JavaScript is disabled in your browser. Please enable JavaScript to view this website.
AB234710

Anti-ECEL1 antibody

Be the first to review this product! Submit a review

|

(2 Publications)

Rabbit Polyclonal ECEL1 antibody. Suitable for IHC-P, ICC/IF and reacts with Human samples. Cited in 2 publications. Immunogen corresponding to Recombinant Fragment Protein within Human ECEL1 aa 400 to C-terminus.

View Alternative Names

XCE, UNQ2431/PRO4991, ECEL1, Endothelin-converting enzyme-like 1, Xce protein

4 Images
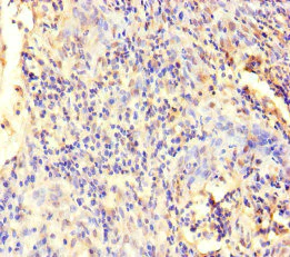
Immunohistochemistry (Formalin/PFA-fixed paraffin-embedded sections) - Anti-ECEL1 antibody (AB234710)
  • IHC-P

Supplier Data

Immunohistochemistry (Formalin/PFA-fixed paraffin-embedded sections) - Anti-ECEL1 antibody (AB234710)

Paraffin-embedded human cervical cancer tissue stained for ECEL1 using ab234710 at 1/100 dilution in immunohistochemical analysis.

Immunocytochemistry/ Immunofluorescence - Anti-ECEL1 antibody (AB234710)
  • ICC/IF

Supplier Data

Immunocytochemistry/ Immunofluorescence - Anti-ECEL1 antibody (AB234710)

HepG2 (human liver hepatocellular carcinoma cell line) cells stained for ECEL1 (green) using ab234710 at 1/100 dilution in ICC/IF. Secondary antibody is Alexa Fluor® 488-conjugated Goat Anti-Rabbit IgG (H+L).

Immunocytochemistry/ Immunofluorescence - Anti-ECEL1 antibody (AB234710)
  • ICC/IF

Supplier Data

Immunocytochemistry/ Immunofluorescence - Anti-ECEL1 antibody (AB234710)

HeLa (human epithelial cell line from cervix adenocarcinoma) cells stained for ECEL1 (green) using ab234710 at 1/100 dilution in ICC/IF. Secondary antibody is Alexa Fluor® 488-conjugated Goat Anti-Rabbit IgG (H+L).

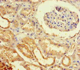
Immunohistochemistry (Formalin/PFA-fixed paraffin-embedded sections) - Anti-ECEL1 antibody (AB234710)
  • IHC-P

Supplier Data

Immunohistochemistry (Formalin/PFA-fixed paraffin-embedded sections) - Anti-ECEL1 antibody (AB234710)

Paraffin-embedded human kidney tissue stained for ECEL1 using ab234710 at 1/100 dilution in immunohistochemical analysis.

Key facts

Host species

Rabbit

Clonality

Polyclonal

Isotype

IgG

Carrier free

No

Reacts with

Human

Applications

ICC/IF, IHC-P

applications

Immunogen

Recombinant Fragment Protein within Human ECEL1 aa 400 to C-terminus. The exact immunogen used to generate this antibody is proprietary information.

O95672

Reactivity data

{ "title": "Reactivity Data", "filters": { "stats": ["", "Species", "Dilution Info", "Notes"], "tabs": { "all-applications": {"fullname" : "All Applications", "shortname": "All Applications"}, "IHCP" : {"fullname" : "Immunohistochemistry (Formalin/PFA-fixed paraffin-embedded sections)", "shortname":"IHC-P"}, "ICCIF" : {"fullname" : "Immunocytochemistry/ Immunofluorescence", "shortname":"ICC/IF"} }, "product-promise": { "all": "all", "testedAndGuaranteed": "tested", "guaranteed": "expected", "predicted": "predicted", "notRecommended": "not-recommended" } }, "values": { "Human": { "IHCP-species-checked": "testedAndGuaranteed", "IHCP-species-dilution-info": "1/20 - 1/200", "IHCP-species-notes": "<p></p>", "ICCIF-species-checked": "testedAndGuaranteed", "ICCIF-species-dilution-info": "1/50 - 1/200", "ICCIF-species-notes": "<p></p>" }, "Mouse": { "IHCP-species-checked": "predicted", "IHCP-species-dilution-info": "", "IHCP-species-notes": "", "ICCIF-species-checked": "predicted", "ICCIF-species-dilution-info": "", "ICCIF-species-notes": "" }, "Rat": { "IHCP-species-checked": "predicted", "IHCP-species-dilution-info": "", "IHCP-species-notes": "", "ICCIF-species-checked": "predicted", "ICCIF-species-dilution-info": "", "ICCIF-species-notes": "" } } }

Properties and storage information

Form
Liquid
Purification technique
Affinity purification Protein G
Purification notes
Purity >95%.
Storage buffer
pH: 7.4 Preservative: 0.03% Proclin 300 Constituents: PBS, 50% Glycerol (glycerin, glycerine)
Shipped at conditions
Blue Ice
Appropriate short-term storage duration
1-2 weeks
Appropriate short-term storage conditions
+4°C
Appropriate long-term storage conditions
-20°C
Aliquoting information
Upon delivery aliquot
Storage information
Avoid freeze / thaw cycle

Supplementary information

This supplementary information is collated from multiple sources and compiled automatically.

ECEL1 also known as endothelin-converting enzyme-like 1 or puromycin-sensitive aminopeptidase is a zinc-dependent metalloprotease with a molecular mass of about 85 kDa. This enzyme primarily expresses in the nervous system indicating a unique role in neuronal function. ECEL1 localizes in the endoplasmic reticulum and Golgi apparatus participating in processing neuropeptides although its full range of substrates is not completely defined.
Biological function summary

ECEL1 functions to modulate neuropeptide activity by cleaving specific peptide bonds acting as a critical regulator in the nervous system. It does not appear to form part of a larger protein complex but interacts closely with other enzymes involved in neuropeptide processing. Through its enzymatic activity ECEL1 plays a role in maintaining neurotransmitter balance thereby influencing nervous system communication.

Pathways

ECEL1 participates in neuropeptide and signaling pathways such as the endothelin-signaling pathway. ECEL1's activity impacts the function and expression of proteins like endothelin and other neuropeptides involved in vasoconstriction and neurotransmission. ECEL1 works alongside enzymes like neprilysin cooperating in peptide degradation and activation processes within these pathways.

ECEL1 has association with musculoskeletal and neurological conditions including congenital contractural arachnodactyly. Mutations in ECEL1 can lead to disruptions in neuropeptide processing contributing to developmental abnormalities. Moreover studies suggest an involvement of ECEL1 with proteins such as those related to collagen metabolism linking it to connective tissue disorders and highlighting its role in proper muscular and neuronal development.

Product protocols

For this product, it's our understanding that no specific protocols are required. You can visit:

Target data

May contribute to the degradation of peptide hormones and be involved in the inactivation of neuronal peptides.
See full target information ECEL1

Publications (2)

Recent publications for all applications. Explore the full list and refine your search

Cell stem cell 30:677-688.e5 PubMed37019105

2023

Generation of ventralized human thalamic organoids with thalamic reticular nucleus.

Applications

Unspecified application

Species

Unspecified reactive species

Ferdi Ridvan Kiral,Bilal Cakir,Yoshiaki Tanaka,Jonghun Kim,Woo Sub Yang,Fabien Wehbe,Young-Jin Kang,Mei Zhong,Gizem Sancer,Sang-Hun Lee,Yangfei Xiang,In-Hyun Park

Cell reports 40:111086 PubMed35858576

2022

Hyperosmotic-stress-induced liquid-liquid phase separation of ALS-related proteins in the nucleus.

Applications

Unspecified application

Species

Unspecified reactive species

Chao Gao,Jinge Gu,Hong Zhang,Kai Jiang,Linlin Tang,Ren Liu,Li Zhang,Pengfei Zhang,Cong Liu,Bin Dai,Jie Song
View all publications

Product promise

We are committed to supporting your work with high-quality reagents, and we're here for you every step of the way. In the unlikely event that one of our products does not perform as expected, you're protected by our Product Promise.
For full details, please see our Terms & Conditions

Please note: All products are 'FOR RESEARCH USE ONLY. NOT FOR USE IN DIAGNOSTIC OR THERAPEUTIC PROCEDURES'.

For licensing inquiries, please contact partnerships@abcam.com