JavaScript is disabled in your browser. Please enable JavaScript to view this website.
AB325552

Anti-EDG2/LPA-1 antibody [EPR30753-555]

Be the first to review this product! Submit a review

|

(0 Publication)

Rabbit Recombinant Monoclonal EDG2 /LPA-1 antibody. Suitable for IHC-P, WB and reacts with Human, Mouse, Rat samples.

View Alternative Names

EDG2, LPA1, LPAR1, Lysophosphatidic acid receptor 1, LPA receptor 1, LPA-1, Lysophosphatidic acid receptor Edg-2

11 Images
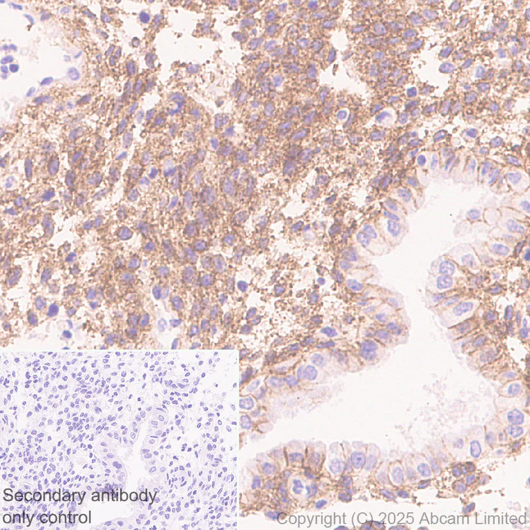
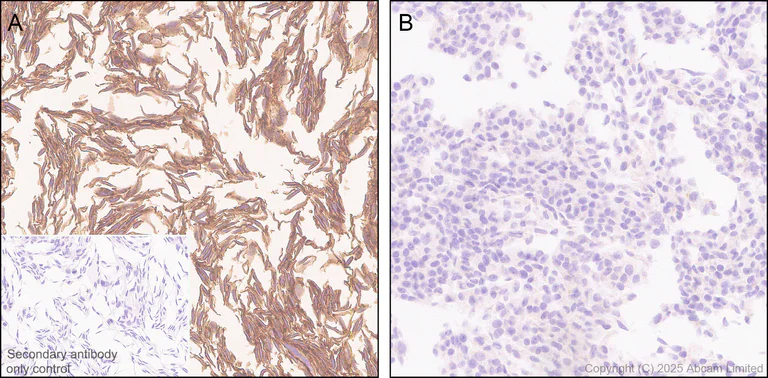
Immunohistochemistry (Formalin/PFA-fixed paraffin-embedded sections) - Anti-EDG2/LPA-1 antibody [EPR30753-555] (AB325552)
  • IHC-P

Lab

Immunohistochemistry (Formalin/PFA-fixed paraffin-embedded sections) - Anti-EDG2/LPA-1 antibody [EPR30753-555] (AB325552)

Immunohistochemical analysis of paraffin-embedded Human endometrium tissue labeling EDG2 /LPA-1 with ab325552 at 1/500 (1.028 µg/ml) dilution, followed by a ready to use LeicaDS9800 (Bond™ Polymer Refine Detection).

Positive staining on human endometrium (PMID : 18617617, PMID : 29328374). The primary antibody was incubated for 30 mins at room temperature.

The immunostaining was performed on a Leica Biosystems BOND® RX instrument

Counterstained with Hematoxylin.

Secondary antibody only control : Secondary antibody is a ready to use LeicaDS9800 (Bond™ Polymer Refine Detection).

Heat mediated antigen retrieval was performed with Tris-EDTA buffer (pH 9.0, Epitope Retrieval Solution2) for 20 mins

Immunohistochemistry (Formalin/PFA-fixed paraffin-embedded sections) - Anti-EDG2/LPA-1 antibody [EPR30753-555] (AB325552)
  • IHC-P

Lab

Immunohistochemistry (Formalin/PFA-fixed paraffin-embedded sections) - Anti-EDG2/LPA-1 antibody [EPR30753-555] (AB325552)

Immunohistochemical analysis of paraffin-embedded (A) : MG-63 (human osteosarcoma fibroblast cell) cell pellet (B) : HepG2 (human hepatocellular carcinoma epithelial cell) cell pellet tissue labeling EDG2 /LPA-1 with ab325552 at 1/500 (1.028 µg/ml) dilution, followed by a ready to use LeicaDS9800 (Bond™ Polymer Refine Detection).

Positive on (A) : MG-63 cell pellet, no staining on (B) : HepG2 cell pellet. The primary antibody was incubated for 30 mins at room temperature.

The immunostaining was performed on a Leica Biosystems BOND® RX instrument

Counterstained with Hematoxylin.

Secondary antibody only control : Secondary antibody is a ready to use LeicaDS9800 (Bond™ Polymer Refine Detection).

Heat mediated antigen retrieval was performed with Tris-EDTA buffer (pH 9.0, Epitope Retrieval Solution2) for 20 mins

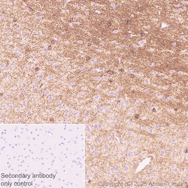
Immunohistochemistry (Formalin/PFA-fixed paraffin-embedded sections) - Anti-EDG2/LPA-1 antibody [EPR30753-555] (AB325552)
  • IHC-P

Lab

Immunohistochemistry (Formalin/PFA-fixed paraffin-embedded sections) - Anti-EDG2/LPA-1 antibody [EPR30753-555] (AB325552)

Immunohistochemical analysis of paraffin-embedded Human glioma tissue labeling EDG2 /LPA-1 with ab325552 at 1/500 (1.028 µg/ml) dilution, followed by a ready to use LeicaDS9800 (Bond™ Polymer Refine Detection).

Positive staining on human glioma. The primary antibody was incubated for 30 mins at room temperature.

The immunostaining was performed on a Leica Biosystems BOND® RX instrument

Counterstained with Hematoxylin.

Secondary antibody only control : Secondary antibody is a ready to use LeicaDS9800 (Bond™ Polymer Refine Detection).

Heat mediated antigen retrieval was performed with Tris-EDTA buffer (pH 9.0, Epitope Retrieval Solution2) for 20 mins

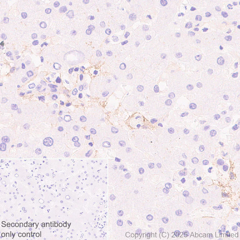
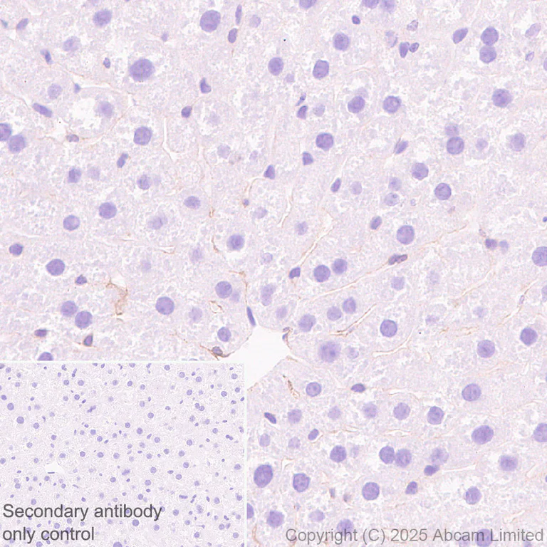
Immunohistochemistry (Formalin/PFA-fixed paraffin-embedded sections) - Anti-EDG2/LPA-1 antibody [EPR30753-555] (AB325552)
  • IHC-P

Lab

Immunohistochemistry (Formalin/PFA-fixed paraffin-embedded sections) - Anti-EDG2/LPA-1 antibody [EPR30753-555] (AB325552)

Immunohistochemical analysis of paraffin-embedded Human liver tissue labeling EDG2 /LPA-1 with ab325552 at 1/500 (1.028 µg/ml) dilution, followed by a ready to use LeicaDS9800 (Bond™ Polymer Refine Detection).

Low expression : weak staining on stroma in human liver (PMID : 9070858). The primary antibody was incubated for 30 mins at room temperature.

The immunostaining was performed on a Leica Biosystems BOND® RX instrument

Counterstained with Hematoxylin.

Secondary antibody only control : Secondary antibody is a ready to use LeicaDS9800 (Bond™ Polymer Refine Detection).

Heat mediated antigen retrieval was performed with Tris-EDTA buffer (pH 9.0, Epitope Retrieval Solution2) for 20 mins

Immunohistochemistry (Formalin/PFA-fixed paraffin-embedded sections) - Anti-EDG2/LPA-1 antibody [EPR30753-555] (AB325552)
  • IHC-P

Lab

Immunohistochemistry (Formalin/PFA-fixed paraffin-embedded sections) - Anti-EDG2/LPA-1 antibody [EPR30753-555] (AB325552)

Immunohistochemical analysis of paraffin-embedded Rat liver tissue labeling EDG2 /LPA-1 with ab325552 at 1/500 (1.028 µg/ml) dilution, followed by a ready to use LeicaDS9800 (Bond™ Polymer Refine Detection).

Low expression : weak staining on stroma in rat liver. The primary antibody was incubated for 30 mins at room temperature.

The immunostaining was performed on a Leica Biosystems BOND® RX instrument

Counterstained with Hematoxylin.

Secondary antibody only control : Secondary antibody is a ready to use LeicaDS9800 (Bond™ Polymer Refine Detection).

Heat mediated antigen retrieval was performed with Tris-EDTA buffer (pH 9.0, Epitope Retrieval Solution2) for 20 mins

Immunohistochemistry (Formalin/PFA-fixed paraffin-embedded sections) - Anti-EDG2/LPA-1 antibody [EPR30753-555] (AB325552)
  • IHC-P

Lab

Immunohistochemistry (Formalin/PFA-fixed paraffin-embedded sections) - Anti-EDG2/LPA-1 antibody [EPR30753-555] (AB325552)

Immunohistochemical analysis of paraffin-embedded Mouse liver tissue labeling EDG2 /LPA-1 with ab325552 at 1/500 (1.028 µg/ml) dilution, followed by a ready to use LeicaDS9800 (Bond™ Polymer Refine Detection).

Low expression : weak staining on stroma in mosue liver. The primary antibody was incubated for 30 mins at room temperature.

The immunostaining was performed on a Leica Biosystems BOND® RX instrument

Counterstained with Hematoxylin.

Secondary antibody only control : Secondary antibody is a ready to use LeicaDS9800 (Bond™ Polymer Refine Detection).

Heat mediated antigen retrieval was performed with Tris-EDTA buffer (pH 9.0, Epitope Retrieval Solution2) for 20 mins

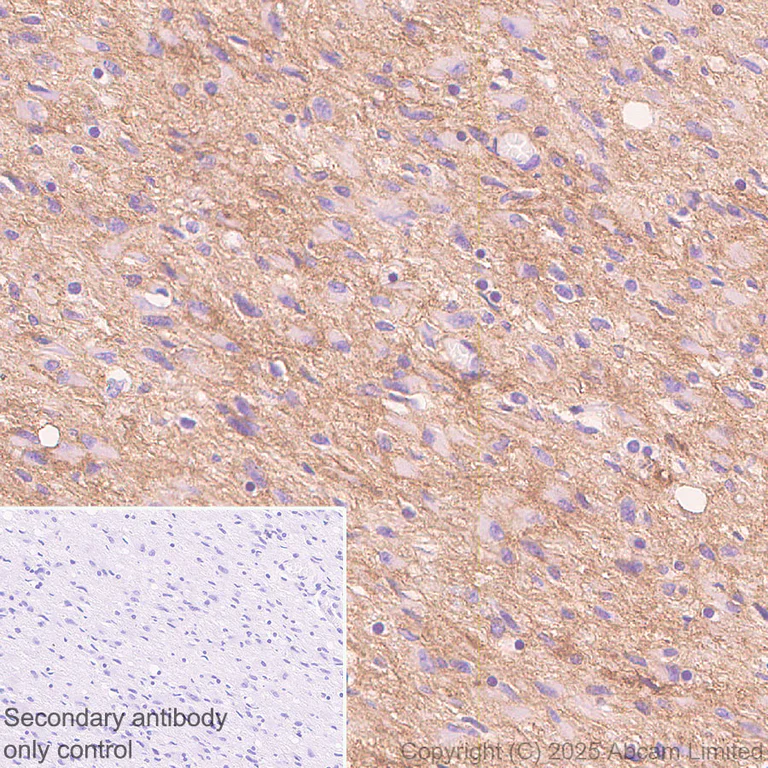
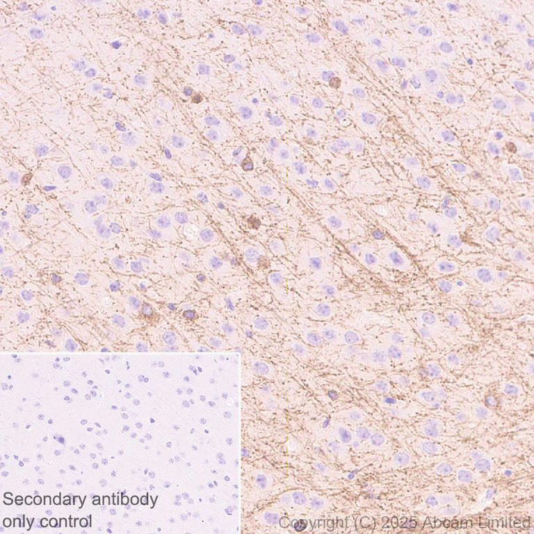
Immunohistochemistry (Formalin/PFA-fixed paraffin-embedded sections) - Anti-EDG2/LPA-1 antibody [EPR30753-555] (AB325552)
  • IHC-P

Lab

Immunohistochemistry (Formalin/PFA-fixed paraffin-embedded sections) - Anti-EDG2/LPA-1 antibody [EPR30753-555] (AB325552)

Immunohistochemical analysis of paraffin-embedded Rat cerebrum tissue labeling EDG2 /LPA-1 with ab325552 at 1/500 (1.028 µg/ml) dilution, followed by a ready to use LeicaDS9800 (Bond™ Polymer Refine Detection).

Positive staining on rat cerebrum (PMID : 11948806). The primary antibody was incubated for 30 mins at room temperature.

The immunostaining was performed on a Leica Biosystems BOND® RX instrument

Counterstained with Hematoxylin.

Secondary antibody only control : Secondary antibody is a ready to use LeicaDS9800 (Bond™ Polymer Refine Detection).

Heat mediated antigen retrieval was performed with Tris-EDTA buffer (pH 9.0, Epitope Retrieval Solution2) for 20 mins

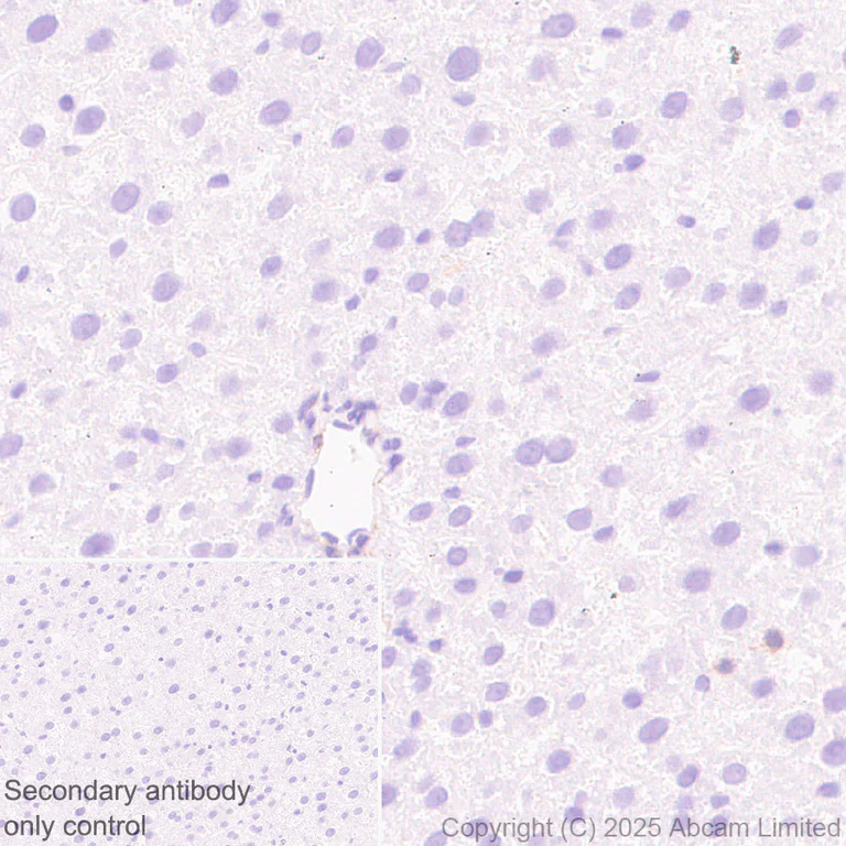
Immunohistochemistry (Formalin/PFA-fixed paraffin-embedded sections) - Anti-EDG2/LPA-1 antibody [EPR30753-555] (AB325552)
  • IHC-P

Lab

Immunohistochemistry (Formalin/PFA-fixed paraffin-embedded sections) - Anti-EDG2/LPA-1 antibody [EPR30753-555] (AB325552)

Immunohistochemical analysis of paraffin-embedded Mouse cerebrum tissue labeling EDG2 /LPA-1 with ab325552 at 1/500 (1.028 µg/ml) dilution, followed by a ready to use LeicaDS9800 (Bond™ Polymer Refine Detection).

Positive staining on mouse cerebrum. The primary antibody was incubated for 30 mins at room temperature.

The immunostaining was performed on a Leica Biosystems BOND® RX instrument

Counterstained with Hematoxylin.

Secondary antibody only control : Secondary antibody is a ready to use LeicaDS9800 (Bond™ Polymer Refine Detection).

Heat mediated antigen retrieval was performed with Tris-EDTA buffer (pH 9.0, Epitope Retrieval Solution2) for 20 mins

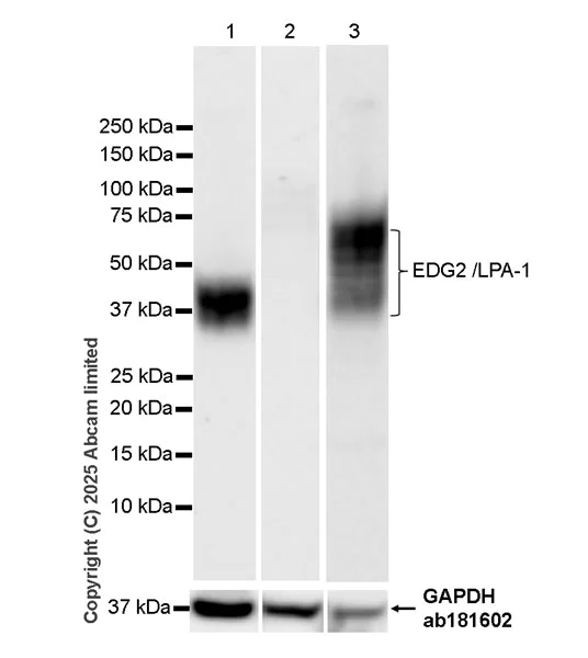
Western blot - Anti-EDG2/LPA-1 antibody [EPR30753-555] (AB325552)
  • WB

Lab

Western blot - Anti-EDG2/LPA-1 antibody [EPR30753-555] (AB325552)

Blocking and diluting buffer and concentration : 5% NFDM/TBST.

Low expression : liver(PMID : 9070858)

Samples are non-boiled as boiling may cause protein aggregation.

Lane1 is incubated with Goat Anti-Rabbit IgG (HRP) with minimal cross-reactivity with human IgG at 1/2000 and lanes 2-3 are incubated with Goat Anti-Rabbit IgG, (H+L), Peroxidase conjugated (ab97051) at 1/20000.

In Western blot, Anti-GAPDH antibody [EPR16891] - Loading Control (ab181602) (1 : 200000) (36KDa).

All lanes:

Western blot - Anti-EDG2/LPA-1 antibody [EPR30753-555] (ab325552) at 1/1000 dilution

Lane 1:

Human breast tissue lysate at 20 µg

Lane 2:

Mouse brain tissue lysate at 20 µg

Lane 3:

Mouse liver tissue lysate at 20 µg

Secondary

Lane 1:

Goat Anti-Rabbit IgG (HRP) with minimal cross-reactivity with human IgG at 1/2000 dilution

Lanes 2 - 3:

Western blot - Goat Anti-Rabbit IgG H&L (HRP) (<a href='/en-us/products/secondary-antibodies/goat-rabbit-igg-h-l-hrp-ab97051'>ab97051</a>) at 1/20000 dilution

Observed band size: 25-75 kDa,36 kDa

false

Exposure time: 37s

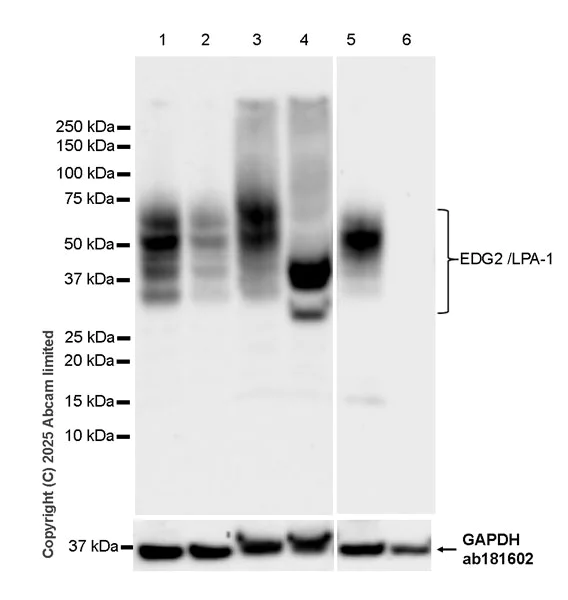
Western blot - Anti-EDG2/LPA-1 antibody [EPR30753-555] (AB325552)
  • WB

Lab

Western blot - Anti-EDG2/LPA-1 antibody [EPR30753-555] (AB325552)

Blocking and diluting buffer and concentration : 5% NFDM/TBST.

Low expression : HepG2

Samples are non-boiled as boiling may cause protein aggregation.

In Western blot, Anti-GAPDH antibody [EPR16891] - Loading Control (ab181602) (1 : 200000) (36KDa).

Exposure time : Lanes 1-4 : 37 seconds, lanes 5-6 : 15 seconds

All lanes:

Western blot - Anti-EDG2/LPA-1 antibody [EPR30753-555] (ab325552) at 1/1000 dilution

Lane 1:

U-118 MG (human brain glioblastoma cell) transfected with scrambled siRNA control whole cell lysate at 20 µg

Lane 2:

U-118 MG transfected with siRNA specifically targeting LPAR1 whole cell lysate at 20 µg

Lane 3:

Untreated U-118 MG whole cell lysate at 20 µg

Lane 4:

U-118 MG whole cell lysate treated with Protein Deglycosylation Peptide:N-glycosidase F (PNGase F) at 20 µg

Lane 5:

MG-63 (human osteosarcoma fibroblast) whole cell lysate at 20 µg

Lane 6:

HepG2 (human hepatocellular carcinoma epithelial cell) whole cell lysate at 20 µg

Secondary

All lanes:

Western blot - Goat Anti-Rabbit IgG H&L (HRP) (<a href='/en-us/products/secondary-antibodies/goat-rabbit-igg-h-l-hrp-ab97051'>ab97051</a>) at 1/20000 dilution

Observed band size: 25-75 kDa,36 kDa

false

Western blot - Anti-EDG2/LPA-1 antibody [EPR30753-555] (AB325552)
  • WB

Lab

Western blot - Anti-EDG2/LPA-1 antibody [EPR30753-555] (AB325552)

Blocking and diluting buffer and concentration : 5% NFDM/TBST.

Low expression : liver(PMID : 9070858)

Samples are non-boiled as boiling may cause protein aggregation.

In Western blot, Anti-GAPDH antibody [EPR16891] - Loading Control (ab181602) (1 : 200000) (36KDa).

Exposure time : Lanes 1-2 : 37 seconds, lane 3 : 81 seconds

All lanes:

Western blot - Anti-EDG2/LPA-1 antibody [EPR30753-555] (ab325552) at 1/1000 dilution

Lane 1:

Rat brain tissue lysate at 20 µg

Lane 2:

Rat liver tissue lysate at 20 µg

Lane 3:

C6 (rat glial tumor glial cell) whole cell lysate at 20 µg

Secondary

All lanes:

Western blot - Goat Anti-Rabbit IgG H&L (HRP) (<a href='/en-us/products/secondary-antibodies/goat-rabbit-igg-h-l-hrp-ab97051'>ab97051</a>) at 1/20000 dilution

Observed band size: 25-75 kDa,36 kDa

false

Key facts

Host species

Rabbit

Clonality

Monoclonal

Clone number

EPR30753-555

Isotype

IgG

Carrier free

No

Reacts with

Human, Mouse, Rat

Applications

IHC-P, WB

applications

Immunogen

The exact immunogen used to generate this antibody is proprietary information.

Reactivity data

{ "title": "Reactivity Data", "filters": { "stats": ["", "Species", "Dilution Info", "Notes"], "tabs": { "all-applications": {"fullname" : "All Applications", "shortname": "All Applications"}, "IHCP" : {"fullname" : "Immunohistochemistry (Formalin/PFA-fixed paraffin-embedded sections)", "shortname":"IHC-P"}, "WB" : {"fullname" : "Western blot", "shortname":"WB"} }, "product-promise": { "all": "all", "testedAndGuaranteed": "tested", "guaranteed": "expected", "predicted": "predicted", "notRecommended": "not-recommended" } }, "values": { "Human": { "IHCP-species-checked": "testedAndGuaranteed", "IHCP-species-dilution-info": "1/500", "IHCP-species-notes": "<p></p> Perform heat-mediated antigen retrieval with Tris/EDTA buffer pH 9.0 before commencing with IHC staining protocol.", "WB-species-checked": "testedAndGuaranteed", "WB-species-dilution-info": "1/1000", "WB-species-notes": "<p></p>" }, "Mouse": { "IHCP-species-checked": "testedAndGuaranteed", "IHCP-species-dilution-info": "1/500", "IHCP-species-notes": "<p></p> Perform heat-mediated antigen retrieval with Tris/EDTA buffer pH 9.0 before commencing with IHC staining protocol.", "WB-species-checked": "testedAndGuaranteed", "WB-species-dilution-info": "1/1000", "WB-species-notes": "<p></p>" }, "Rat": { "IHCP-species-checked": "testedAndGuaranteed", "IHCP-species-dilution-info": "1/500", "IHCP-species-notes": "<p></p> Perform heat-mediated antigen retrieval with Tris/EDTA buffer pH 9.0 before commencing with IHC staining protocol.", "WB-species-checked": "testedAndGuaranteed", "WB-species-dilution-info": "1/1000", "WB-species-notes": "<p></p>" } } }

Product details

Patented technology
Our RabMAb® technology is a patented hybridoma-based technology for making rabbit monoclonal antibodies. For details on our patents, please refer to RabMAb® patents.

What are the advantages of a recombinant monoclonal antibody?
This product is a recombinant monoclonal antibody, which offers several advantages including:

  • - High batch-to-batch consistency and reproducibility
  • - Improved sensitivity and specificity
  • - Long-term security of supply
  • - Animal-free batch production

For more information, read more on recombinant antibodies.

Properties and storage information

Form
Liquid
Purification technique
Affinity purification Protein A
Storage buffer
pH: 7.2 - 7.4 Preservative: 0.01% Sodium azide Constituents: PBS, 40% Glycerol (glycerin, glycerine), 0.05% BSA
Shipped at conditions
Blue Ice
Appropriate short-term storage duration
1-2 weeks
Appropriate short-term storage conditions
+4°C
Appropriate long-term storage conditions
-20°C
Aliquoting information
Upon delivery aliquot
Storage information
Avoid freeze / thaw cycle

Product protocols

For this product, it's our understanding that no specific protocols are required. You can visit:

Target data

Receptor for lysophosphatidic acid (LPA) (PubMed : 19306925, PubMed : 25025571, PubMed : 26091040, PubMed : 9070858). Plays a role in the reorganization of the actin cytoskeleton, cell migration, differentiation and proliferation, and thereby contributes to the responses to tissue damage and infectious agents. Activates downstream signaling cascades via the G(i)/G(o), G(12)/G(13), and G(q) families of heteromeric G proteins. Signaling inhibits adenylyl cyclase activity and decreases cellular cAMP levels (PubMed : 26091040). Signaling triggers an increase of cytoplasmic Ca(2+) levels (PubMed : 19656035, PubMed : 19733258, PubMed : 26091040). Activates RALA; this leads to the activation of phospholipase C (PLC) and the formation of inositol 1,4,5-trisphosphate (PubMed : 19306925). Signaling mediates activation of down-stream MAP kinases (By similarity). Contributes to the regulation of cell shape. Promotes Rho-dependent reorganization of the actin cytoskeleton in neuronal cells and neurite retraction (PubMed : 26091040). Promotes the activation of Rho and the formation of actin stress fibers (PubMed : 26091040). Promotes formation of lamellipodia at the leading edge of migrating cells via activation of RAC1 (By similarity). Through its function as LPA receptor, plays a role in chemotaxis and cell migration, including responses to injury and wounding (PubMed : 18066075, PubMed : 19656035, PubMed : 19733258). Plays a role in triggering inflammation in response to bacterial lipopolysaccharide (LPS) via its interaction with CD14. Promotes cell proliferation in response to LPA (By similarity). Inhibits the intracellular ciliogenesis pathway in response to LPA and through AKT1 activation (PubMed : 31204173). Required for normal skeleton development. May play a role in osteoblast differentiation. Required for normal brain development. Required for normal proliferation, survival and maturation of newly formed neurons in the adult dentate gyrus. Plays a role in pain perception and in the initiation of neuropathic pain (By similarity).
See full target information LPAR1

Product promise

We are committed to supporting your work with high-quality reagents, and we're here for you every step of the way. In the unlikely event that one of our products does not perform as expected, you're protected by our Product Promise.
For full details, please see our Terms & Conditions

Please note: All products are 'FOR RESEARCH USE ONLY. NOT FOR USE IN DIAGNOSTIC OR THERAPEUTIC PROCEDURES'.

For licensing inquiries, please contact partnerships@abcam.com