JavaScript is disabled in your browser. Please enable JavaScript to view this website.
AB252828

Anti-EBNA2 antibody [R3]

Be the first to review this product! Submit a review

|

(0 Publication)

Rat Recombinant Monoclonal EBNA2 antibody. Suitable for WB, IP and reacts with Human samples.

View Alternative Names

BYRF1, EBNA2, Epstein-Barr nuclear antigen 2, EBNA-2, EBV nuclear antigen 2

2 Images
Immunoprecipitation - Anti-EBNA2 antibody [R3] (AB252828)
  • IP

Supplier Data

Immunoprecipitation - Anti-EBNA2 antibody [R3] (AB252828)

EBNA2 was immunoprecipitated from 0.35 mg Raji (human Burkitt's lymphoma B lymphocyte) whole cell lysate 10ug with ab252828 at 1/30 dilution (2ug in 0.35mg lysates). Western blot was performed on the immunoprecipitate using ab252828 at 1/1000 dilution. Goat Anti-Rat IgG (H+L), HRP) (ab205720) was used at 1/5000 dilution. Lane 1 : Raji (human Burkitt's lymphoma B lymphocyte) whole cell lysate 10 ug

Lane 2 : ab252828 IP in Raji whole cell lysate

Lane 3 : Rat monoclonal IgG2a (ab18450) instead of ab252828 in Raji whole cell lysate

Blocking and dilution buffer and concentration : 5% NFDM/TBST.

Exposure time : 3 seconds

All lanes:

Immunoprecipitation - Anti-EBNA2 antibody [R3] (ab252828)

Predicted band size: 53 kDa

Observed band size: 75 kDa

false

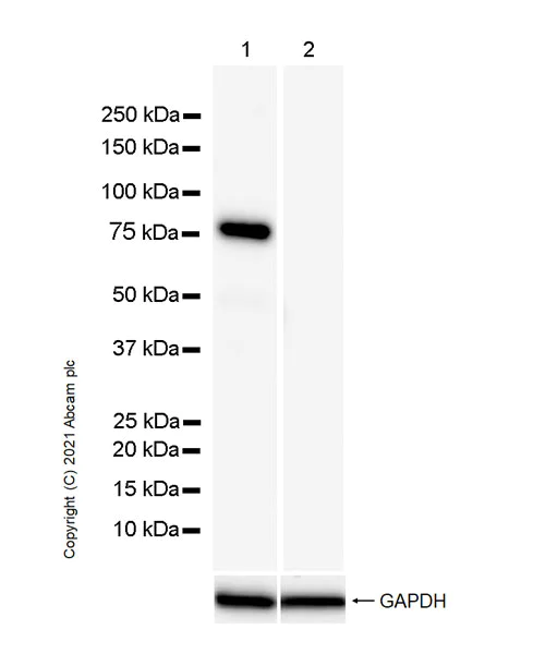
Western blot - Anti-EBNA2 antibody [R3] (AB252828)
  • WB

Lab

Western blot - Anti-EBNA2 antibody [R3] (AB252828)

Blocking and diluting buffer and concentration : 5% NFDM/TBST

The expression profile/ molecular weight observed is consistent with what has been described in the literature (PMID : 8383171).

Exposure time : 10 seconds

All lanes:

Western blot - Anti-EBNA2 antibody [R3] (ab252828) at 1/1000 dilution

Lane 1:

Raji (human Burkitts lymphoma B lymphocyte), whole cell lysate at 20 µg

Lane 2:

HeLa (human epithelial cell line from cervix adenocarcinoma), whole cell lysate at 20 µg

Secondary

All lanes:

Western blot - Goat Anti-Rat IgG H&L (HRP) (<a href='/en-us/products/secondary-antibodies/goat-rat-igg-h-l-hrp-ab205720'>ab205720</a>) at 1/5000 dilution

Predicted band size: 53 kDa

Observed band size: 75 kDa

false

  • Carrier free

    Anti-EBNA2 antibody [R3] - BSA and Azide free

Key facts

Host species

Rat

Clonality

Monoclonal

Clone number

R3

Isotype

IgG2a

Carrier free

No

Reacts with

Human

Applications

IP, WB

applications

Immunogen

The exact immunogen used to generate this antibody is proprietary information.

Reactivity data

{ "title": "Reactivity Data", "filters": { "stats": ["", "Species", "Dilution Info", "Notes"], "tabs": { "all-applications": {"fullname" : "All Applications", "shortname": "All Applications"}, "WB" : {"fullname" : "Western blot", "shortname":"WB"}, "IP" : {"fullname" : "Immunoprecipitation", "shortname":"IP"}, "ICC" : {"fullname" : "Immunocytochemistry", "shortname":"ICC"} }, "product-promise": { "all": "all", "testedAndGuaranteed": "tested", "guaranteed": "expected", "predicted": "predicted", "notRecommended": "not-recommended" } }, "values": { "Human": { "WB-species-checked": "testedAndGuaranteed", "WB-species-dilution-info": "1/1000", "WB-species-notes": "<p></p>", "IP-species-checked": "testedAndGuaranteed", "IP-species-dilution-info": "1/30", "IP-species-notes": "<p></p>", "ICC-species-checked": "notRecommended", "ICC-species-dilution-info": "", "ICC-species-notes": "<p></p>" } } }

Product details

This antibody clone is manufactured by Abcam. If you require a custom buffer formulation or conjugation for your experiments, please contact orders@abcam.com

What are the advantages of a recombinant monoclonal antibody?
This product is a recombinant monoclonal antibody, which offers several advantages including:

  • - High batch-to-batch consistency and reproducibility
  • - Improved sensitivity and specificity
  • - Long-term security of supply
  • - Animal-free batch production

For more information, read more on recombinant antibodies.

Properties and storage information

Form
Liquid
Purification technique
Affinity purification Protein A
Storage buffer
pH: 7.2 - 7.4 Preservative: 0.01% Sodium azide Constituents: PBS, 40% Glycerol (glycerin, glycerine), 0.05% BSA
Shipped at conditions
Blue Ice
Appropriate short-term storage duration
1-2 weeks
Appropriate short-term storage conditions
+4°C
Appropriate long-term storage conditions
-20°C
Aliquoting information
Upon delivery aliquot
Storage information
Avoid freeze / thaw cycle

Supplementary information

This supplementary information is collated from multiple sources and compiled automatically.

EBNA2 also known as the Epstein-Barr virus nuclear antigen 2 (EBNA-2) plays a critical role in viral protein function. It is a transcriptional activator essential for the latent infection cycle of Epstein-Barr virus (EBV). EBNA2 binds to specific DNA sequences and interacts with other host cellular factors to initiate transcription. The molecular mass of EBNA2 typically is approximately 88 kDa. EBNA2 mainly expresses in EBV-infected B lymphocytes where it contributes to their immortalization and proliferation.
Biological function summary

EBNA2 is pivotal in the activation of several viral and cellular genes. It forms complexes with other proteins including the cellular transcription factor RBP-Jκ part of the Notch signaling pathway. This interaction is important for altering the expression patterns of both host and viral genes causing changes in the cell cycle and promoting latency. EBNA2 also regulates genes involved in immune response modulation aiding in viral persistence within the host by evading immune surveillance.

Pathways

EBNA2 impacts transcriptional regulation and cell signaling reversibly. It is integral to the Notch signaling and transcriptional activation pathway related to EBV latency. EBNA2 recruits proteins like CBF1 (RBP-Jκ) a transcription factor that helps mediate cell fate decisions and maintain latency. It modulates pathways involving c-MYC a central regulator of cell growth and influences transcriptional activity with a downstream effect on cellular transformation and proliferation.

EBNA2 is prominently associated with EBV-related malignancies such as Burkitt's lymphoma and Hodgkin's lymphoma. These cancers arise partly from the dysregulated cellular growth induced by EBNA2-mediated transcriptional changes. In these disorders EBNA2 may interact with proteins like LMP1 another EBV-encoded protein that aids in the transformation process promoting oncogenesis and affecting therapy resistance mechanisms.

Product protocols

For this product, it's our understanding that no specific protocols are required. You can visit:

Target data

Plays a key role in the activation of the host resting B-cell and stimulation of B-cell proliferation. Acts by up-regulating the expression of viral EBNA1-6, LMP1, LMP2A and LMP2B genes, as well as several host genes including CD21, CD23 and MYC. Activates transcription by acting as an adapter molecule that binds to cellular sequence-specific DNA-binding proteins such as host CBF1, SMARCB1 and SPI1. Once EBNA2 is near promoter sites, its acidic activating domain recruits basal and activation-associated transcription factors TFIIB, TAF40, TFIIH components ERCC2 and ERCC3, and CBP in order to promote transcription. Alternatively, EBNA2 can affect activities of cell cycle regulators and retard cell cycle progression at G2/M phase. It also induces chromosomal instability, by disrupting mitotic checkpoints, multi-nucleation and formation of micronuclei in infected cells (By similarity).
See full target information EBNA2

Product promise

We are committed to supporting your work with high-quality reagents, and we're here for you every step of the way. In the unlikely event that one of our products does not perform as expected, you're protected by our Product Promise.
For full details, please see our Terms & Conditions

Please note: All products are 'FOR RESEARCH USE ONLY. NOT FOR USE IN DIAGNOSTIC OR THERAPEUTIC PROCEDURES'.

For licensing inquiries, please contact partnerships@abcam.com