JavaScript is disabled in your browser. Please enable JavaScript to view this website.
AB72408

Anti-EDC4 antibody

5

(5 Reviews)

|

(15 Publications)

Rabbit Polyclonal EDC4 antibody. Suitable for IHC-P, IP, WB, ICC/IF and reacts with Human, Mouse samples. Cited in 15 publications. Immunogen corresponding to Synthetic Peptide within Human EDC4.

View Alternative Names

HEDLS, EDC4, Enhancer of mRNA-decapping protein 4, Autoantigen Ge-1, Autoantigen RCD-8, Human enhancer of decapping large subunit, Hedls

4 Images
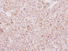
Immunohistochemistry (Formalin/PFA-fixed paraffin-embedded sections) - Anti-EDC4 antibody (AB72408)
  • IHC-P

Unknown

Immunohistochemistry (Formalin/PFA-fixed paraffin-embedded sections) - Anti-EDC4 antibody (AB72408)

IHC image of ab72408 staining in human normal skin formalin fixed paraffin embedded tissue section, performed on a Leica BondTM system using the standard protocol F. The section was pre-treated using heat mediated antigen retrieval with sodium citrate buffer (pH6, epitope retrieval solution 1) for 20 mins. The section was then incubated with ab72408, 5μg/ml, for 15 mins at room temperature and detected using an HRP conjugated compact polymer system. DAB was used as the chromogen. The section was then counterstained with haematoxylin and mounted with DPX.

For other IHC staining systems (automated and non-automated) customers should optimize variable parameters such as antigen retrieval conditions, primary antibody concentration and antibody incubation times.

Immunoprecipitation - Anti-EDC4 antibody (AB72408)
  • IP

Supplier Data

Immunoprecipitation - Anti-EDC4 antibody (AB72408)

Immunoprecipitation/ Western Blot of EDC4. Lane 1 : ab72408 at 6μg/mg whole cell lysate. Lane 2 : Different lot of ab72408 at 6μg/ml for WB. Lane 3 : Control IgG. Whole cell lysate from Hela cells at 1mg for IP, 20% of IP loaded. Chemiluminescence with an exposure time of 3 minutes.

All lanes:

Immunoprecipitation - Anti-EDC4 antibody (ab72408)

Predicted band size: 152 kDa

false

Western blot - Anti-EDC4 antibody (AB72408)
  • WB

Supplier Data

Western blot - Anti-EDC4 antibody (AB72408)

All lanes:

Western blot - Anti-EDC4 antibody (ab72408) at 1/2000 dilution

Lane 1:

HeLa Whole cell lysate at 50 µg

Lane 2:

HEK293T Whole cell lysate at 50 µg

Lane 3:

Jurkat Whole cell lysate at 50 µg

Secondary

All lanes:

Goat anti-Rabbit Light Chain HRP Conjugate

Predicted band size: 152 kDa

false

Western blot - Anti-EDC4 antibody (AB72408)
  • WB

Supplier Data

Western blot - Anti-EDC4 antibody (AB72408)

All lanes:

Western blot - Anti-EDC4 antibody (ab72408) at 1/2000 dilution

Lane 1:

NIH 3T3 Whole cell lysate at 50 µg

Lane 2:

TCMK-1 Whole cell lysate at 50 µg

Secondary

All lanes:

Goat anti-Rabbit Light Chain HRP Conjugate

Predicted band size: 152 kDa

false

Key facts

Host species

Rabbit

Clonality

Polyclonal

Isotype

IgG

Carrier free

No

Reacts with

Mouse, Human

Applications

IP, ICC/IF, WB, IHC-P

applications

Immunogen

Synthetic Peptide within Human EDC4. The exact immunogen used to generate this antibody is proprietary information.

Q6P2E9

Reactivity data

{ "title": "Reactivity Data", "filters": { "stats": ["", "Species", "Dilution Info", "Notes"], "tabs": { "all-applications": {"fullname" : "All Applications", "shortname": "All Applications"}, "IHCP" : {"fullname" : "Immunohistochemistry (Formalin/PFA-fixed paraffin-embedded sections)", "shortname":"IHC-P"}, "IP" : {"fullname" : "Immunoprecipitation", "shortname":"IP"}, "WB" : {"fullname" : "Western blot", "shortname":"WB"}, "ICCIF" : {"fullname" : "Immunocytochemistry/ Immunofluorescence", "shortname":"ICC/IF"} }, "product-promise": { "all": "all", "testedAndGuaranteed": "tested", "guaranteed": "expected", "predicted": "predicted", "notRecommended": "not-recommended" } }, "values": { "Human": { "IHCP-species-checked": "testedAndGuaranteed", "IHCP-species-dilution-info": "5 µg/mL", "IHCP-species-notes": "<p></p> Perform heat-mediated antigen retrieval with citrate buffer pH 6 before commencing with IHC staining protocol.", "IP-species-checked": "testedAndGuaranteed", "IP-species-dilution-info": "2-5 µg/mg of lysate", "IP-species-notes": "<p></p>", "WB-species-checked": "testedAndGuaranteed", "WB-species-dilution-info": "1/2000 - 1/10000", "WB-species-notes": "<p></p>", "ICCIF-species-checked": "guaranteed", "ICCIF-species-dilution-info": "", "ICCIF-species-notes": "<p></p>" }, "Mouse": { "IHCP-species-checked": "predicted", "IHCP-species-dilution-info": "", "IHCP-species-notes": "", "IP-species-checked": "predicted", "IP-species-dilution-info": "", "IP-species-notes": "", "WB-species-checked": "predicted", "WB-species-dilution-info": "", "WB-species-notes": "", "ICCIF-species-checked": "guaranteed", "ICCIF-species-dilution-info": "", "ICCIF-species-notes": "<p></p>" }, "Chimpanzee": { "IHCP-species-checked": "predicted", "IHCP-species-dilution-info": "", "IHCP-species-notes": "", "IP-species-checked": "predicted", "IP-species-dilution-info": "", "IP-species-notes": "", "WB-species-checked": "predicted", "WB-species-dilution-info": "", "WB-species-notes": "", "ICCIF-species-checked": "predicted", "ICCIF-species-dilution-info": "", "ICCIF-species-notes": "" }, "Gorilla": { "IHCP-species-checked": "predicted", "IHCP-species-dilution-info": "", "IHCP-species-notes": "", "IP-species-checked": "predicted", "IP-species-dilution-info": "", "IP-species-notes": "", "WB-species-checked": "predicted", "WB-species-dilution-info": "", "WB-species-notes": "", "ICCIF-species-checked": "predicted", "ICCIF-species-dilution-info": "", "ICCIF-species-notes": "" }, "Orangutan": { "IHCP-species-checked": "predicted", "IHCP-species-dilution-info": "", "IHCP-species-notes": "", "IP-species-checked": "predicted", "IP-species-dilution-info": "", "IP-species-notes": "", "WB-species-checked": "predicted", "WB-species-dilution-info": "", "WB-species-notes": "", "ICCIF-species-checked": "predicted", "ICCIF-species-dilution-info": "", "ICCIF-species-notes": "" }, "Rhesus monkey": { "IHCP-species-checked": "predicted", "IHCP-species-dilution-info": "", "IHCP-species-notes": "", "IP-species-checked": "predicted", "IP-species-dilution-info": "", "IP-species-notes": "", "WB-species-checked": "predicted", "WB-species-dilution-info": "", "WB-species-notes": "", "ICCIF-species-checked": "predicted", "ICCIF-species-dilution-info": "", "ICCIF-species-notes": "" } } }

Properties and storage information

Form
Liquid
Purification technique
Affinity purification Immunogen
Storage buffer
pH: 6.8 - 7.4 Preservative: 0.09% Sodium azide Constituents: Tris buffered saline, 0.1% BSA
Shipped at conditions
Blue Ice
Appropriate short-term storage conditions
+4°C
Appropriate long-term storage conditions
+4°C
Aliquoting information
Upon delivery aliquot
Storage information
Avoid freeze / thaw cycle

Supplementary information

This supplementary information is collated from multiple sources and compiled automatically.

EDC4 also known as Enhancer of decapping 4 plays an important role in RNA processing mechanisms. It weighs around 145 kDa. EDC4 is widely expressed in many tissues and cells providing integral support to cellular processes. This protein partners with other decapping proteins in cells to manage RNA turnover ensuring precise degradation of RNA molecules that are no longer needed. Its presence within human tissues suggests its broad involvement in regulating gene expression.
Biological function summary

EDC4 assists in the formation of the decapping complex. This complex facilitates the removal of the 5' cap from mRNAs an essential step in mRNA decay. This decapping activity influences mRNA stability and degradation allowing cells to modulate protein synthesis according to environmental changes. EDC4 interacts with other decapping components like DCP1 further stabilizing its function within the decapping complex and aiding cellular homeostasis.

Pathways

EDC4 plays a part in the mRNA surveillance pathway which ensures the fidelity of gene expression by eliminating faulty mRNA transcripts. Also it participates in the nonsense-mediated decay (NMD) pathway removing mRNA containing premature stop codons. It works alongside proteins such as UPF1 and UPF2 in these pathways to maintain mRNA quality and prevent production of truncated proteins that might disrupt cellular functions.

Alterations in EDC4 expression can relate to neurodegenerative diseases such as Amyotrophic Lateral Sclerosis (ALS) and cancer. In particular the misregulation of mRNA decay processes can contribute to these conditions. EDC4 interacts with proteins like TDP-43 in the context of ALS where disrupted RNA metabolism features prominently in disease pathology. Understanding these interactions offers insight into therapeutically targeting the molecular mechanisms at play in these disorders.

Product protocols

For this product, it's our understanding that no specific protocols are required. You can visit:

Target data

In the process of mRNA degradation, seems to play a role in mRNA decapping. Component of a complex containing DCP2 and DCP1A which functions in decapping of ARE-containing mRNAs. Promotes complex formation between DCP1A and DCP2. Enhances the catalytic activity of DCP2 (in vitro).
See full target information EDC4

Publications (15)

Recent publications for all applications. Explore the full list and refine your search

Life science alliance 7: PubMed39256052

2024

Non-redundant roles for the human mRNA decapping cofactor paralogs DCP1a and DCP1b.

Applications

Unspecified application

Species

Unspecified reactive species

Ivana Vukovic,Samantha M Barnada,Jonathan W Ruffin,Jon Karlin,Ravi Kumar Lokareddy,Gino Cingolani,Steven B McMahon

Nature cell biology 26:1745-1758 PubMed39169219

2024

RNA sequestration in P-bodies sustains myeloid leukaemia.

Applications

Unspecified application

Species

Unspecified reactive species

Srikanth Kodali,Ludovica Proietti,Gemma Valcarcel,Anna V López-Rubio,Patrizia Pessina,Thomas Eder,Junchao Shi,Annie Jen,Núria Lupión-Garcia,Anne C Starner,Mason D Bartels,Yingzhi Cui,Caroline M Sands,Ainoa Planas-Riverola,Alba Martínez,Talia Velasco-Hernandez,Laureano Tomás-Daza,Bernhard Alber,Gabriele Manhart,Isabella Maria Mayer,Karoline Kollmann,Alessandro Fatica,Pablo Menendez,Evgenia Shishkova,Rachel E Rau,Biola M Javierre,Joshua Coon,Qi Chen,Eric L Van Nostrand,Jose L Sardina,Florian Grebien,Bruno Di Stefano

Cell 185:2035-2056.e33 PubMed35688132

2022

The Parkinson's disease protein alpha-synuclein is a modulator of processing bodies and mRNA stability.

Applications

Unspecified application

Species

Unspecified reactive species

Erinc Hallacli,Can Kayatekin,Sumaiya Nazeen,Xiou H Wang,Zoe Sheinkopf,Shubhangi Sathyakumar,Souvarish Sarkar,Xin Jiang,Xianjun Dong,Roberto Di Maio,Wen Wang,Matthew T Keeney,Daniel Felsky,Jackson Sandoe,Aazam Vahdatshoar,Namrata D Udeshi,D R Mani,Steven A Carr,Susan Lindquist,Philip L De Jager,David P Bartel,Chad L Myers,J Timothy Greenamyre,Mel B Feany,Shamil R Sunyaev,Chee Yeun Chung,Vikram Khurana

Journal of virology 95:e0092221 PubMed34287048

2021

Enterovirus 71 2A Protease Inhibits P-Body Formation To Promote Viral RNA Synthesis.

Applications

Unspecified application

Species

Unspecified reactive species

Shanshan Fan,Zihang Xu,Pengfei Liu,Yali Qin,Mingzhou Chen

Cell stem cell 25:622-638.e13 PubMed31588046

2019

The RNA Helicase DDX6 Controls Cellular Plasticity by Modulating P-Body Homeostasis.

Applications

Unspecified application

Species

Unspecified reactive species

Bruno Di Stefano,En-Ching Luo,Chuck Haggerty,Stefan Aigner,Jocelyn Charlton,Justin Brumbaugh,Fei Ji,Inés Rabano Jiménez,Katie J Clowers,Aaron J Huebner,Kendell Clement,Inna Lipchina,Marit A C de Kort,Anthony Anselmo,John Pulice,Mattia F M Gerli,Hongcang Gu,Steven P Gygi,Ruslan I Sadreyev,Alexander Meissner,Gene W Yeo,Konrad Hochedlinger

Molecular cell 70:175-187.e8 PubMed29576526

2018

Systematic Characterization of Stress-Induced RNA Granulation.

Applications

Unspecified application

Species

Unspecified reactive species

Sim Namkoong,Allison Ho,Yu Mi Woo,Hojoong Kwak,Jun Hee Lee

Nature communications 9:967 PubMed29511213

2018

Decapping protein EDC4 regulates DNA repair and phenocopies BRCA1.

Applications

Unspecified application

Species

Unspecified reactive species

Gonzalo Hernández,María José Ramírez,Jordi Minguillón,Paco Quiles,Gorka Ruiz de Garibay,Miriam Aza-Carmona,Massimo Bogliolo,Roser Pujol,Rosario Prados-Carvajal,Juana Fernández,Nadia García,Adrià López,Sara Gutiérrez-Enríquez,Orland Diez,Javier Benítez,Mónica Salinas,Alex Teulé,Joan Brunet,Paolo Radice,Paolo Peterlongo,Detlev Schindler,Pablo Huertas,Xose S Puente,Conxi Lázaro,Miquel Àngel Pujana,Jordi Surrallés

The Journal of biological chemistry 291:8565-74 PubMed26887951

2016

A Point Mutation in the Exon Junction Complex Factor Y14 Disrupts Its Function in mRNA Cap Binding and Translation Enhancement.

Applications

Unspecified application

Species

Unspecified reactive species

Tzu-Wei Chuang,Kuo-Ming Lee,Yuan-Chao Lou,Chia-Chen Lu,Woan-Yuh Tarn

Journal of virology 89:5462-77 PubMed25740981

2015

Dynamic Interaction of Stress Granules, DDX3X, and IKK-α Mediates Multiple Functions in Hepatitis C Virus Infection.

Applications

Unspecified application

Species

Unspecified reactive species

Véronique Pène,Qisheng Li,Catherine Sodroski,Ching-Sheng Hsu,T Jake Liang

PloS one 9:e87898 PubMed24498393

2014

CERKL, a retinal disease gene, encodes an mRNA-binding protein that localizes in compact and untranslated mRNPs associated with microtubules.

Applications

ICC/IF

Species

Human

Alihamze Fathinajafabadi,Eva Pérez-Jiménez,Marina Riera,Erwin Knecht,Roser Gonzàlez-Duarte
View all publications

Product promise

We are committed to supporting your work with high-quality reagents, and we're here for you every step of the way. In the unlikely event that one of our products does not perform as expected, you're protected by our Product Promise.
For full details, please see our Terms & Conditions

Please note: All products are 'FOR RESEARCH USE ONLY. NOT FOR USE IN DIAGNOSTIC OR THERAPEUTIC PROCEDURES'.

For licensing inquiries, please contact partnerships@abcam.com