JavaScript is disabled in your browser. Please enable JavaScript to view this website.
AB204173

Anti-EDEM2 antibody

Be the first to review this product! Submit a review

|

(1 Publication)

Rabbit Polyclonal EDEM2 antibody. Suitable for IHC-P, WB and reacts with Human samples. Cited in 1 publication. Immunogen corresponding to Recombinant Fragment Protein within Human EDEM2 aa 400-550.

View Alternative Names

C20orf31, C20orf49, UNQ573/PRO1135, EDEM2, ER degradation-enhancing alpha-mannosidase-like protein 2

2 Images
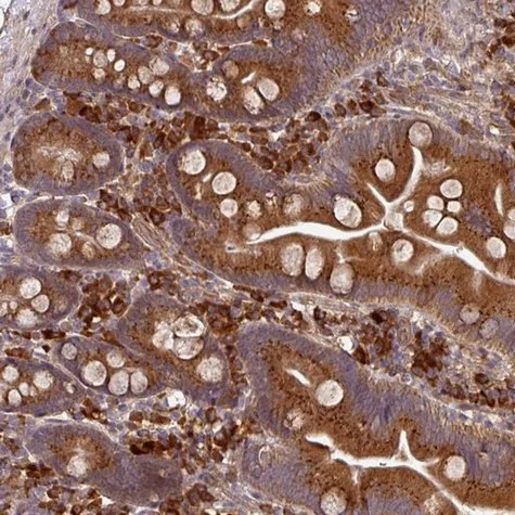
Immunohistochemistry (Formalin/PFA-fixed paraffin-embedded sections) - Anti-EDEM2 antibody (AB204173)
  • IHC-P

Supplier Data

Immunohistochemistry (Formalin/PFA-fixed paraffin-embedded sections) - Anti-EDEM2 antibody (AB204173)

Immunohistochemical analysis of paraffin-embedded Human small intestine labeling EDEM2 with ab204173 at 1/20 dilution.

Western blot - Anti-EDEM2 antibody (AB204173)
  • WB

Supplier Data

Western blot - Anti-EDEM2 antibody (AB204173)

All lanes:

Western blot - Anti-EDEM2 antibody (ab204173) at 1/100 dilution

Lane 1:

RT-4 cell lysate

Lane 2:

U-251 MG cell lysate

Lane 3:

Human plasma

Predicted band size: 65 kDa

false

Key facts

Host species

Rabbit

Clonality

Polyclonal

Isotype

IgG

Carrier free

No

Reacts with

Human

Applications

WB, IHC-P

applications

Immunogen

Recombinant Fragment Protein within Human EDEM2 aa 400-550. The exact immunogen used to generate this antibody is proprietary information.

Q9BV94

Reactivity data

{ "title": "Reactivity Data", "filters": { "stats": ["", "Species", "Dilution Info", "Notes"], "tabs": { "all-applications": {"fullname" : "All Applications", "shortname": "All Applications"}, "IHCP" : {"fullname" : "Immunohistochemistry (Formalin/PFA-fixed paraffin-embedded sections)", "shortname":"IHC-P"}, "WB" : {"fullname" : "Western blot", "shortname":"WB"} }, "product-promise": { "all": "all", "testedAndGuaranteed": "tested", "guaranteed": "expected", "predicted": "predicted", "notRecommended": "not-recommended" } }, "values": { "Human": { "IHCP-species-checked": "testedAndGuaranteed", "IHCP-species-dilution-info": "1/20 - 1/50", "IHCP-species-notes": "<p></p> Perform heat-mediated antigen retrieval with citrate buffer pH 6 before commencing with IHC staining protocol.", "WB-species-checked": "testedAndGuaranteed", "WB-species-dilution-info": "0.04-0.4 µg/mL", "WB-species-notes": "<p></p>" } } }

Properties and storage information

Form
Liquid
Purification technique
Affinity purification Immunogen
Storage buffer
pH: 7.2 Preservative: 0.02% Sodium azide Constituents: 59% PBS, 40% Glycerol (glycerin, glycerine)
Shipped at conditions
Blue Ice
Appropriate short-term storage duration
1-2 weeks
Appropriate short-term storage conditions
+4°C
Appropriate long-term storage conditions
-20°C
Aliquoting information
Upon delivery aliquot
Storage information
Avoid freeze / thaw cycle

Supplementary information

This supplementary information is collated from multiple sources and compiled automatically.

The protein EDEM2 is an important part of endoplasmic reticulum-associated degradation (ERAD). It also goes by the name ER degradation-enhancing alpha-mannosidase-like protein 2. This protein is about 66 kDa in mass. EDEM2 is mostly expressed in cells within the endoplasmic reticulum where it carries out its main function. The protein helps in recognizing misfolded glycoproteins and it plays a role in the removal of terminal mannose residues which is necessary for processing and degradation.
Biological function summary

EDEM2 helps ensure protein quality control within cells. It works as part of the ERAD system by targeting misfolded glycoproteins for degradation preventing accumulation of defective proteins that could be harmful to cells. EDEM2 does not act alone but instead functions together with other molecular chaperones and lectin-like proteins to identify and process substrates. This cooperation is essential for maintaining cellular homeostasis and avoiding stress responses.

Pathways

EDEM2 links closely with both protein foldings and quality control mechanisms. It directly interacts with ERAD pathways promoting the disassembly of structurally improper glycoproteins. The action of EDEM2 in these pathways connects with other proteins like SEL1L and HRD1 forming a network that handles aberrant proteins.

EDEM2's role in ERAD pathways relates to conditions like cystic fibrosis and certain neurodegenerative diseases. Misfolded proteins are a known feature in these diseases and EDEM2’s function is essential for managing such protein folding errors. Problems in the activity of EDEM2 or related proteins like OS9 can potentially exacerbate these conditions highlighting the importance of EDEM2 in disease management and potential therapeutic approaches.

Product protocols

For this product, it's our understanding that no specific protocols are required. You can visit:

Target data

Involved in the endoplasmic reticulum-associated degradation (ERAD) pathway that targets misfolded glycoproteins for degradation in an N-glycan-dependent manner (PubMed : 15537790, PubMed : 25092655). May initiate ERAD by promoting the first mannose trimming step of ERAD substrates, from Man9GlcNAc2 to Man8GlcNAc2 (PubMed : 25092655). Seems to recognize and bind to exposed hydrophobic regions in target proteins (By similarity).
See full target information EDEM2

Publications (1)

Recent publications for all applications. Explore the full list and refine your search

Cell death & disease 15:878 PubMed39632825

2024

Colorectal cancer patients-derived immunity-organoid platform unveils cancer-specific tissue markers associated with immunotherapy resistance.

Applications

Unspecified application

Species

Unspecified reactive species

A Esposito,A Agostini,G Quero,G Piro,L Priori,A Caggiano,G Scaglione,A Battaglia,M A Calegari,L Salvatore,M Bensi,M G Maratta,A Ceccarelli,G Trovato,G Genovese,E Gurreri,S Ascrizzi,M Martini,C Fiorillo,A Fattorossi,F De Sanctis,S Ugel,V Corbo,S Alfieri,G Tortora,C Carbone
View all publications

Product promise

We are committed to supporting your work with high-quality reagents, and we're here for you every step of the way. In the unlikely event that one of our products does not perform as expected, you're protected by our Product Promise.
For full details, please see our Terms & Conditions

Please note: All products are 'FOR RESEARCH USE ONLY. NOT FOR USE IN DIAGNOSTIC OR THERAPEUTIC PROCEDURES'.

For licensing inquiries, please contact partnerships@abcam.com