JavaScript is disabled in your browser. Please enable JavaScript to view this website.
AB307195

Anti-EBI3 antibody [EPR25341-155]

  • BOND RX™ Validated
  • 20ul selling size
  • RabMAb
  • Recombinant
  • What is this?

Be the first to review this product! Submit a review

|

(0 Publication)

Rabbit Recombinant Monoclonal EBI3 antibody. Suitable for ICC/IF, IHC-P, WB and reacts with Human samples.

View Alternative Names

IL27B, EBI3, Interleukin-27 subunit beta, IL-27 subunit beta, IL-27B, Epstein-Barr virus-induced gene 3 protein, EBV-induced gene 3 protein

5 Images
Immunohistochemistry (Formalin/PFA-fixed paraffin-embedded sections) - Anti-EBI3 antibody [EPR25341-155] (AB307195)
  • IHC-P

Supplier Data

Immunohistochemistry (Formalin/PFA-fixed paraffin-embedded sections) - Anti-EBI3 antibody [EPR25341-155] (AB307195)

Immunohistochemical analysis of paraffin-embedded Human placenta tissue lABeling EBI3 with ab307195 at 1/2000 (0.26 ug/ml) followed by a ready to use LeicaDS9800 (Bond? Polymer Refine Detection) was used. Positive staining on human placenta (PMID : ?11696437). The section was incubated with ab307195 for 30 mins at room temperature.The immunostaining was performed on a Leica Biosystems BOND? RX instrument Counterstained with Hematoxylin. Secondary antibody only control : Secondary antibody is a ready to use LeicaDS9800 (Bond? Polymer Refine Detection) was used. Heat mediated antigen retrieval was performed with Tris-EDTA buffer (pH 9.0, Epitope Retrieval Solution2) for 20 mins

Immunohistochemistry (Formalin/PFA-fixed paraffin-embedded sections) - Anti-EBI3 antibody [EPR25341-155] (AB307195)
  • IHC-P

Supplier Data

Immunohistochemistry (Formalin/PFA-fixed paraffin-embedded sections) - Anti-EBI3 antibody [EPR25341-155] (AB307195)

Immunohistochemical analysis of paraffin-embedded Human cardiac muscle tissue lABeling EBI3 with ab307195 at 1/2000 (0.26 ug/ml) followed by a ready to use LeicaDS9800 (Bond? Polymer Refine Detection) was used. Negative control : No staining on human cardiac muscle. The section was incubated with ab307195 for 30 mins at room temperature.The immunostaining was performed on a Leica Biosystems BOND? RX instrument Counterstained with Hematoxylin. Secondary antibody only control : Secondary antibody is a ready to use LeicaDS9800 (Bond? Polymer Refine Detection) was used. Heat mediated antigen retrieval was performed with Tris-EDTA buffer (pH 9.0, Epitope Retrieval Solution2) for 20 mins

Immunocytochemistry/ Immunofluorescence - Anti-EBI3 antibody [EPR25341-155] (AB307195)
  • ICC/IF

Supplier Data

Immunocytochemistry/ Immunofluorescence - Anti-EBI3 antibody [EPR25341-155] (AB307195)

Immunofluorescent analysis of 80% Methanol-fixed, 0.1% TritonX-100 permeABilized HDLM-2 (human Hodgkin lymphoma cell) cells lABelling EBI3 with ab307195 at 1/50 (10.38 ug/ml) dilution, followed by ab150081 Goat Anti-RABbit IgG H&L (Alexa Fluor? 488) preadsorbed antibody at 1/1000 2 ug/ml dilution (Green). Confocal image showing cytoplasmic staining in HDLM-2 cell line. Negative control : Jurkat (PMID : 15793300)Image was taken with a confocal microscope(Leica-Microsystems, TCS SP8). is observed. ab195889 Anti-alpha Tubulin mouse monoclonal antibody - Microtubule Marker (Alexa Fluor? 594) was used to counterstain tubulin at 1/200 2.5ug/ml dilution (Red). The Nuclear counterstain was DAPI (Blue). Secondary antibody only control : Secondary antibody is ab150081 Goat Anti-RABbit IgG H&L (Alexa Fluor? 488) preadsorbed at 1/1000 2 ug/ml dilution.

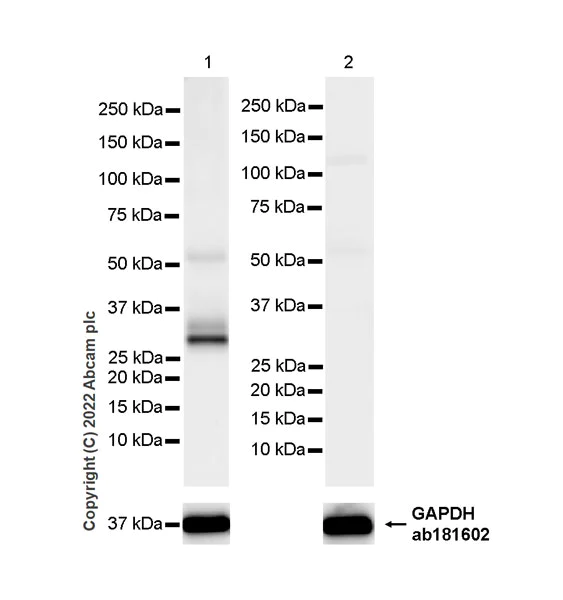
Western blot - Anti-EBI3 antibody [EPR25341-155] (AB307195)
  • WB

Supplier Data

Western blot - Anti-EBI3 antibody [EPR25341-155] (AB307195)

Blocking and diluting buffer and concentration : 5% NFDM/TBSTNegative control : human heart (PMID : 8551575). The expression profile/ molecular weight observed is consistent with what has been described in the literature (PMID : 8551575). The identity of the higher MW band at approximately 50 kDa (in lane 1) is unknown. Exposure time : 26 seconds

All lanes:

Western blot - Anti-EBI3 antibody [EPR25341-155] (ab307195) at 1/1000 dilution

Lane 1:

Human placenta tissue lysate 20 μg

Lane 2:

Human heart tissue lysate 20 μg

Secondary

All lanes:

Western blot - Goat Anti-Rabbit IgG H&L (HRP) (<a href='/en-us/products/secondary-antibodies/goat-rabbit-igg-h-l-hrp-ab97051'>ab97051</a>) at 1/100000 dilution

Observed band size: 27 kDa,34 kDa

false

Exposure time: 26s

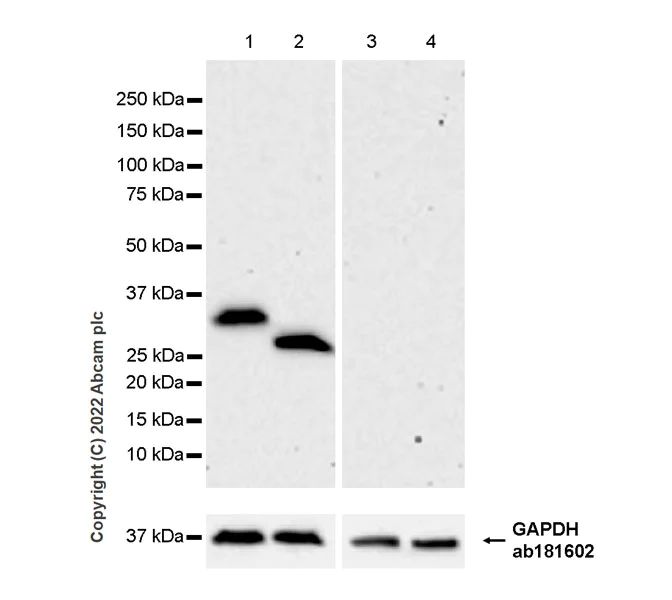
Western blot - Anti-EBI3 antibody [EPR25341-155] (AB307195)
  • WB

Supplier Data

Western blot - Anti-EBI3 antibody [EPR25341-155] (AB307195)

Blocking and diluting buffer and concentration : 5% NFDM/TBST.

Negative control : Jurkat (PMID : 11696437), MOLT-4 (PMID : 11696437).

EBI3 is a glycoprotein of approximately 34 kDa and detected as a 27 kDa band after treated with Protein Deglycosylation MIX II.

This blot was developed using a high sensitivity ECL substrate. The high-sensitivity ECL substrate used allows for the detection of proteins in the mid-femtogram range.

All lanes:

Western blot - Anti-EBI3 antibody [EPR25341-155] (ab307195) at 1/1000 dilution

Lane 1:

Untreated HDLM-2 (human Hodgkin lymphoma) whole cell lysate 20 μg

Lane 2:

HDLM-2 whole cell lysate treated with Protein Deglycosylation Mix II 20 μg

Lane 3:

Jurkat (human T cell leukemia T lymphocyte) whole cell lysate 20 μg

Lane 4:

MOLT-4 (human lymphoblastic leukemia T lymphoblast) whole cell lysate 20 μg

Secondary

All lanes:

Western blot - Goat Anti-Rabbit IgG H&L (HRP) (<a href='/en-us/products/secondary-antibodies/goat-rabbit-igg-h-l-hrp-ab97051'>ab97051</a>) at 1/100000 dilution

Observed band size: 27 kDa,34 kDa

true

Exposure time: 180s

Key facts

Host species

Rabbit

Clonality

Monoclonal

Clone number

EPR25341-155

Isotype

IgG

Carrier free

No

Reacts with

Human

Applications

WB, ICC/IF, IHC-P

applications

Immunogen

The exact immunogen used to generate this antibody is proprietary information.

Reactivity data

{ "title": "Reactivity Data", "filters": { "stats": ["", "Species", "Dilution Info", "Notes"], "tabs": { "all-applications": {"fullname" : "All Applications", "shortname": "All Applications"}, "FlowCytIntra" : {"fullname" : "Flow Cytometry (Intracellular)", "shortname":"Flow Cyt (Intra)"}, "ICCIF" : {"fullname" : "Immunocytochemistry/ Immunofluorescence", "shortname":"ICC/IF"}, "IHCP" : {"fullname" : "Immunohistochemistry (Formalin/PFA-fixed paraffin-embedded sections)", "shortname":"IHC-P"}, "WB" : {"fullname" : "Western blot", "shortname":"WB"} }, "product-promise": { "all": "all", "testedAndGuaranteed": "tested", "guaranteed": "expected", "predicted": "predicted", "notRecommended": "not-recommended" } }, "values": { "Human": { "FlowCytIntra-species-checked": "notRecommended", "FlowCytIntra-species-dilution-info": "", "FlowCytIntra-species-notes": "<p></p>", "ICCIF-species-checked": "testedAndGuaranteed", "ICCIF-species-dilution-info": "1/50", "ICCIF-species-notes": "<p></p>", "IHCP-species-checked": "testedAndGuaranteed", "IHCP-species-dilution-info": "1/2000", "IHCP-species-notes": "<p></p>", "WB-species-checked": "testedAndGuaranteed", "WB-species-dilution-info": "1/1000", "WB-species-notes": "<p></p>" }, "Mouse": { "FlowCytIntra-species-checked": "notRecommended", "FlowCytIntra-species-dilution-info": "", "FlowCytIntra-species-notes": "<p></p>", "ICCIF-species-checked": "notRecommended", "ICCIF-species-dilution-info": "", "ICCIF-species-notes": "", "IHCP-species-checked": "notRecommended", "IHCP-species-dilution-info": "1/2000", "IHCP-species-notes": "<p></p>", "WB-species-checked": "notRecommended", "WB-species-dilution-info": "1/1000", "WB-species-notes": "<p></p>" }, "Rat": { "FlowCytIntra-species-checked": "notRecommended", "FlowCytIntra-species-dilution-info": "", "FlowCytIntra-species-notes": "", "ICCIF-species-checked": "notRecommended", "ICCIF-species-dilution-info": "", "ICCIF-species-notes": "", "IHCP-species-checked": "notRecommended", "IHCP-species-dilution-info": "1/2000", "IHCP-species-notes": "<p></p>", "WB-species-checked": "notRecommended", "WB-species-dilution-info": "1/1000", "WB-species-notes": "<p></p>" } } }

Product details

Patented technology
Our RabMAb® technology is a patented hybridoma-based technology for making rabbit monoclonal antibodies. For details on our patents, please refer to RabMAb® patents.

What are the advantages of a recombinant monoclonal antibody?
This product is a recombinant monoclonal antibody, which offers several advantages including:

  • - High batch-to-batch consistency and reproducibility
  • - Improved sensitivity and specificity
  • - Long-term security of supply
  • - Animal-free batch production

For more information, read more on recombinant antibodies.

Properties and storage information

Form
Liquid
Purification technique
Affinity purification Protein A
Storage buffer
pH: 7.2 - 7.4 Preservative: 0.01% Sodium azide Constituents: PBS, 40% Glycerol (glycerin, glycerine), 0.05% BSA
Shipped at conditions
Blue Ice
Appropriate short-term storage duration
1-2 weeks
Appropriate short-term storage conditions
+4°C
Appropriate long-term storage conditions
-20°C
Aliquoting information
Upon delivery aliquot
Storage information
Avoid freeze / thaw cycle

Supplementary information

This supplementary information is collated from multiple sources and compiled automatically.

EBI3 also known as Epstein-Barr virus induced 3 is a cytokine receptor protein with a molecular mass of approximately 34 kDa. This protein plays an important role in the immune system and is widely expressed in various tissues including spleen thymus and peripheral blood leukocytes. EBI3 is often found in cells involved in immune response such as macrophages and dendritic cells. It acts through the formation of heterodimers partnering with other proteins to exert its influence.
Biological function summary

EBI3 serves a function as a component of the cytokine complex. It pairs with other interleukin proteins forming essential heterodimers like IL-27 in which it combines with the cytokine p28. This complex is involved in modulating the immune response including the suppression and activation of T-cells. Through its binding actions EBI3 influences the regulation of immune responses aiding in controlling inflammation and maintaining immune system balance.

Pathways

EBI3 plays a critical role within the IL-27 signaling pathway. These pathways include the JAK/STAT signaling which is pivotal for mediating the immune response and influencing cell proliferation differentiation and apoptosis. EBI3 as part of the IL-27 complex interacts significantly with cytokines like IL-6 influencing the signal transduction pathways that are essential in immune cell communication and function.

EBI3 has associations with autoimmune diseases such as multiple sclerosis due to its role in regulating immune responses. Aberrant expression or function of EBI3 can contribute to the pathogenesis of chronic inflammatory diseases. It also holds potential links to cancer particularly in the modulation and development of tumor-induced immune evasion. In these disease contexts related proteins like p28 within the IL-27 complex interact with EBI3 affecting disease outcomes through their cooperative roles in immune modulation.

Product protocols

For this product, it's our understanding that no specific protocols are required. You can visit:

Target data

Associates with IL27 to form the IL-27 interleukin, a heterodimeric cytokine which functions in innate immunity. IL-27 has pro- and anti-inflammatory properties, that can regulate T-helper cell development, suppress T-cell proliferation, stimulate cytotoxic T-cell activity, induce isotype switching in B-cells, and that has diverse effects on innate immune cells. Among its target cells are CD4 T-helper cells which can differentiate in type 1 effector cells (TH1), type 2 effector cells (TH2) and IL17 producing helper T-cells (TH17). It drives rapid clonal expansion of naive but not memory CD4 T-cells. It also strongly synergizes with IL-12 to trigger interferon-gamma/IFN-gamma production of naive CD4 T-cells, binds to the cytokine receptor WSX-1/TCCR. Another important role of IL-27 is its antitumor activity as well as its antiangiogenic activity with activation of production of antiangiogenic chemokines.
See full target information EBI3

Product promise

We are committed to supporting your work with high-quality reagents, and we're here for you every step of the way. In the unlikely event that one of our products does not perform as expected, you're protected by our Product Promise.
For full details, please see our Terms & Conditions

Please note: All products are 'FOR RESEARCH USE ONLY. NOT FOR USE IN DIAGNOSTIC OR THERAPEUTIC PROCEDURES'.

For licensing inquiries, please contact partnerships@abcam.com