JavaScript is disabled in your browser. Please enable JavaScript to view this website.
AB247858

Anti-EBP50/NHERF-1 antibody [EPR5562] - BSA and Azide free

Be the first to review this product! Submit a review

|

(0 Publication)

Rabbit Recombinant Monoclonal EBP50/NHERF-1 antibody. Carrier free. Suitable for IHC-P, WB and reacts with Human, Rat samples.

View Alternative Names

NHERF, SLC9A3R1, NHERF1, Na(+)/H(+) exchange regulatory cofactor NHE-RF1, NHERF-1, Ezrin-radixin-moesin-binding phosphoprotein 50, Regulatory cofactor of Na(+)/H(+) exchanger, Sodium-hydrogen exchanger regulatory factor 1, Solute carrier family 9 isoform A3 regulatory factor 1, EBP50

5 Images
Western blot - Anti-EBP50/NHERF-1 antibody [EPR5562] - BSA and Azide free (AB247858)
  • WB

Lab

Western blot - Anti-EBP50/NHERF-1 antibody [EPR5562] - BSA and Azide free (AB247858)

This data was developed using the same antibody clone in a different buffer formulation (ab109430).

False colour image of Western blot : Anti-EBP50/NHERF-1 antibody [EPR5562] staining at 1/1000 dilution, shown in green; Mouse anti-Alpha Tubulin [DM1A] (ab7291) loading control staining at 1/20000 dilution, shown in red. In Western blot, ab109430 was shown to bind specifically to EBP50/NHERF-1. A band was observed at 46 kDa in wild-type HeLa cell lysates with no signal observed at this size in SLC9A3R1 knockout cell line ab264914 (knockout cell lysate ab257280). To generate this image, wild-type and SLC9A3R1 knockout HeLa cell lysates were analysed. First, samples were run on an SDS-PAGE gel then transferred onto a nitrocellulose membrane. Membranes were blocked in fluorescent western blot (TBS-based) blocking solution before incubation with primary antibodies overnight at 4 °C. Blots were washed four times in TBS-T, incubated with secondary antibodies for 1 h at room temperature, washed again four times then imaged.Secondary antibodies used were Goat anti-Rabbit IgG H&L (IRDye® 800CW) preabsorbed (ab216773) and Goat anti-Mouse IgG H&L (IRDye® 680RD) preabsorbed (ab216776) at 1/20000 dilution.

All lanes:

Western blot - Anti-EBP50/NHERF-1 antibody [EPR5562] (<a href='/en-us/products/primary-antibodies/ebp50-nherf-1-antibody-epr5562-ab109430'>ab109430</a>) at 1/1000 dilution

Lane 1:

Wild-type HeLa cell lysate at 20 µg

Lane 2:

SLC9A3R1 knockout HeLa cell lysate at 20 µg

Lane 2:

Western blot - Human SLC9A3R1 (EBP50/NHERF-1) knockout HeLa cell line (<a href='/en-us/products/cell-lines/human-slc9a3r1-ebp50-nherf-1-knockout-hela-cell-line-ab264914'>ab264914</a>)

Lane 2:

Western blot - Human SLC9A3R1 (EBP50/NHERF-1) knockout HeLa cell lysate (<a href='/en-us/products/cell-lysates/human-slc9a3r1-ebp50-nherf-1-knockout-hela-cell-lysate-ab257280'>ab257280</a>)

Predicted band size: 38 kDa

Observed band size: 46 kDa

false

Western blot - Anti-EBP50/NHERF-1 antibody [EPR5562] - BSA and Azide free (AB247858)
  • WB

Lab

Western blot - Anti-EBP50/NHERF-1 antibody [EPR5562] - BSA and Azide free (AB247858)

This data was developed using the same antibody clone in a different buffer formulation (ab109430).

Lanes 1- 2 : Merged signal (red and green). Green - ab109430 observed at 48 kDa. Red - Anti-GAPDH antibody [6C5] - Loading Control (ab8245) observed at 37 kDa.

ab109430 was shown to react with EBP50/NHERF-1 in wild-type HCT116 cells in western blot. Loss of signal was observed when knockout cell line ab266876 (knockout cell lysate ab257281) was used. Wild-type HCT116 and SLC9A3R1 knockout HCT116 cell lysates were subjected to SDS-PAGE. Membrane was blocked for 1 hour at room temperature in 0.1% TBST with 3% non-fat dried milk. ab109430 and Anti-GAPDH antibody [6C5] - Loading Control (ab8245) overnight at 4°C at a 1 in 1000 dilution and a 1 in 20000 dilution respectively. Blots were developed with Goat anti-Rabbit IgG H&L (IRDye®800CW) preadsorbed (ab216773) and Goat anti-Mouse IgG H&L (IRDye®680RD) preadsorbed (ab216776) secondary antibodies at 1 in 20000 dilution for 1 hour at room temperature before imaging.

All lanes:

Western blot - Anti-EBP50/NHERF-1 antibody [EPR5562] (<a href='/en-us/products/primary-antibodies/ebp50-nherf-1-antibody-epr5562-ab109430'>ab109430</a>) at 1/1000 dilution

Lane 1:

Wild-type HCT116 cell lysate at 20 µg

Lane 2:

SLC9A3R1 knockout HCT116 cell lysate at 20 µg

Lane 2:

Western blot - Human SLC9A3R1 (EBP50/NHERF-1) knockout HCT116 cell line (<a href='/en-us/products/cell-lines/human-slc9a3r1-ebp50-nherf-1-knockout-hct116-cell-line-ab266876'>ab266876</a>)

Predicted band size: 38 kDa

Observed band size: 48 kDa

false

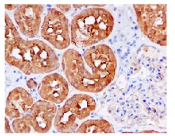
Immunohistochemistry (Formalin/PFA-fixed paraffin-embedded sections) - Anti-EBP50/NHERF-1 antibody [EPR5562] - BSA and Azide free (AB247858)
  • IHC-P

Unknown

Immunohistochemistry (Formalin/PFA-fixed paraffin-embedded sections) - Anti-EBP50/NHERF-1 antibody [EPR5562] - BSA and Azide free (AB247858)

This data was developed using ab109430, the same antibody clone in a different buffer formulation.

Immunohistochemical analysis of EBP50/NHERF-1 in paraffin-embedded Human kidney tissue using ab109430 at 1/100 dilution.

Perform heat mediated antigen retrieval with citrate buffer pH 6 before commencing with IHC staining protocol.

Western blot - Anti-EBP50/NHERF-1 antibody [EPR5562] - BSA and Azide free (AB247858)
  • WB

Lab

Western blot - Anti-EBP50/NHERF-1 antibody [EPR5562] - BSA and Azide free (AB247858)

This data was developed using ab109430, the same antibody clone in a different buffer formulation.

Lane 1 : Wild-type HAP1 cell lysate (20 μg)

Lane 2 : EBP50/NHERF-1 knockout HAP1 cell lysate (20 μg)

Lane 3 : Jurkat cell lysate (20 μg)

Lane 4 : HepG2 cell lysate (20 μg)

Lanes 1 - 4 : Merged signal (red and green). Green - ab109430 observed at 48 kDa. Red - loading control, ab18058, observed at 124 kDa.

ab109430 was shown to specifically recognize EBP50/NHERF-1 in wild-type HAP1 cells along with additional cross-reactive bands. No band was observed when EBP50/NHERF-1 knockout samples were usexamined. Wild-type and EBP50 knockout samples were subjected to SDS-PAGE. ab109430 and ab18058 (loading control to Vinculin) were diluted at 1/500 and 1/10000 respectively and incubated overnight at 4°C. Blots were developed withGoat anti-Rabbit IgG H&L (IRDye® 800CW) preadsorbed (ab216773) and Goat anti-Mouse IgG H&L (IRDye® 680RD) preadsorbed (ab216776) secondary antibodies at 1/10000 dilution for 1 hour at room temperature before imaging.

All lanes:

Western blot - Anti-EBP50/NHERF-1 antibody [EPR5562] (<a href='/en-us/products/primary-antibodies/ebp50-nherf-1-antibody-epr5562-ab109430'>ab109430</a>)

Predicted band size: 38 kDa

false

Western blot - Anti-EBP50/NHERF-1 antibody [EPR5562] - BSA and Azide free (AB247858)
  • WB

Unknown

Western blot - Anti-EBP50/NHERF-1 antibody [EPR5562] - BSA and Azide free (AB247858)

This data was developed using ab109430, the same antibody clone in a different buffer formulation.

All lanes:

Western blot - Anti-EBP50/NHERF-1 antibody [EPR5562] (<a href='/en-us/products/primary-antibodies/ebp50-nherf-1-antibody-epr5562-ab109430'>ab109430</a>) at 1/1000 dilution

Lane 1:

HepG2 cell lysate at 10 µg

Lane 2:

293T cell lysate at 10 µg

Lane 3:

Jurkat cell lysate at 10 µg

Lane 4:

C6 cell lysate at 10 µg

Lane 5:

PC12 cell lysate at 10 µg

Lane 6:

MCF7 cell lysate at 10 µg

Predicted band size: 38 kDa

false

Key facts

Host species

Rabbit

Clonality

Monoclonal

Clone number

EPR5562

Isotype

IgG

Carrier free

Yes

Reacts with

Rat, Human

Applications

IHC-P, WB

applications

Immunogen

The exact immunogen used to generate this antibody is proprietary information.

Reactivity data

{ "title": "Reactivity Data", "filters": { "stats": ["", "Species", "Dilution Info", "Notes"], "tabs": { "all-applications": {"fullname" : "All Applications", "shortname": "All Applications"}, "IHCP" : {"fullname" : "Immunohistochemistry (Formalin/PFA-fixed paraffin-embedded sections)", "shortname":"IHC-P"}, "ICCIF" : {"fullname" : "Immunocytochemistry/ Immunofluorescence", "shortname":"ICC/IF"}, "IP" : {"fullname" : "Immunoprecipitation", "shortname":"IP"}, "FlowCyt" : {"fullname" : "Flow Cytometry", "shortname":"Flow Cyt"}, "WB" : {"fullname" : "Western blot", "shortname":"WB"} }, "product-promise": { "all": "all", "testedAndGuaranteed": "tested", "guaranteed": "expected", "predicted": "predicted", "notRecommended": "not-recommended" } }, "values": { "Human": { "IHCP-species-checked": "testedAndGuaranteed", "IHCP-species-dilution-info": "", "IHCP-species-notes": "<p>Antigen retrieval is recommended.</p> Perform heat-mediated antigen retrieval with citrate buffer pH 6 before commencing with IHC staining protocol.", "ICCIF-species-checked": "notRecommended", "ICCIF-species-dilution-info": "", "ICCIF-species-notes": "<p></p>", "IP-species-checked": "notRecommended", "IP-species-dilution-info": "", "IP-species-notes": "<p></p>", "FlowCyt-species-checked": "notRecommended", "FlowCyt-species-dilution-info": "", "FlowCyt-species-notes": "<p></p>", "WB-species-checked": "testedAndGuaranteed", "WB-species-dilution-info": "", "WB-species-notes": "<p></p>" }, "Rat": { "IHCP-species-checked": "guaranteed", "IHCP-species-dilution-info": "", "IHCP-species-notes": "<p>Antigen retrieval is recommended.</p> Perform heat-mediated antigen retrieval with citrate buffer pH 6 before commencing with IHC staining protocol.", "ICCIF-species-checked": "notRecommended", "ICCIF-species-dilution-info": "", "ICCIF-species-notes": "<p></p>", "IP-species-checked": "notRecommended", "IP-species-dilution-info": "", "IP-species-notes": "<p></p>", "FlowCyt-species-checked": "notRecommended", "FlowCyt-species-dilution-info": "", "FlowCyt-species-notes": "<p></p>", "WB-species-checked": "guaranteed", "WB-species-dilution-info": "", "WB-species-notes": "<p></p>" } } }

Product details

ab247858 is the carrier-free version of ab109430.

Species reactivity
Mouse: We have preliminary internal testing data to indicate this antibody may not react with this species.
Please contact us for more information.

Patented technology
Our RabMAb® technology is a patented hybridoma-based technology for making rabbit monoclonal antibodies. For details on our patents, please refer to RabMAb® patents.

What are the advantages of a recombinant monoclonal antibody?
This product is a recombinant monoclonal antibody, which offers several advantages including:

  • - High batch-to-batch consistency and reproducibility
  • - Improved sensitivity and specificity
  • - Long-term security of supply
  • - Animal-free batch production

For more information, read more on recombinant antibodies.

Conjugation ready
Our carrier-free antibodies are typically supplied in a PBS-only formulation, purified and free of BSA, sodium azide and glycerol. This conjugation-ready format is designed for use with fluorochromes, metal isotopes, oligonucleotides, and enzymes, which makes them ideal for antibody labelling, functional and cell-based assays, flow-based assays (e.g. mass cytometry) and Multiplex Imaging applications.

Use our conjugation kits for antibody conjugates that are ready-to-use in as little as 20 minutes with 1 minute hands-on-time and 100% antibody recovery: available for fluorescent dyes, HRP, biotin and gold.

Compatibility
This product is compatible with the Maxpar® Antibody Labeling Kit from Fluidigm, without the need for antibody preparation. Maxpar® is a trademark of Fluidigm Canada Inc.

Properties and storage information

Form
Liquid
Purification technique
Affinity purification Protein A
Storage buffer
pH: 7.2 - 7.4 Constituents: PBS
Shipped at conditions
Blue Ice
Appropriate short-term storage conditions
+4°C
Appropriate long-term storage conditions
+4°C
Storage information
Do Not Freeze

Supplementary information

This supplementary information is collated from multiple sources and compiled automatically.

EBP50 also known as NHERF-1 (Na+/H+ exchanger regulatory factor 1) is a scaffolding protein with a mass of approximately 50 kDa. This protein plays a critical role in the formation of multiprotein complexes by its ability to bind to several different proteins simultaneously. EBP50 localizes primarily to the apical surface of epithelial cells where it is found in organs such as the kidney liver and intestines. It consists of two PDZ domains and an ezrin-binding domain which enable it to interact with various membrane proteins cytoskeletal elements and signaling molecules.
Biological function summary

EBP50 regulates cellular functions by organizing signaling complexes at the plasma membrane. It is involved in processes such as ion transport signal transduction and cell proliferation. EBP50 often acts as part of a multiprotein complex contributing to the stabilization and regulation of membrane receptors and channels. By regulating these components EBP50 affects a variety of cellular responses to external stimuli.

Pathways

EBP50 plays important roles in cellular signaling pathways like the PTH (parathyroid hormone) receptor signaling and CFTR (cystic fibrosis transmembrane conductance regulator) channel regulation. It interacts with proteins such as ezrin and PLCβ (phospholipase C beta) which facilitates the signaling cascades critical for maintaining proper cell function. By modulating these pathways EBP50 has a significant impact on maintaining cellular homeostasis and responding to changing physiological conditions.

EBP50 has been linked to conditions such as cystic fibrosis and certain cancers. With cystic fibrosis its interaction with CFTR is essential for the proper regulation of chloride channels and subsequently fluid balance in epithelial tissues. In cancer altered expression or mutations in EBP50 can affect pathways related to cell growth and metastasis highlighting interactions with the ezrin protein which couples signals from the cell membrane to actin cytoskeleton dynamics impacting tumor progression.

Product protocols

For this product, it's our understanding that no specific protocols are required. You can visit:

Target data

Scaffold protein that connects plasma membrane proteins with members of the ezrin/moesin/radixin family and thereby helps to link them to the actin cytoskeleton and to regulate their surface expression. Necessary for recycling of internalized ADRB2. Was first known to play a role in the regulation of the activity and subcellular location of SLC9A3. Necessary for cAMP-mediated phosphorylation and inhibition of SLC9A3. May enhance Wnt signaling. May participate in HTR4 targeting to microvilli (By similarity). Involved in the regulation of phosphate reabsorption in the renal proximal tubules. Involved in sperm capacitation. May participate in the regulation of the chloride and bicarbonate homeostasis in spermatozoa.
See full target information NHERF1

Product promise

We are committed to supporting your work with high-quality reagents, and we're here for you every step of the way. In the unlikely event that one of our products does not perform as expected, you're protected by our Product Promise.
For full details, please see our Terms & Conditions

Please note: All products are 'FOR RESEARCH USE ONLY. NOT FOR USE IN DIAGNOSTIC OR THERAPEUTIC PROCEDURES'.

For licensing inquiries, please contact partnerships@abcam.com