JavaScript is disabled in your browser. Please enable JavaScript to view this website.
AB7502

Anti-EBV Latent Membrane Protein 1 antibody [CS1, CS2, CS3, CS4], prediluted

Be the first to review this product! Submit a review

|

(3 Publications)

Mouse Monoclonal EBV Latent Membrane Protein 1 antibody. Carrier free. Suitable for IHC-Fr, IHC-P and reacts with Epstein-Barr virus samples. Cited in 3 publications.

View Alternative Names

BNLF1, LMP1, Latent membrane protein 1, LMP-1, Protein p63

1 Images
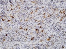
Immunohistochemistry (Formalin/PFA-fixed paraffin-embedded sections) - Anti-EBV Latent Membrane Protein 1 antibody [CS1, CS2, CS3, CS4], prediluted (AB7502)
  • IHC-P

AbReview

Immunohistochemistry (Formalin/PFA-fixed paraffin-embedded sections) - Anti-EBV Latent Membrane Protein 1 antibody [CS1, CS2, CS3, CS4], prediluted (AB7502)

The image shows lung tissue diagnosed with Post-Transplantation Lymphoproliferative Disorder (PTLD). Mononuclear cells are stained brown with DAB chromogen around the cytoplasm - typical for Latent Membrane Protein-1 of EBV.

This picture was kindly supplied as part of the review submitted by Pradeep Rai.

Key facts

Host species

Mouse

Clonality

Monoclonal

Clone number

CS1, CS2, CS3, CS4

Isotype

IgG1

Carrier free

Yes

Reacts with

Epstein-Barr virus

Applications

IHC-P, IHC-Fr

applications

Specificity

This antibody is specific to 60 kD latent membrane protein (LMP1) encoded by the BNLF1 gene of the EBV. Each clone reacts with different epitopes on the hydrophilic c-terminus of the cytoplasmic domain of LMP1. This antibody stains strongly with EBV positive lymphoblastoid cell lines and EBV infected B cell immunoblasts in infectious mononucleosis.

Reactivity data

{ "title": "Reactivity Data", "filters": { "stats": ["", "Species", "Dilution Info", "Notes"], "tabs": { "all-applications": {"fullname" : "All Applications", "shortname": "All Applications"}, "IHCFr" : {"fullname" : "Immunohistochemistry (Frozen sections)", "shortname":"IHC-Fr"}, "IHCP" : {"fullname" : "Immunohistochemistry (Formalin/PFA-fixed paraffin-embedded sections)", "shortname":"IHC-P"} }, "product-promise": { "all": "all", "testedAndGuaranteed": "tested", "guaranteed": "expected", "predicted": "predicted", "notRecommended": "not-recommended" } }, "values": { "Epstein-Barr virus": { "IHCFr-species-checked": "guaranteed", "IHCFr-species-dilution-info": "", "IHCFr-species-notes": "<p></p>", "IHCP-species-checked": "testedAndGuaranteed", "IHCP-species-dilution-info": "", "IHCP-species-notes": "<p></p>" } } }

Properties and storage information

Form
Liquid
Purity
Tissue culture supernatant
Purification notes
This product is supplied as a tissue culture supernatant and contains sodium azide as a preservative.
Storage buffer
pH: 7.3 - 7.5 Constituents: PBS
Shipped at conditions
Blue Ice
Appropriate short-term storage conditions
+4°C
Appropriate long-term storage conditions
+4°C

Supplementary information

This supplementary information is collated from multiple sources and compiled automatically.

EBV Latent Membrane Protein 1 also known as LMP1 is an important oncoprotein of Epstein-Barr virus (EBV). It acts mechanically to modulate cellular signaling pathways. LMP1 weighs approximately 63 kDa. This protein is highly expressed on the surface of lymphocytes and epithelial cells during latent EBV infection. LMP1 comprises several functional domains including Cytoplasmic Tail 1 (CS1) Cytoplasmic Tail 2 (CS2) and Cytoplasmic Tail 3 (CS3). Researchers often study its presence through methods like LMP1 immunohistochemistry (IHC)
Biological function summary

The protein plays a role in cellular transformation and proliferation acting as a mimic of CD40 receptor signaling. Within cells LMP1 aggregates to form oligomeric complexes that actively recruit TRAF and TRADD adapter proteins. This aggregation leads to the activation of NF-κB signaling and the MAPK pathways contributing to increased cell survival and proliferation. LMP1 functions as a major factor in sustaining EBV latency in infected cells and is essential for the virus's oncogenic potential.

Pathways

LMP1 is an integral component of the NF-κB and AP-1 signaling pathways. By engaging with the host cell machinery LMP1 recruits proteins such as IκB kinase complexes leading to the nuclear translocation of NF-κB transcription factors. This results in the transcription of genes related to cell growth and inflammation. LMP1 also interacts with p38 MAPK further enhancing pathways that contribute to EBV’s ability to foster an environment suitable for its persistence and propagation within the host.

LMP1 has strong associations with various malignancies especially nasopharyngeal carcinoma and Hodgkin's lymphoma. The protein’s role in disrupting normal cellular function relates it closely to the pathology of these cancers. It affects the expression of other proteins like c-Myc and Bcl-2 which are often found altered in malignancy. EBV antibodies particularly those targeting LMP1 are used to study the presence and progression of these diseases in infected individuals.

Product protocols

For this product, it's our understanding that no specific protocols are required. You can visit:

Target data

Acts as a CD40 functional homolog to prevent apoptosis of infected B-lymphocytes and drive their proliferation. Functions as a constitutively active tumor necrosis factor receptor that induces the activation of several signaling pathways, including those of the NF-kappa-B family. LMP1 signaling leads to up-regulation of antiapoptotic proteins and provide growth signals in latently infected cells. Interacts with host UBE2I and subsequently affects the sumoylation state of several cellular proteins. For example, induces the sumoylation of host IRF7 thereby limiting its transcriptional activity and modulating the activation of innate immune responses. Inhibits also host IFN-alpha-stimulated STAT2 nuclear translocation and interferon-stimulated response element transcriptional activity by interacting with and inhibiting host TYK2. Induces SUMO expression during viral latency thereby dysregulating the host sumoylation processes (PubMed : 30659232).
See full target information LMP1

Publications (3)

Recent publications for all applications. Explore the full list and refine your search

Nature communications 16:3905 PubMed40280928

2025

T-betCD8 T cells govern anti-PD-1 responses in microsatellite-stable gastric cancers.

Applications

Unspecified application

Species

Unspecified reactive species

Shiying Tang,Xiaofang Che,Jinyan Wang,Ce Li,Xin He,Kezuo Hou,Xiaojie Zhang,Jia Guo,Bowen Yang,Danni Li,Lili Cao,Xiujuan Qu,Zhenning Wang,Yunpeng Liu

PLoS pathogens 16:e1008590 PubMed32542010

2020

EBNA2-deleted Epstein-Barr virus (EBV) isolate, P3HR1, causes Hodgkin-like lymphomas and diffuse large B cell lymphomas with type II and Wp-restricted latency types in humanized mice.

Applications

Unspecified application

Species

Unspecified reactive species

Chunrong Li,James C Romero-Masters,Shane Huebner,Makoto Ohashi,Mitchell Hayes,Jillian A Bristol,Scott E Nelson,Mark R Eichelberg,Nicholas Van Sciver,Erik A Ranheim,Rona S Scott,Eric C Johannsen,Shannon C Kenney

Journal of virology 91: PubMed28179525

2017

Differentiation-Dependent LMP1 Expression Is Required for Efficient Lytic Epstein-Barr Virus Reactivation in Epithelial Cells.

Applications

Unspecified application

Species

Unspecified reactive species

Dhananjay M Nawandar,Makoto Ohashi,Reza Djavadian,Elizabeth Barlow,Kathleen Makielski,Ahmed Ali,Denis Lee,Paul F Lambert,Eric Johannsen,Shannon C Kenney
View all publications

Product promise

We are committed to supporting your work with high-quality reagents, and we're here for you every step of the way. In the unlikely event that one of our products does not perform as expected, you're protected by our Product Promise.
For full details, please see our Terms & Conditions

Please note: All products are 'FOR RESEARCH USE ONLY. NOT FOR USE IN DIAGNOSTIC OR THERAPEUTIC PROCEDURES'.

For licensing inquiries, please contact partnerships@abcam.com