JavaScript is disabled in your browser. Please enable JavaScript to view this website.
AB126542

Anti-EED antibody [163C]

Be the first to review this product! Submit a review

|

(7 Publications)

Mouse Monoclonal EED antibody. Suitable for ICC, IHC-P, ICC/IF and reacts with Human, Mouse samples. Cited in 7 publications. Immunogen corresponding to Recombinant Full Length Protein corresponding to Human EED.

View Alternative Names

Polycomb protein EED, hEED, Embryonic ectoderm development protein, WD protein associating with integrin cytoplasmic tails 1, WAIT-1, EED

4 Images
Immunocytochemistry/ Immunofluorescence - Anti-EED antibody [163C] (AB126542)
  • ICC/IF

Supplier Data

Immunocytochemistry/ Immunofluorescence - Anti-EED antibody [163C] (AB126542)

Immunohistochemical analysis of paraffin embedded Human tonsil tissue labeling EED with ab126542 antibody at 1/40 dilution (green). DAPI was used to counterstain the nuclei (blue).

Immunocytochemistry - Anti-EED antibody [163C] (AB126542)
  • ICC

Supplier Data

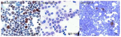
Immunocytochemistry - Anti-EED antibody [163C] (AB126542)

Immunohistochemical analysis of on frozen cytospins preparations of V5-tagged Human EED expressed in Hek293T labeling EED with ab126542 antibody (left). Cytospin preparation of V5-tagged Human MNDA protein was used as a negative control (middle). Labeling with an anti-V5 mAb confirmed the efficiency of transfection (right).

Immunohistochemistry (Formalin/PFA-fixed paraffin-embedded sections) - Anti-EED antibody [163C] (AB126542)
  • IHC-P

Supplier Data

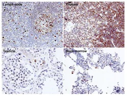
Immunohistochemistry (Formalin/PFA-fixed paraffin-embedded sections) - Anti-EED antibody [163C] (AB126542)

Immunohistochemical analysis of paraffin embedded Human lymph node (top left), thymus (top right), testicle (bottom left) and bone marrow (bottom right) tissues labeling EED with ab126542 antibody at 1/600 dilution.

Immunohistochemistry (Formalin/PFA-fixed paraffin-embedded sections) - Anti-EED antibody [163C] (AB126542)
  • IHC-P

Supplier Data

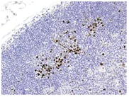
Immunohistochemistry (Formalin/PFA-fixed paraffin-embedded sections) - Anti-EED antibody [163C] (AB126542)

Immunohistochemical analysis of paraffin embedded mouse lymph node tissue labeling EED with ab126542 antibody at 1/75 dilution.

Key facts

Host species

Mouse

Clonality

Monoclonal

Clone number

163C

Isotype

IgG2a

Carrier free

No

Reacts with

Mouse, Human

Applications

IHC-P, ICC/IF, ICC

applications

Immunogen

Recombinant Full Length Protein corresponding to Human EED.

O75530

Reactivity data

{ "title": "Reactivity Data", "filters": { "stats": ["", "Species", "Dilution Info", "Notes"], "tabs": { "all-applications": {"fullname" : "All Applications", "shortname": "All Applications"}, "ICC" : {"fullname" : "Immunocytochemistry", "shortname":"ICC"}, "WB" : {"fullname" : "Western blot", "shortname":"WB"}, "IHCP" : {"fullname" : "Immunohistochemistry (Formalin/PFA-fixed paraffin-embedded sections)", "shortname":"IHC-P"}, "ICCIF" : {"fullname" : "Immunocytochemistry/ Immunofluorescence", "shortname":"ICC/IF"}, "IHCFr" : {"fullname" : "Immunohistochemistry (Frozen sections)", "shortname":"IHC-Fr"} }, "product-promise": { "all": "all", "testedAndGuaranteed": "tested", "guaranteed": "expected", "predicted": "predicted", "notRecommended": "not-recommended" } }, "values": { "Human": { "ICC-species-checked": "testedAndGuaranteed", "ICC-species-dilution-info": "", "ICC-species-notes": "<p></p>", "WB-species-checked": "notRecommended", "WB-species-dilution-info": "", "WB-species-notes": "<p>This antibody is not working well by WB. The MW observed is around 48kDa. The antibody is not validated for WB since the results obtained are not reproducible at the moment.</p>", "IHCP-species-checked": "testedAndGuaranteed", "IHCP-species-dilution-info": "1/75 - 1/600", "IHCP-species-notes": "<p>Antigen Retrieval: 20 min ER2 (Tris-EDTA)</p>", "ICCIF-species-checked": "testedAndGuaranteed", "ICCIF-species-dilution-info": "1/40", "ICCIF-species-notes": "<p>Antigen retrieval (Tris-EDTA buffer) recommended.</p>", "IHCFr-species-checked": "notRecommended", "IHCFr-species-dilution-info": "", "IHCFr-species-notes": "<p></p>" }, "Mouse": { "ICC-species-checked": "guaranteed", "ICC-species-dilution-info": "", "ICC-species-notes": "", "WB-species-checked": "notRecommended", "WB-species-dilution-info": "", "WB-species-notes": "<p>This antibody is not working well by WB. The MW observed is around 48kDa. The antibody is not validated for WB since the results obtained are not reproducible at the moment.</p>", "IHCP-species-checked": "testedAndGuaranteed", "IHCP-species-dilution-info": "1/75 - 1/600", "IHCP-species-notes": "<p>Antigen Retrieval: 20 min ER2 (Tris-EDTA)</p>", "ICCIF-species-checked": "guaranteed", "ICCIF-species-dilution-info": "", "ICCIF-species-notes": "", "IHCFr-species-checked": "notRecommended", "IHCFr-species-dilution-info": "", "IHCFr-species-notes": "<p></p>" } } }

Properties and storage information

Form
Liquid
Purity
Tissue culture supernatant
Storage buffer
pH: 7.4 Preservative: 0.02% Sodium azide
Shipped at conditions
Blue Ice
Appropriate short-term storage conditions
+4°C
Appropriate long-term storage conditions
+4°C
Storage information
Do Not Freeze

Supplementary information

This supplementary information is collated from multiple sources and compiled automatically.

The EED protein also known as embryonic ectoderm development plays an important mechanical role within the cell. It is a component of the polycomb repressive complex 2 (PRC2) that mediates transcriptional silencing of target genes. The molecular weight of EED protein is approximately 50 kDa. EED is expressed in various tissues and is a critical mediator in maintaining transcriptional repression necessary for embryonic stem cell identity and differentiation.
Biological function summary

EED functions as a repressor of gene transcription through the polycomb group complex. It interacts with other components of PRC2 such as EZH2 SUZ12 to establish and maintain chromatin modifications. EED acts as a scaffold allowing communication between other proteins essential in the assembly and function of PRC2. These interactions regulate histone methylation contributing to gene silencing.

Pathways

EED plays a central role in the regulation of the Wnt and Hedgehog pathways. These pathways are critical for controlling cell fate decisions and developmental processes. In the Wnt pathway EED in conjunction with other PRC2 members modulates β-catenin-mediated transcription. In the Hedgehog pathway EED impacts the Gli family of transcription factors underlining its importance in development and cellular proliferation regulation.

EED has been linked to various cancers and developmental disorders. Aberrant EED function and localization relate to overactivation of the Wnt pathway an aspect seen in colorectal cancer. EED also interacts with EHZ2 contributing to tumorigenesis through unchecked cell division and proliferation. In the context of Weaver syndrome mutations within EED are involved consolidating its important association with developmental anomalies.

Product protocols

For this product, it's our understanding that no specific protocols are required. You can visit:

Target data

Polycomb group (PcG) protein. Component of the PRC2/EED-EZH2 complex, which methylates 'Lys-9' and 'Lys-27' of histone H3, leading to transcriptional repression of the affected target gene. Also recognizes 'Lys-26' trimethylated histone H1 with the effect of inhibiting PRC2 complex methyltransferase activity on nucleosomal histone H3 'Lys-27', whereas H3 'Lys-27' recognition has the opposite effect, enabling the propagation of this repressive mark. The PRC2/EED-EZH2 complex may also serve as a recruiting platform for DNA methyltransferases, thereby linking two epigenetic repression systems. Genes repressed by the PRC2/EED-EZH2 complex include HOXC8, HOXA9, MYT1 and CDKN2A.
See full target information EED

Publications (7)

Recent publications for all applications. Explore the full list and refine your search

Advanced science (Weinheim, Baden-Wurttemberg, Germany) 12:e2403591 PubMed39498824

2024

An EED/PRC2-H19 Loop Regulates Cerebellar Development.

Applications

Unspecified application

Species

Unspecified reactive species

Pei-Pei Liu,Xiao Han,Xiao Li,Shang-Kun Dai,Ya-Jie Xu,Lin-Fei Jiao,Hong-Zhen Du,Li-Hua Zhao,Rong-Feng Li,Zhao-Qian Teng,Yun-Gui Yang,Chang-Mei Liu

Cell proliferation 58:e13756 PubMed39358887

2024

KDM2B and its peptides promote the stem cells from apical papilla mediated nerve injury repair in rats by intervening EZH2 function.

Applications

Unspecified application

Species

Unspecified reactive species

Yangyang Cao,Yantong Wang,Dengsheng Xia,Zhipeng Fan

iScience 25:104827 PubMed35992062

2022

EZH2 T367 phosphorylation activates p38 signaling through lysine methylation to promote breast cancer progression.

Applications

Unspecified application

Species

Unspecified reactive species

Maria E Gonzalez,Giuseppina Daniela Naimo,Talha Anwar,Alessandro Paolì,Shilpa R Tekula,Suny Kim,Natasha Medhora,Shoshana A Leflein,Jacob Itkin,Raymond Trievel,Kelley M Kidwell,Yu-Chih Chen,Loredana Mauro,Euisik Yoon,Sebastiano Andò,Celina G Kleer

Pathobiology : journal of immunopathology, molecular and cellular biology 86:152-161 PubMed31096221

2019

Immunostaining of Increased Expression of Enhancer of Zeste Homolog 2 (EZH2) in Diffuse Midline Glioma H3K27M-Mutant Patients with Poor Survival.

Applications

Unspecified application

Species

Unspecified reactive species

Vega Karlowee,Vishwa Jeet Amatya,Takeshi Takayasu,Motoki Takano,Ushio Yonezawa,Yukio Takeshima,Kazuhiko Sugiyama,Kaoru Kurisu,Fumiyuki Yamasaki

BMC cancer 18:158 PubMed29415665

2018

Prognostic implications of polycomb proteins ezh2, suz12, and eed1 and histone modification by H3K27me3 in sarcoma.

Applications

IHC-P

Species

Human

Yong Jin Cho,Soo Hee Kim,Eun Kyung Kim,Jung Woo Han,Kyoo-Ho Shin,Hyuk Hu,Kyung Sik Kim,Young Deuk Choi,Sunghoon Kim,Young Han Lee,Jin-Suck Suh,Joong Bae Ahn,Hyun Cheol Chung,Sung Hoon Noh,Sun Young Rha,Sung-Taek Jung,Hyo Song Kim

Oncotarget 5:10342-55 PubMed25431950

2014

Pharmacologic down-regulation of EZH2 suppresses bladder cancer in vitro and in vivo.

Applications

Unspecified application

Species

Unspecified reactive species

Shou-Hung Tang,Hsu-Shan Huang,Hong-Ui Wu,Yi-Ta Tsai,Mei-Jen Chuang,Cheng-Ping Yu,Shih-Ming Huang,Guang-Huan Sun,Sun-Yran Chang,Pei-Wen Hsiao,Dah-Shyong Yu,Tai-Lung Cha

Nature neuroscience 16:1745-53 PubMed24162653

2013

EZH2-mediated H3K27 trimethylation mediates neurodegeneration in ataxia-telangiectasia.

Applications

Unspecified application

Species

Unspecified reactive species

Jiali Li,Ronald P Hart,Elyse M Mallimo,Mavis R Swerdel,Alexander W Kusnecov,Karl Herrup
View all publications

Product promise

We are committed to supporting your work with high-quality reagents, and we're here for you every step of the way. In the unlikely event that one of our products does not perform as expected, you're protected by our Product Promise.
For full details, please see our Terms & Conditions

Please note: All products are 'FOR RESEARCH USE ONLY. NOT FOR USE IN DIAGNOSTIC OR THERAPEUTIC PROCEDURES'.

For licensing inquiries, please contact partnerships@abcam.com