JavaScript is disabled in your browser. Please enable JavaScript to view this website.
AB323862

Anti-EBV Induced Gene 2/EBI2 antibody [EPR27339-565]

  • BOND RX™ Validated
  • RabMAb
  • Recombinant
  • 20ul selling size
  • What is this?

Be the first to review this product! Submit a review

|

(0 Publication)

Rabbit Recombinant Monoclonal EBV Induced Gene 2/EBI2 antibody. Suitable for IHC-P and reacts with Transfected cell line - Human, Human samples.

View Alternative Names

EBI2, GPR183, G-protein coupled receptor 183, Epstein-Barr virus-induced G-protein coupled receptor 2, EBV-induced G-protein coupled receptor 2, hEBI2

7 Images
Immunohistochemistry (Formalin/PFA-fixed paraffin-embedded sections) - Anti-EBV Induced Gene 2/EBI2 antibody [EPR27339-565] (AB323862)
  • IHC-P

Supplier Data

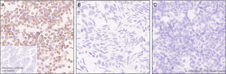
Immunohistochemistry (Formalin/PFA-fixed paraffin-embedded sections) - Anti-EBV Induced Gene 2/EBI2 antibody [EPR27339-565] (AB323862)

Immunohistochemical analysis of paraffin-embedded (A) HEK-293T (human epithelial cell line from embryonic kidney) transfected with a GPR183 expression vector containing a Myc-His tag. (B) HEK-293T transfected with empty vector containing a Myc-His tag. tissue labeling EBV Induced Gene 2/EBI2 with ab323862 at 1/2000 (0.252 ug/ml) dilution, followed by a ready to use LeicaDS9800 (Bond™ Polymer Refine Detection).

Positive staining on (A) HEK-293T (human epithelial cell line from embryonic kidney) transfected with a GPR183 expression vector containing a Myc-His tag and (B) HEK-293T transfected with empty vector containing a Myc-His tag. The section was incubated with ab323862 for 30 mins at room temperature.
The immunostaining was performed on a Leica Biosystems BOND® RX instrument

Counterstained with Hematoxylin.

Secondary antibody only control : Secondary antibody is a ready to use LeicaDS9800 (Bond™ Polymer Refine Detection).

Heat mediated antigen retrieval was performed with Tris-EDTA buffer (pH 9.0, Epitope Retrieval Solution2) for 20 mins

Immunohistochemistry (Formalin/PFA-fixed paraffin-embedded sections) - Anti-EBV Induced Gene 2/EBI2 antibody [EPR27339-565] (AB323862)
  • IHC-P

Supplier Data

Immunohistochemistry (Formalin/PFA-fixed paraffin-embedded sections) - Anti-EBV Induced Gene 2/EBI2 antibody [EPR27339-565] (AB323862)

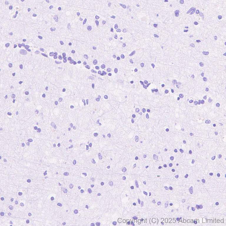
Immunohistochemical analysis of paraffin-embedded Human cerebrum tissue labeling EBV Induced Gene 2/EBI2 with ab323862 at 1/100 (5.03 ug/ml) dilution, followed by a ready to use LeicaDS9800 (Bond™ Polymer Refine Detection).

Negative control : no staining on human cerebrum (PMID : 8383238). The primary antibody was incubated for 30 mins at room temperature.
The immunostaining was performed on a Leica Biosystems BOND® RX instrument

Counterstained with Hematoxylin.

Secondary antibody only control : Secondary antibody is a ready to use LeicaDS9800 (Bond™ Polymer Refine Detection).

Heat mediated antigen retrieval was performed with Tris-EDTA buffer (pH 9.0, Epitope Retrieval Solution2) for 20 mins

Immunohistochemistry (Formalin/PFA-fixed paraffin-embedded sections) - Anti-EBV Induced Gene 2/EBI2 antibody [EPR27339-565] (AB323862)
  • IHC-P

Supplier Data

Immunohistochemistry (Formalin/PFA-fixed paraffin-embedded sections) - Anti-EBV Induced Gene 2/EBI2 antibody [EPR27339-565] (AB323862)

Immunohistochemical analysis of paraffin-embedded Human skeletal muscle tissue labeling EBV Induced Gene 2/EBI2 with ab323862 at 1/100 (5.03 ug/ml) dilution, followed by a ready to use LeicaDS9800 (Bond™ Polymer Refine Detection).

Negative control : no staining on human skeletal muscle (PMID : 8383238). The primary antibody was incubated for 30 mins at room temperature.
The immunostaining was performed on a Leica Biosystems BOND® RX instrument

Counterstained with Hematoxylin.

Secondary antibody only control : Secondary antibody is a ready to use LeicaDS9800 (Bond™ Polymer Refine Detection).

Heat mediated antigen retrieval was performed with Tris-EDTA buffer (pH 9.0, Epitope Retrieval Solution2) for 20 mins

Immunohistochemistry (Formalin/PFA-fixed paraffin-embedded sections) - Anti-EBV Induced Gene 2/EBI2 antibody [EPR27339-565] (AB323862)
  • IHC-P

Supplier Data

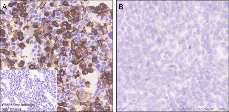
Immunohistochemistry (Formalin/PFA-fixed paraffin-embedded sections) - Anti-EBV Induced Gene 2/EBI2 antibody [EPR27339-565] (AB323862)

Immunohistochemical analysis of paraffin-embedded (A) HDLM-2 (human Hodgkin lymphoma cell) cell pellets. (B) HeLa (human cervical adenocarcinoma epithelial cell) cell pellets. (C) 293T (human embryonic kidney epithelial cell) cell pellets. tissue labeling EBV Induced Gene 2/EBI2 with ab323862 at 1/1000 (0.503 ug/ml) dilution, followed by a ready to use LeicaDS9800 (Bond™ Polymer Refine Detection).

Positive staining on (A) HDLM-2 (human Hodgkin lymphoma cell) cell pellets, no staining on (B) HeLa (human cervical adenocarcinoma epithelial cell) cell pellets and (C) 293T (human embryonic kidney epithelial cell) cell pellets. The section was incubated with ab323862 for 30 mins at room temperature.
The immunostaining was performed on a Leica Biosystems BOND® RX instrument

Counterstained with Hematoxylin.

Secondary antibody only control : Secondary antibody is a ready to use LeicaDS9800 (Bond™ Polymer Refine Detection).

Heat mediated antigen retrieval was performed with Tris-EDTA buffer (pH 9.0, Epitope Retrieval Solution2) for 20 mins

Immunohistochemistry (Formalin/PFA-fixed paraffin-embedded sections) - Anti-EBV Induced Gene 2/EBI2 antibody [EPR27339-565] (AB323862)
  • IHC-P

Supplier Data

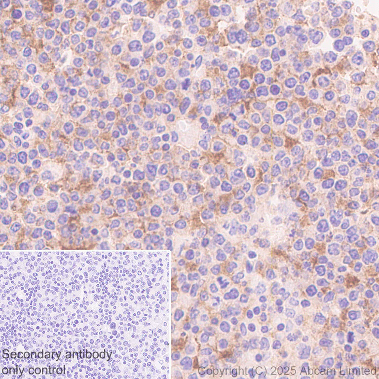
Immunohistochemistry (Formalin/PFA-fixed paraffin-embedded sections) - Anti-EBV Induced Gene 2/EBI2 antibody [EPR27339-565] (AB323862)

Immunohistochemical analysis of paraffin-embedded Human spleen tissue labeling EBV Induced Gene 2/EBI2 with ab323862 at 1/100 (5.03 ug/ml) dilution, followed by a ready to use LeicaDS9800 (Bond™ Polymer Refine Detection).

Positive staining on human spleen (PMID : 16540462). The primary antibody was incubated for 30 mins at room temperature.
The immunostaining was performed on a Leica Biosystems BOND® RX instrument

Counterstained with Hematoxylin.

Secondary antibody only control : Secondary antibody is a ready to use LeicaDS9800 (Bond™ Polymer Refine Detection).

Heat mediated antigen retrieval was performed with Tris-EDTA buffer (pH 9.0, Epitope Retrieval Solution2) for 20 mins

Immunohistochemistry (Formalin/PFA-fixed paraffin-embedded sections) - Anti-EBV Induced Gene 2/EBI2 antibody [EPR27339-565] (AB323862)
  • IHC-P

Supplier Data

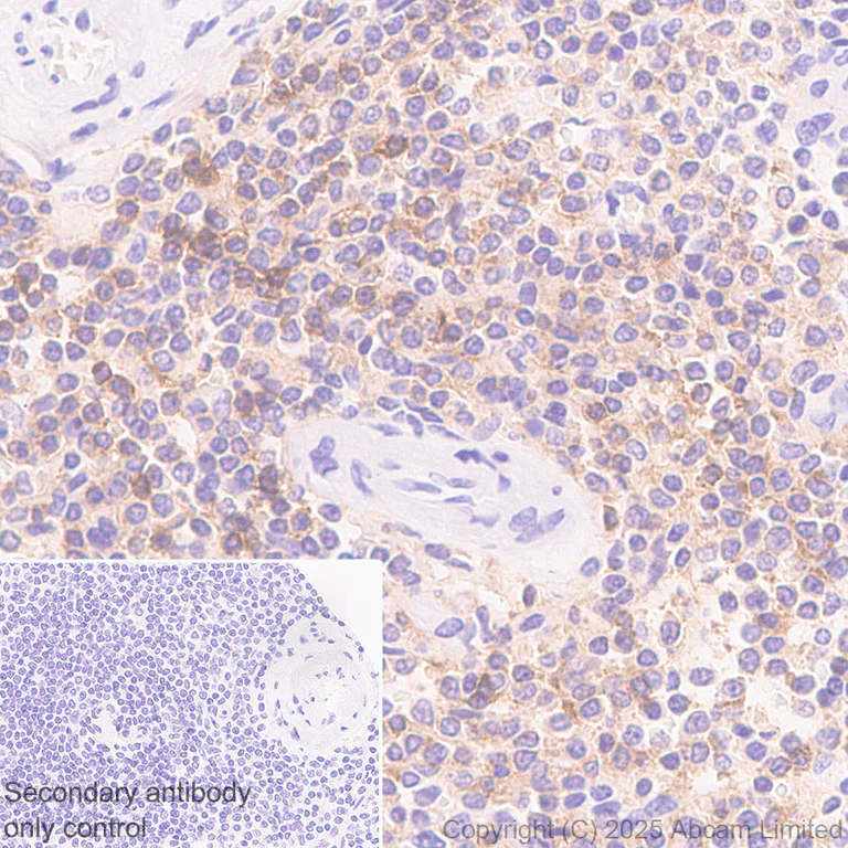
Immunohistochemistry (Formalin/PFA-fixed paraffin-embedded sections) - Anti-EBV Induced Gene 2/EBI2 antibody [EPR27339-565] (AB323862)

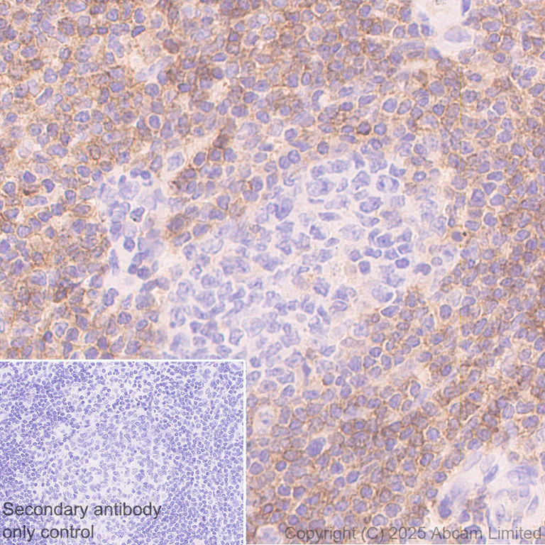
Immunohistochemical analysis of paraffin-embedded Human tonsil tissue labelling EBV Induced Gene 2/EBI2 with ab323862 at 1/100 (5.03 ug/ml) dilution, followed by a ready to use LeicaDS9800 (Bond™ Polymer Refine Detection).

Positive staining on human tonsil. The primary antibody was incubated for 30 mins at room temperature.
The immunostaining was performed on a Leica Biosystems BOND® RX instrument

Counterstained with Hematoxylin.

Secondary antibody only control : Secondary antibody is a ready to use LeicaDS9800 (Bond™ Polymer Refine Detection).

Heat mediated antigen retrieval was performed with Tris-EDTA buffer (pH 9.0, Epitope Retrieval Solution2) for 20 mins

Immunohistochemistry (Formalin/PFA-fixed paraffin-embedded sections) - Anti-EBV Induced Gene 2/EBI2 antibody [EPR27339-565] (AB323862)
  • IHC-P

Supplier Data

Immunohistochemistry (Formalin/PFA-fixed paraffin-embedded sections) - Anti-EBV Induced Gene 2/EBI2 antibody [EPR27339-565] (AB323862)

Immunohistochemical analysis of paraffin-embedded Human non-Hodgkin's lymphoma tissue labeling EBV Induced Gene 2/EBI2 with ab323862 at 1/100 (5.03 ug/ml) dilution, followed by a ready to use LeicaDS9800 (Bond™ Polymer Refine Detection).

Positive staining on human non-Hodgkin's lymphoma. The primary antibody was incubated for 30 mins at room temperature.
The immunostaining was performed on a Leica Biosystems BOND® RX instrument

Counterstained with Hematoxylin.

Secondary antibody only control : Secondary antibody is a ready to use LeicaDS9800 (Bond™ Polymer Refine Detection).

Heat mediated antigen retrieval was performed with Tris-EDTA buffer (pH 9.0, Epitope Retrieval Solution2) for 20 mins

Key facts

Host species

Rabbit

Clonality

Monoclonal

Clone number

EPR27339-565

Isotype

IgG

Carrier free

No

Reacts with

Human

Applications

IHC-P

applications

Immunogen

The exact immunogen used to generate this antibody is proprietary information.

Reactivity data

{ "title": "Reactivity Data", "filters": { "stats": ["", "Species", "Dilution Info", "Notes"], "tabs": { "all-applications": {"fullname" : "All Applications", "shortname": "All Applications"}, "IHCP" : {"fullname" : "Immunohistochemistry (Formalin/PFA-fixed paraffin-embedded sections)", "shortname":"IHC-P"}, "WB" : {"fullname" : "Western blot", "shortname":"WB"} }, "product-promise": { "all": "all", "testedAndGuaranteed": "tested", "guaranteed": "expected", "predicted": "predicted", "notRecommended": "not-recommended" } }, "values": { "Human": { "IHCP-species-checked": "testedAndGuaranteed", "IHCP-species-dilution-info": "1/100 - 1/1000", "IHCP-species-notes": "<p></p> Perform heat-mediated antigen retrieval with Tris/EDTA buffer pH 9.0 before commencing with IHC staining protocol.", "WB-species-checked": "notRecommended", "WB-species-dilution-info": "", "WB-species-notes": "<p></p>" }, "Mouse": { "IHCP-species-checked": "notRecommended", "IHCP-species-dilution-info": "", "IHCP-species-notes": "<p></p>", "WB-species-checked": "notRecommended", "WB-species-dilution-info": "", "WB-species-notes": "<p></p>" }, "Transfected cell line - Human": { "IHCP-species-checked": "testedAndGuaranteed", "IHCP-species-dilution-info": "1/2000", "IHCP-species-notes": "<p></p> Perform heat-mediated antigen retrieval with Tris/EDTA buffer pH 9.0 before commencing with IHC staining protocol.", "WB-species-checked": "notRecommended", "WB-species-dilution-info": "", "WB-species-notes": "" } } }

Product details

What are the advantages of a recombinant monoclonal antibody?
This product is a recombinant monoclonal antibody, which offers several advantages including:

  • - High batch-to-batch consistency and reproducibility
  • - Improved sensitivity and specificity
  • - Long-term security of supply
  • - Animal-free batch production

For more information, read more on recombinant antibodies.

Patented technology
Our RabMAb® technology is a patented hybridoma-based technology for making rabbit monoclonal antibodies. For details on our patents, please refer to RabMAb® patents.

Properties and storage information

Form
Liquid
Purification technique
Affinity purification Protein A
Storage buffer
pH: 7.2 - 7.4 Preservative: 0.01% Sodium azide Constituents: PBS, 40% Glycerol (glycerin, glycerine), 0.05% BSA
Shipped at conditions
Blue Ice
Appropriate short-term storage duration
1-2 weeks
Appropriate short-term storage conditions
+4°C
Appropriate long-term storage conditions
-20°C
Aliquoting information
Upon delivery aliquot
Storage information
Avoid freeze / thaw cycle

Product protocols

For this product, it's our understanding that no specific protocols are required. You can visit:

Target data

G-protein coupled receptor expressed in lymphocytes that acts as a chemotactic receptor for B-cells, T-cells, splenic dendritic cells, monocytes/macrophages and astrocytes (By similarity). Receptor for oxysterol 7-alpha,25-dihydroxycholesterol (7-alpha,25-OHC) and other related oxysterols (PubMed : 21796212, PubMed : 22875855, PubMed : 22930711). Mediates cell positioning and movement of a number of cells by binding the 7-alpha,25-OHC ligand that forms a chemotactic gradient (By similarity). Binding of 7-alpha,25-OHC mediates the correct localization of B-cells during humoral immune responses (By similarity). Guides B-cell movement along the B-cell zone-T-cell zone boundary and later to interfollicular and outer follicular regions (By similarity). Its specific expression during B-cell maturation helps position B-cells appropriately for mounting T-dependent antibody responses (By similarity). Collaborates with CXCR5 to mediate B-cell migration; probably by forming a heterodimer with CXCR5 that affects the interaction between of CXCL13 and CXCR5 (PubMed : 22913878). Also acts as a chemotactic receptor for some T-cells upon binding to 7-alpha,25-OHC ligand (By similarity). Promotes follicular helper T (Tfh) cells differentiation by positioning activated T-cells at the follicle-T-zone interface, promoting contact of newly activated CD4 T-cells with activated dendritic cells and exposing them to Tfh-cell-promoting inducible costimulator (ICOS) ligand (By similarity). Expression in splenic dendritic cells is required for their homeostasis, localization and ability to induce B- and T-cell responses : GPR183 acts as a chemotactic receptor in dendritic cells that mediates the accumulation of CD4(+) dendritic cells in bridging channels (By similarity). Regulates migration of astrocytes and is involved in communication between astrocytes and macrophages (PubMed : 25297897). Promotes osteoclast precursor migration to bone surfaces (By similarity). Signals constitutively through G(i)-alpha, but not G(s)-alpha or G(q)-alpha (PubMed : 21673108, PubMed : 25297897). Signals constitutively also via MAPK1/3 (ERK1/2) (By similarity).
See full target information GPR183

Product promise

We are committed to supporting your work with high-quality reagents, and we're here for you every step of the way. In the unlikely event that one of our products does not perform as expected, you're protected by our Product Promise.
For full details, please see our Terms & Conditions

Please note: All products are 'FOR RESEARCH USE ONLY. NOT FOR USE IN DIAGNOSTIC OR THERAPEUTIC PROCEDURES'.

For licensing inquiries, please contact partnerships@abcam.com