JavaScript is disabled in your browser. Please enable JavaScript to view this website.
AB170108

Anti-ECHS1 antibody [EPR11784(B)]

Be the first to review this product! Submit a review

|

(3 Publications)

Rabbit Recombinant Monoclonal ECHS1 antibody. Suitable for IHC-P, WB, Flow Cyt (Intra) and reacts with Human, Mouse, Rat samples. Cited in 3 publications.

View Alternative Names

mECH, mECH1, Enoyl-CoA hydratase 1, Short-chain enoyl-CoA hydratase, ECHS1, SCEH

4 Images
Flow Cytometry (Intracellular) - Anti-ECHS1 antibody [EPR11784(B)] (AB170108)
  • Flow Cyt (Intra)

Supplier Data

Flow Cytometry (Intracellular) - Anti-ECHS1 antibody [EPR11784(B)] (AB170108)

Intracellular flow cytometric analysis of permeabilized HeLa cells labeling ECHS1with ab170108at 1/100 dilution (red) compared toa rabbit IgG negative control (green).

Immunohistochemistry (Formalin/PFA-fixed paraffin-embedded sections) - Anti-ECHS1 antibody [EPR11784(B)] (AB170108)
  • IHC-P

Supplier Data

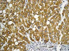
Immunohistochemistry (Formalin/PFA-fixed paraffin-embedded sections) - Anti-ECHS1 antibody [EPR11784(B)] (AB170108)

Immunohistochemical analysis of paraffin-embedded Human liver tissue labeling ECHS1 with ab170108 at 1/100 dilution.

Perform heat mediated antigen retrieval with citrate buffer pH 6 before commencing with IHC staining protocol.

Immunohistochemistry (Formalin/PFA-fixed paraffin-embedded sections) - Anti-ECHS1 antibody [EPR11784(B)] (AB170108)
  • IHC-P

Supplier Data

Immunohistochemistry (Formalin/PFA-fixed paraffin-embedded sections) - Anti-ECHS1 antibody [EPR11784(B)] (AB170108)

Immunohistochemical analysis of paraffin-embedded Human cardiac muscle tissue labeling ECHS1 with ab170108 at 1/100 dilution.

Perform heat mediated antigen retrieval with citrate buffer pH 6 before commencing with IHC staining protocol.

Western blot - Anti-ECHS1 antibody [EPR11784(B)] (AB170108)
  • WB

Supplier Data

Western blot - Anti-ECHS1 antibody [EPR11784(B)] (AB170108)

All lanes:

Western blot - Anti-ECHS1 antibody [EPR11784(B)] (ab170108) at 1/1000 dilution

Lane 1:

Fetal liver lysate at 10 µg

Lane 2:

HeLa cell lysate at 10 µg

Secondary

All lanes:

HRP labeled goat anti-rabbit at 1/2000 dilution

Predicted band size: 31 kDa

false

  • Carrier free

    Anti-ECHS1 antibody [EPR11784(B)] - BSA and Azide free

Key facts

Host species

Rabbit

Clonality

Monoclonal

Clone number

EPR11784(B)

Isotype

IgG

Carrier free

No

Reacts with

Human

Applications

Flow Cyt (Intra), IHC-P, WB

applications

Immunogen

The exact immunogen used to generate this antibody is proprietary information.

Reactivity data

{ "title": "Reactivity Data", "filters": { "stats": ["", "Species", "Dilution Info", "Notes"], "tabs": { "all-applications": {"fullname" : "All Applications", "shortname": "All Applications"}, "IHCP" : {"fullname" : "Immunohistochemistry (Formalin/PFA-fixed paraffin-embedded sections)", "shortname":"IHC-P"}, "ICCIF" : {"fullname" : "Immunocytochemistry/ Immunofluorescence", "shortname":"ICC/IF"}, "IP" : {"fullname" : "Immunoprecipitation", "shortname":"IP"}, "WB" : {"fullname" : "Western blot", "shortname":"WB"}, "FlowCytIntra" : {"fullname" : "Flow Cytometry (Intracellular)", "shortname":"Flow Cyt (Intra)"} }, "product-promise": { "all": "all", "testedAndGuaranteed": "tested", "guaranteed": "expected", "predicted": "predicted", "notRecommended": "not-recommended" } }, "values": { "Human": { "IHCP-species-checked": "testedAndGuaranteed", "IHCP-species-dilution-info": "1/100 - 1/250", "IHCP-species-notes": "<p></p>", "ICCIF-species-checked": "notRecommended", "ICCIF-species-dilution-info": "", "ICCIF-species-notes": "<p></p>", "IP-species-checked": "notRecommended", "IP-species-dilution-info": "", "IP-species-notes": "<p></p>", "WB-species-checked": "testedAndGuaranteed", "WB-species-dilution-info": "1/1000 - 1/10000", "WB-species-notes": "<p></p>", "FlowCytIntra-species-checked": "testedAndGuaranteed", "FlowCytIntra-species-dilution-info": "1/100 - 1/500", "FlowCytIntra-species-notes": "<p><a href='/en-us/products/primary-antibodies/rabbit-igg-monoclonal-epr25a-isotype-control-ab172730'>ab172730</a> - Rabbit monoclonal IgG, is suitable for use as an isotype control with this antibody.</p>" }, "Mouse": { "IHCP-species-checked": "predicted", "IHCP-species-dilution-info": "", "IHCP-species-notes": "", "ICCIF-species-checked": "notRecommended", "ICCIF-species-dilution-info": "", "ICCIF-species-notes": "", "IP-species-checked": "notRecommended", "IP-species-dilution-info": "", "IP-species-notes": "", "WB-species-checked": "guaranteed", "WB-species-dilution-info": "", "WB-species-notes": "<p></p>", "FlowCytIntra-species-checked": "predicted", "FlowCytIntra-species-dilution-info": "", "FlowCytIntra-species-notes": "" }, "Rat": { "IHCP-species-checked": "predicted", "IHCP-species-dilution-info": "", "IHCP-species-notes": "", "ICCIF-species-checked": "notRecommended", "ICCIF-species-dilution-info": "", "ICCIF-species-notes": "", "IP-species-checked": "notRecommended", "IP-species-dilution-info": "", "IP-species-notes": "", "WB-species-checked": "guaranteed", "WB-species-dilution-info": "", "WB-species-notes": "<p></p>", "FlowCytIntra-species-checked": "predicted", "FlowCytIntra-species-dilution-info": "", "FlowCytIntra-species-notes": "" } } }

Product details

Patented technology
Our RabMAb® technology is a patented hybridoma-based technology for making rabbit monoclonal antibodies. For details on our patents, please refer to RabMAb® patents.

What are the advantages of a recombinant monoclonal antibody?
This product is a recombinant monoclonal antibody, which offers several advantages including:

  • - High batch-to-batch consistency and reproducibility
  • - Improved sensitivity and specificity
  • - Long-term security of supply
  • - Animal-free batch production

For more information, read more on recombinant antibodies.

Properties and storage information

Form
Liquid
Purity
Tissue culture supernatant
Storage buffer
pH: 7.2 - 7.4 Preservative: 0.01% Sodium azide Constituents: PBS, 50% Tissue culture supernatant, 40% Glycerol (glycerin, glycerine), 0.05% BSA
Shipped at conditions
Blue Ice
Appropriate short-term storage duration
1-2 weeks
Appropriate short-term storage conditions
+4°C
Appropriate long-term storage conditions
-20°C
Aliquoting information
Upon delivery aliquot
Storage information
Avoid freeze / thaw cycle

Supplementary information

This supplementary information is collated from multiple sources and compiled automatically.

ECHS1 Enoyl-CoA Hydratase mitochondrial also known as short-chain enoyl-CoA hydratase 1 is a mitochondrial enzyme involved in fatty acid metabolism. It has a molecular mass of approximately 30 kDa. This protein is expressed predominantly in tissues with high energy demands like heart and skeletal muscle. ECHS1 catalyzes the hydration of enoyl-CoA to 3-hydroxyacyl-CoA playing a significant role in the beta-oxidation pathway of fatty acid breakdown.
Biological function summary

ECHS1 functions as an important enzyme in the mitochondrial fatty acid degradation pathway. It participates as a component of the fatty acid beta-oxidation complex where it collaborates with other enzymes to facilitate energy production through lipids. ECHS1 ensures the conversion of unsaturated fatty acids into metabolites usable in subsequent steps of the energy cycle supporting cellular metabolism.

Pathways

ECHS1 lies within the beta-oxidation pathway of fatty acids important for the energy supply in mitochondria. This pathway directly links to the citric acid cycle (Krebs cycle) where acetyl-CoA produced through beta-oxidation gets further oxidized for energy generation. ECHS1 functions in concert with other enzymes such as Acyl-CoA dehydrogenases that precede its action in the pathway ensuring complete fatty acid degradation.

Defects in ECHS1 activity associate with rare metabolic disorders like short-chain enoyl-CoA hydratase deficiency. This deficiency leads to a build-up of toxic metabolites affecting the nervous system and muscle function. Moreover abnormalities in ECHS1 expression can relate to mitochondrial diseases impacting proteins such as Pyruvate dehydrogenase which further disrupts energy metabolism. Understanding ECHS1's role in these processes has important implications for diagnosing and developing treatments for metabolic conditions.

Product protocols

For this product, it's our understanding that no specific protocols are required. You can visit:

Target data

Converts unsaturated trans-2-enoyl-CoA species ((2E)-enoyl-CoA) to the corresponding (3S)-3hydroxyacyl-CoA species through addition of a water molecule to the double bond (PubMed : 25125611, PubMed : 26251176). Catalyzes the hydration of medium- and short-chained fatty enoyl-CoA thioesters from 4 carbons long (C4) up to C16 (PubMed : 26251176). Has high substrate specificity for crotonyl-CoA ((2E)-butenoyl-CoA) and moderate specificity for acryloyl-CoA, 3-methylcrotonyl-CoA (3-methyl-(2E)-butenoyl-CoA) and methacrylyl-CoA ((2E)-2-methylpropenoyl-CoA) (PubMed : 26251176). Can bind tiglyl-CoA (2-methylcrotonoyl-CoA), but hydrates only a small amount of this substrate (PubMed : 26251176). Plays a key role in the beta-oxidation spiral of short- and medium-chain fatty acid oxidation (PubMed : 25125611, PubMed : 26251176). At a lower rate than the hydratase reaction, catalyzes the isomerase reaction of trans-3-enoyl-CoA species (such as (3E)-hexenoyl-CoA) to trans-2-enoyl-CoA species (such as (2E)-hexenoyl-CoA), which are subsequently hydrated to 3(S)-3-hydroxyacyl-CoA species (such as (3S)-hydroxyhexanoyl-CoA) (By similarity).
See full target information Enoyl-CoA hydratase, mitochondrial

Publications (3)

Recent publications for all applications. Explore the full list and refine your search

Journal of cellular and molecular medicine 25:8863-8876 PubMed34402182

2021

Astragaloside IV ameliorates fat metabolism in the liver of ageing mice through targeting mitochondrial activity.

Applications

Unspecified application

Species

Unspecified reactive species

Zhixiao Luo,Yaqi Wang,Mengzhen Xue,Fangqi Xia,Leiqi Zhu,Yuanyang Li,Dengke Jia,Silong Chen,Guangfu Xu,Yan Lei

Virology journal 18:39 PubMed33602268

2021

Differential mitochondrial proteomic analysis of A549 cells infected with avian influenza virus subtypes H5 and H9.

Applications

Unspecified application

Species

Unspecified reactive species

Yuting Yang,Yun Zhang,Changcheng Yang,Fang Fang,Ying Wang,Haiyan Chang,Ze Chen,Ping Chen

Alcoholism, clinical and experimental research 41:1675-1685 PubMed28792616

2017

Proteomic Profiling of Liver and Plasma in Chronic Ethanol Feeding Model of Hepatic Alcohol Dehydrogenase-Deficient Deer Mice.

Applications

Unspecified application

Species

Unspecified reactive species

Kamlesh K Bhopale,Samir M Amer,Lata Kaphalia,Kizhake V Soman,John E Wiktorowicz,Ghulam A Shakeel Ansari,Bhupendra S Kaphalia
View all publications

Product promise

We are committed to supporting your work with high-quality reagents, and we're here for you every step of the way. In the unlikely event that one of our products does not perform as expected, you're protected by our Product Promise.
For full details, please see our Terms & Conditions

Please note: All products are 'FOR RESEARCH USE ONLY. NOT FOR USE IN DIAGNOSTIC OR THERAPEUTIC PROCEDURES'.

For licensing inquiries, please contact partnerships@abcam.com