JavaScript is disabled in your browser. Please enable JavaScript to view this website.
AB186380

Anti-eEF1A1/EF-Tu + eEF1A1 + EE1AL3/EEF1A1P5 antibody [EPR9470] - BSA and Azide free

Be the first to review this product! Submit a review

|

(1 Publication)

Rabbit Recombinant Monoclonal eEF1A1/EF-Tu antibody. Carrier free. Suitable for IHC-P, ICC/IF, WB, Flow Cyt (Intra) and reacts with Human samples. Cited in 1 publication.

View Alternative Names

EEF1A, EF1A, LENG7, EEF1A1, Elongation factor 1-alpha 1, EF-1-alpha-1, Elongation factor Tu, Eukaryotic elongation factor 1 A-1, Leukocyte receptor cluster member 7, EF-Tu, eEF1A-1

6 Images
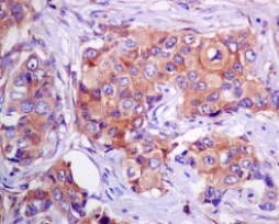
Immunohistochemistry (Formalin/PFA-fixed paraffin-embedded sections) - Anti-eEF1A1/EF-Tu + eEF1A1 + EE1AL3/EEF1A1P5 antibody [EPR9470] - BSA and Azide free (AB186380)
  • IHC-P

Unknown

Immunohistochemistry (Formalin/PFA-fixed paraffin-embedded sections) - Anti-eEF1A1/EF-Tu + eEF1A1 + EE1AL3/EEF1A1P5 antibody [EPR9470] - BSA and Azide free (AB186380)

This data was developed using ab140632, the same antibody clone in a different buffer formulation.

Immunohistochemical analysis of paraffin embedded Human breast carcinoma tissue labelling eEF1A1/EF-Tu + eEF1A1 + EE1AL3/EEF1A1P5 with ab140632 at 1/50 dilution.

Perform heat mediated antigen retrieval with citrate buffer pH 6 before commencing with IHC staining protocol.

Immunocytochemistry/ Immunofluorescence - Anti-eEF1A1/EF-Tu + eEF1A1 + EE1AL3/EEF1A1P5 antibody [EPR9470] - BSA and Azide free (AB186380)
  • ICC/IF

Lab

Immunocytochemistry/ Immunofluorescence - Anti-eEF1A1/EF-Tu + eEF1A1 + EE1AL3/EEF1A1P5 antibody [EPR9470] - BSA and Azide free (AB186380)

This data was developed using ab140632, the same antibody clone in a different buffer formulation.

Immunocytochemistry/Immunofluorescence analysis of MCF-7 cells labelling eEF1A1/EF-Tu + eEF1A1 + EE1AL3/EEF1A1P5 with purified ab140632 at a dilution of 1/500. Cells were fixed with 4% paraformaldehyde and permeabilized with 0.1% Triton X-100. ab150077, an Alexa Fluor® 488-conjugated goat anti-rabbit IgG (1/1000) was used as the secondary antibody. Nuclei counterstained with DAPI (blue).

Control : PBS only.

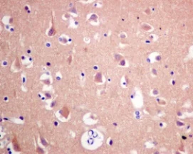
Immunohistochemistry (Formalin/PFA-fixed paraffin-embedded sections) - Anti-eEF1A1/EF-Tu + eEF1A1 + EE1AL3/EEF1A1P5 antibody [EPR9470] - BSA and Azide free (AB186380)
  • IHC-P

Unknown

Immunohistochemistry (Formalin/PFA-fixed paraffin-embedded sections) - Anti-eEF1A1/EF-Tu + eEF1A1 + EE1AL3/EEF1A1P5 antibody [EPR9470] - BSA and Azide free (AB186380)

This data was developed using ab140632, the same antibody clone in a different buffer formulation.

Immunohistochemical analysis of paraffin embedded Human brain tissue labelling eEF1A1/EF-Tu + eEF1A1 + EE1AL3/EEF1A1P5 with ab140632 at 1/50 dilution.

Perform heat mediated antigen retrieval with citrate buffer pH 6 before commencing with IHC staining protocol.

Flow Cytometry (Intracellular) - Anti-eEF1A1/EF-Tu + eEF1A1 + EE1AL3/EEF1A1P5 antibody [EPR9470] - BSA and Azide free (AB186380)
  • Flow Cyt (Intra)

Unknown

Flow Cytometry (Intracellular) - Anti-eEF1A1/EF-Tu + eEF1A1 + EE1AL3/EEF1A1P5 antibody [EPR9470] - BSA and Azide free (AB186380)

This data was developed using ab140632, the same antibody clone in a different buffer formulation.

Overlay histogram showing MCF7 cells stained with ab140632 (red line). The cells were fixed with 4% paraformaldehyde (10 min) and then permeabilized with 0.1% PBS-Tween for 20 min. The cells were then incubated in 1x PBS / 10% normal goat serum / 0.3M glycine to block non-specific protein-protein interactions followed by the antibody (ab140632, 1/1000 dilution) for 30 min at 22°C. The secondary antibody used was Alexa Fluor® 488 goat anti-rabbit IgG (H&L) (ab150077) at 1/2000 dilution for 30 min at 22°C. Isotype control antibody (black line) was rabbit IgG (monoclonal) (0.1μg/1x106 cells) used under the same conditions. Unlabelled sample (blue line) was also used as a control. Acquisition of >5,000 events were collected using a 20mW Argon ion laser (488nm) and 525/30 bandpass filter. This antibody gave a positive signal in MCF7 cells fixed with 80% methanol (5 min)/permeabilized with 0.1% PBS-Tween for 20 min used under the same conditions.

Western blot - Anti-eEF1A1/EF-Tu + eEF1A1 + EE1AL3/EEF1A1P5 antibody [EPR9470] - BSA and Azide free (AB186380)
  • WB

Unknown

Western blot - Anti-eEF1A1/EF-Tu + eEF1A1 + EE1AL3/EEF1A1P5 antibody [EPR9470] - BSA and Azide free (AB186380)

This data was developed using ab140632, the same antibody clone in a different buffer formulation.

All lanes:

Western blot - Anti-eEF1A1/EF-Tu + eEF1A1 + EE1AL3/EEF1A1P5 antibody [EPR9470] (<a href='/en-us/products/primary-antibodies/eef1a1-ef-tu-eef1a1-ee1al3-eef1a1p5-antibody-epr9470-ab140632'>ab140632</a>) at 1/1000 dilution

Lane 1:

HeLa cell lysate at 10 µg

Lane 2:

MCF-7 cell lysate at 10 µg

Lane 3:

293T cell lysate at 10 µg

Secondary

All lanes:

HRP labelled Goat anti-Rabbit at 1/2000 dilution

Predicted band size: 50 kDa

false

Western blot - Anti-eEF1A1/EF-Tu + eEF1A1 + EE1AL3/EEF1A1P5 antibody [EPR9470] - BSA and Azide free (AB186380)
  • WB

Unknown

Western blot - Anti-eEF1A1/EF-Tu + eEF1A1 + EE1AL3/EEF1A1P5 antibody [EPR9470] - BSA and Azide free (AB186380)

EE1AL3/EEF1A1P5 it's a suspected pseudogene (https : //www.ncbi.nlm.nih.gov/gene/158078). Our validation shows that this clone is able to detect Recombinant EF1AL3/EEF1A1P5 but endogenous protein expression is yet unknown.

All lanes:

Western blot - Anti-eEF1A1/EF-Tu + eEF1A1 + EE1AL3/EEF1A1P5 antibody [EPR9470] (<a href='/en-us/products/primary-antibodies/eef1a1-ef-tu-eef1a1-ee1al3-eef1a1p5-antibody-epr9470-ab140632'>ab140632</a>) at 1/1000 dilution

Lane 1:

GST tagged Recombinant Human EEF1A1 protein (Full length, 76 KDa)

Lane 2:

His tagged Recombinant Human EEF1AL3 protein (Full length, 52 KDa)

Secondary

All lanes:

Western blot - Goat Anti-Rabbit IgG H&L (HRP) (<a href='/en-us/products/secondary-antibodies/goat-rabbit-igg-h-l-hrp-ab97051'>ab97051</a>) at 1/20000 dilution

Predicted band size: 50 kDa

false

  • Unconjugated

    Anti-eEF1A1/EF-Tu + eEF1A1 + EE1AL3/EEF1A1P5 antibody [EPR9470]

Key facts

Host species

Rabbit

Clonality

Monoclonal

Clone number

EPR9470

Isotype

IgG

Carrier free

Yes

Reacts with

Human

Applications

Flow Cyt (Intra), WB, IHC-P, ICC/IF

applications

Immunogen

The exact immunogen used to generate this antibody is proprietary information.

Specificity

EE1AL3/EEF1A1P5 it's a suspected pseudogene (https://www.ncbi.nlm.nih.gov/gene/158078). Our validation shows that this clone is able to detect Recombinant EF1AL3/EEF1A1P5 but endogenous protein expression is yet unknown.

Reactivity data

{ "title": "Reactivity Data", "filters": { "stats": ["", "Species", "Dilution Info", "Notes"], "tabs": { "all-applications": {"fullname" : "All Applications", "shortname": "All Applications"}, "IP" : {"fullname" : "Immunoprecipitation", "shortname":"IP"}, "IHCP" : {"fullname" : "Immunohistochemistry (Formalin/PFA-fixed paraffin-embedded sections)", "shortname":"IHC-P"}, "ICCIF" : {"fullname" : "Immunocytochemistry/ Immunofluorescence", "shortname":"ICC/IF"}, "WB" : {"fullname" : "Western blot", "shortname":"WB"}, "FlowCytIntra" : {"fullname" : "Flow Cytometry (Intracellular)", "shortname":"Flow Cyt (Intra)"} }, "product-promise": { "all": "all", "testedAndGuaranteed": "tested", "guaranteed": "expected", "predicted": "predicted", "notRecommended": "not-recommended" } }, "values": { "Human": { "IP-species-checked": "notRecommended", "IP-species-dilution-info": "", "IP-species-notes": "<p></p>", "IHCP-species-checked": "testedAndGuaranteed", "IHCP-species-dilution-info": "", "IHCP-species-notes": "<p></p>", "ICCIF-species-checked": "testedAndGuaranteed", "ICCIF-species-dilution-info": "", "ICCIF-species-notes": "<p></p>", "WB-species-checked": "testedAndGuaranteed", "WB-species-dilution-info": "", "WB-species-notes": "<p></p>", "FlowCytIntra-species-checked": "testedAndGuaranteed", "FlowCytIntra-species-dilution-info": "", "FlowCytIntra-species-notes": "<p></p>" }, "Mouse": { "IP-species-checked": "notRecommended", "IP-species-dilution-info": "", "IP-species-notes": "", "IHCP-species-checked": "predicted", "IHCP-species-dilution-info": "", "IHCP-species-notes": "", "ICCIF-species-checked": "predicted", "ICCIF-species-dilution-info": "", "ICCIF-species-notes": "", "WB-species-checked": "predicted", "WB-species-dilution-info": "", "WB-species-notes": "", "FlowCytIntra-species-checked": "predicted", "FlowCytIntra-species-dilution-info": "", "FlowCytIntra-species-notes": "" }, "Rat": { "IP-species-checked": "notRecommended", "IP-species-dilution-info": "", "IP-species-notes": "", "IHCP-species-checked": "predicted", "IHCP-species-dilution-info": "", "IHCP-species-notes": "", "ICCIF-species-checked": "predicted", "ICCIF-species-dilution-info": "", "ICCIF-species-notes": "", "WB-species-checked": "predicted", "WB-species-dilution-info": "", "WB-species-notes": "", "FlowCytIntra-species-checked": "predicted", "FlowCytIntra-species-dilution-info": "", "FlowCytIntra-species-notes": "" } } }

Product details

ab186380 is the carrier-free version of ab140632.

Patented technology
Our RabMAb® technology is a patented hybridoma-based technology for making rabbit monoclonal antibodies. For details on our patents, please refer to RabMAb® patents.

What are the advantages of a recombinant monoclonal antibody?
This product is a recombinant monoclonal antibody, which offers several advantages including:

  • - High batch-to-batch consistency and reproducibility
  • - Improved sensitivity and specificity
  • - Long-term security of supply
  • - Animal-free batch production

For more information, read more on recombinant antibodies.

Conjugation ready
Our carrier-free antibodies are typically supplied in a PBS-only formulation, purified and free of BSA, sodium azide and glycerol. This conjugation-ready format is designed for use with fluorochromes, metal isotopes, oligonucleotides, and enzymes, which makes them ideal for antibody labelling, functional and cell-based assays, flow-based assays (e.g. mass cytometry) and Multiplex Imaging applications.

Use our conjugation kits for antibody conjugates that are ready-to-use in as little as 20 minutes with 1 minute hands-on-time and 100% antibody recovery: available for fluorescent dyes, HRP, biotin and gold.

Compatibility
This product is compatible with the Maxpar® Antibody Labeling Kit from Fluidigm, without the need for antibody preparation. Maxpar® is a trademark of Fluidigm Canada Inc.

Properties and storage information

Form
Liquid
Purification technique
Affinity purification Protein A
Purification notes
Protein-A purification via MabSelect SuRe
Storage buffer
pH: 7.2 - 7.4 Constituents: PBS
Shipped at conditions
Blue Ice
Appropriate short-term storage conditions
+4°C
Appropriate long-term storage conditions
+4°C
Storage information
Do Not Freeze

Supplementary information

This supplementary information is collated from multiple sources and compiled automatically.

The eEF1A1 also known as EF-Tu or eEF1A1-L3 is an elongation factor involved in protein synthesis. It facilitates the delivery of aminoacyl-tRNA to the A-site of the ribosome during translation. eEF1A1 exhibits a mass of approximately 50 kDa and is widely expressed in various tissues including the brain heart and skeletal muscle. Its expression level varies indicating that it plays a consistent role in translation machinery but may have tissue-specific functions.
Biological function summary

This elongation factor is important in promoting the accuracy and efficiency of protein translation. It interacts with several components of the protein synthesis machinery and forms part of a larger translational complex. eEF1A1 is involved in ensuring the correct amino acids are added during protein synthesis which affects protein structure and function. In addition to its canonical role it also engages in processes such as actin filament binding nuclear transport and other cell maintenance tasks.

Pathways

The activities of eEF1A1 intersect with key processes involved in cellular growth and proliferation. It plays a significant role in the mTOR signaling pathway which regulates cell growth by controlling protein synthesis. eEF1A1 also interacts with proteins like Rheb an important player in mTOR signaling. By participating in these pathways eEF1A1 links translation with broader regulatory networks that control cell metabolism.

EEF1A1 has connections to cancer and neurodegenerative diseases. Its elevated expression is often observed in several cancer types suggesting a role in tumorigenesis. Additionally misregulation of eEF1A1 may contribute to neurodegenerative disorders such as Alzheimer's disease where alterations in protein synthesis pathways are common. The protein's interaction with tau known in neuropathological conditions highlights its impact on neurodegeneration.

Product protocols

For this product, it's our understanding that no specific protocols are required. You can visit:

Target data

Translation elongation factor that catalyzes the GTP-dependent binding of aminoacyl-tRNA (aa-tRNA) to the A-site of ribosomes during the elongation phase of protein synthesis (PubMed : 26593721, PubMed : 26651998, PubMed : 36123449, PubMed : 36264623, PubMed : 36638793). Base pairing between the mRNA codon and the aa-tRNA anticodon promotes GTP hydrolysis, releasing the aa-tRNA from EEF1A1 and allowing its accommodation into the ribosome (PubMed : 26593721, PubMed : 26651998, PubMed : 36123449, PubMed : 36264623, PubMed : 36638793). The growing protein chain is subsequently transferred from the P-site peptidyl tRNA to the A-site aa-tRNA, extending it by one amino acid through ribosome-catalyzed peptide bond formation (PubMed : 26593721, PubMed : 26651998, PubMed : 36123449, PubMed : 36264623). Also plays a role in the positive regulation of IFNG transcription in T-helper 1 cells as part of an IFNG promoter-binding complex with TXK and PARP1 (PubMed : 17177976).. (Microbial infection) Required for the translation of viral proteins and viral replication during human coronavirus SARS-CoV-2 infection.
See full target information EEF1A1

Publications (1)

Recent publications for all applications. Explore the full list and refine your search

Breast cancer research : BCR 22:139 PubMed33298139

2020

Cathepsin V suppresses GATA3 protein expression in luminal A breast cancer.

Applications

Unspecified application

Species

Unspecified reactive species

Naphannop Sereesongsaeng,Sara H McDowell,James F Burrows,Christopher J Scott,Roberta E Burden
View all publications

Product promise

We are committed to supporting your work with high-quality reagents, and we're here for you every step of the way. In the unlikely event that one of our products does not perform as expected, you're protected by our Product Promise.
For full details, please see our Terms & Conditions

Please note: All products are 'FOR RESEARCH USE ONLY. NOT FOR USE IN DIAGNOSTIC OR THERAPEUTIC PROCEDURES'.

For licensing inquiries, please contact partnerships@abcam.com