JavaScript is disabled in your browser. Please enable JavaScript to view this website.
AB240229

Anti-EBP1 antibody [EPR14569(B)] - BSA and Azide free

Be the first to review this product! Submit a review

|

(1 Publication)

Rabbit Recombinant Monoclonal EBP1 antibody. Carrier free. Suitable for WB, ICC/IF, Flow Cyt (Intra), IHC-P and reacts with Human samples. Cited in 1 publication.

View Alternative Names

EBP1, PA2G4, Proliferation-associated protein 2G4, Cell cycle protein p38-2G4 homolog, ErbB3-binding protein 1, hG4-1

3 Images
Immunohistochemistry (Formalin/PFA-fixed paraffin-embedded sections) - Anti-EBP1 antibody [EPR14569(B)] - BSA and Azide free (AB240229)
  • IHC-P

Supplier Data

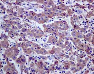
Immunohistochemistry (Formalin/PFA-fixed paraffin-embedded sections) - Anti-EBP1 antibody [EPR14569(B)] - BSA and Azide free (AB240229)

Immunohistochemical analysis of paraffin-embedded Human colon adenocarcinoma tissue labeling EBP1 with ab180602 at 1/100 dilution, followed by prediluted ImmunoHistoprobe HRP Polymer for Rabbit IgG. Counter stained with Hematoxylin.

This data was developed using the same antibody clone in a different buffer formulation containing PBS, BSA, glycerol, and sodium azide (ab180602).

Perform heat mediated antigen retrieval with EDTA buffer pH 9 before commencing with IHC staining protocol.

Flow Cytometry (Intracellular) - Anti-EBP1 antibody [EPR14569(B)] - BSA and Azide free (AB240229)
  • Flow Cyt (Intra)

Unknown

Flow Cytometry (Intracellular) - Anti-EBP1 antibody [EPR14569(B)] - BSA and Azide free (AB240229)

Intracellular flow cytometric analysis of 2% paraformaldehyde-fixed Jurkat cells labeling EBP1 with ab180602 at 1/20 dilution (red) compared to a Rabbit monoclonal IgG Isotype control (green), followed by Goat anti rabbit IgG (FITC) at 1/150 dilution.

This data was developed using the same antibody clone in a different buffer formulation containing PBS, BSA, glycerol, and sodium azide (ab180602).

Immunocytochemistry/ Immunofluorescence - Anti-EBP1 antibody [EPR14569(B)] - BSA and Azide free (AB240229)
  • ICC/IF

Supplier Data

Immunocytochemistry/ Immunofluorescence - Anti-EBP1 antibody [EPR14569(B)] - BSA and Azide free (AB240229)

Immunofluorescent analysis of 4% paraformaldehyde-fixed HeLa cells labeling EBP1 with 180602 at 1/100 dilution, followed by Goat anti rabbit IgG (Alexa Fluor® 555) secondary antibody at 1/200 dilution (Left panel). Right panel : Dapi staining.

This data was developed using the same antibody clone in a different buffer formulation containing PBS, BSA, glycerol, and sodium azide (ab180602).

  • Unconjugated

    Anti-EBP1 antibody [EPR14569(B)]

  • 775 Alexa Fluor® 750

    Alexa Fluor® 750 Anti-EBP1 antibody [EPR14569(B)]

  • 660 APC

    APC Anti-EBP1 antibody [EPR14569(B)]

  • HRP

    HRP Anti-EBP1 antibody [EPR14569(B)]

  • 665 Alexa Fluor® 647

    Alexa Fluor® 647 Anti-EBP1 antibody [EPR14569(B)]

  • 603 Alexa Fluor® 568

    Alexa Fluor® 568 Anti-EBP1 antibody [EPR14569(B)]

  • 565 Alexa Fluor® 555

    Alexa Fluor® 555 Anti-EBP1 antibody [EPR14569(B)]

  • 578 PE

    PE Anti-EBP1 antibody [EPR14569(B)]

  • 617 Alexa Fluor® 594

    Alexa Fluor® 594 Anti-EBP1 antibody [EPR14569(B)]

  • 519 Alexa Fluor® 488

    Alexa Fluor® 488 Anti-EBP1 antibody [EPR14569(B)]

Key facts

Host species

Rabbit

Clonality

Monoclonal

Clone number

EPR14569(B)

Isotype

IgG

Carrier free

Yes

Reacts with

Human

Applications

IHC-P, WB, Flow Cyt (Intra), ICC/IF

applications

Immunogen

The exact immunogen used to generate this antibody is proprietary information.

Reactivity data

{ "title": "Reactivity Data", "filters": { "stats": ["", "Species", "Dilution Info", "Notes"], "tabs": { "all-applications": {"fullname" : "All Applications", "shortname": "All Applications"}, "IP" : {"fullname" : "Immunoprecipitation", "shortname":"IP"}, "WB" : {"fullname" : "Western blot", "shortname":"WB"}, "ICCIF" : {"fullname" : "Immunocytochemistry/ Immunofluorescence", "shortname":"ICC/IF"}, "FlowCytIntra" : {"fullname" : "Flow Cytometry (Intracellular)", "shortname":"Flow Cyt (Intra)"}, "IHCP" : {"fullname" : "Immunohistochemistry (Formalin/PFA-fixed paraffin-embedded sections)", "shortname":"IHC-P"} }, "product-promise": { "all": "all", "testedAndGuaranteed": "tested", "guaranteed": "expected", "predicted": "predicted", "notRecommended": "not-recommended" } }, "values": { "Human": { "IP-species-checked": "notRecommended", "IP-species-dilution-info": "", "IP-species-notes": "<p></p>", "WB-species-checked": "guaranteed", "WB-species-dilution-info": "", "WB-species-notes": "<p></p>", "ICCIF-species-checked": "testedAndGuaranteed", "ICCIF-species-dilution-info": "", "ICCIF-species-notes": "<p></p>", "FlowCytIntra-species-checked": "testedAndGuaranteed", "FlowCytIntra-species-dilution-info": "", "FlowCytIntra-species-notes": "<p><a href='/en-us/products/primary-antibodies/rabbit-igg-monoclonal-epr25a-isotype-control-low-endotoxin-azide-free-ab199376'>ab199376</a> - Rabbit monoclonal IgG, is suitable for use as an isotype control with this antibody.</p>", "IHCP-species-checked": "testedAndGuaranteed", "IHCP-species-dilution-info": "", "IHCP-species-notes": "<p></p>" }, "Mouse": { "IP-species-checked": "notRecommended", "IP-species-dilution-info": "", "IP-species-notes": "", "WB-species-checked": "predicted", "WB-species-dilution-info": "", "WB-species-notes": "", "ICCIF-species-checked": "predicted", "ICCIF-species-dilution-info": "", "ICCIF-species-notes": "", "FlowCytIntra-species-checked": "predicted", "FlowCytIntra-species-dilution-info": "", "FlowCytIntra-species-notes": "", "IHCP-species-checked": "predicted", "IHCP-species-dilution-info": "", "IHCP-species-notes": "" }, "Rat": { "IP-species-checked": "notRecommended", "IP-species-dilution-info": "", "IP-species-notes": "", "WB-species-checked": "predicted", "WB-species-dilution-info": "", "WB-species-notes": "", "ICCIF-species-checked": "predicted", "ICCIF-species-dilution-info": "", "ICCIF-species-notes": "", "FlowCytIntra-species-checked": "predicted", "FlowCytIntra-species-dilution-info": "", "FlowCytIntra-species-notes": "", "IHCP-species-checked": "predicted", "IHCP-species-dilution-info": "", "IHCP-species-notes": "" } } }

Product details

ab240229 is the carrier-free version of ab180602.

Patented technology
Our RabMAb® technology is a patented hybridoma-based technology for making rabbit monoclonal antibodies. For details on our patents, please refer to RabMAb® patents.

What are the advantages of a recombinant monoclonal antibody?
This product is a recombinant monoclonal antibody, which offers several advantages including:

  • - High batch-to-batch consistency and reproducibility
  • - Improved sensitivity and specificity
  • - Long-term security of supply
  • - Animal-free batch production

For more information, read more on recombinant antibodies.

Conjugation ready
Our carrier-free antibodies are typically supplied in a PBS-only formulation, purified and free of BSA, sodium azide and glycerol. This conjugation-ready format is designed for use with fluorochromes, metal isotopes, oligonucleotides, and enzymes, which makes them ideal for antibody labelling, functional and cell-based assays, flow-based assays (e.g. mass cytometry) and Multiplex Imaging applications.

Use our conjugation kits for antibody conjugates that are ready-to-use in as little as 20 minutes with 1 minute hands-on-time and 100% antibody recovery: available for fluorescent dyes, HRP, biotin and gold.

Compatibility
This product is compatible with the Maxpar® Antibody Labeling Kit from Fluidigm, without the need for antibody preparation. Maxpar® is a trademark of Fluidigm Canada Inc.

Properties and storage information

Form
Liquid
Purification technique
Affinity purification Protein A
Storage buffer
pH: 7.2 - 7.4 Constituents: PBS
Shipped at conditions
Blue Ice
Appropriate short-term storage conditions
+4°C
Appropriate long-term storage conditions
+4°C
Storage information
Do Not Freeze

Supplementary information

This supplementary information is collated from multiple sources and compiled automatically.

The EBP1 protein also known as ErbB3-binding protein 1 plays an important role in cellular mechanisms. With a mass of about 39 kDa EBP1 is widely expressed in various tissues including the heart liver and brain. The protein acts as an RNA-binding protein and it has demonstrated influence in the regulation of ribosomal RNA synthesis and processing. EBP1 also interacts with multiple other proteins which aid in its regulatory roles in the cells.
Biological function summary

EBP1 functions as a part of the cellular machinery involved in growth and differentiation. It associates with the eukaryotic translation initiation factor 4G (eIF4G) as part of a complex which modulates the translation of certain messenger RNAs. Furthermore EBP1 can function as a transcriptional co-repressor in the nucleus where it influences gene expression by interacting with DNA. Its activity in these roles highlights its important function in cell cycle regulation and cellular proliferation.

Pathways

Many signaling mechanisms engage EBP1. The PI3K/AKT pathway sees participation from EBP1 where it downstream affects cell survival and growth. EBP1 also interacts with the NF-κB pathway contributing to the regulation of immune and stress responses. In these pathways interactions with key proteins like AKT and NF-κB p65 emphasize its role in integrating signaling cues for responses to environmental stimuli.

EBP1 has shown associations with cancer and neurodegenerative diseases. Its connection with cancer is evident as EBP1 influences cell proliferation and can affect tumor suppressor pathways sometimes interacting with proteins like HER2. In neurodegenerative diseases deregulation of EBP1 function has been seen in conditions such as Alzheimer's potentially interacting with proteins involved in tau phosphorylation. Both examples demonstrate the biological significance of EBP1 in maintaining normal physiological function and its contributions to pathology when dysregulated.

Product protocols

For this product, it's our understanding that no specific protocols are required. You can visit:

Target data

May play a role in a ERBB3-regulated signal transduction pathway. Seems be involved in growth regulation. Acts a corepressor of the androgen receptor (AR) and is regulated by the ERBB3 ligand neuregulin-1/heregulin (HRG). Inhibits transcription of some E2F1-regulated promoters, probably by recruiting histone acetylase (HAT) activity. Binds RNA. Associates with 28S, 18S and 5.8S mature rRNAs, several rRNA precursors and probably U3 small nucleolar RNA. May be involved in regulation of intermediate and late steps of rRNA processing. May be involved in ribosome assembly. Mediates cap-independent translation of specific viral IRESs (internal ribosomal entry site) (By similarity). Regulates cell proliferation, differentiation, and survival. Isoform 1 suppresses apoptosis whereas isoform 2 promotes cell differentiation (By similarity).
See full target information PA2G4

Publications (1)

Recent publications for all applications. Explore the full list and refine your search

Cell reports 43:115008 PubMed39666457

2024

The nucleoporin Nup153 is the anchor for Kif1a during basal nuclear migration in brain progenitor cells.

Applications

Unspecified application

Species

Unspecified reactive species

Aditi Falnikar,Sebastian Quintremil,Hung-Jun Zhao,Haw-Yuan Cheng,Paige Helmer,Jin-Wu Tsai,Richard B Vallee
View all publications

Product promise

We are committed to supporting your work with high-quality reagents, and we're here for you every step of the way. In the unlikely event that one of our products does not perform as expected, you're protected by our Product Promise.
For full details, please see our Terms & Conditions

Please note: All products are 'FOR RESEARCH USE ONLY. NOT FOR USE IN DIAGNOSTIC OR THERAPEUTIC PROCEDURES'.

For licensing inquiries, please contact partnerships@abcam.com