JavaScript is disabled in your browser. Please enable JavaScript to view this website.
AB186846

Anti-EBP1 antibody

Be the first to review this product! Submit a review

|

(3 Publications)

Rabbit Polyclonal EBP1 antibody. Suitable for WB, IHC-P, ICC/IF and reacts with Mouse, Rat, Human samples. Cited in 3 publications. Immunogen corresponding to Recombinant Fragment Protein within Human PA2G4.

View Alternative Names

EBP1, PA2G4, Proliferation-associated protein 2G4, Cell cycle protein p38-2G4 homolog, ErbB3-binding protein 1, hG4-1

3 Images
Immunocytochemistry/ Immunofluorescence - Anti-EBP1 antibody (AB186846)
  • ICC/IF

Unknown

Immunocytochemistry/ Immunofluorescence - Anti-EBP1 antibody (AB186846)

Immunocytochemistry/Immunofluorescence analysis of U2OS cells using ab186846. Blue DAPI for nuclear staining.

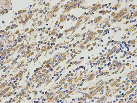
Immunohistochemistry (Formalin/PFA-fixed paraffin-embedded sections) - Anti-EBP1 antibody (AB186846)
  • IHC-P

Unknown

Immunohistochemistry (Formalin/PFA-fixed paraffin-embedded sections) - Anti-EBP1 antibody (AB186846)

Immunohistochemistry (Formalin/PFA-fixed paraffin-embedded sections) analysis of human stomach cancer tissue labelling EBP1 with ab186846 at 1/200. Magnification : 400x.

Western blot - Anti-EBP1 antibody (AB186846)
  • WB

Supplier Data

Western blot - Anti-EBP1 antibody (AB186846)

All lanes:

Western blot - Anti-EBP1 antibody (ab186846) at 1/500 dilution

Lane 1:

Extract of mouse liver cell line

Lane 2:

Extract of BXPC3 cell line

Lane 3:

Extract of Hela cell line

Lane 4:

Extract of PC12 cell line

Lane 5:

Extract of NIH 3T3 cell line

Lane 6:

Extract of K562 cell line

Lane 7:

Extract of 22RV1 cell line

Lane 8:

Extract of HT29 cell line

Predicted band size: 44 kDa

false

Key facts

Host species

Rabbit

Clonality

Polyclonal

Isotype

IgG

Carrier free

No

Reacts with

Mouse, Rat, Human

Applications

WB, ICC/IF, IHC-P

applications

Immunogen

Recombinant Fragment Protein within Human PA2G4. The exact immunogen used to generate this antibody is proprietary information.

Q9UQ80

Reactivity data

{ "title": "Reactivity Data", "filters": { "stats": ["", "Species", "Dilution Info", "Notes"], "tabs": { "all-applications": {"fullname" : "All Applications", "shortname": "All Applications"}, "WB" : {"fullname" : "Western blot", "shortname":"WB"}, "IHCP" : {"fullname" : "Immunohistochemistry (Formalin/PFA-fixed paraffin-embedded sections)", "shortname":"IHC-P"}, "ICCIF" : {"fullname" : "Immunocytochemistry/ Immunofluorescence", "shortname":"ICC/IF"} }, "product-promise": { "all": "all", "testedAndGuaranteed": "tested", "guaranteed": "expected", "predicted": "predicted", "notRecommended": "not-recommended" } }, "values": { "Human": { "WB-species-checked": "guaranteed", "WB-species-dilution-info": "", "WB-species-notes": "", "IHCP-species-checked": "testedAndGuaranteed", "IHCP-species-dilution-info": "1/50 - 1/200", "IHCP-species-notes": "<p></p>", "ICCIF-species-checked": "testedAndGuaranteed", "ICCIF-species-dilution-info": "", "ICCIF-species-notes": "<p></p>" }, "Mouse": { "WB-species-checked": "testedAndGuaranteed", "WB-species-dilution-info": "1/500 - 1/2000", "WB-species-notes": "<p></p>", "IHCP-species-checked": "guaranteed", "IHCP-species-dilution-info": "", "IHCP-species-notes": "", "ICCIF-species-checked": "guaranteed", "ICCIF-species-dilution-info": "", "ICCIF-species-notes": "" }, "Rat": { "WB-species-checked": "testedAndGuaranteed", "WB-species-dilution-info": "1/500 - 1/2000", "WB-species-notes": "<p></p>", "IHCP-species-checked": "guaranteed", "IHCP-species-dilution-info": "1/50 - 1/200", "IHCP-species-notes": "<p></p>", "ICCIF-species-checked": "guaranteed", "ICCIF-species-dilution-info": "", "ICCIF-species-notes": "" } } }

Properties and storage information

Form
Liquid
Purification technique
Affinity purification Immunogen
Storage buffer
pH: 7.3 Preservative: 0.02% Sodium azide Constituents: PBS, 50% Glycerol (glycerin, glycerine)
Shipped at conditions
Blue Ice
Appropriate short-term storage duration
1-2 weeks
Appropriate short-term storage conditions
+4°C
Appropriate long-term storage conditions
-20°C
Aliquoting information
Upon delivery aliquot
Storage information
Avoid freeze / thaw cycle

Supplementary information

This supplementary information is collated from multiple sources and compiled automatically.

The EBP1 protein also known as ErbB3-binding protein 1 plays an important role in cellular mechanisms. With a mass of about 39 kDa EBP1 is widely expressed in various tissues including the heart liver and brain. The protein acts as an RNA-binding protein and it has demonstrated influence in the regulation of ribosomal RNA synthesis and processing. EBP1 also interacts with multiple other proteins which aid in its regulatory roles in the cells.
Biological function summary

EBP1 functions as a part of the cellular machinery involved in growth and differentiation. It associates with the eukaryotic translation initiation factor 4G (eIF4G) as part of a complex which modulates the translation of certain messenger RNAs. Furthermore EBP1 can function as a transcriptional co-repressor in the nucleus where it influences gene expression by interacting with DNA. Its activity in these roles highlights its important function in cell cycle regulation and cellular proliferation.

Pathways

Many signaling mechanisms engage EBP1. The PI3K/AKT pathway sees participation from EBP1 where it downstream affects cell survival and growth. EBP1 also interacts with the NF-κB pathway contributing to the regulation of immune and stress responses. In these pathways interactions with key proteins like AKT and NF-κB p65 emphasize its role in integrating signaling cues for responses to environmental stimuli.

EBP1 has shown associations with cancer and neurodegenerative diseases. Its connection with cancer is evident as EBP1 influences cell proliferation and can affect tumor suppressor pathways sometimes interacting with proteins like HER2. In neurodegenerative diseases deregulation of EBP1 function has been seen in conditions such as Alzheimer's potentially interacting with proteins involved in tau phosphorylation. Both examples demonstrate the biological significance of EBP1 in maintaining normal physiological function and its contributions to pathology when dysregulated.

Product protocols

For this product, it's our understanding that no specific protocols are required. You can visit:

Target data

May play a role in a ERBB3-regulated signal transduction pathway. Seems be involved in growth regulation. Acts a corepressor of the androgen receptor (AR) and is regulated by the ERBB3 ligand neuregulin-1/heregulin (HRG). Inhibits transcription of some E2F1-regulated promoters, probably by recruiting histone acetylase (HAT) activity. Binds RNA. Associates with 28S, 18S and 5.8S mature rRNAs, several rRNA precursors and probably U3 small nucleolar RNA. May be involved in regulation of intermediate and late steps of rRNA processing. May be involved in ribosome assembly. Mediates cap-independent translation of specific viral IRESs (internal ribosomal entry site) (By similarity). Regulates cell proliferation, differentiation, and survival. Isoform 1 suppresses apoptosis whereas isoform 2 promotes cell differentiation (By similarity).
See full target information PA2G4

Publications (3)

Recent publications for all applications. Explore the full list and refine your search

Autophagy 20:365-379 PubMed37712850

2023

PA2G4/EBP1 ubiquitination by PRKN/PARKIN promotes mitophagy protecting neuron death in cerebral ischemia.

Applications

Unspecified application

Species

Unspecified reactive species

Inwoo Hwang,Byeong-Seong Kim,Ho Yun Lee,Sung-Woo Cho,Seung Eun Lee,Jee-Yin Ahn

BioFactors (Oxford, England) 48:683-698 PubMed35080047

2022

Wnt inhibitory 1 ameliorates neovascularization and attenuates photoreceptor injury in an oxygen-induced retinopathy mouse model.

Applications

Unspecified application

Species

Unspecified reactive species

Wei Tan,Huizhuo Xu,Bolin Chen,Tianqi Duan,Kangcheng Liu,Jing Zou

International journal of molecular sciences 21: PubMed32283721

2020

Dysregulation of Epigenetic Control Contributes to Schizophrenia-Like Behavior in Ebp1 Mice.

Applications

Unspecified application

Species

Unspecified reactive species

Inwoo Hwang,Jee-Yin Ahn
View all publications

Product promise

We are committed to supporting your work with high-quality reagents, and we're here for you every step of the way. In the unlikely event that one of our products does not perform as expected, you're protected by our Product Promise.
For full details, please see our Terms & Conditions

Please note: All products are 'FOR RESEARCH USE ONLY. NOT FOR USE IN DIAGNOSTIC OR THERAPEUTIC PROCEDURES'.

For licensing inquiries, please contact partnerships@abcam.com