JavaScript is disabled in your browser. Please enable JavaScript to view this website.
AB235190

Anti-EEF1A2 antibody

Be the first to review this product! Submit a review

|

(0 Publication)

Chicken Polyclonal EEF1A2 antibody. Suitable for IHC-P, WB and reacts with Human samples.

View Alternative Names

EEF1AL, STN, EEF1A2, Elongation factor 1-alpha 2, EF-1-alpha-2, Eukaryotic elongation factor 1 A-2, Statin-S1, eEF1A-2

2 Images
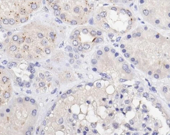
Immunohistochemistry (Formalin/PFA-fixed paraffin-embedded sections) - Anti-EEF1A2 antibody (AB235190)
  • IHC-P

Supplier Data

Immunohistochemistry (Formalin/PFA-fixed paraffin-embedded sections) - Anti-EEF1A2 antibody (AB235190)

Formalin-fixed, paraffin-embedded human kidney tissue stained for EEF1A2 using ab235190 at a 1/100 dilution (30mins at RT) in immunohistochemistry.

Secondary antibody used was an anti-chicken HRP (1/500, 20mins at RT).

Counterstained with hematoxylin.

HIER using citrate buffer for 20 mins.

Image focused on renal tubular epithelium section.

Western blot - Anti-EEF1A2 antibody (AB235190)
  • WB

Supplier Data

Western blot - Anti-EEF1A2 antibody (AB235190)

All lanes:

Western blot - Anti-EEF1A2 antibody (ab235190) at 5 µg/mL

All lanes:

MCF7 (human breast adenocarcinoma cell line) nuclear extract at 35 µg

Secondary

All lanes:

Goat anti-chicken IgG HRP at 1/5000 dilution

Predicted band size: 50 kDa

false

Key facts

Host species

Chicken

Clonality

Polyclonal

Isotype

IgY

Carrier free

No

Reacts with

Human

Applications

IHC-P, WB

applications

Immunogen

The exact immunogen used to generate this antibody is proprietary information.

Reactivity data

{ "title": "Reactivity Data", "filters": { "stats": ["", "Species", "Dilution Info", "Notes"], "tabs": { "all-applications": {"fullname" : "All Applications", "shortname": "All Applications"}, "IHCP" : {"fullname" : "Immunohistochemistry (Formalin/PFA-fixed paraffin-embedded sections)", "shortname":"IHC-P"}, "WB" : {"fullname" : "Western blot", "shortname":"WB"} }, "product-promise": { "all": "all", "testedAndGuaranteed": "tested", "guaranteed": "expected", "predicted": "predicted", "notRecommended": "not-recommended" } }, "values": { "Human": { "IHCP-species-checked": "testedAndGuaranteed", "IHCP-species-dilution-info": "1/100", "IHCP-species-notes": "<p></p> Perform heat-mediated antigen retrieval with citrate buffer pH 6 before commencing with IHC staining protocol.", "WB-species-checked": "testedAndGuaranteed", "WB-species-dilution-info": "5 µg/mL", "WB-species-notes": "<p></p>" }, "Mouse": { "IHCP-species-checked": "predicted", "IHCP-species-dilution-info": "", "IHCP-species-notes": "", "WB-species-checked": "predicted", "WB-species-dilution-info": "", "WB-species-notes": "" }, "Rat": { "IHCP-species-checked": "predicted", "IHCP-species-dilution-info": "", "IHCP-species-notes": "", "WB-species-checked": "predicted", "WB-species-dilution-info": "", "WB-species-notes": "" }, "Cow": { "IHCP-species-checked": "predicted", "IHCP-species-dilution-info": "", "IHCP-species-notes": "", "WB-species-checked": "predicted", "WB-species-dilution-info": "", "WB-species-notes": "" }, "Rabbit": { "IHCP-species-checked": "predicted", "IHCP-species-dilution-info": "", "IHCP-species-notes": "", "WB-species-checked": "predicted", "WB-species-dilution-info": "", "WB-species-notes": "" } } }

Properties and storage information

Form
Liquid
Purity
IgY fraction
Storage buffer
Preservative: 0.01% Sodium azide Constituents: 0.87% Sodium chloride, 0.03% Sodium phosphate
Shipped at conditions
Blue Ice
Appropriate short-term storage duration
1-2 weeks
Appropriate short-term storage conditions
+4°C
Appropriate long-term storage conditions
-20°C
Aliquoting information
Upon delivery aliquot
Storage information
Avoid freeze / thaw cycle

Supplementary information

This supplementary information is collated from multiple sources and compiled automatically.

EF1A2 also known as Eukaryotic translation elongation factor 1 alpha 2 is a protein that plays a role in the elongation phase of protein synthesis. It is a GTP-binding protein with a mass of about 50 kDa. This protein facilitates the binding of aminoacyl-tRNA to the acceptor site of the ribosome during protein translation. EF1A2 is expressed mainly in heart brain and skeletal muscle tissues indicating its importance in tissues with high energy demands.
Biological function summary

EF1A2 supports cellular proliferation and growth by ensuring the continuous efficiency of protein synthesis. It participates in several protein complexes that are involved in translational control. By regulating the actin cytoskeleton EF1A2 additionally influences cell shape and motility. This multifunctionality indicates EF1A2's relevance in various cellular activities beyond its primary role in translation elongation.

Pathways

EF1A2 integrates into the protein synthesis pathway and also plays a role in the mTOR signaling pathway which regulates cell growth and metabolism. In the mTOR pathway EF1A2 works alongside other elongation factors like EF2 and components of the translation machinery to coordinate protein synthesis. It interacts with proteins involved in nutrient signaling and energy status showing its role in integrating metabolic signals with translational processes.

EF1A2 shows a connection with cancer and neurodegenerative diseases. Overexpression of EF1A2 has been linked to several types of cancer as its role in facilitating protein synthesis can contribute to uncontrolled cellular proliferation. In neurodegenerative diseases such as amyotrophic lateral sclerosis (ALS) altered expression of EF1A2 suggests a disruption in protein homeostasis. The dysregulation of EF1A2 potentially affecting actin-binding proteins like TDP-43 highlights its association with disease pathology.

Product protocols

For this product, it's our understanding that no specific protocols are required. You can visit:

Target data

This protein promotes the GTP-dependent binding of aminoacyl-tRNA to the A-site of ribosomes during protein biosynthesis.
See full target information EEF1A2

Product promise

We are committed to supporting your work with high-quality reagents, and we're here for you every step of the way. In the unlikely event that one of our products does not perform as expected, you're protected by our Product Promise.
For full details, please see our Terms & Conditions

Please note: All products are 'FOR RESEARCH USE ONLY. NOT FOR USE IN DIAGNOSTIC OR THERAPEUTIC PROCEDURES'.

For licensing inquiries, please contact partnerships@abcam.com