JavaScript is disabled in your browser. Please enable JavaScript to view this website.
AB126622

Anti-EDG3/S1P3 antibody [EPR4541(2)]

0

(1 Review)

|

(7 Publications)

Rabbit Recombinant Monoclonal EDG3/S1P3 antibody. Suitable for IHC-P, WB and reacts with Human samples. Cited in 7 publications.

View Alternative Names

C9orf108, C9orf47, EDG3, S1PR3, Sphingosine 1-phosphate receptor 3, S1P receptor 3, S1P3, Endothelial differentiation G-protein coupled receptor 3, Sphingosine 1-phosphate receptor Edg-3, S1P receptor Edg-3

3 Images
Western blot - Anti-EDG3/S1P3 antibody [EPR4541(2)] (AB126622)
  • WB

Unknown

Western blot - Anti-EDG3/S1P3 antibody [EPR4541(2)] (AB126622)

All lanes:

Western blot - Anti-EDG3/S1P3 antibody [EPR4541(2)] (ab126622) at 1/1000 dilution

Lane 1:

HepG2 cell lysate at 10 µg

Lane 2:

Human heart tissue lysate at 10 µg

Lane 3:

293T cell lysate at 10 µg

Secondary

All lanes:

Standard HRP labelled goat anti-rabbit at 1/2000 dilution

Predicted band size: 42 kDa

Observed band size: 42 kDa

false

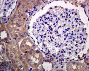
Immunohistochemistry (Formalin/PFA-fixed paraffin-embedded sections) - Anti-EDG3/S1P3 antibody [EPR4541(2)] (AB126622)
  • IHC-P

Unknown

Immunohistochemistry (Formalin/PFA-fixed paraffin-embedded sections) - Anti-EDG3/S1P3 antibody [EPR4541(2)] (AB126622)

ab126622 at a 1/50 dilution staining EDG3/S1P3 in paraffin-embedded Human kidney tissue by immunohistochemistry.

Perform heat mediated antigen retrieval with citrate buffer pH 6 before commencing with IHC staining protocol.

OI-RD Scanning - Anti-EDG3/S1P3 antibody [EPR4541(2)] (AB126622)
  • OI-RD Scanning

Unknown

OI-RD Scanning - Anti-EDG3/S1P3 antibody [EPR4541(2)] (AB126622)

We have systematically measured KD (the equilibrium dissociation constant between the antibody and its antigen), of more than 840 recombinant antibodies to assess not only their individual KD values but also to see the average affinity of antibody. Based on the comparison with published literature values for mouse monoclonal antibodies, Recombinant antibodies appear to be on average 1-2 order of magnitude higher affinity.

  • Carrier free

    Anti-EDG3/S1P3 antibody [EPR4541(2)] - BSA and Azide free

  • 578 PE

    PE Anti-EDG3/S1P3 antibody [EPR4541(2)]

  • 519 Alexa Fluor® 488

    Alexa Fluor® 488 Anti-EDG3/S1P3 antibody [EPR4541(2)]

  • 660 APC

    APC Anti-EDG3/S1P3 antibody [EPR4541(2)]

  • 665 Alexa Fluor® 647

    Alexa Fluor® 647 Anti-EDG3/S1P3 antibody [EPR4541(2)]

  • 565 Alexa Fluor® 555

    Alexa Fluor® 555 Anti-EDG3/S1P3 antibody [EPR4541(2)]

  • 617 Alexa Fluor® 594

    Alexa Fluor® 594 Anti-EDG3/S1P3 antibody [EPR4541(2)]

  • 775 Alexa Fluor® 750

    Alexa Fluor® 750 Anti-EDG3/S1P3 antibody [EPR4541(2)]

Key facts

Host species

Rabbit

Clonality

Monoclonal

Clone number

EPR4541(2)

Isotype

IgG

Carrier free

No

Reacts with

Human

Applications

IHC-P, WB

applications

Immunogen

The exact immunogen used to generate this antibody is proprietary information.

Reactivity data

{ "title": "Reactivity Data", "filters": { "stats": ["", "Species", "Dilution Info", "Notes"], "tabs": { "all-applications": {"fullname" : "All Applications", "shortname": "All Applications"}, "IHCP" : {"fullname" : "Immunohistochemistry (Formalin/PFA-fixed paraffin-embedded sections)", "shortname":"IHC-P"}, "IP" : {"fullname" : "Immunoprecipitation", "shortname":"IP"}, "FlowCyt" : {"fullname" : "Flow Cytometry", "shortname":"Flow Cyt"}, "WB" : {"fullname" : "Western blot", "shortname":"WB"} }, "product-promise": { "all": "all", "testedAndGuaranteed": "tested", "guaranteed": "expected", "predicted": "predicted", "notRecommended": "not-recommended" } }, "values": { "Human": { "IHCP-species-checked": "testedAndGuaranteed", "IHCP-species-dilution-info": "1/50 - 1/100", "IHCP-species-notes": "<p></p> Perform heat-mediated antigen retrieval with citrate buffer pH 6 before commencing with IHC staining protocol.", "IP-species-checked": "notRecommended", "IP-species-dilution-info": "", "IP-species-notes": "<p></p>", "FlowCyt-species-checked": "notRecommended", "FlowCyt-species-dilution-info": "", "FlowCyt-species-notes": "<p></p>", "WB-species-checked": "testedAndGuaranteed", "WB-species-dilution-info": "1/1000 - 1/10000", "WB-species-notes": "<p></p>" } } }

Product details

Species reactivity
Mouse, Rat: We have preliminary internal testing data to indicate this antibody may not react with these species.
Please contact us for more information.

Patented technology
Our RabMAb® technology is a patented hybridoma-based technology for making rabbit monoclonal antibodies. For details on our patents, please refer to RabMAb® patents.

What are the advantages of a recombinant monoclonal antibody?
This product is a recombinant monoclonal antibody, which offers several advantages including:

  • - High batch-to-batch consistency and reproducibility
  • - Improved sensitivity and specificity
  • - Long-term security of supply
  • - Animal-free batch production

For more information, read more on recombinant antibodies.

Properties and storage information

Form
Liquid
Purification technique
Affinity purification Protein A
Storage buffer
pH: 7.2 - 7.4 Preservative: 0.01% Sodium azide Constituents: 50% Tissue culture supernatant, 40% Glycerol (glycerin, glycerine), 9% PBS, 0.05% BSA
Shipped at conditions
Blue Ice
Appropriate short-term storage conditions
+4°C
Appropriate long-term storage conditions
-20°C
Storage information
Stable for 12 months at -20°C

Supplementary information

This supplementary information is collated from multiple sources and compiled automatically.

EDG3 also known as S1P3 is a G protein-coupled receptor with a molecular mass of approximately 43 kDa. It interacts with sphingosine-1-phosphate (S1P) a bioactive lipid molecule involved in diverse cellular processes. EDG3/S1P3 is expressed in various tissues such as the cardiovascular system lungs and lymphoid organs highlighting its importance in different physiological contexts. As a member of the S1P receptor family it plays a significant role in cellular communication.
Biological function summary

EDG3/S1P3 affects several critical processes such as cell proliferation survival and migration. It functions within complexes that modulate intracellular signaling pathways. The receptor is involved in the regulation of immune responses and vascular stability by mediating signals that maintain endothelial barrier function and lymphocyte trafficking. Its interactions with other S1P receptors also contribute to its broad influence on cellular functions.

Pathways

EDG3/S1P3 participates in the sphingolipid signaling pathways and the PI3K-Akt pathway. These pathways are integral to cell growth and survival influencing various physiological responses. The receptor shares functional relationships with proteins such as EDG1/S1P1 and EDG5/S1P2 which also bind S1P and are involved in similar signaling cascades. These interactions align EDG3/S1P3 with essential cellular processes emphasizing its role in maintaining homeostasis.

EDG3/S1P3 has associations with cardiovascular diseases and cancer. Its role in endothelial barrier function ties it to cardiovascular health where dysregulation can lead to conditions such as atherosclerosis. In cancer abnormal EDG3/S1P3 signaling can contribute to tumor growth and metastasis by influencing cell migration and survival. The receptor's involvement in these diseases links it to other proteins like VEGF which are essential in angiogenesis and vascular maintenance highlighting its therapeutic potential.

Product protocols

For this product, it's our understanding that no specific protocols are required. You can visit:

Target data

Receptor for the lysosphingolipid sphingosine 1-phosphate (S1P). S1P is a bioactive lysophospholipid that elicits diverse physiological effect on most types of cells and tissues. When expressed in rat HTC4 hepatoma cells, is capable of mediating S1P-induced cell proliferation and suppression of apoptosis.
See full target information S1PR3

Publications (7)

Recent publications for all applications. Explore the full list and refine your search

Disease markers 2022:9119423 PubMed36438896

2022

Triptolide Inhibits the Biological Processes of HUVECs and HepG2 Cells via the Serine Palmitoyltransferase Long Chain Base Subunit 2/Sphingosine-1-Phosphate Signaling Pathway.

Applications

Unspecified application

Species

Unspecified reactive species

Lulu Jia,Shengnan Zhu,Mingfei Zhu,Lingyue Huang,Siyuan Xu,Yuqin Luo,Juan Xiao,Huazhen Su,Shaoyuan Huang,Qinyou Tan

International journal of molecular sciences 23: PubMed36361531

2022

Targeting SPHK1/PBX1 Axis Induced Cell Cycle Arrest in Non-Small Cell Lung Cancer.

Applications

Unspecified application

Species

Unspecified reactive species

Zhoujun Lin,Yin Li,Xiao Han,Zhenkun Fu,Zhenhuan Tian,Chenggang Li

Experimental and therapeutic medicine 23:3 PubMed34815755

2021

Hirudin, a thrombin inhibitor, attenuates TGF-β-induced fibrosis in renal proximal tubular epithelial cells by inhibition of protease-activated receptor 1 expression via S1P/S1PR2/S1PR3 signaling.

Applications

Unspecified application

Species

Unspecified reactive species

Qiang Lin,Chunli Long,Zhengang Wang,Ronghui Wang,Wei Shi,Jiwei Qiu,Junlin Mo,Yongxiang Xie

Biochimica et biophysica acta. Molecular and cell 1865:158632 PubMed31954174

2020

Circulating cord blood HDL-S1P complex preserves the integrity of the feto-placental vasculature.

Applications

Unspecified application

Species

Unspecified reactive species

Ilaria Del Gaudio,Ivana Sreckovic,Pablo Zardoya-Laguardia,Eva Bernhart,Christina Christoffersen,Saša Frank,Gunther Marsche,Sebastian E Illanes,Christian Wadsack

Clinical & translational oncology : official publi 21:1240-1249 PubMed30712233

2019

Differential expression of S1P receptor subtypes in human bladder transitional cell carcinoma.

Applications

Unspecified application

Species

Unspecified reactive species

A Palangi,N Shakhssalim,M Parvin,S Bayat,A Allameh

EBioMedicine 40:210-223 PubMed30587459

2018

S1P/S1PR3 axis promotes aerobic glycolysis by YAP/c-MYC/PGAM1 axis in osteosarcoma.

Applications

Unspecified application

Species

Unspecified reactive species

Yifei Shen,Shujie Zhao,Shenyu Wang,Xiaohui Pan,Yunkun Zhang,Jingwen Xu,Yuqing Jiang,Haibo Li,Qiang Zhang,Jianbo Gao,Qin Yang,Yang Zhou,Shuheng Jiang,Huilin Yang,Zhigang Zhang,Rong Zhang,Jun Li,Dong Zhou

PloS one 12:e0182390 PubMed28806736

2017

Unravelling the interplay of sphingolipids and TGF-β signaling in the human corneal stroma.

Applications

WB

Species

Unspecified reactive species

Sarah E Nicholas,Tyler G Rowsey,Shrestha Priyadarsini,Nawajes A Mandal,Dimitrios Karamichos
View all publications

Product promise

We are committed to supporting your work with high-quality reagents, and we're here for you every step of the way. In the unlikely event that one of our products does not perform as expected, you're protected by our Product Promise.
For full details, please see our Terms & Conditions

Associated Products

Select an associated product type
Alternative Product
Primary Antibodies

AB150573

Anti-EDG3/S1P3 antibody

primary-antibodies

edg3-s1p3-antibody-ab150573

0

(0 reviews)

Please note: All products are 'FOR RESEARCH USE ONLY. NOT FOR USE IN DIAGNOSTIC OR THERAPEUTIC PROCEDURES'.

For licensing inquiries, please contact partnerships@abcam.com