JavaScript is disabled in your browser. Please enable JavaScript to view this website.
AB264566

Anti-EED antibody [EPR23043-5] - BSA and Azide free

  • RabMAb
  • Advanced Validation
  • Recombinant
  • KO Validated
  • What is this?

Be the first to review this product! Submit a review

|

(1 Publication)

Rabbit Recombinant Monoclonal EED antibody. Carrier free. Suitable for IP, ChIP, ChIP-seq, WB and reacts with Human, Mouse samples. Cited in 1 publication.

View Alternative Names

Polycomb protein EED, hEED, Embryonic ectoderm development protein, WD protein associating with integrin cytoplasmic tails 1, WAIT-1, EED

6 Images
ChIP - Anti-EED antibody [EPR23043-5] - BSA and Azide free (AB264566)
  • ChIP

Unknown

ChIP - Anti-EED antibody [EPR23043-5] - BSA and Azide free (AB264566)

Chromatin was prepared from NT2/D1 cells according to the Abcam Dual-X-ChIP protocol. Cells were fixed with 1.5 mM EGS for 30mins and then formaldehyde for 10min.

The ChIP was performed with 25 μg of chromatin, 5 μg of ab240650 (red), or 5 μg of rabbit normal IgG ab172730 (gray) and 20 μl of Protein A/G sepharose beads. The immunoprecipitated DNA was quantified by real time PCR (Taqman approach for active and inactive loci, Sybr green approach for heterochromatic loci).

Primers and probes are commercial primers from Millipore (Cat. No. : 17-10034) and CST (85322S)

This data was developed using the same antibody clone in a different buffer formulation containing PBS, glycerol, azide and BSA (ab240650).

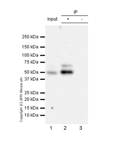
Immunoprecipitation - Anti-EED antibody [EPR23043-5] - BSA and Azide free (AB264566)
  • IP

Supplier Data

Immunoprecipitation - Anti-EED antibody [EPR23043-5] - BSA and Azide free (AB264566)

This data was developed using ab240650, the same antibody clone in a different buffer formulation.EED was immunoprecipitated from 0.35 mg K562 (human chronic myelogenous leukemia lymphoblast) whole cell lysate 10ug with ab240650 at 1/30 dilution (2ug in 0.35mg lysates). Western blot was performed on the immunoprecipitate using ab240650 at 1/1000 dilution. VeriBlot for IP Detection Reagent (HRP)(ab131366) was used at 1/5000 dilution.

Lane 1 : K562 (human chronic myelogenous leukemia lymphoblast) whole cell lysate 10ug

Lane 2 : ab240650 IP in K562 whole cell lysate

Lane 3 : Rabbit monoclonal IgG (ab172730) instead of ab240650 in K562 whole cell lysate

Blocking and dilution buffer and concentration : 5% NFDM/TBST.

Exposure time : 1 minutes

All lanes:

Immunoprecipitation - Anti-EED antibody [EPR23043-5] - BSA and Azide free (ab264566)

Predicted band size: 50 kDa

false

Immunoprecipitation - Anti-EED antibody [EPR23043-5] - BSA and Azide free (AB264566)
  • IP

Unknown

Immunoprecipitation - Anti-EED antibody [EPR23043-5] - BSA and Azide free (AB264566)

EED was immunoprecipitated from 0.35 mg K562 (human chronic myelogenous leukemia lymphoblast) whole cell lysate with ab240650 at 1/30 dilution (2μg in 0.35mg lysates). Western blot was performed on the immunoprecipitate using ab240650 at 1/1000 dilution. VeriBlot for IP Detection Reagent (HRP) (ab131366) was used at 1/5000 dilution.

Lane 1 : K562 (human chronic myelogenous leukemia lymphoblast) whole cell lysate 10 μg

Lane 2 : ab240650 IP in K562 whole cell lysate

Lane 3 : Rabbit monoclonal IgG (ab172730) instead of ab240650 in K562 whole cell lysate

Blocking and dilution buffer and concentration : 5% NFDM/TBST.

Exposure time : 1 min

This data was developed using the same antibody clone in a different buffer formulation containing PBS, glycerol, azide and BSA (ab240650).

All lanes:

Immunoprecipitation - Anti-EED antibody [EPR23043-5] - ChIP Grade (<a href='/en-us/products/primary-antibodies/eed-antibody-epr23043-5-chip-grade-ab240650'>ab240650</a>)

Predicted band size: 50 kDa

false

Western blot - Anti-EED antibody [EPR23043-5] - BSA and Azide free (AB264566)
  • WB

Lab

Western blot - Anti-EED antibody [EPR23043-5] - BSA and Azide free (AB264566)

This data was developed using ab240650, the same antibody clone in a different buffer formulation.

Blocking and diluting buffer and concentration : ab240650 was shown to specifically react with EED in wild-type HAP1 cells as signal was lost in EED knockout cells. Wild-type and EED knockout samples were subjected to SDS-PAGE. ab240650 and ab181602 (Rabbit anti-GAPDH loading control) were incubated 1 hour at room temperature at 1/1000 dilution and 1/200, 000 dilution respectively. Blots were developed with Goat Anti-Rabbit IgG, (H+L), Peroxidase conjugated (ab97051) secondary antibody at 1/100, 000 dilution for 1 hour at room temperature before imaging.

The molecular weight observed is consistent with what has been described in the literature (PMID : 27578866, 9584199). EED cDNA encodes 441-aa-long protein and 535-aa-long protein.

Lanes 1-3 : 15 seconds; Lanes 4-6 : 37 seconds.

Exposure time :

All lanes:

Western blot - Anti-EED antibody [EPR23043-5] - BSA and Azide free (ab264566) at 1/1000 dilution

Lanes 1 - 2:

293T (human embryonic kidney epithelial cell) whole cell lysate

Lane 3:

K562 (human chronic myelogenous leukemia lymphoblast), whole cell lysate

Lane 4:

293T (human embryonic kidney epithelial cell), whole cell lysate

Lane 5:

NIH/3T3 (mouse embryonic fibroblast), whole cell lysate

Lane 6:

C2C12 (mouse myoblasts myoblast), whole cell lysate

Secondary

All lanes:

Goat Anti-Rabbit IgG, (H+L), Peroxidase conjugated (<a href='/en-us/products/secondary-antibodies/goat-rabbit-igg-h-l-hrp-ab97051'>ab97051</a>) at 1/20000 dilution

Predicted band size: 50 kDa

false

Western blot - Anti-EED antibody [EPR23043-5] - BSA and Azide free (AB264566)
  • WB

Lab

Western blot - Anti-EED antibody [EPR23043-5] - BSA and Azide free (AB264566)

This data was developed using ab240650, the same antibody clone in a different buffer formulation.

Blocking and dilution buffer and concentration : 5% NFDM/TBST

ab240650 detects an unknown band close to the target bands in cytoplasm.

All lanes:

Western blot - Anti-EED antibody [EPR23043-5] - ChIP Grade (<a href='/en-us/products/primary-antibodies/eed-antibody-epr23043-5-chip-grade-ab240650'>ab240650</a>) at 1/1000 dilution

Lane 1:

Wild type HAP1 whole cell lysate at 20 µg

Lane 2:

EED knockout HAP1 whole cell lysate at 20 µg

Lane 3:

Wild type HAP1 nuclear fraction lysate at 20 µg

Lane 4:

EED knockout HAP1 nuclear fraction lysate at 20 µg

Lane 5:

Wild type HAP1 cytoplasmic lysate at 20 µg

Lane 6:

EED knockout HAP1 cytoplasmic lysate at 20 µg

Secondary

All lanes:

Western blot - Goat Anti-Rabbit IgG H&L (HRP) (<a href='/en-us/products/secondary-antibodies/goat-rabbit-igg-h-l-hrp-ab97051'>ab97051</a>) at 1/20000 dilution

Predicted band size: 50 kDa

Observed band size: 50-70 kDa

false

Exposure time: 3s

Western blot - Anti-EED antibody [EPR23043-5] - BSA and Azide free (AB264566)
  • WB

Lab

Western blot - Anti-EED antibody [EPR23043-5] - BSA and Azide free (AB264566)

Blocking and diluting buffer and concentration : 5% NFDM/TBST ab240650 was shown to specifically react with EED in wild-type HAP1 cells as signal was lost in EED knockout cells. Wild-type and EED knockout samples were subjected to SDS-PAGE. ab240650 and ab181602 (Rabbit anti-GAPDH loading control) were incubated 1 hour at room temperature at 1/1000 dilution and 1/200,000 dilution respectively. Blots were developed with Goat Anti-Rabbit IgG, (H+L), Peroxidase conjugated (ab97051) secondary antibody at 1/100,000 dilution for 1 hour at room temperature before imaging. The expression profile/ molecular weight observed is consistent with what has been described in the literature (PMID : 27578866, 9584199). EED cDNA encodes 441-aa-long protein and 535-aa-long protein.

Exposure time : Lanes 1-3 : 15 seconds Lanes 4-6 : 37 seconds

This data was developed using the same antibody clone in a different buffer formulation containing PBS, glycerol, azide and BSA (ab240650).

All lanes:

Western blot - Anti-EED antibody [EPR23043-5] - ChIP Grade (<a href='/en-us/products/primary-antibodies/eed-antibody-epr23043-5-chip-grade-ab240650'>ab240650</a>) at 1/1000 dilution

Lane 1:

Wild type HAP1 whole cell lysate at 20 µg

Lane 2:

EED knockout HAP1 whole cell lysate at 20 µg

Lane 3:

K562 (human chronic myelogenous leukemia lymphoblast), whole cell lysate at 20 µg

Lane 4:

293T (human embryonic kidney epithelial cell), whole cell lysate at 20 µg

Lane 5:

NIH/3T3 (mouse embryonic fibroblast), whole cell lysate at 20 µg

Lane 6:

C2C12 (mouse myoblasts myoblast), whole cell lysate at 20 µg

Secondary

All lanes:

Western blot - Goat Anti-Rabbit IgG H&L (HRP) (<a href='/en-us/products/secondary-antibodies/goat-rabbit-igg-h-l-hrp-ab97051'>ab97051</a>) at 1/20000 dilution

Predicted band size: 50 kDa

Observed band size: 50-70 kDa

false

Key facts

Host species

Rabbit

Clonality

Monoclonal

Clone number

EPR23043-5

Isotype

IgG

Carrier free

Yes

Reacts with

Mouse, Human

Applications

ChIP-seq, WB, IP, ChIP

applications

Immunogen

The exact immunogen used to generate this antibody is proprietary information.

Specificity

ab240650 detects an unknown band close to the target bands in cytoplasm.

Reactivity data

{ "title": "Reactivity Data", "filters": { "stats": ["", "Species", "Dilution Info", "Notes"], "tabs": { "all-applications": {"fullname" : "All Applications", "shortname": "All Applications"}, "IP" : {"fullname" : "Immunoprecipitation", "shortname":"IP"}, "ChIP" : {"fullname" : "ChIP", "shortname":"ChIP"}, "ChIPseq" : {"fullname" : "ChIP-sequencing", "shortname":"ChIP-seq"}, "WB" : {"fullname" : "Western blot", "shortname":"WB"}, "IHCP" : {"fullname" : "Immunohistochemistry (Formalin/PFA-fixed paraffin-embedded sections)", "shortname":"IHC-P"}, "ICCIF" : {"fullname" : "Immunocytochemistry/ Immunofluorescence", "shortname":"ICC/IF"}, "FlowCyt" : {"fullname" : "Flow Cytometry", "shortname":"Flow Cyt"} }, "product-promise": { "all": "all", "testedAndGuaranteed": "tested", "guaranteed": "expected", "predicted": "predicted", "notRecommended": "not-recommended" } }, "values": { "Human": { "IP-species-checked": "testedAndGuaranteed", "IP-species-dilution-info": "", "IP-species-notes": "<p></p>", "ChIP-species-checked": "testedAndGuaranteed", "ChIP-species-dilution-info": "", "ChIP-species-notes": "<p></p>", "ChIPseq-species-checked": "guaranteed", "ChIPseq-species-dilution-info": "", "ChIPseq-species-notes": "", "WB-species-checked": "testedAndGuaranteed", "WB-species-dilution-info": "", "WB-species-notes": "<p></p>", "IHCP-species-checked": "notRecommended", "IHCP-species-dilution-info": "", "IHCP-species-notes": "<p></p>", "ICCIF-species-checked": "notRecommended", "ICCIF-species-dilution-info": "", "ICCIF-species-notes": "<p></p>", "FlowCyt-species-checked": "notRecommended", "FlowCyt-species-dilution-info": "", "FlowCyt-species-notes": "<p></p>" }, "Mouse": { "IP-species-checked": "guaranteed", "IP-species-dilution-info": "", "IP-species-notes": "", "ChIP-species-checked": "guaranteed", "ChIP-species-dilution-info": "", "ChIP-species-notes": "", "ChIPseq-species-checked": "testedAndGuaranteed", "ChIPseq-species-dilution-info": "", "ChIPseq-species-notes": "<p></p>", "WB-species-checked": "testedAndGuaranteed", "WB-species-dilution-info": "", "WB-species-notes": "<p></p>", "IHCP-species-checked": "notRecommended", "IHCP-species-dilution-info": "", "IHCP-species-notes": "<p></p>", "ICCIF-species-checked": "notRecommended", "ICCIF-species-dilution-info": "", "ICCIF-species-notes": "<p></p>", "FlowCyt-species-checked": "notRecommended", "FlowCyt-species-dilution-info": "", "FlowCyt-species-notes": "" }, "Rat": { "IP-species-checked": "notRecommended", "IP-species-dilution-info": "", "IP-species-notes": "", "ChIP-species-checked": "notRecommended", "ChIP-species-dilution-info": "", "ChIP-species-notes": "", "ChIPseq-species-checked": "notRecommended", "ChIPseq-species-dilution-info": "", "ChIPseq-species-notes": "", "WB-species-checked": "notRecommended", "WB-species-dilution-info": "", "WB-species-notes": "<p></p>", "IHCP-species-checked": "notRecommended", "IHCP-species-dilution-info": "", "IHCP-species-notes": "<p></p>", "ICCIF-species-checked": "notRecommended", "ICCIF-species-dilution-info": "", "ICCIF-species-notes": "", "FlowCyt-species-checked": "notRecommended", "FlowCyt-species-dilution-info": "", "FlowCyt-species-notes": "" } } }

Product details

ab264566 is the carrier-free version of ab240650.

Patented technology
Our RabMAb® technology is a patented hybridoma-based technology for making rabbit monoclonal antibodies. For details on our patents, please refer to RabMAb® patents.

What are the advantages of a recombinant monoclonal antibody?
This product is a recombinant monoclonal antibody, which offers several advantages including:

  • - High batch-to-batch consistency and reproducibility
  • - Improved sensitivity and specificity
  • - Long-term security of supply
  • - Animal-free batch production

For more information, read more on recombinant antibodies.

Conjugation ready
Our carrier-free antibodies are typically supplied in a PBS-only formulation, purified and free of BSA, sodium azide and glycerol. This conjugation-ready format is designed for use with fluorochromes, metal isotopes, oligonucleotides, and enzymes, which makes them ideal for antibody labelling, functional and cell-based assays, flow-based assays (e.g. mass cytometry) and Multiplex Imaging applications.

Use our conjugation kits for antibody conjugates that are ready-to-use in as little as 20 minutes with 1 minute hands-on-time and 100% antibody recovery: available for fluorescent dyes, HRP, biotin and gold.

Compatibility
This product is compatible with the Maxpar® Antibody Labeling Kit from Fluidigm, without the need for antibody preparation. Maxpar® is a trademark of Fluidigm Canada Inc.

Properties and storage information

Form
Liquid
Purification technique
Affinity purification Protein A
Storage buffer
Constituents: PBS
Shipped at conditions
Blue Ice
Appropriate short-term storage conditions
+4°C
Appropriate long-term storage conditions
+4°C

Supplementary information

This supplementary information is collated from multiple sources and compiled automatically.

The EED protein also known as embryonic ectoderm development plays an important mechanical role within the cell. It is a component of the polycomb repressive complex 2 (PRC2) that mediates transcriptional silencing of target genes. The molecular weight of EED protein is approximately 50 kDa. EED is expressed in various tissues and is a critical mediator in maintaining transcriptional repression necessary for embryonic stem cell identity and differentiation.
Biological function summary

EED functions as a repressor of gene transcription through the polycomb group complex. It interacts with other components of PRC2 such as EZH2 SUZ12 to establish and maintain chromatin modifications. EED acts as a scaffold allowing communication between other proteins essential in the assembly and function of PRC2. These interactions regulate histone methylation contributing to gene silencing.

Pathways

EED plays a central role in the regulation of the Wnt and Hedgehog pathways. These pathways are critical for controlling cell fate decisions and developmental processes. In the Wnt pathway EED in conjunction with other PRC2 members modulates β-catenin-mediated transcription. In the Hedgehog pathway EED impacts the Gli family of transcription factors underlining its importance in development and cellular proliferation regulation.

EED has been linked to various cancers and developmental disorders. Aberrant EED function and localization relate to overactivation of the Wnt pathway an aspect seen in colorectal cancer. EED also interacts with EHZ2 contributing to tumorigenesis through unchecked cell division and proliferation. In the context of Weaver syndrome mutations within EED are involved consolidating its important association with developmental anomalies.

Product protocols

For this product, it's our understanding that no specific protocols are required. You can visit:

Target data

Polycomb group (PcG) protein. Component of the PRC2/EED-EZH2 complex, which methylates 'Lys-9' and 'Lys-27' of histone H3, leading to transcriptional repression of the affected target gene. Also recognizes 'Lys-26' trimethylated histone H1 with the effect of inhibiting PRC2 complex methyltransferase activity on nucleosomal histone H3 'Lys-27', whereas H3 'Lys-27' recognition has the opposite effect, enabling the propagation of this repressive mark. The PRC2/EED-EZH2 complex may also serve as a recruiting platform for DNA methyltransferases, thereby linking two epigenetic repression systems. Genes repressed by the PRC2/EED-EZH2 complex include HOXC8, HOXA9, MYT1 and CDKN2A.
See full target information EED

Publications (1)

Recent publications for all applications. Explore the full list and refine your search

Cell death & disease 13:538 PubMed35676242

2022

Histone H3K27 demethylase UTX compromises articular chondrocyte anabolism and aggravates osteoarthritic degeneration.

Applications

IHC, WB

Species

Human, Human

Wei-Shiung Lian,Re-Wen Wu,Jih-Yang Ko,Yu-Shan Chen,Shao-Yu Wang,Chun-Ping Yu,Holger Jahr,Feng-Sheng Wang
View all publications

Product promise

We are committed to supporting your work with high-quality reagents, and we're here for you every step of the way. In the unlikely event that one of our products does not perform as expected, you're protected by our Product Promise.
For full details, please see our Terms & Conditions

Please note: All products are 'FOR RESEARCH USE ONLY. NOT FOR USE IN DIAGNOSTIC OR THERAPEUTIC PROCEDURES'.

For licensing inquiries, please contact partnerships@abcam.com