JavaScript is disabled in your browser. Please enable JavaScript to view this website.
AB324657

Anti-ECT2 antibody [ECO311E]

Be the first to review this product! Submit a review

|

(0 Publication)

Mouse Recombinant Monoclonal ECT2 antibody. Suitable for I-ELISA, IHC-P, WB and reacts with Human samples.

View Alternative Names

Protein ECT2, Epithelial cell-transforming sequence 2 oncogene, ECT2

7 Images
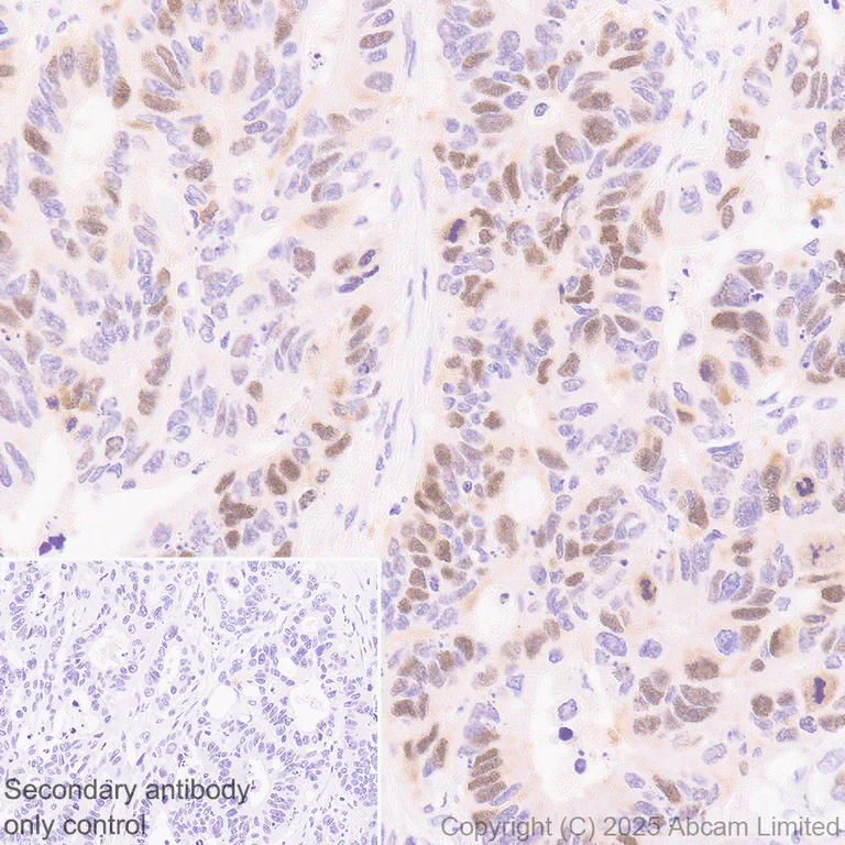
Immunohistochemistry (Formalin/PFA-fixed paraffin-embedded sections) - Anti-ECT2 antibody [ECO311E] (AB324657)
  • IHC-P

Supplier Data

Immunohistochemistry (Formalin/PFA-fixed paraffin-embedded sections) - Anti-ECT2 antibody [ECO311E] (AB324657)

Immunohistochemical analysis of paraffin-embedded Human cervical cancer tissue labeling ECT2 with ab324657 at 1/100 (9.37 ug/ml) dilution, followed by a ready to use LeicaDS9800 (Bond™ Polymer Refine Detection).

Positive staining on human cervical cancer.
The primary antibody was incubated for 30 mins at room temperature, followed by anti-mouse IgG1 antibody (ab125913) for 8 mins during the LeicaDS9800 kit staining procedure.
The immunostaining was performed on a Leica Biosystems BOND® RX instrument

Counterstained with Hematoxylin.

Secondary antibody only control : Secondary antibody is a ready to use LeicaDS9800 (Bond™ Polymer Refine Detection).

Heat mediated antigen retrieval was performed with Tris-EDTA buffer (pH 9.0, Epitope Retrieval Solution2) for 20 mins

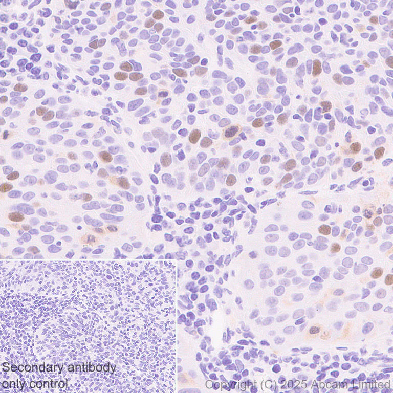
Immunohistochemistry (Formalin/PFA-fixed paraffin-embedded sections) - Anti-ECT2 antibody [ECO311E] (AB324657)
  • IHC-P

Supplier Data

Immunohistochemistry (Formalin/PFA-fixed paraffin-embedded sections) - Anti-ECT2 antibody [ECO311E] (AB324657)

Immunohistochemical analysis of paraffin-embedded Human colon cancer tissue labeling ECT2 with ab324657 at 1/100 (9.37 ug/ml) dilution, followed by a ready to use LeicaDS9800 (Bond™ Polymer Refine Detection).

Positive staining on human colon cancer.
The primary antibody was incubated for 30 mins at room temperature, followed by anti-mouse IgG1 antibody (ab125913) for 8 mins during the LeicaDS9800 kit staining procedure.
The immunostaining was performed on a Leica Biosystems BOND® RX instrument

Counterstained with Hematoxylin.

Secondary antibody only control : Secondary antibody is a ready to use LeicaDS9800 (Bond™ Polymer Refine Detection).

Heat mediated antigen retrieval was performed with Tris-EDTA buffer (pH 9.0, Epitope Retrieval Solution2) for 20 mins

Indirect ELISA - Anti-ECT2 antibody [ECO311E] (AB324657)
  • I-ELISA

Supplier Data

Indirect ELISA - Anti-ECT2 antibody [ECO311E] (AB324657)

Indirect ELISA analysis of ab324657 at 2000-0 ng/ml. The Secondary antibody used was Alkaline Phosphatase-conjugated AffiniPure Goat Anti-Mouse IgG (H+L) at 1 : 1000 dilution dilution.

Antigen : Human ECT2 protein.

Antigen concentration : 1000 ng/ml

Western blot - Anti-ECT2 antibody [ECO311E] (AB324657)
  • WB

Supplier Data

Western blot - Anti-ECT2 antibody [ECO311E] (AB324657)

Blocking and diluting buffer and concentration : 5% NFDM/TBST.

Low expression : THP-1 and IMR-90.

The bands beneath the target band (103 kDa) are likely to be degraded target fragments.

In Western blot, Anti-GAPDH antibody [EPR16891] - Loading Control (ab181602) staining at 1/200000 dilution.

All lanes:

Western blot - Anti-ECT2 antibody [ECO311E] (ab324657) at 1/1000 dilution

Lane 1:

KATO III (human stomach spherical) whole cell lysate at 20 µg

Lane 2:

HeLa (human cervical adenocarcinoma epithelial cell) whole cell lysate at 20 µg

Lane 3:

THP-1 (human monocytic leukemia monocyte) whole cell lysate at 20 µg

Lane 4:

IMR-90 (human lung fibroblast) whole cell lysate at 20 µg

Secondary

All lanes:

Peroxidase-Conjugated Goat anti-Mouse IgG (H+L) at 1/5000 dilution

Observed band size: 103 kDa,36 kDa

true

Exposure time: 114s

Western blot - Anti-ECT2 antibody [ECO311E] (AB324657)
  • WB

Supplier Data

Western blot - Anti-ECT2 antibody [ECO311E] (AB324657)

Blocking and diluting buffer and concentration : 5% NFDM/TBST.

In Western blot, Anti-GAPDH antibody [EPR16891] - Loading Control (ab181602) staining at 1/200000 dilution.

All lanes:

Western blot - Anti-ECT2 antibody [ECO311E] (ab324657) at 1/1000 dilution

Lane 1:

HeLa transfected with scrambled siRNA control whole cell lysate at 20 µg

Lane 2:

HeLa transfected with siRNA specifically targeting ECT2 whole cell lysate at 20 µg

Secondary

All lanes:

Peroxidase-Conjugated Goat anti-Mouse IgG (H+L) at 1/5000 dilution

Observed band size: 103 kDa,36 kDa

false

Exposure time: 180s

Western blot - Anti-ECT2 antibody [ECO311E] (AB324657)
  • WB

Supplier Data

Western blot - Anti-ECT2 antibody [ECO311E] (AB324657)

Blocking and diluting buffer and concentration : 5% NFDM/TBST.

The bands beneath the target band (103 kDa) are likely to be degraded target fragments.

This blot was developed using a high-sensitivity ECL substrate, allowing for the detection of proteins in the mid-femtogram range.

All lanes:

Western blot - Anti-ECT2 antibody [ECO311E] (ab324657) at 1/1000 dilution

Lane 1:

LoVo (human colorectal adenocarcinoma epithelial cell) whole cell lysate at 20 µg

Lane 2:

SW620 (human colorectal adenocarcinoma epithelial cell) whole cell lysate at 20 µg

Secondary

All lanes:

Peroxidase-Conjugated Goat anti-Mouse IgG (H+L) at 1/1000 dilution

Observed band size: 103 kDa

true

Exposure time: 114s

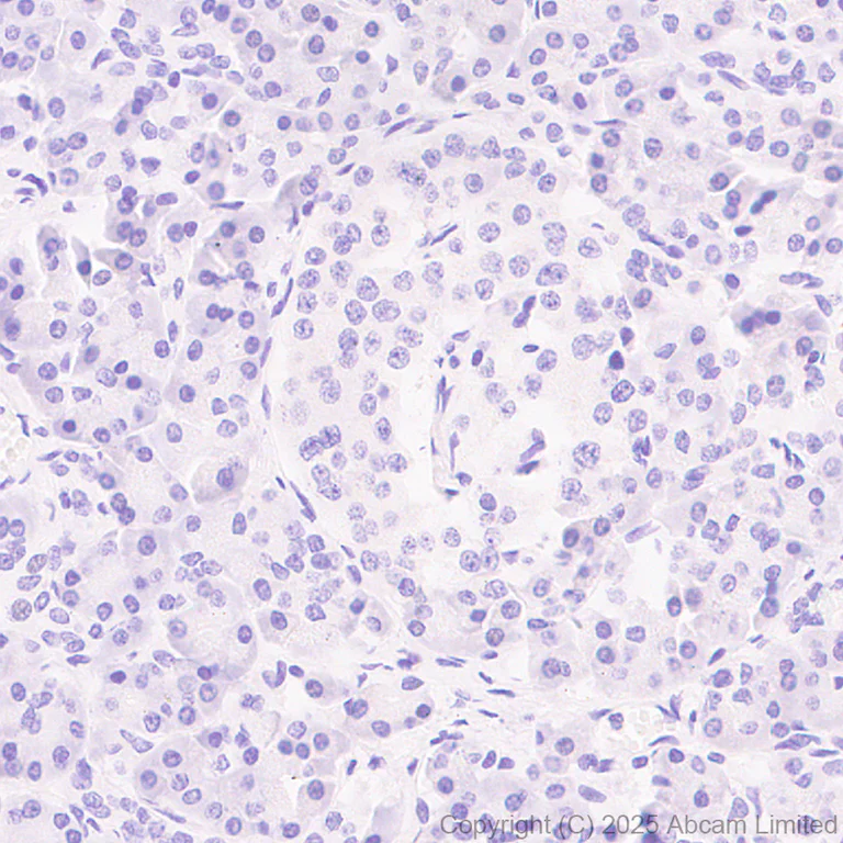
Immunohistochemistry (Formalin/PFA-fixed paraffin-embedded sections) - Anti-ECT2 antibody [ECO311E] (AB324657)
  • IHC-P

Supplier Data

Immunohistochemistry (Formalin/PFA-fixed paraffin-embedded sections) - Anti-ECT2 antibody [ECO311E] (AB324657)

Immunohistochemical analysis of paraffin-embedded Human pancreas tissue labeling ECT2 with ab324657 at 1/100 (9.37 ug/ml) dilution, followed by a ready to use LeicaDS9800 (Bond™ Polymer Refine Detection).

Negative control : no staining on human pancreas.
The primary antibody was incubated for 30 mins at room temperature, followed by anti-mouse IgG1 antibody (ab125913) for 8 mins during the LeicaDS9800 kit staining procedure.
The immunostaining was performed on a Leica Biosystems BOND® RX instrument

Counterstained with Hematoxylin.

Secondary antibody only control : Secondary antibody is a ready to use LeicaDS9800 (Bond™ Polymer Refine Detection).

Heat mediated antigen retrieval was performed with Tris-EDTA buffer (pH 9.0, Epitope Retrieval Solution2) for 20 mins

Key facts

Host species

Mouse

Clonality

Monoclonal

Clone number

ECO311E

Isotype

IgG1

Carrier free

No

Reacts with

Human

Applications

I-ELISA, WB, IHC-P

applications

Immunogen

The exact immunogen used to generate this antibody is proprietary information.

Reactivity data

{ "title": "Reactivity Data", "filters": { "stats": ["", "Species", "Dilution Info", "Notes"], "tabs": { "all-applications": {"fullname" : "All Applications", "shortname": "All Applications"}, "IELISA" : {"fullname" : "Indirect ELISA", "shortname":"I-ELISA"}, "IHCP" : {"fullname" : "Immunohistochemistry (Formalin/PFA-fixed paraffin-embedded sections)", "shortname":"IHC-P"}, "WB" : {"fullname" : "Western blot", "shortname":"WB"} }, "product-promise": { "all": "all", "testedAndGuaranteed": "tested", "guaranteed": "expected", "predicted": "predicted", "notRecommended": "not-recommended" } }, "values": { "Human": { "IELISA-species-checked": "testedAndGuaranteed", "IELISA-species-dilution-info": "1000 ng/mL", "IELISA-species-notes": "<p></p>", "IHCP-species-checked": "testedAndGuaranteed", "IHCP-species-dilution-info": "1/100", "IHCP-species-notes": "<p></p> Perform heat-mediated antigen retrieval with Tris/EDTA buffer pH 9.0 before commencing with IHC staining protocol.", "WB-species-checked": "testedAndGuaranteed", "WB-species-dilution-info": "1/1000", "WB-species-notes": "<p></p>" } } }

Product details

What are the advantages of a recombinant monoclonal antibody?
This product is a recombinant monoclonal antibody, which offers several advantages including:

  • - High batch-to-batch consistency and reproducibility
  • - Improved sensitivity and specificity
  • - Long-term security of supply
  • - Animal-free batch production

For more information, read more on recombinant antibodies.

Want a custom formulation?
This antibody clone is manufactured by Abcam. If you require a custom buffer formulation or conjugation for your experiments, please contact orders@abcam.com

Properties and storage information

Form
Liquid
Purification technique
Affinity purification Protein A
Storage buffer
pH: 7.2 - 7.4 Preservative: 0.01% Sodium azide Constituents: PBS, 40% Glycerol (glycerin, glycerine), 0.05% BSA
Shipped at conditions
Blue Ice
Appropriate short-term storage duration
1-2 weeks
Appropriate short-term storage conditions
+4°C
Appropriate long-term storage conditions
-20°C
Aliquoting information
Upon delivery aliquot
Storage information
Avoid freeze / thaw cycle

Product protocols

For this product, it's our understanding that no specific protocols are required. You can visit:

Target data

Guanine nucleotide exchange factor (GEF) that catalyzes the exchange of GDP for GTP. Promotes guanine nucleotide exchange on the Rho family members of small GTPases, like RHOA, RHOC, RAC1 and CDC42. Required for signal transduction pathways involved in the regulation of cytokinesis. Component of the centralspindlin complex that serves as a microtubule-dependent and Rho-mediated signaling required for the myosin contractile ring formation during the cell cycle cytokinesis. Regulates the translocation of RHOA from the central spindle to the equatorial region. Plays a role in the control of mitotic spindle assembly; regulates the activation of CDC42 in metaphase for the process of spindle fibers attachment to kinetochores before chromosome congression. Involved in the regulation of epithelial cell polarity; participates in the formation of epithelial tight junctions in a polarity complex PARD3-PARD6-protein kinase PRKCQ-dependent manner. Plays a role in the regulation of neurite outgrowth. Inhibits phenobarbital (PB)-induced NR1I3 nuclear translocation. Stimulates the activity of RAC1 through its association with the oncogenic PARD6A-PRKCI complex in cancer cells, thereby acting to coordinately drive tumor cell proliferation and invasion. Also stimulates genotoxic stress-induced RHOB activity in breast cancer cells leading to their cell death.
See full target information ECT2

Product promise

We are committed to supporting your work with high-quality reagents, and we're here for you every step of the way. In the unlikely event that one of our products does not perform as expected, you're protected by our Product Promise.
For full details, please see our Terms & Conditions

Please note: All products are 'FOR RESEARCH USE ONLY. NOT FOR USE IN DIAGNOSTIC OR THERAPEUTIC PROCEDURES'.

For licensing inquiries, please contact partnerships@abcam.com