JavaScript is disabled in your browser. Please enable JavaScript to view this website.
AB319169

Anti-EBI3 antibody [RM2064] - BSA and Azide free

Be the first to review this product! Submit a review

|

(0 Publication)

Rabbit Recombinant Multiclonal EBI3 antibody. Carrier free. Suitable for IHC-P, WB, IP and reacts with Human, Mouse samples.

View Alternative Names

Il27b, Ebi3, Interleukin-27 subunit beta, IL-27 subunit beta, IL-27B, Epstein-Barr virus-induced gene 3 protein homolog

7 Images
Immunohistochemistry (Formalin/PFA-fixed paraffin-embedded sections) - Anti-EBI3 antibody [RM2064] - BSA and Azide free (AB319169)
  • IHC-P

Supplier Data

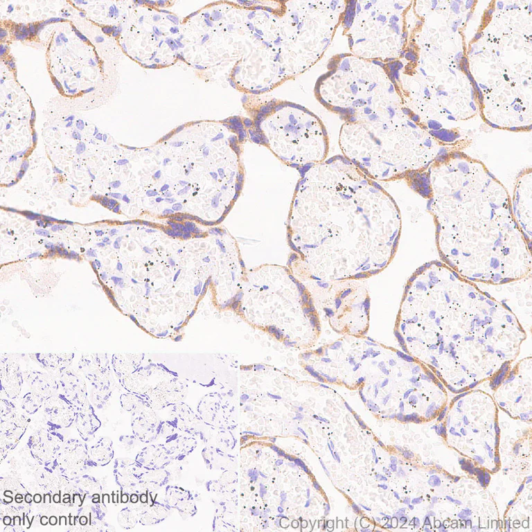
Immunohistochemistry (Formalin/PFA-fixed paraffin-embedded sections) - Anti-EBI3 antibody [RM2064] - BSA and Azide free (AB319169)

This data was developed using ab319168, the same antibody clone in a different buffer formulation.

Immunohistochemical analysis of paraffin-embedded Human placenta tissue labeling EBI3 with ab319168 at 1/500 (0.978 ug/ml) dilution, followed by a ready to use LeicaDS9800 (Bond™ Polymer Refine Detection).

Positive staining on human placenta (PMID : 8551575).
The section was incubated with ab319168 for 30 mins at room temperature.
The immunostaining was performed on a Leica Biosystems BOND® RX instrument

Counterstained with Hematoxylin.

MSD279 antibody only control : Secondary antibody is a ready to use LeicaDS9800 (Bond™ Polymer Refine Detection).

Heat mediated antigen retrieval was performed with Tris-EDTA buffer (pH 9.0, Epitope Retrieval Solution2) for 20 mins

Immunohistochemistry (Formalin/PFA-fixed paraffin-embedded sections) - Anti-EBI3 antibody [RM2064] - BSA and Azide free (AB319169)
  • IHC-P

Supplier Data

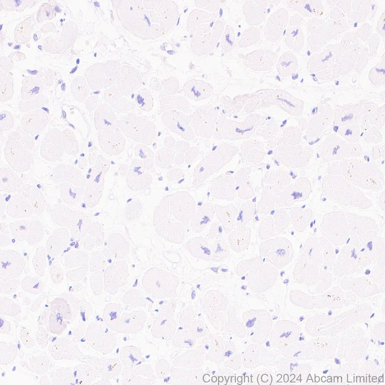
Immunohistochemistry (Formalin/PFA-fixed paraffin-embedded sections) - Anti-EBI3 antibody [RM2064] - BSA and Azide free (AB319169)

This data was developed using ab319168, the same antibody clone in a different buffer formulation.

Immunohistochemical analysis of paraffin-embedded Human skeletal muscle tissue labeling EBI3 with ab319168 at 1/500 (0.978 ug/ml) dilution, followed by a ready to use LeicaDS9800 (Bond™ Polymer Refine Detection).

MSD2027 : No staining on human skeletal muscle.
The section was incubated with ab319168 for 30 mins at room temperature.
The immunostaining was performed on a Leica Biosystems BOND® RX instrument

Counterstained with Hematoxylin.

MSD279 antibody only control : Secondary antibody is a ready to use LeicaDS9800 (Bond™ Polymer Refine Detection).

Heat mediated antigen retrieval was performed with Tris-EDTA buffer (pH 9.0, Epitope Retrieval Solution2) for 20 mins

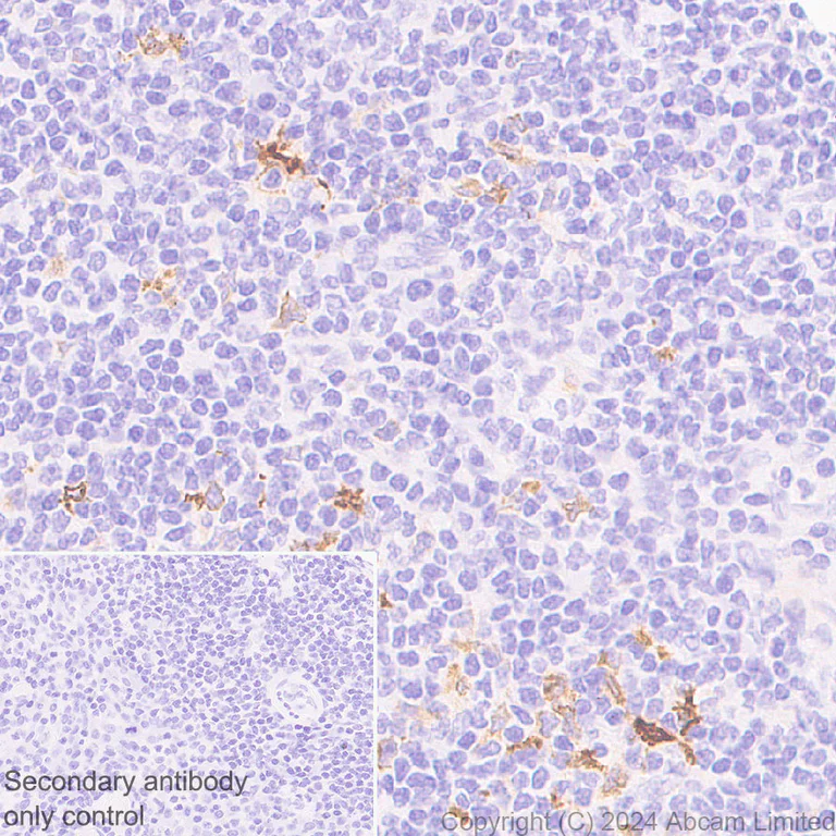
Immunohistochemistry (Formalin/PFA-fixed paraffin-embedded sections) - Anti-EBI3 antibody [RM2064] - BSA and Azide free (AB319169)
  • IHC-P

Supplier Data

Immunohistochemistry (Formalin/PFA-fixed paraffin-embedded sections) - Anti-EBI3 antibody [RM2064] - BSA and Azide free (AB319169)

This data was developed using ab319168, the same antibody clone in a different buffer formulation.

Immunohistochemical analysis of paraffin-embedded Human tonsil tissue labeling EBI3 with ab319168 at 1/500 (0.978 ug/ml) dilution, followed by a ready to use LeicaDS9800 (Bond™ Polymer Refine Detection).

Positive staining on human tonsil (PMID : 8551575).
The section was incubated with ab319168 for 30 mins at room temperature.
The immunostaining was performed on a Leica Biosystems BOND® RX instrument

Counterstained with Hematoxylin.

MSD279 antibody only control : Secondary antibody is a ready to use LeicaDS9800 (Bond™ Polymer Refine Detection).

Heat mediated antigen retrieval was performed with Tris-EDTA buffer (pH 9.0, Epitope Retrieval Solution2) for 20 mins

Immunoprecipitation - Anti-EBI3 antibody [RM2064] - BSA and Azide free (AB319169)
  • IP

Supplier Data

Immunoprecipitation - Anti-EBI3 antibody [RM2064] - BSA and Azide free (AB319169)

This data was developed using ab319168, the same antibody clone in a different buffer formulation.

EBI3 was immunoprecipitated from 0.35 mg HDLM-2 (human Hodgkin lymphoma) whole cell lysate with ab319168 at 1/30 dilution (2ug in 0.35mg lysates). Western blot was performed on the immunoprecipitate using ab319168 at 1/1000 dilution. VeriBlot for IP secondary antibody(HRP)(ab131366) was used at 1/5000 dilution.

Lane 1 : HDLM-2 (human Hodgkin lymphoma) whole cell lysate
Lane 2 : ab319168 IP in HDLM-2 (human Hodgkin lymphoma) whole cell lysate
Lane 3 : Rabbit monoclonal IgG (ab172730) instead of ab319168 in HDLM-2 whole cell lysate

Blocking and dilution buffer and concentration : 5% NFDM/TBST

All lanes:

Immunoprecipitation - Anti-EBI3 antibody [RM2064] (<a href='/en-us/products/primary-antibodies/ebi3-antibody-rm2064-ab319168'>ab319168</a>) at 1/30 dilution

All lanes:

HDLM-2 (human Hodgkin lymphoma) whole cell lysate

Secondary

All lanes:

Immunoprecipitation - VeriBlot for IP Detection Reagent (HRP) (<a href='/en-us/products/reagents/veriblot-for-ip-detection-reagent-hrp-ab131366'>ab131366</a>) at 1/5000 dilution

false

Exposure time: 180s

Western blot - Anti-EBI3 antibody [RM2064] - BSA and Azide free (AB319169)
  • WB

Supplier Data

Western blot - Anti-EBI3 antibody [RM2064] - BSA and Azide free (AB319169)

Negative control : Jurkat and MOLT-4 (PMID : 11696437), skeletal muscle(PMID : 21849417)

EBI3 is a glycoprotein of approximately 34 kDa and detected as a 27 kDa band after treated with Protein Deglycosylation MIX II(PMID : 8551575).

In Western blot, Anti-GAPDH antibody [EPR16891] - Loading Control (ab181602) staining at 1/200000 dilution.

Blocking and dilution buffer and concentration : 5% NFDM/TBST

All lanes:

Western blot - Anti-EBI3 antibody [RM2064] (<a href='/en-us/products/primary-antibodies/ebi3-antibody-rm2064-ab319168'>ab319168</a>) at 1/1000 dilution

Lane 1:

Untreated HDLM-2 (human Hodgkin lymphoma) whole cell lysate at 20 µg

Lane 2:

HDLM-2 whole cell lysate treated with Protein Deglycosylation Mix II at 20 µg

Lane 3:

Jurkat (human T cell leukemia T lymphocyte) whole cell lysate at 20 µg

Lane 4:

MOLT-4 (human lymphoblastic leukemia T lymphoblast) whole cell lysate at 20 µg

Lane 5:

Human placenta tissue lysate at 20 µg

Lane 6:

Human skeletal muscle tissue lysate at 20 µg

Secondary

All lanes:

Western blot - Goat Anti-Rabbit IgG H&L (HRP) (<a href='/en-us/products/secondary-antibodies/goat-rabbit-igg-h-l-hrp-ab97051'>ab97051</a>) at 1/100000 dilution

Observed band size: 27 kDa,34 kDa,36 kDa

false

Exposure time: 180s

Western blot - Anti-EBI3 antibody [RM2064] - BSA and Azide free (AB319169)
  • WB

Supplier Data

Western blot - Anti-EBI3 antibody [RM2064] - BSA and Azide free (AB319169)

The up-regulation of EBI3 is induced by LPS treatment (PMID : 15728491).

The band nearby 75 kDa could be non-specific band.

In Western blot, Anti-GAPDH antibody [EPR16891] - Loading Control (ab181602) staining at 1/200000 dilution.

Blocking and dilution buffer and concentration : 5% NFDM/TBST

All lanes:

Western blot - Anti-EBI3 antibody [RM2064] (<a href='/en-us/products/primary-antibodies/ebi3-antibody-rm2064-ab319168'>ab319168</a>) at 1/1000 dilution

Lane 1:

Untreated RAW 264.7 (mouse abelson murine leukemia virus-induced tumor macrophage) whole cell lysate at 20 µg

Lane 2:

RAW 264.7 treated with /ml LPS for 4 hours, 1/ml BFA was then added for additional 3 hours, whole cell lysate at 20 µg

Secondary

All lanes:

Western blot - Goat Anti-Rabbit IgG H&L (HRP) (<a href='/en-us/products/secondary-antibodies/goat-rabbit-igg-h-l-hrp-ab97051'>ab97051</a>) at 1/20000 dilution

Observed band size: 34 kDa,36 kDa

false

Exposure time: 180s

Immunohistochemistry (Formalin/PFA-fixed paraffin-embedded sections) - Anti-EBI3 antibody [RM2064] - BSA and Azide free (AB319169)
  • IHC-P

Supplier Data

Immunohistochemistry (Formalin/PFA-fixed paraffin-embedded sections) - Anti-EBI3 antibody [RM2064] - BSA and Azide free (AB319169)

This data was developed using ab319168, the same antibody clone in a different buffer formulation.

Immunohistochemical analysis of paraffin-embedded Human cardiac muscle tissue labeling EBI3 with ab319168 at 1/500 (0.978 ug/ml) dilution, followed by a ready to use LeicaDS9800 (Bond™ Polymer Refine Detection).

MSD2027 : No staining on human cardiac muscle.
The section was incubated with ab319168 for 30 mins at room temperature.
The immunostaining was performed on a Leica Biosystems BOND® RX instrument

Counterstained with Hematoxylin.

MSD279 antibody only control : Secondary antibody is a ready to use LeicaDS9800 (Bond™ Polymer Refine Detection).

Heat mediated antigen retrieval was performed with Tris-EDTA buffer (pH 9.0, Epitope Retrieval Solution2) for 20 mins

Key facts

Host species

Rabbit

Clonality

Multiclonal

Clone number

RM2064

Isotype

IgG

Carrier free

Yes

Reacts with

Human, Mouse

Applications

WB, IHC-P, IP

applications

Immunogen

The exact immunogen used to generate this antibody is proprietary information.

Specificity

Unsuitable for Mouse IP and IHC-P.

Reactivity data

{ "title": "Reactivity Data", "filters": { "stats": ["", "Species", "Dilution Info", "Notes"], "tabs": { "all-applications": {"fullname" : "All Applications", "shortname": "All Applications"}, "IHCP" : {"fullname" : "Immunohistochemistry (Formalin/PFA-fixed paraffin-embedded sections)", "shortname":"IHC-P"}, "WB" : {"fullname" : "Western blot", "shortname":"WB"}, "IP" : {"fullname" : "Immunoprecipitation", "shortname":"IP"}, "FlowCytIntra" : {"fullname" : "Flow Cytometry (Intracellular)", "shortname":"Flow Cyt (Intra)"}, "ICCIF" : {"fullname" : "Immunocytochemistry/ Immunofluorescence", "shortname":"ICC/IF"} }, "product-promise": { "all": "all", "testedAndGuaranteed": "tested", "guaranteed": "expected", "predicted": "predicted", "notRecommended": "not-recommended" } }, "values": { "Human": { "IHCP-species-checked": "testedAndGuaranteed", "IHCP-species-dilution-info": "", "IHCP-species-notes": "<p></p>", "WB-species-checked": "testedAndGuaranteed", "WB-species-dilution-info": "", "WB-species-notes": "<p></p>", "IP-species-checked": "testedAndGuaranteed", "IP-species-dilution-info": "", "IP-species-notes": "<p></p>", "FlowCytIntra-species-checked": "notRecommended", "FlowCytIntra-species-dilution-info": "", "FlowCytIntra-species-notes": "<p></p>", "ICCIF-species-checked": "notRecommended", "ICCIF-species-dilution-info": "", "ICCIF-species-notes": "<p></p>" }, "Mouse": { "IHCP-species-checked": "notRecommended", "IHCP-species-dilution-info": "", "IHCP-species-notes": "<p></p>", "WB-species-checked": "testedAndGuaranteed", "WB-species-dilution-info": "", "WB-species-notes": "<p></p>", "IP-species-checked": "notRecommended", "IP-species-dilution-info": "", "IP-species-notes": "<p></p>", "FlowCytIntra-species-checked": "notRecommended", "FlowCytIntra-species-dilution-info": "", "FlowCytIntra-species-notes": "<p></p>", "ICCIF-species-checked": "notRecommended", "ICCIF-species-dilution-info": "", "ICCIF-species-notes": "<p></p>" }, "Rat": { "IHCP-species-checked": "notRecommended", "IHCP-species-dilution-info": "", "IHCP-species-notes": "<p></p>", "WB-species-checked": "notRecommended", "WB-species-dilution-info": "", "WB-species-notes": "<p></p>", "IP-species-checked": "notRecommended", "IP-species-dilution-info": "", "IP-species-notes": "", "FlowCytIntra-species-checked": "notRecommended", "FlowCytIntra-species-dilution-info": "", "FlowCytIntra-species-notes": "", "ICCIF-species-checked": "notRecommended", "ICCIF-species-dilution-info": "", "ICCIF-species-notes": "" } } }

Product details

ab319169 is the carrier-free version of ab319168.

What are recombinant multiclonals?
Recombinant multiclonals are a mixture of recombinant antibodies co-expressed from a library of heavy and light chains. They offer several advantages including:

  • - The sensitivity of polyclonal antibodies by recognising multiple epitopes
  • - High batch-to-batch consistency and reproducibility
  • - Improved sensitivity and specificity
  • - Long-term security of supply
  • - Animal-free batch production

View our range of recombinant multiclonal antibodies.

Patented technology
Our RabMAb® technology is a patented hybridoma-based technology for making rabbit monoclonal antibodies. For details on our patents, please refer to RabMAb® patents.

Conjugation ready
Our carrier-free antibodies are typically supplied in a PBS-only formulation, purified and free of BSA, sodium azide and glycerol. This conjugation-ready format is designed for use with fluorochromes, metal isotopes, oligonucleotides, and enzymes, which makes them ideal for antibody labelling, functional and cell-based assays, flow-based assays (e.g. mass cytometry) and Multiplex Imaging applications.

Use our conjugation kits for antibody conjugates that are ready-to-use in as little as 20 minutes with 1 minute hands-on-time and 100% antibody recovery: available for fluorescent dyes, HRP, biotin and gold.

Compatibility
This product is compatible with the Maxpar® Antibody Labeling Kit from Fluidigm, without the need for antibody preparation. Maxpar® is a trademark of Fluidigm Canada Inc.

Properties and storage information

Form
Liquid
Purification technique
Affinity purification Protein A
Storage buffer
pH: 7.2 - 7.4 Constituents: PBS
Shipped at conditions
Blue Ice
Appropriate short-term storage conditions
+4°C
Appropriate long-term storage conditions
+4°C

Supplementary information

This supplementary information is collated from multiple sources and compiled automatically.

EBI3 also known as Epstein-Barr virus induced 3 is a cytokine receptor protein with a molecular mass of approximately 34 kDa. This protein plays an important role in the immune system and is widely expressed in various tissues including spleen thymus and peripheral blood leukocytes. EBI3 is often found in cells involved in immune response such as macrophages and dendritic cells. It acts through the formation of heterodimers partnering with other proteins to exert its influence.
Biological function summary

EBI3 serves a function as a component of the cytokine complex. It pairs with other interleukin proteins forming essential heterodimers like IL-27 in which it combines with the cytokine p28. This complex is involved in modulating the immune response including the suppression and activation of T-cells. Through its binding actions EBI3 influences the regulation of immune responses aiding in controlling inflammation and maintaining immune system balance.

Pathways

EBI3 plays a critical role within the IL-27 signaling pathway. These pathways include the JAK/STAT signaling which is pivotal for mediating the immune response and influencing cell proliferation differentiation and apoptosis. EBI3 as part of the IL-27 complex interacts significantly with cytokines like IL-6 influencing the signal transduction pathways that are essential in immune cell communication and function.

EBI3 has associations with autoimmune diseases such as multiple sclerosis due to its role in regulating immune responses. Aberrant expression or function of EBI3 can contribute to the pathogenesis of chronic inflammatory diseases. It also holds potential links to cancer particularly in the modulation and development of tumor-induced immune evasion. In these disease contexts related proteins like p28 within the IL-27 complex interact with EBI3 affecting disease outcomes through their cooperative roles in immune modulation.

Product protocols

For this product, it's our understanding that no specific protocols are required. You can visit:

Target data

Associates with IL27 to form the IL-27 interleukin, a heterodimeric cytokine which functions in innate immunity. IL-27 has pro- and anti-inflammatory properties, that can regulate T-helper cell development, suppress T-cell proliferation, stimulate cytotoxic T-cell activity, induce isotype switching in B-cells, and that has diverse effects on innate immune cells. Among its target cells are CD4 T-helper cells which can differentiate in type 1 effector cells (TH1), type 2 effector cells (TH2) and IL17 producing helper T-cells (TH17). It drives rapid clonal expansion of naive but not memory CD4 T-cells. It also strongly synergizes with IL-12 to trigger interferon-gamma/IFN-gamma production of naive CD4 T-cells, binds to the cytokine receptor WSX-1/TCCR. Another important role of IL-27 is its antitumor activity as well as its antiangiogenic activity with activation of production of antiangiogenic chemokines.
See full target information Ebi3

Additional targets

EBI3

Product promise

We are committed to supporting your work with high-quality reagents, and we're here for you every step of the way. In the unlikely event that one of our products does not perform as expected, you're protected by our Product Promise.
For full details, please see our Terms & Conditions

Please note: All products are 'FOR RESEARCH USE ONLY. NOT FOR USE IN DIAGNOSTIC OR THERAPEUTIC PROCEDURES'.

For licensing inquiries, please contact partnerships@abcam.com