JavaScript is disabled in your browser. Please enable JavaScript to view this website.
AB240142

Anti-eEF1A1/EF-Tu + eEF1A1 + EE1AL3/EEF1A1P5 antibody [EPR9471] - BSA and Azide free

Be the first to review this product! Submit a review

|

(0 Publication)

Rabbit Recombinant Monoclonal eEF1A1/EF-Tu antibody. Carrier free. Suitable for IP, ICC/IF, Flow Cyt (Intra), IHC-P, WB and reacts with Human, Mouse, Rat, Recombinant full length protein - Human samples.

View Alternative Names

EEF1A, EF1A, LENG7, EEF1A1, Elongation factor 1-alpha 1, EF-1-alpha-1, Elongation factor Tu, Eukaryotic elongation factor 1 A-1, Leukocyte receptor cluster member 7, EF-Tu, eEF1A-1

5 Images
Immunocytochemistry/ Immunofluorescence - Anti-eEF1A1/EF-Tu + eEF1A1 + EE1AL3/EEF1A1P5 antibody [EPR9471] - BSA and Azide free (AB240142)
  • ICC/IF

Unknown

Immunocytochemistry/ Immunofluorescence - Anti-eEF1A1/EF-Tu + eEF1A1 + EE1AL3/EEF1A1P5 antibody [EPR9471] - BSA and Azide free (AB240142)

Immunocytochemistry/Immunofluorescence analysis of HeLa (human cervix adenocarcinoma) cells labelling eEF1A1/EF-Tu + eEF1A1 + EE1AL3/EEF1A1P5 with purified ab157455 at 1/100. Cells were fixed with 4% paraformaldehyde and permeabilized with 0.1% Triton X-100. ab150077, an Alexa Fluor® 488-conjugated goat anti-rabbit IgG (1/500) was used as the secondary antibody. DAPI (blue) was used as the nuclear counterstain. ab7291, a mouse anti-tubulin (1/1000) and ab150120, an Alexa Fluor® 594-conjugated goat anti-mouse IgG (1/1000) were also used.

Control 1 : primary antibody (1/100) and secondary antibody, ab150120, an Alexa Fluor® 594-conjugated goat anti-mouse IgG (1/500).

Control 2 : ab7291 (1/1000) and secondary antibody, ab150077, an Alexa Fluor® 488-conjugated goat anti-rabbit IgG (1/500).

This data was developed using the same antibody clone in a different buffer formulation containing PBS, BSA, glycerol, and sodium azide (ab157455).

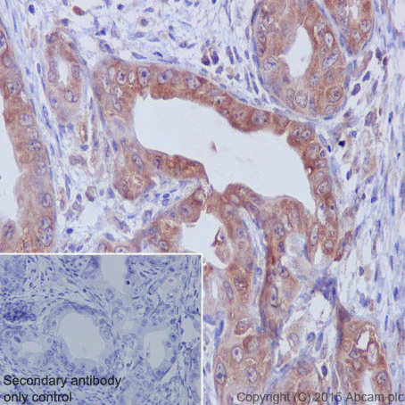
Immunohistochemistry (Formalin/PFA-fixed paraffin-embedded sections) - Anti-eEF1A1/EF-Tu + eEF1A1 + EE1AL3/EEF1A1P5 antibody [EPR9471] - BSA and Azide free (AB240142)
  • IHC-P

Unknown

Immunohistochemistry (Formalin/PFA-fixed paraffin-embedded sections) - Anti-eEF1A1/EF-Tu + eEF1A1 + EE1AL3/EEF1A1P5 antibody [EPR9471] - BSA and Azide free (AB240142)

Immunohistochemistry (Formalin/PFA-fixed paraffin-embedded sections) analysis of human cervix carcinoma tissue labelling eEF1A1/EF-Tu + eEF1A1 + EE1AL3/EEF1A1P5 with purified ab157455 at 1/100. Heat mediated antigen retrieval was performed using Tris/EDTA buffer pH 9. ab97051, a goat anti-rabbit IgG H&L (HRP) was used as the secondary antibody (1/500). Negative control using PBS instead of primary antibody. Counterstained with hematoxylin.

This data was developed using the same antibody clone in a different buffer formulation containing PBS, BSA, glycerol, and sodium azide (ab157455).

Flow Cytometry (Intracellular) - Anti-eEF1A1/EF-Tu + eEF1A1 + EE1AL3/EEF1A1P5 antibody [EPR9471] - BSA and Azide free (AB240142)
  • Flow Cyt (Intra)

Lab

Flow Cytometry (Intracellular) - Anti-eEF1A1/EF-Tu + eEF1A1 + EE1AL3/EEF1A1P5 antibody [EPR9471] - BSA and Azide free (AB240142)

Intracellular Flow Cytometry analysis of HeLa (human cervix adenocarcinoma) cells labeling eEF1A1/EF-Tu + eEF1A1 + EE1AL3/EEF1A1P5 with purified ab157455 at 1/50 dilution (10ug/ml) (red). Cells were fixed with 4% paraformaldehyde and permeabilised with 90% methanol. A Goat anti rabbit IgG (Alexa Fluor® 488) (1/2000 dilution) was used as the secondary antibody. Rabbit monoclonal IgG (Black) was used as the isotype control, cells without incubation with primary antibody and secondary antibody (Blue) was used as the unlabeled control.

This data was developed using the same antibody clone in a different buffer formulation containing PBS, BSA, glycerol, and sodium azide (ab157455).

Immunoprecipitation - Anti-eEF1A1/EF-Tu + eEF1A1 + EE1AL3/EEF1A1P5 antibody [EPR9471] - BSA and Azide free (AB240142)
  • IP

Unknown

Immunoprecipitation - Anti-eEF1A1/EF-Tu + eEF1A1 + EE1AL3/EEF1A1P5 antibody [EPR9471] - BSA and Azide free (AB240142)

ab157455 (purified) at 1/30 immunoprecipitating eEF1A1/EF-Tu in HeLa whole cell lysate. 10 ug of cell lysate was present in the input. For western blotting, a HRP-conjugated Veriblot for IP Detection Reagent (ab131366) was used for detection at 1/1,500 dilution. A rabbit monoclonal IgG (ab172730) was used intead of ab128913 as a negative control (Lane 3).

Blocking buffer and concentration : 5% NFDM/TBST.

Diluting buffer and concentration : 5% NFDM /TBST.

This data was developed using the same antibody clone in a different buffer formulation containing PBS, BSA, glycerol, and sodium azide (ab157455).

All lanes:

Immunoprecipitation - Anti-eEF1A1/EF-Tu + eEF1A1 + EE1AL3/EEF1A1P5 antibody [EPR9471] (<a href='/en-us/products/primary-antibodies/eef1a1-ef-tu-eef1a1-ee1al3-eef1a1p5-antibody-epr9471-ab157455'>ab157455</a>)

false

Western blot - Anti-eEF1A1/EF-Tu + eEF1A1 + EE1AL3/EEF1A1P5 antibody [EPR9471] - BSA and Azide free (AB240142)
  • WB

Unknown

Western blot - Anti-eEF1A1/EF-Tu + eEF1A1 + EE1AL3/EEF1A1P5 antibody [EPR9471] - BSA and Azide free (AB240142)

Exposure time :

Lane 1 : 180 seconds

Lane 2 : 5 seconds

EE1AL3/EEF1A1P5 it's a suspected pseudogene (https : //www.ncbi.nlm.nih.gov/gene/158078). Our validation shows that this clone is able to detect Recombinant EF1AL3/EEF1A1P5 but endogenous protein expression is yet unknown.

All lanes:

Western blot - Anti-eEF1A1/EF-Tu + eEF1A1 + EE1AL3/EEF1A1P5 antibody [EPR9471] (<a href='/en-us/products/primary-antibodies/eef1a1-ef-tu-eef1a1-ee1al3-eef1a1p5-antibody-epr9471-ab157455'>ab157455</a>) at 1/1000 dilution

Lane 1:

GST tagged Recombinant Human EEF1A1 protein (Full length, 76 KDa)

Lane 2:

His tagged Recombinant Human EEF1AL3 protein (Full length, 52 KDa)

Secondary

All lanes:

Western blot - Goat Anti-Rabbit IgG H&L (HRP) (<a href='/en-us/products/secondary-antibodies/goat-rabbit-igg-h-l-hrp-ab97051'>ab97051</a>) at 1/20000 dilution

Predicted band size: 50 kDa

false

  • Unconjugated

    Anti-eEF1A1/EF-Tu + eEF1A1 + EE1AL3/EEF1A1P5 antibody [EPR9471]

  • 775 Alexa Fluor® 750

    Alexa Fluor® 750 Anti-eEF1A1/EF-Tu + eEF1A1 + EE1AL3/EEF1A1P5 antibody [EPR9471]

  • 660 APC

    APC Anti-eEF1A1/EF-Tu + eEF1A1 + EE1AL3/EEF1A1P5 antibody [EPR9471]

  • HRP

    HRP Anti-eEF1A1/EF-Tu + eEF1A1 + EE1AL3/EEF1A1P5 antibody [EPR9471]

  • 617 Alexa Fluor® 594

    Alexa Fluor® 594 Anti-eEF1A1/EF-Tu + eEF1A1 + EE1AL3/EEF1A1P5 antibody [EPR9471]

  • 665 Alexa Fluor® 647

    Alexa Fluor® 647 Anti-eEF1A1/EF-Tu + eEF1A1 + EE1AL3/EEF1A1P5 antibody [EPR9471]

  • 565 Alexa Fluor® 555

    Alexa Fluor® 555 Anti-eEF1A1/EF-Tu + eEF1A1 + EE1AL3/EEF1A1P5 antibody [EPR9471]

  • 578 PE

    PE Anti-eEF1A1/EF-Tu + eEF1A1 + EE1AL3/EEF1A1P5 antibody [EPR9471]

  • 519 Alexa Fluor® 488

    Alexa Fluor® 488 Anti-eEF1A1/EF-Tu + eEF1A1 + EE1AL3/EEF1A1P5 antibody [EPR9471]

  • 603 Alexa Fluor® 568

    Alexa Fluor® 568 Anti-eEF1A1/EF-Tu + eEF1A1 + EE1AL3/EEF1A1P5 antibody [EPR9471]

Key facts

Host species

Rabbit

Clonality

Monoclonal

Clone number

EPR9471

Isotype

IgG

Carrier free

Yes

Reacts with

Mouse, Rat, Human

Applications

WB, Flow Cyt (Intra), IHC-P, ICC/IF, IP

applications

Immunogen

The exact immunogen used to generate this antibody is proprietary information.

Specificity

The immunogen used for this product shares 6 continuous identical amino acids with eEF1A2. Cross-reactivity with this protein has not been confirmed experimentally.

EE1AL3/EEF1A1P5 it's a suspected pseudogene (https://www.ncbi.nlm.nih.gov/gene/158078). Our validation shows that this clone is able to detect Recombinant EF1AL3/EEF1A1P5 but endogenous protein expression is yet unknown.

Reactivity data

{ "title": "Reactivity Data", "filters": { "stats": ["", "Species", "Dilution Info", "Notes"], "tabs": { "all-applications": {"fullname" : "All Applications", "shortname": "All Applications"}, "IP" : {"fullname" : "Immunoprecipitation", "shortname":"IP"}, "ICCIF" : {"fullname" : "Immunocytochemistry/ Immunofluorescence", "shortname":"ICC/IF"}, "FlowCytIntra" : {"fullname" : "Flow Cytometry (Intracellular)", "shortname":"Flow Cyt (Intra)"}, "IHCP" : {"fullname" : "Immunohistochemistry (Formalin/PFA-fixed paraffin-embedded sections)", "shortname":"IHC-P"}, "WB" : {"fullname" : "Western blot", "shortname":"WB"} }, "product-promise": { "all": "all", "testedAndGuaranteed": "tested", "guaranteed": "expected", "predicted": "predicted", "notRecommended": "not-recommended" } }, "values": { "Human": { "IP-species-checked": "testedAndGuaranteed", "IP-species-dilution-info": "", "IP-species-notes": "<p></p> Perform heat-mediated antigen retrieval with Tris/EDTA buffer pH 9.0 before commencing with IHC staining protocol.", "ICCIF-species-checked": "testedAndGuaranteed", "ICCIF-species-dilution-info": "", "ICCIF-species-notes": "<p></p>", "FlowCytIntra-species-checked": "testedAndGuaranteed", "FlowCytIntra-species-dilution-info": "", "FlowCytIntra-species-notes": "<p></p>", "IHCP-species-checked": "testedAndGuaranteed", "IHCP-species-dilution-info": "", "IHCP-species-notes": "<p></p> Perform heat-mediated antigen retrieval with Tris/EDTA buffer pH 9.0 before commencing with IHC staining protocol.", "WB-species-checked": "testedAndGuaranteed", "WB-species-dilution-info": "", "WB-species-notes": "<p></p>" }, "Mouse": { "IP-species-checked": "guaranteed", "IP-species-dilution-info": "", "IP-species-notes": "", "ICCIF-species-checked": "guaranteed", "ICCIF-species-dilution-info": "", "ICCIF-species-notes": "", "FlowCytIntra-species-checked": "guaranteed", "FlowCytIntra-species-dilution-info": "", "FlowCytIntra-species-notes": "", "IHCP-species-checked": "guaranteed", "IHCP-species-dilution-info": "", "IHCP-species-notes": "", "WB-species-checked": "testedAndGuaranteed", "WB-species-dilution-info": "", "WB-species-notes": "<p></p>" }, "Rat": { "IP-species-checked": "guaranteed", "IP-species-dilution-info": "", "IP-species-notes": "", "ICCIF-species-checked": "guaranteed", "ICCIF-species-dilution-info": "", "ICCIF-species-notes": "", "FlowCytIntra-species-checked": "guaranteed", "FlowCytIntra-species-dilution-info": "", "FlowCytIntra-species-notes": "", "IHCP-species-checked": "guaranteed", "IHCP-species-dilution-info": "", "IHCP-species-notes": "", "WB-species-checked": "testedAndGuaranteed", "WB-species-dilution-info": "", "WB-species-notes": "<p></p>" }, "Recombinant full length protein - Human": { "IP-species-checked": "notRecommended", "IP-species-dilution-info": "", "IP-species-notes": "", "ICCIF-species-checked": "notRecommended", "ICCIF-species-dilution-info": "", "ICCIF-species-notes": "", "FlowCytIntra-species-checked": "notRecommended", "FlowCytIntra-species-dilution-info": "", "FlowCytIntra-species-notes": "", "IHCP-species-checked": "notRecommended", "IHCP-species-dilution-info": "", "IHCP-species-notes": "", "WB-species-checked": "testedAndGuaranteed", "WB-species-dilution-info": "", "WB-species-notes": "<p></p>" } } }

Product details

ab240142 is the carrier-free version of ab157455.

Patented technology
Our RabMAb® technology is a patented hybridoma-based technology for making rabbit monoclonal antibodies. For details on our patents, please refer to RabMAb® patents.

What are the advantages of a recombinant monoclonal antibody?
This product is a recombinant monoclonal antibody, which offers several advantages including:

  • - High batch-to-batch consistency and reproducibility
  • - Improved sensitivity and specificity
  • - Long-term security of supply
  • - Animal-free batch production

For more information, read more on recombinant antibodies.

Conjugation ready
Our carrier-free antibodies are typically supplied in a PBS-only formulation, purified and free of BSA, sodium azide and glycerol. This conjugation-ready format is designed for use with fluorochromes, metal isotopes, oligonucleotides, and enzymes, which makes them ideal for antibody labelling, functional and cell-based assays, flow-based assays (e.g. mass cytometry) and Multiplex Imaging applications.

Use our conjugation kits for antibody conjugates that are ready-to-use in as little as 20 minutes with 1 minute hands-on-time and 100% antibody recovery: available for fluorescent dyes, HRP, biotin and gold.

Compatibility
This product is compatible with the Maxpar® Antibody Labeling Kit from Fluidigm, without the need for antibody preparation. Maxpar® is a trademark of Fluidigm Canada Inc.

Properties and storage information

Form
Liquid
Purification technique
Affinity purification Protein A
Storage buffer
pH: 7.2 - 7.4 Constituents: PBS
Shipped at conditions
Blue Ice
Appropriate short-term storage conditions
+4°C
Appropriate long-term storage conditions
+4°C
Storage information
Do Not Freeze

Supplementary information

This supplementary information is collated from multiple sources and compiled automatically.

The eEF1A1 also known as EF-Tu or eEF1A1-L3 is an elongation factor involved in protein synthesis. It facilitates the delivery of aminoacyl-tRNA to the A-site of the ribosome during translation. eEF1A1 exhibits a mass of approximately 50 kDa and is widely expressed in various tissues including the brain heart and skeletal muscle. Its expression level varies indicating that it plays a consistent role in translation machinery but may have tissue-specific functions.
Biological function summary

This elongation factor is important in promoting the accuracy and efficiency of protein translation. It interacts with several components of the protein synthesis machinery and forms part of a larger translational complex. eEF1A1 is involved in ensuring the correct amino acids are added during protein synthesis which affects protein structure and function. In addition to its canonical role it also engages in processes such as actin filament binding nuclear transport and other cell maintenance tasks.

Pathways

The activities of eEF1A1 intersect with key processes involved in cellular growth and proliferation. It plays a significant role in the mTOR signaling pathway which regulates cell growth by controlling protein synthesis. eEF1A1 also interacts with proteins like Rheb an important player in mTOR signaling. By participating in these pathways eEF1A1 links translation with broader regulatory networks that control cell metabolism.

EEF1A1 has connections to cancer and neurodegenerative diseases. Its elevated expression is often observed in several cancer types suggesting a role in tumorigenesis. Additionally misregulation of eEF1A1 may contribute to neurodegenerative disorders such as Alzheimer's disease where alterations in protein synthesis pathways are common. The protein's interaction with tau known in neuropathological conditions highlights its impact on neurodegeneration.

Product protocols

For this product, it's our understanding that no specific protocols are required. You can visit:

Target data

Translation elongation factor that catalyzes the GTP-dependent binding of aminoacyl-tRNA (aa-tRNA) to the A-site of ribosomes during the elongation phase of protein synthesis (PubMed : 26593721, PubMed : 26651998, PubMed : 36123449, PubMed : 36264623, PubMed : 36638793). Base pairing between the mRNA codon and the aa-tRNA anticodon promotes GTP hydrolysis, releasing the aa-tRNA from EEF1A1 and allowing its accommodation into the ribosome (PubMed : 26593721, PubMed : 26651998, PubMed : 36123449, PubMed : 36264623, PubMed : 36638793). The growing protein chain is subsequently transferred from the P-site peptidyl tRNA to the A-site aa-tRNA, extending it by one amino acid through ribosome-catalyzed peptide bond formation (PubMed : 26593721, PubMed : 26651998, PubMed : 36123449, PubMed : 36264623). Also plays a role in the positive regulation of IFNG transcription in T-helper 1 cells as part of an IFNG promoter-binding complex with TXK and PARP1 (PubMed : 17177976).. (Microbial infection) Required for the translation of viral proteins and viral replication during human coronavirus SARS-CoV-2 infection.
See full target information EEF1A1

Product promise

We are committed to supporting your work with high-quality reagents, and we're here for you every step of the way. In the unlikely event that one of our products does not perform as expected, you're protected by our Product Promise.
For full details, please see our Terms & Conditions

Please note: All products are 'FOR RESEARCH USE ONLY. NOT FOR USE IN DIAGNOSTIC OR THERAPEUTIC PROCEDURES'.

For licensing inquiries, please contact partnerships@abcam.com