JavaScript is disabled in your browser. Please enable JavaScript to view this website.
AB314894

Anti-ECM Isoform 1 antibody [EPR25810-46] - BSA and Azide free

Be the first to review this product! Submit a review

|

(0 Publication)

Rabbit Recombinant Monoclonal ECM antibody. Carrier free. Suitable for WB, IHC-P, ICC/IF and reacts with Human samples.

View Alternative Names

ECM, EMILIN4, GPIA*, MMRN, MMRN1, Multimerin-1, EMILIN-4, Elastin microfibril interface located protein 4, Endothelial cell multimerin, Elastin microfibril interfacer 4

6 Images
Immunohistochemistry (Formalin/PFA-fixed paraffin-embedded sections) - Anti-ECM Isoform 1 antibody [EPR25810-46] - BSA and Azide free (AB314894)
  • IHC-P

Supplier Data

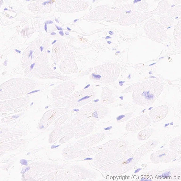
Immunohistochemistry (Formalin/PFA-fixed paraffin-embedded sections) - Anti-ECM Isoform 1 antibody [EPR25810-46] - BSA and Azide free (AB314894)

This data was developed using ab314893, the same antibody clone in a different buffer formulation.

Immunohistochemical analysis of paraffin-embedded human cardiac muscle tissue labeling ECM Isoform 1 with ab314893 at 1/5000 (0.104 ug/ml) followed by a ready to use LeicaDS9800 (Bond™ Polymer Refine Detection). Negative control : No staining on human cardiac muscle. The section was incubated with ab314893 for 30 mins at room temperature. The immunostaining was performed on a Leica Biosystems BOND® RX instrument. Counterstained with Hematoxylin.

Secondary antibody only control : Secondary antibody is a ready to use LeicaDS9800 (Bond™ Polymer Refine Detection).

Heat mediated antigen retrieval was performed with Tris-EDTA buffer (pH 9.0, Epitope Retrieval Solution2) for 20 mins

Immunohistochemistry (Formalin/PFA-fixed paraffin-embedded sections) - Anti-ECM Isoform 1 antibody [EPR25810-46] - BSA and Azide free (AB314894)
  • IHC-P

Supplier Data

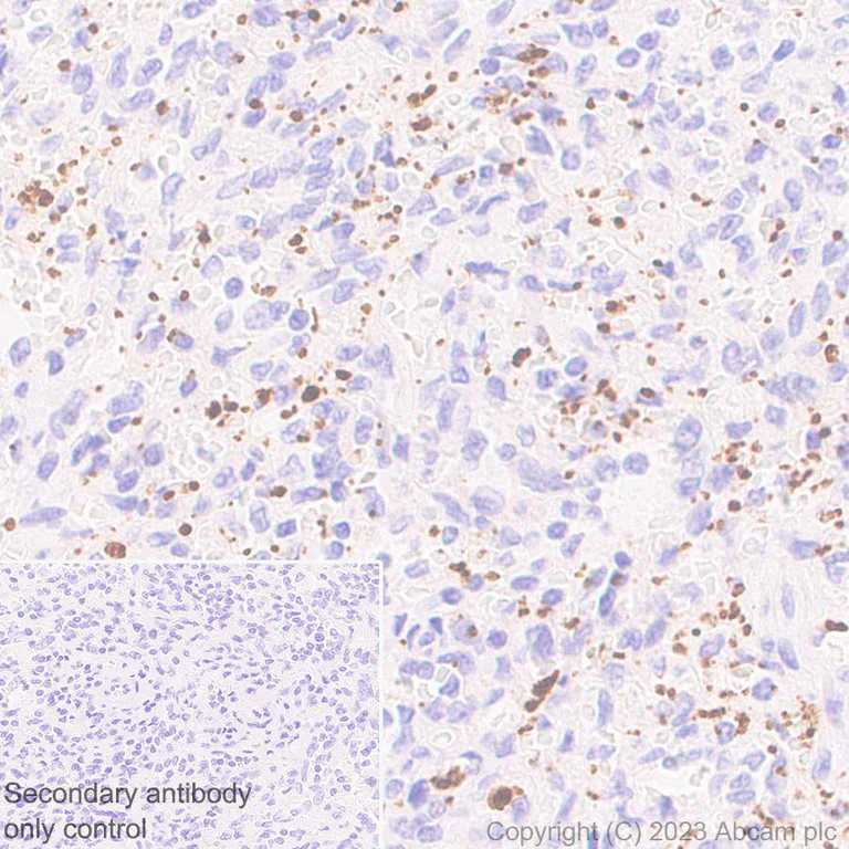
Immunohistochemistry (Formalin/PFA-fixed paraffin-embedded sections) - Anti-ECM Isoform 1 antibody [EPR25810-46] - BSA and Azide free (AB314894)

This data was developed using ab314893, the same antibody clone in a different buffer formulation.

Immunohistochemical analysis of paraffin-embedded human liver tissue labeling ECM Isoform 1 with ab314893 at 1/5000 (0.104 ug/ml) followed by a ready to use LeicaDS9800 (Bond™ Polymer Refine Detection). Positive staining on endothelial cells and platelets in human liver. The section was incubated with ab314893 for 30 mins at room temperature. The immunostaining was performed on a Leica Biosystems BOND® RX instrument. Counterstained with Hematoxylin.

Secondary antibody only control : Secondary antibody is a ready to use LeicaDS9800 (Bond™ Polymer Refine Detection).

Heat mediated antigen retrieval was performed with Tris-EDTA buffer (pH 9.0, Epitope Retrieval Solution2) for 20 mins

Immunohistochemistry (Formalin/PFA-fixed paraffin-embedded sections) - Anti-ECM Isoform 1 antibody [EPR25810-46] - BSA and Azide free (AB314894)
  • IHC-P

Supplier Data

Immunohistochemistry (Formalin/PFA-fixed paraffin-embedded sections) - Anti-ECM Isoform 1 antibody [EPR25810-46] - BSA and Azide free (AB314894)

This data was developed using ab314893, the same antibody clone in a different buffer formulation.

Immunohistochemical analysis of paraffin-embedded human spleen tissue labeling ECM Isoform 1 with ab314893 at 1/5000 (0.104 ug/ml) followed by a ready to use LeicaDS9800 (Bond™ Polymer Refine Detection). Positive staining on platelets in human spleen. The section was incubated with ab314893 for 30 mins at room temperature. The immunostaining was performed on a Leica Biosystems BOND® RX instrument Counterstained with Hematoxylin.

Secondary antibody only control : Secondary antibody is a ready to use LeicaDS9800 (Bond™ Polymer Refine Detection).

Heat mediated antigen retrieval was performed with Tris-EDTA buffer (pH 9.0, Epitope Retrieval Solution2) for 20 mins

Immunocytochemistry/ Immunofluorescence - Anti-ECM Isoform 1 antibody [EPR25810-46] - BSA and Azide free (AB314894)
  • ICC/IF

Supplier Data

Immunocytochemistry/ Immunofluorescence - Anti-ECM Isoform 1 antibody [EPR25810-46] - BSA and Azide free (AB314894)

This data was developed using ab314893, the same antibody clone in a different buffer formulation.

Immunofluorescent analysis of 4% Paraformaldehyde-fixed, 0.1% TritonX-100 permeabilized HUVEC (human umbilical vein endothelial cell) cells labelling ECM Isoform 1 with ab314893 at 1/100 (1.044 ug/ml) dilution, followed by ab150081 Goat Anti-Rabbit IgG H&L (Alexa Fluor® 488) preadsorbed antibody at 1/1000 (2 ug/mL) dilution (Green). Confocal image showing cytoplasmic staining in HUVEC cell line. Negative control : A549. Image was taken with a confocal microscope (Leica-Microsystems, TCS SP8). ab195889 Anti-alpha Tubulin mouse monoclonal antibody - Microtubule Marker (Alexa Fluor® 594) was used to counterstain tubulin at 1/200 (2.5ug/ ml) dilution (Red). The Nuclear counterstain was DAPI (Blue).

Secondary antibody only control : Secondary antibody is ab150081 Goat Anti-Rabbit IgG H&L (Alexa Fluor® 488) preadsorbed at 1/1000 (2 ug/mL) dilution.

Western blot - Anti-ECM Isoform 1 antibody [EPR25810-46] - BSA and Azide free (AB314894)
  • WB

Supplier Data

Western blot - Anti-ECM Isoform 1 antibody [EPR25810-46] - BSA and Azide free (AB314894)

This data was developed using ab314893, the same antibody clone in a different buffer formulation.

Blocking and diluting buffer and concentration : 5% NFDM/TBST

Low expression : plasma

The molecular weight observed is consistent with what has been described in the literature (PMID : 33179420, 19132231).

All lanes:

Western blot - Anti-ECM Isoform 1 antibody [EPR25810-46] (<a href='/en-us/products/primary-antibodies/ecm-isoform-1-antibody-epr25810-46-ab314893'>ab314893</a>) at 1/1000 dilution

Lane 1:

Human serum at 20 µg

Lane 2:

Human plasma at 20 µg

Secondary

All lanes:

Goat Anti-Rabbit IgG (HRP) with minimal cross-reactivity with human IgG at 1/2000 dilution

Observed band size: 186 kDa

false

Exposure time: 59s

Western blot - Anti-ECM Isoform 1 antibody [EPR25810-46] - BSA and Azide free (AB314894)
  • WB

Supplier Data

Western blot - Anti-ECM Isoform 1 antibody [EPR25810-46] - BSA and Azide free (AB314894)

This data was developed using ab314893, the same antibody clone in a different buffer formulation.

Blocking and diluting buffer and concentration : 5% NFDM/TBST

Negative control : A549

The molecular weight observed is consistent with what has been described in the literature (PMID : 33179420, 19132231).

Lysates were freshly made and used for Western blotting immediately to minimize protein degradation.

In Western blot, Anti-GAPDH antibody [EPR16891] - Loading Control (ab181602) staining at 1/200000 dilution.

All lanes:

Western blot - Anti-ECM Isoform 1 antibody [EPR25810-46] (<a href='/en-us/products/primary-antibodies/ecm-isoform-1-antibody-epr25810-46-ab314893'>ab314893</a>) at 1/1000 dilution

Lane 1:

HUVEC (human umbilical vein endothelial cell) whole cell lysate at 20 µg

Lane 2:

A549 (human lung carcinoma epithelial cell) whole cell lysate at 20 µg

Secondary

All lanes:

Western blot - Goat Anti-Rabbit IgG H&L (HRP) (<a href='/en-us/products/secondary-antibodies/goat-rabbit-igg-h-l-hrp-ab97051'>ab97051</a>) at 1/100000 dilution

Observed band size: 186 kDa,36 kDa

false

Exposure time: 180s

Key facts

Host species

Rabbit

Clonality

Monoclonal

Clone number

EPR25810-46

Isotype

IgG

Carrier free

Yes

Reacts with

Human

Applications

WB, IHC-P, ICC/IF

applications

Immunogen

The exact immunogen used to generate this antibody is proprietary information.

Specificity

This antibody is specifically recognized ECM Isoform 1.

Reactivity data

{ "title": "Reactivity Data", "filters": { "stats": ["", "Species", "Dilution Info", "Notes"], "tabs": { "all-applications": {"fullname" : "All Applications", "shortname": "All Applications"}, "WB" : {"fullname" : "Western blot", "shortname":"WB"}, "IHCP" : {"fullname" : "Immunohistochemistry (Formalin/PFA-fixed paraffin-embedded sections)", "shortname":"IHC-P"}, "ICCIF" : {"fullname" : "Immunocytochemistry/ Immunofluorescence", "shortname":"ICC/IF"}, "IP" : {"fullname" : "Immunoprecipitation", "shortname":"IP"}, "FlowCytIntra" : {"fullname" : "Flow Cytometry (Intracellular)", "shortname":"Flow Cyt (Intra)"} }, "product-promise": { "all": "all", "testedAndGuaranteed": "tested", "guaranteed": "expected", "predicted": "predicted", "notRecommended": "not-recommended" } }, "values": { "Human": { "WB-species-checked": "testedAndGuaranteed", "WB-species-dilution-info": "", "WB-species-notes": "<p></p>", "IHCP-species-checked": "testedAndGuaranteed", "IHCP-species-dilution-info": "", "IHCP-species-notes": "<p></p>", "ICCIF-species-checked": "testedAndGuaranteed", "ICCIF-species-dilution-info": "", "ICCIF-species-notes": "<p></p>", "IP-species-checked": "notRecommended", "IP-species-dilution-info": "", "IP-species-notes": "<p></p>", "FlowCytIntra-species-checked": "notRecommended", "FlowCytIntra-species-dilution-info": "", "FlowCytIntra-species-notes": "<p></p>" }, "Mouse": { "WB-species-checked": "notRecommended", "WB-species-dilution-info": "", "WB-species-notes": "<p></p>", "IHCP-species-checked": "notRecommended", "IHCP-species-dilution-info": "", "IHCP-species-notes": "<p></p>", "ICCIF-species-checked": "notRecommended", "ICCIF-species-dilution-info": "", "ICCIF-species-notes": "<p></p>", "IP-species-checked": "notRecommended", "IP-species-dilution-info": "", "IP-species-notes": "", "FlowCytIntra-species-checked": "notRecommended", "FlowCytIntra-species-dilution-info": "", "FlowCytIntra-species-notes": "<p></p>" }, "Rat": { "WB-species-checked": "notRecommended", "WB-species-dilution-info": "", "WB-species-notes": "<p></p>", "IHCP-species-checked": "notRecommended", "IHCP-species-dilution-info": "", "IHCP-species-notes": "<p></p>", "ICCIF-species-checked": "notRecommended", "ICCIF-species-dilution-info": "", "ICCIF-species-notes": "", "IP-species-checked": "notRecommended", "IP-species-dilution-info": "", "IP-species-notes": "", "FlowCytIntra-species-checked": "notRecommended", "FlowCytIntra-species-dilution-info": "", "FlowCytIntra-species-notes": "" } } }

Product details

ab314894 is the carrier-free version of ab314893.

Patented technology
Our RabMAb® technology is a patented hybridoma-based technology for making rabbit monoclonal antibodies. For details on our patents, please refer to RabMAb® patents.

What are the advantages of a recombinant monoclonal antibody?
This product is a recombinant monoclonal antibody, which offers several advantages including:

  • - High batch-to-batch consistency and reproducibility
  • - Improved sensitivity and specificity
  • - Long-term security of supply
  • - Animal-free batch production

For more information, read more on recombinant antibodies.

Conjugation ready
Our carrier-free antibodies are typically supplied in a PBS-only formulation, purified and free of BSA, sodium azide and glycerol. This conjugation-ready format is designed for use with fluorochromes, metal isotopes, oligonucleotides, and enzymes, which makes them ideal for antibody labelling, functional and cell-based assays, flow-based assays (e.g. mass cytometry) and Multiplex Imaging applications.

Use our conjugation kits for antibody conjugates that are ready-to-use in as little as 20 minutes with 1 minute hands-on-time and 100% antibody recovery: available for fluorescent dyes, HRP, biotin and gold.

Compatibility
This product is compatible with the Maxpar® Antibody Labeling Kit from Fluidigm, without the need for antibody preparation. Maxpar® is a trademark of Fluidigm Canada Inc.

Properties and storage information

Form
Liquid
Purification technique
Affinity purification Protein A
Storage buffer
pH: 7.2 - 7.4 Constituents: PBS
Shipped at conditions
Blue Ice
Appropriate short-term storage conditions
+4°C
Appropriate long-term storage conditions
+4°C

Supplementary information

This supplementary information is collated from multiple sources and compiled automatically.

ECM Isoform 1 also known as Extracellular Matrix Protein Isoform 1 is a structural component of the extracellular matrix (ECM). It has a mass of approximately 90 kDa. This protein is mainly expressed in connective tissue playing a role in maintaining structural integrity of tissues by providing a scaffold for cellular attachment. The ECM in which ECM Isoform 1 participates is important for tissue repair and cellular signaling making it essential for various physiological processes.
Biological function summary

ECM Isoform 1 contributes to tissue homeostasis and repair processes. It is part of a complex matrix that interacts with integrins and other cell surface receptors facilitating cell adhesion and migration. The protein also influences cell differentiation and proliferation by interacting with growth factors. These interactions help modulate cellular responses required for tissue repair immune responses and development.

Pathways

ECM Isoform 1 plays a role in the integrin signaling and wound healing pathways. It interacts with integrin receptors mediating signals that regulate cell adhesion and migration. These pathways are important for cellular responses to injury and inflammation. ECM Isoform 1 also connects with proteins like collagen and fibronectin which further supports structural integrity and interactions within the ECM.

ECM Isoform 1 has been implicated in fibrosis and cancer. Alterations in its expression or structure can contribute to the development of fibrotic tissues where excessive ECM deposition occurs. The protein also connects with matrix metalloproteinases (MMPs) enzymes that degrade ECM components influencing cancer metastasis by affecting the tumor microenvironment and facilitating the invasion of cancer cells. Understanding its interactions and modifications in these conditions may provide insights into therapeutic strategies.

Product protocols

For this product, it's our understanding that no specific protocols are required. You can visit:

Target data

Carrier protein for platelet (but not plasma) factor V/Va. Plays a role in the storage and stabilization of factor V in platelets. Upon release following platelet activation, may limit platelet and plasma factor Va-dependent thrombin generation. Ligand for integrin alpha-IIb/beta-3 and integrin alpha-V/beta-3 on activated platelets, and may function as an extracellular matrix or adhesive protein.
See full target information MMRN1

Product promise

We are committed to supporting your work with high-quality reagents, and we're here for you every step of the way. In the unlikely event that one of our products does not perform as expected, you're protected by our Product Promise.
For full details, please see our Terms & Conditions

Please note: All products are 'FOR RESEARCH USE ONLY. NOT FOR USE IN DIAGNOSTIC OR THERAPEUTIC PROCEDURES'.

For licensing inquiries, please contact partnerships@abcam.com