoma B lymphocyte) whole cell lysate

Lane 3 : Rabbit monoclonal IgG (ab172730) instead of ab315450 in Raji whole cell lysate

All lanes:

Immunoprecipitation - Anti-EBF1 antibody [EPR27344-49] (<a href='/en-us/products/primary-antibodies/ebf1-antibody-epr27344-49-ab315450'>ab315450</a>) at 1/30 dilution

All lanes:

Raji (human Burkitt's lymphoma B lymphocyte) whole cell lysate

Secondary

All lanes:

Immunoprecipitation - VeriBlot for IP Detection Reagent (HRP) (<a href='/en-us/products/reagents/veriblot-for-ip-detection-reagent-hrp-ab131366'>ab131366</a>) at 1/5000 dilution

true

Exposure time: 180s

Western blot - Anti-EBF1 antibody [EPR27344-49] - BSA and Azide free (AB315451)
  • WB

Supplier Data

Western blot - Anti-EBF1 antibody [EPR27344-49] - BSA and Azide free (AB315451)

This data was developed using ab315450, the same antibody clone in a different buffer formulation.

Negative control : Jurkat (PMID : 28968461).

Low expression : Hela.

In Western blot, Anti-GAPDH antibody [EPR16891] - Loading Control (ab181602) staining at 1/200000 dilution.

Blocking and diluting buffer and concentration : 5% NFDM/TBST.

All lanes:

Western blot - Anti-EBF1 antibody [EPR27344-49] (<a href='/en-us/products/primary-antibodies/ebf1-antibody-epr27344-49-ab315450'>ab315450</a>) at 1/1000 dilution

Lane 1:

Raji (human Burkitts lymphoma B lymphocyte) whole cell lysate at 50 µg

Lane 2:

Ramos (human Burkitts lymphoma B lymphocyte) whole cell lysate at 50 µg

Lane 3:

Jurkat (human T cell leukemia T lymphocyte) whole cell lysate at 50 µg

Lane 4:

HeLa (human cervix adenocarcinoma epithelial cell) whole cell lysate at 50 µg

Secondary

All lanes:

Western blot - Goat Anti-Rabbit IgG H&L (HRP) (<a href='/en-us/products/secondary-antibodies/goat-rabbit-igg-h-l-hrp-ab97051'>ab97051</a>) at 1/100000 dilution

Observed band size: 70 kDa,36 kDa

true

Exposure time: 92s

Western blot - Anti-EBF1 antibody [EPR27344-49] - BSA and Azide free (AB315451)
  • WB

Lab

Western blot - Anti-EBF1 antibody [EPR27344-49] - BSA and Azide free (AB315451)

This data was developed using ab315450, the same antibody clone in a different buffer formulation.

Blocking and diluting buffer and concentration : 5% NFDM/TBST.

All lanes:

Western blot - Anti-EBF1 antibody [EPR27344-49] (<a href='/en-us/products/primary-antibodies/ebf1-antibody-epr27344-49-ab315450'>ab315450</a>) at 1/1000 dilution

Lane 1:

2.4G2 (rat B cell lymphoma B lymphocyte) whole cell lysate at 20 µg

Lane 2:

WEHI-231 (mouse B cell lymphoma B lymphocyte) whole cell lysate at 5 %

Secondary

All lanes:

Western blot - Goat Anti-Rabbit IgG H&L (HRP) (<a href='/en-us/products/secondary-antibodies/goat-rabbit-igg-h-l-hrp-ab97051'>ab97051</a>) at 1/20000 dilution

Predicted band size: 70 kDa

Observed band size: 70 kDa

false

Exposure time: 40s

Western blot - Anti-EBF1 antibody [EPR27344-49] - BSA and Azide free (AB315451)
  • WB

Supplier Data

Western blot - Anti-EBF1 antibody [EPR27344-49] - BSA and Azide free (AB315451)

This data was developed using ab315450, the same antibody clone in a different buffer formulation.

This antibody does not cross-react with human EBF2, EBF3, EBF4.

In Western blot, Anti-6X His tag® antibody [EPR20547] - ChIP Grade (ab213204) staining at 1/5000 dilution.

Blocking and diluting buffer and concentration : 5% NFDM/TBST.

All lanes:

Western blot - Anti-EBF1 antibody [EPR27344-49] (<a href='/en-us/products/primary-antibodies/ebf1-antibody-epr27344-49-ab315450'>ab315450</a>) at 1/1000 dilution

Lane 1:

His-tagged human EBF1 recombinant protein at 10 ng

Lane 2:

His-tagged human EBF2 recombinant protein at 10 ng

Lane 3:

His-tagged human EBF3 recombinant protein at 10 ng

Lane 4:

His-tagged human EBF4 fragment at 10 ng

Secondary

All lanes:

Western blot - Goat Anti-Rabbit IgG H&L (HRP) (<a href='/en-us/products/secondary-antibodies/goat-rabbit-igg-h-l-hrp-ab97051'>ab97051</a>) at 1/100000 dilution

Observed band size: 70 kDa

false

Exposure time: 37s

Key facts

Host species

Rabbit

Clonality

Monoclonal

Clone number

EPR27344-49

Isotype

IgG

Carrier free

Yes

Reacts with

Human, Mouse, Rat

Applications

WB, IP

applications

Immunogen

The exact immunogen used to generate this antibody is proprietary information.

Specificity

Not suitable for mouse IP.

This antibody is not suitable for detecting tissue samples in western blot assay due to low sensitivity issue. ab108369 is an alternative for detecting tissue samples

Reactivity data

{ "title": "Reactivity Data", "filters": { "stats": ["", "Species", "Dilution Info", "Notes"], "tabs": { "all-applications": {"fullname" : "All Applications", "shortname": "All Applications"}, "WB" : {"fullname" : "Western blot", "shortname":"WB"}, "IP" : {"fullname" : "Immunoprecipitation", "shortname":"IP"}, "IHCP" : {"fullname" : "Immunohistochemistry (Formalin/PFA-fixed paraffin-embedded sections)", "shortname":"IHC-P"}, "ICCIF" : {"fullname" : "Immunocytochemistry/ Immunofluorescence", "shortname":"ICC/IF"}, "FlowCytIntra" : {"fullname" : "Flow Cytometry (Intracellular)", "shortname":"Flow Cyt (Intra)"}, "ChIPseq" : {"fullname" : "ChIP-sequencing", "shortname":"ChIP-seq"} }, "product-promise": { "all": "all", "testedAndGuaranteed": "tested", "guaranteed": "expected", "predicted": "predicted", "notRecommended": "not-recommended" } }, "values": { "Human": { "WB-species-checked": "testedAndGuaranteed", "WB-species-dilution-info": "", "WB-species-notes": "<p>This antibody is not suitable for detecting tissue samples in western blot assay due to low sensitivity issue. <a href='/en-us/products/primary-antibodies/ebf1-antibody-epr4183-ab108369'>ab108369</a> is an alternative for detecting tissue samples.</p>", "IP-species-checked": "testedAndGuaranteed", "IP-species-dilution-info": "", "IP-species-notes": "<p></p>", "IHCP-species-checked": "notRecommended", "IHCP-species-dilution-info": "", "IHCP-species-notes": "<p></p>", "ICCIF-species-checked": "notRecommended", "ICCIF-species-dilution-info": "", "ICCIF-species-notes": "<p></p>", "FlowCytIntra-species-checked": "notRecommended", "FlowCytIntra-species-dilution-info": "", "FlowCytIntra-species-notes": "<p></p>", "ChIPseq-species-checked": "notRecommended", "ChIPseq-species-dilution-info": "", "ChIPseq-species-notes": "<p></p>" }, "Mouse": { "WB-species-checked": "testedAndGuaranteed", "WB-species-dilution-info": "", "WB-species-notes": "<p>This antibody is not suitable for detecting tissue samples in western blot assay due to low sensitivity issue. <a href='/en-us/products/primary-antibodies/ebf1-antibody-epr4183-ab108369'>ab108369</a> is an alternative for detecting tissue samples.</p>", "IP-species-checked": "notRecommended", "IP-species-dilution-info": "", "IP-species-notes": "<p></p>", "IHCP-species-checked": "notRecommended", "IHCP-species-dilution-info": "", "IHCP-species-notes": "<p></p>", "ICCIF-species-checked": "notRecommended", "ICCIF-species-dilution-info": "", "ICCIF-species-notes": "", "FlowCytIntra-species-checked": "notRecommended", "FlowCytIntra-species-dilution-info": "", "FlowCytIntra-species-notes": "", "ChIPseq-species-checked": "notRecommended", "ChIPseq-species-dilution-info": "", "ChIPseq-species-notes": "" }, "Rat": { "WB-species-checked": "testedAndGuaranteed", "WB-species-dilution-info": "1/1000", "WB-species-notes": "<p>This antibody is not suitable for detecting tissue samples in western blot assay due to low sensitivity issue. <a href='/en-us/products/primary-antibodies/ebf1-antibody-epr4183-ab108369'>ab108369</a> is an alternative for detecting tissue samples.</p>", "IP-species-checked": "guaranteed", "IP-species-dilution-info": "", "IP-species-notes": "", "IHCP-species-checked": "notRecommended", "IHCP-species-dilution-info": "", "IHCP-species-notes": "<p></p>", "ICCIF-species-checked": "notRecommended", "ICCIF-species-dilution-info": "", "ICCIF-species-notes": "", "FlowCytIntra-species-checked": "notRecommended", "FlowCytIntra-species-dilution-info": "", "FlowCytIntra-species-notes": "", "ChIPseq-species-checked": "notRecommended", "ChIPseq-species-dilution-info": "", "ChIPseq-species-notes": "" }, "Recombinant fragment - Human": { "WB-species-checked": "testedAndGuaranteed", "WB-species-dilution-info": "", "WB-species-notes": "<p>This antibody is not suitable for detecting tissue samples in western blot assay due to low sensitivity issue. <a href='/en-us/products/primary-antibodies/ebf1-antibody-epr4183-ab108369'>ab108369</a> is an alternative for detecting tissue samples.</p>", "IP-species-checked": "notRecommended", "IP-species-dilution-info": "", "IP-species-notes": "", "IHCP-species-checked": "notRecommended", "IHCP-species-dilution-info": "", "IHCP-species-notes": "", "ICCIF-species-checked": "notRecommended", "ICCIF-species-dilution-info": "", "ICCIF-species-notes": "", "FlowCytIntra-species-checked": "notRecommended", "FlowCytIntra-species-dilution-info": "", "FlowCytIntra-species-notes": "", "ChIPseq-species-checked": "notRecommended", "ChIPseq-species-dilution-info": "", "ChIPseq-species-notes": "" } } }

Product details

ab315451 is the carrier-free version of ab315450.

Patented technology
Our RabMAb® technology is a patented hybridoma-based technology for making rabbit monoclonal antibodies. For details on our patents, please refer to RabMAb® patents.

What are the advantages of a recombinant monoclonal antibody?
This product is a recombinant monoclonal antibody, which offers several advantages including:

  • - High batch-to-batch consistency and reproducibility
  • - Improved sensitivity and specificity
  • - Long-term security of supply
  • - Animal-free batch production

For more information, read more on recombinant antibodies.

Conjugation ready
Our carrier-free antibodies are typically supplied in a PBS-only formulation, purified and free of BSA, sodium azide and glycerol. This conjugation-ready format is designed for use with fluorochromes, metal isotopes, oligonucleotides, and enzymes, which makes them ideal for antibody labelling, functional and cell-based assays, flow-based assays (e.g. mass cytometry) and Multiplex Imaging applications.

Use our conjugation kits for antibody conjugates that are ready-to-use in as little as 20 minutes with 1 minute hands-on-time and 100% antibody recovery: available for fluorescent dyes, HRP, biotin and gold.

Compatibility
This product is compatible with the Maxpar® Antibody Labeling Kit from Fluidigm, without the need for antibody preparation. Maxpar® is a trademark of Fluidigm Canada Inc.

Properties and storage information

Form
Liquid
Purification technique
Affinity purification Protein A
Storage buffer
pH: 7.2 - 7.4 Constituents: PBS
Shipped at conditions
Blue Ice
Appropriate short-term storage conditions
+4°C
Appropriate long-term storage conditions
+4°C

Supplementary information

This supplementary information is collated from multiple sources and compiled automatically.

EBF1 also known as Early B-cell Factor 1 is a transcription factor with a molecular mass of approximately 65 kDa. This protein plays a critical role in the development and differentiation of B-cells. EBF1 is expressed mainly in developing B-cells as well as some neurons indicating its role in the immune and nervous systems. The protein contains a helix-loop-helix motif which helps it bind to DNA and modulate gene expression.
Biological function summary

Early B-cell Factor 1 serves as a major regulator during B-cell development. It contributes to the transcriptional network essential for the maturation of progenitor cells into fully functional B-cells. Although not typically found in a larger complex EBF1 interacts with other transcription factors to ensure proper lineage differentiation and function. Its activity influences the expression of various genes important for immune response.

Pathways

Early B-cell Factor 1 connects deeply with the B-cell receptor signaling pathway which is essential for B-cell survival and proliferation. EBF1 often interacts through this pathway with proteins like PAX5 which also plays an important role in B-cell lineage commitment. Additionally EBF1 can interact with the Notch signaling pathway which affects cellular differentiation processes during development.

Dysregulation of Early B-cell Factor 1 activity often associates with immunological diseases such as acute lymphoblastic leukemia (ALL) and B-cell lymphomas. Aberrant expression levels or mutations in EBF1 can disrupt normal B-cell functioning and lead to such malignancies. EBF1 is linked intricately with proteins like TCF3 where aberrations in both can lead to leukemic conditions emphasizing its role in maintaining cellular signaling balance in immune-related disorders.

Product protocols

For this product, it's our understanding that no specific protocols are required. You can visit:

Target data

Key pioneer transcription factor of B-cell specification and commitment (PubMed : 27807034). Recognizes variations of the palindromic sequence 5'-ATTCCCNNGGGAATT-3'. Operates in a transcription factor network to activate B-cell-specific genes and repress genes associated with alternative cell fates. For instance, positively regulates many B-cell specific genes including BCR or CD40 while repressing genes that direct cells into alternative lineages, including GATA3 and TCF7 for the T-cell lineage. In addition to its role during lymphopoiesis, controls the thermogenic gene program in adipocytes during development and in response to environmental cold (By similarity).. (Microbial infection) Acts as a chromatin anchor for Epstein-Barr virus EBNA2 to mediate the assembly of EBNA2 chromatin complexes in B-cells (PubMed : 28968461). In addition, binds to the viral LMP1 proximal promoter and promotes its expression during latency (PubMed : 26819314).
See full target information EBF1

Additional targets

Ebf1,Ebf1

Product promise

We are committed to supporting your work with high-quality reagents, and we're here for you every step of the way. In the unlikely event that one of our products does not perform as expected, you're protected by our Product Promise.
For full details, please see our Terms & Conditions

Please note: All products are 'FOR RESEARCH USE ONLY. NOT FOR USE IN DIAGNOSTIC OR THERAPEUTIC PROCEDURES'.

For licensing inquiries, please contact partnerships@abcam.com