JavaScript is disabled in your browser. Please enable JavaScript to view this website.
AB198003

Anti-EDIL3/DEL1 antibody

Be the first to review this product! Submit a review

|

(1 Publication)

Rabbit Polyclonal EDIL3/DEL1 antibody. Suitable for IHC-P and reacts with Human samples. Cited in 1 publication. Immunogen corresponding to Recombinant Fragment Protein within Human EDIL3.

View Alternative Names

DEL1, EDIL3, EGF-like repeat and discoidin I-like domain-containing protein 3, Developmentally-regulated endothelial cell locus 1 protein, Integrin-binding protein DEL1

2 Images
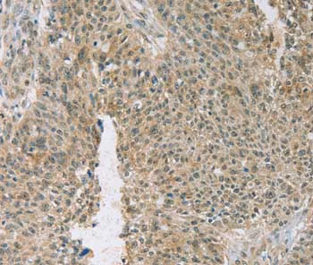
Immunohistochemistry (Formalin/PFA-fixed paraffin-embedded sections) - Anti-EDIL3/DEL1 antibody (AB198003)
  • IHC-P

Supplier Data

Immunohistochemistry (Formalin/PFA-fixed paraffin-embedded sections) - Anti-EDIL3/DEL1 antibody (AB198003)

Immunohistochemical analysis of paraffin-embedded Human cervical cancer tissue labeling EDIL3/DEL1 with ab198003 at 1/20 dilution.

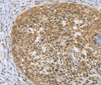
Immunohistochemistry (Formalin/PFA-fixed paraffin-embedded sections) - Anti-EDIL3/DEL1 antibody (AB198003)
  • IHC-P

Supplier Data

Immunohistochemistry (Formalin/PFA-fixed paraffin-embedded sections) - Anti-EDIL3/DEL1 antibody (AB198003)

Immunohistochemical analysis of paraffin-embedded Human ovarian cancer tissue labeling EDIL3/DEL1 with ab198003 at 1/20 dilution.

Key facts

Host species

Rabbit

Clonality

Polyclonal

Isotype

IgG

Carrier free

No

Reacts with

Human

Applications

IHC-P

applications

Immunogen

Recombinant Fragment Protein within Human EDIL3. The exact immunogen used to generate this antibody is proprietary information.

O43854

Reactivity data

{ "title": "Reactivity Data", "filters": { "stats": ["", "Species", "Dilution Info", "Notes"], "tabs": { "all-applications": {"fullname" : "All Applications", "shortname": "All Applications"}, "IHCP" : {"fullname" : "Immunohistochemistry (Formalin/PFA-fixed paraffin-embedded sections)", "shortname":"IHC-P"} }, "product-promise": { "all": "all", "testedAndGuaranteed": "tested", "guaranteed": "expected", "predicted": "predicted", "notRecommended": "not-recommended" } }, "values": { "Human": { "IHCP-species-checked": "testedAndGuaranteed", "IHCP-species-dilution-info": "1/20 - 1/100", "IHCP-species-notes": "<p></p>" }, "Mouse": { "IHCP-species-checked": "predicted", "IHCP-species-dilution-info": "", "IHCP-species-notes": "" } } }

Properties and storage information

Form
Liquid
Purification technique
Affinity purification Immunogen
Storage buffer
pH: 7.4 Preservative: 0.05% Sodium azide Constituents: PBS, 50% Glycerol (glycerin, glycerine)
Shipped at conditions
Blue Ice
Appropriate short-term storage duration
1-2 weeks
Appropriate short-term storage conditions
+4°C
Appropriate long-term storage conditions
-20°C
Aliquoting information
Upon delivery aliquot
Storage information
Avoid freeze / thaw cycle

Supplementary information

This supplementary information is collated from multiple sources and compiled automatically.

The protein EDIL3 also known as DEL1 or del-1 protein is a secreted extracellular matrix protein with a mass of approximately 52 kDa. It is expressed highly in endothelial cells and has a significant presence during embryonic development particularly within the arteries. As a versatile protein EDIL3 plays a role in promoting cell adhesion through interaction with integrins. This interaction makes it important for cellular communication and structural support in various tissues.
Biological function summary

EDIL3 influences vascular development and angiogenesis. It is not generally part of a large protein complex but works independently to support endothelial cell survival and proliferation. It binds preferentially to integrins like alphavbeta3 and alphavbeta5. This binding initiates intracellular signaling cascades that activate pathways responsible for cell growth and migration. EDIL3 therefore contributes to stabilizing newly formed blood vessels which is essential during developmental processes.

Pathways

EDIL3 plays a role in the regulation of several signaling networks including the MAPK and PI3K/AKT pathways. In these pathways it assists angiogenesis and endothelial cell function by activating signaling that promotes cell division and survival. EDIL3-related pathway interactions involve proteins such as VEGF an important factor in angiogenesis which also partners with integrins to enhance vascular development and repair processes.

EDIL3 has implications in cancer and inflammatory diseases. In cancer EDIL3 aids the formation of new blood vessels that supply nutrients to tumors promoting their growth and metastasis. It partners with the VEGF protein to enhance angiogenic processes in tumor environments. Inflammatory diseases such as rheumatoid arthritis show elevated levels of EDIL3 where it encourages pro-inflammatory responses through endothelial cell interactions. Here EDIL3 might interact with proteins involved in inflammatory pathways exacerbating disease progression.

Product protocols

For this product, it's our understanding that no specific protocols are required. You can visit:

Target data

Promotes adhesion of endothelial cells through interaction with the alpha-v/beta-3 integrin receptor. Inhibits formation of vascular-like structures. May be involved in regulation of vascular morphogenesis of remodeling in embryonic development.
See full target information EDIL3

Publications (1)

Recent publications for all applications. Explore the full list and refine your search

Scientific reports 7:8649 PubMed28819306

2017

Prognostic Significance of EDIL3 Expression and Correlation with Mesenchymal Phenotype and Microvessel Density in Lung Adenocarcinoma.

Applications

Unspecified application

Species

Unspecified reactive species

Dongjun Jeong,Seona Ban,Seunghyun Oh,Su Jin Lee,Seong Yong Park,Young Wha Koh
View all publications

Product promise

We are committed to supporting your work with high-quality reagents, and we're here for you every step of the way. In the unlikely event that one of our products does not perform as expected, you're protected by our Product Promise.
For full details, please see our Terms & Conditions

Please note: All products are 'FOR RESEARCH USE ONLY. NOT FOR USE IN DIAGNOSTIC OR THERAPEUTIC PROCEDURES'.

For licensing inquiries, please contact partnerships@abcam.com