JavaScript is disabled in your browser. Please enable JavaScript to view this website.
AB321984

Anti-EDC4 antibody [EPR28929-24]

  • BOND RX™ Validated
  • 20ul selling size
  • Recombinant
  • RabMAb
  • What is this?

Be the first to review this product! Submit a review

|

(0 Publication)

Rabbit Recombinant Monoclonal EDC4 antibody. Suitable for ICC/IF, IHC-P, WB and reacts with Human, Mouse samples.

View Alternative Names

HEDLS, EDC4, Enhancer of mRNA-decapping protein 4, Autoantigen Ge-1, Autoantigen RCD-8, Human enhancer of decapping large subunit, Hedls

7 Images
Immunocytochemistry/ Immunofluorescence - Anti-EDC4 antibody [EPR28929-24] (AB321984)
  • ICC/IF

Supplier Data

Immunocytochemistry/ Immunofluorescence - Anti-EDC4 antibody [EPR28929-24] (AB321984)

Immunofluorescent analysis of 4% Paraformaldehyde-fixed 0.1% TritonX-100 permeabilized HeLa (human cervical adenocarcinoma epithelial cell) cells labelling EDC4 with ab321984 at 1/500 (1.008 ug/ml) dilution followed by ab150081 Goat Anti-Rabbit IgG H&L (Alexa Fluor® 488) preadsorbed antibody at 1/1000 2 ug/ml dilution (Green).

Confocal image showing puncta cytoplasmic staining in HeLa cell line (shown in green). The counterstain was observed in magenta. Nuclear DNA was labelled with DAPI (shown in blue). Image was taken with a confocal microscope (Leica-Microsystems TCS SP8).

ab195889 Anti-alpha Tubulin mouse monoclonal antibody - Microtubule Marker (Alexa Fluor® 594) was used to counterstain tubulin at 1/200 2.5ug/ml dilution (Magenta). The Nuclear counterstain was DAPI (Blue).

Secondary antibody only control : Secondary antibody is ab150081 Goat Anti-Rabbit IgG H&L (Alexa Fluor® 488) preadsorbed at 1/1000 2 ug/ml dilution.

Immunohistochemistry (Formalin/PFA-fixed paraffin-embedded sections) - Anti-EDC4 antibody [EPR28929-24] (AB321984)
  • IHC-P

Supplier Data

Immunohistochemistry (Formalin/PFA-fixed paraffin-embedded sections) - Anti-EDC4 antibody [EPR28929-24] (AB321984)

Immunohistochemical analysis of paraffin-embedded Human tonsil tissue labeling EDC4 with ab321984 at 1/100 (5.04 ug/ml) dilution followed by a ready to use LeicaDS9800 (Bond™ Polymer Refine Detection).

Punctate cytoplasmic staining on human tonsil. The section was incubated with ab321984 for 30 mins at room temperature.
The immunostaining was performed on a Leica Biosystems BOND® RX instrument

Counterstained with Hematoxylin.

Secondary antibody only control : Secondary antibody is a ready to use LeicaDS9800 (Bond™ Polymer Refine Detection).

Heat mediated antigen retrieval was performed with Tris-EDTA buffer (pH 9.0 Epitope Retrieval Solution2) for 20 mins

Immunohistochemistry (Formalin/PFA-fixed paraffin-embedded sections) - Anti-EDC4 antibody [EPR28929-24] (AB321984)
  • IHC-P

Supplier Data

Immunohistochemistry (Formalin/PFA-fixed paraffin-embedded sections) - Anti-EDC4 antibody [EPR28929-24] (AB321984)

Immunohistochemical analysis of paraffin-embedded Human colon carcinoma tissue labeling EDC4 with ab321984 at 1/100 (5.04 ug/ml) dilution followed by a ready to use LeicaDS9800 (Bond™ Polymer Refine Detection).

Punctate cytoplasmic staining on human colon carcinoma. The section was incubated with ab321984 for 30 mins at room temperature.
The immunostaining was performed on a Leica Biosystems BOND® RX instrument

Counterstained with Hematoxylin.

Secondary antibody only control : Secondary antibody is a ready to use LeicaDS9800 (Bond™ Polymer Refine Detection).

Heat mediated antigen retrieval was performed with Tris-EDTA buffer (pH 9.0 Epitope Retrieval Solution2) for 20 mins

Immunocytochemistry/ Immunofluorescence - Anti-EDC4 antibody [EPR28929-24] (AB321984)
  • ICC/IF

Supplier Data

Immunocytochemistry/ Immunofluorescence - Anti-EDC4 antibody [EPR28929-24] (AB321984)

Immunofluorescent analysis of 4% Paraformaldehyde-fixed 0.1% TritonX-100 permeabilized F9 (mouse embryonal carcinoma epithelial cell) cells labelling EDC4 with ab321984 at 1/500 (1.008 ug/ml) dilution followed by ab150081 Goat Anti-Rabbit IgG H&L (Alexa Fluor® 488) preadsorbed antibody at 1/1000 2 ug/ml dilution (Green).

Confocal image showing puncta cytoplasmic staining in F9 cell line (shown in green). The counterstain was observed in magenta. Nuclear DNA was labelled with DAPI (shown in blue). Image was taken with a confocal microscope (Leica-Microsystems TCS SP8).

ab195889 Anti-alpha Tubulin mouse monoclonal antibody - Microtubule Marker (Alexa Fluor® 594) was used to counterstain tubulin at 1/200 2.5ug/ml dilution (Magenta). The Nuclear counterstain was DAPI (Blue).

Secondary antibody only control : Secondary antibody is ab150081 Goat Anti-Rabbit IgG H&L (Alexa Fluor® 488) preadsorbed at 1/1000 2 ug/ml dilution.

Western blot - Anti-EDC4 antibody [EPR28929-24] (AB321984)
  • WB

Supplier Data

Western blot - Anti-EDC4 antibody [EPR28929-24] (AB321984)

Blocking and diluting buffer and concentration : 5% NFDM/TBST.

The bands beneath the target band (151 kDa) are likely to be degraded target fragments.

In Western blot, Anti-GAPDH antibody [EPR16891] - Loading Control (ab181602) staining at 1/200000 dilution.

All lanes:

Western blot - Anti-EDC4 antibody [EPR28929-24] (ab321984) at 1/1000 dilution

Lane 1:

HeLa (human cervical adenocarcinoma epithelial cell) transfected with scrambled siRNA control whole cell lysate at 20 µg

Lane 2:

HeLa transfected with siRNA specifically targeting EDC4 whole cell lysate at 20 µg

Secondary

All lanes:

Western blot - Goat Anti-Rabbit IgG H&L (HRP) (<a href='/en-us/products/secondary-antibodies/goat-rabbit-igg-h-l-hrp-ab97051'>ab97051</a>) at 1/100000 dilution

Observed band size: 151 kDa,36 kDa

false

Exposure time: 26s

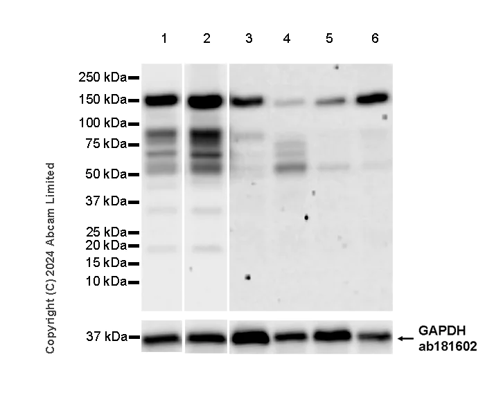
Western blot - Anti-EDC4 antibody [EPR28929-24] (AB321984)
  • WB

Supplier Data

Western blot - Anti-EDC4 antibody [EPR28929-24] (AB321984)

Blocking and diluting buffer and concentration : 5% NFDM/TBST.

The bands beneath the target band (151 kDa) are likely to be degraded target fragments.

In Western blot, Anti-GAPDH antibody [EPR16891] - Loading Control (ab181602) staining at 1/200000 dilution.

Exposure time : Lane 1-2 : 26 seconds; Lane 3-6 : 180 seconds

All lanes:

Western blot - Anti-EDC4 antibody [EPR28929-24] (ab321984) at 1/1000 dilution

Lane 1:

293T (human embryonic kidney epithelial cell) whole cell lysate at 20 µg

Lane 2:

SK-OV-3 (human ovarian cancer epithelial cell) whole cell lysate at 20 µg

Lane 3:

F9 (mouse embryonal carcinoma epithelial cell) whole cell lysate at 20 µg

Lane 4:

MEF (mouse embryo fibroblast) whole cell lysate at 20 µg

Lane 5:

NIH/3T3 (mouse embryonic fibroblast) whole cell lysate at 20 µg

Lane 6:

Hepa1-6 (mouse hepatoma epithelial cell) whole cell lysate at 20 µg

Secondary

All lanes:

Western blot - Goat Anti-Rabbit IgG H&L (HRP) (<a href='/en-us/products/secondary-antibodies/goat-rabbit-igg-h-l-hrp-ab97051'>ab97051</a>) at 1/100000 dilution

false

Western blot - Anti-EDC4 antibody [EPR28929-24] (AB321984)
  • WB

Supplier Data

Western blot - Anti-EDC4 antibody [EPR28929-24] (AB321984)

Blocking and diluting buffer and concentration : 5% NFDM/TBST.

The bands beneath the target band (151 kDa) are likely to be degraded target fragments.

In Western blot, Anti-GAPDH antibody [EPR16891] - Loading Control (ab181602) staining at 1/200000 dilution.

All lanes:

Western blot - Anti-EDC4 antibody [EPR28929-24] (ab321984) at 1/1000 dilution

Lane 1:

Human testis tissue lysate at 20 µg

Lane 2:

Mouse testis tissue lysate at 20 µg

Secondary

All lanes:

Western blot - Goat Anti-Rabbit IgG H&L (HRP) (<a href='/en-us/products/secondary-antibodies/goat-rabbit-igg-h-l-hrp-ab97051'>ab97051</a>) at 1/100000 dilution

false

Exposure time: 180s

Key facts

Host species

Rabbit

Clonality

Monoclonal

Clone number

EPR28929-24

Isotype

IgG

Carrier free

No

Reacts with

Human, Mouse

Applications

IHC-P, ICC/IF, WB

applications

Immunogen

The exact immunogen used to generate this antibody is proprietary information.

Reactivity data

{ "title": "Reactivity Data", "filters": { "stats": ["", "Species", "Dilution Info", "Notes"], "tabs": { "all-applications": {"fullname" : "All Applications", "shortname": "All Applications"}, "ICCIF" : {"fullname" : "Immunocytochemistry/ Immunofluorescence", "shortname":"ICC/IF"}, "IHCP" : {"fullname" : "Immunohistochemistry (Formalin/PFA-fixed paraffin-embedded sections)", "shortname":"IHC-P"}, "WB" : {"fullname" : "Western blot", "shortname":"WB"} }, "product-promise": { "all": "all", "testedAndGuaranteed": "tested", "guaranteed": "expected", "predicted": "predicted", "notRecommended": "not-recommended" } }, "values": { "Human": { "ICCIF-species-checked": "testedAndGuaranteed", "ICCIF-species-dilution-info": "1/500", "ICCIF-species-notes": "<p></p>", "IHCP-species-checked": "testedAndGuaranteed", "IHCP-species-dilution-info": "1/100", "IHCP-species-notes": "<p></p> Perform heat-mediated antigen retrieval with Tris/EDTA buffer pH 9.0 before commencing with IHC staining protocol.", "WB-species-checked": "testedAndGuaranteed", "WB-species-dilution-info": "1/1000", "WB-species-notes": "<p></p>" }, "Mouse": { "ICCIF-species-checked": "testedAndGuaranteed", "ICCIF-species-dilution-info": "1/500", "ICCIF-species-notes": "<p></p>", "IHCP-species-checked": "guaranteed", "IHCP-species-dilution-info": "", "IHCP-species-notes": "", "WB-species-checked": "testedAndGuaranteed", "WB-species-dilution-info": "1/1000", "WB-species-notes": "<p></p>" } } }

Product details

Patented technology
Our RabMAb® technology is a patented hybridoma-based technology for making rabbit monoclonal antibodies. For details on our patents, please refer to RabMAb® patents.

What are the advantages of a recombinant monoclonal antibody?
This product is a recombinant monoclonal antibody, which offers several advantages including:

  • - High batch-to-batch consistency and reproducibility
  • - Improved sensitivity and specificity
  • - Long-term security of supply
  • - Animal-free batch production

For more information, read more on recombinant antibodies.

Properties and storage information

Form
Liquid
Purification technique
Affinity purification Protein A
Storage buffer
pH: 7.2 - 7.4 Preservative: 0.01% Sodium azide Constituents: PBS, 40% Glycerol (glycerin, glycerine), 0.05% BSA
Shipped at conditions
Blue Ice
Appropriate short-term storage duration
1-2 weeks
Appropriate short-term storage conditions
+4°C
Appropriate long-term storage conditions
-20°C
Aliquoting information
Upon delivery aliquot
Storage information
Avoid freeze / thaw cycle

Supplementary information

This supplementary information is collated from multiple sources and compiled automatically.

EDC4 also known as Enhancer of decapping 4 plays an important role in RNA processing mechanisms. It weighs around 145 kDa. EDC4 is widely expressed in many tissues and cells providing integral support to cellular processes. This protein partners with other decapping proteins in cells to manage RNA turnover ensuring precise degradation of RNA molecules that are no longer needed. Its presence within human tissues suggests its broad involvement in regulating gene expression.
Biological function summary

EDC4 assists in the formation of the decapping complex. This complex facilitates the removal of the 5' cap from mRNAs an essential step in mRNA decay. This decapping activity influences mRNA stability and degradation allowing cells to modulate protein synthesis according to environmental changes. EDC4 interacts with other decapping components like DCP1 further stabilizing its function within the decapping complex and aiding cellular homeostasis.

Pathways

EDC4 plays a part in the mRNA surveillance pathway which ensures the fidelity of gene expression by eliminating faulty mRNA transcripts. Also it participates in the nonsense-mediated decay (NMD) pathway removing mRNA containing premature stop codons. It works alongside proteins such as UPF1 and UPF2 in these pathways to maintain mRNA quality and prevent production of truncated proteins that might disrupt cellular functions.

Alterations in EDC4 expression can relate to neurodegenerative diseases such as Amyotrophic Lateral Sclerosis (ALS) and cancer. In particular the misregulation of mRNA decay processes can contribute to these conditions. EDC4 interacts with proteins like TDP-43 in the context of ALS where disrupted RNA metabolism features prominently in disease pathology. Understanding these interactions offers insight into therapeutically targeting the molecular mechanisms at play in these disorders.

Product protocols

For this product, it's our understanding that no specific protocols are required. You can visit:

Target data

In the process of mRNA degradation, seems to play a role in mRNA decapping. Component of a complex containing DCP2 and DCP1A which functions in decapping of ARE-containing mRNAs. Promotes complex formation between DCP1A and DCP2. Enhances the catalytic activity of DCP2 (in vitro).
See full target information EDC4

Product promise

We are committed to supporting your work with high-quality reagents, and we're here for you every step of the way. In the unlikely event that one of our products does not perform as expected, you're protected by our Product Promise.
For full details, please see our Terms & Conditions

Please note: All products are 'FOR RESEARCH USE ONLY. NOT FOR USE IN DIAGNOSTIC OR THERAPEUTIC PROCEDURES'.

For licensing inquiries, please contact partnerships@abcam.com