JavaScript is disabled in your browser. Please enable JavaScript to view this website.
AB227824

Anti-EEF1A2 antibody [EPR22651-46]

Be the first to review this product! Submit a review

|

(2 Publications)

Rabbit Recombinant Monoclonal EEF1A2 antibody. Suitable for IP, WB and reacts with Human, Mouse, Rat samples. Cited in 2 publications.

View Alternative Names

EEF1AL, STN, EEF1A2, Elongation factor 1-alpha 2, EF-1-alpha-2, Eukaryotic elongation factor 1 A-2, Statin-S1, eEF1A-2

4 Images
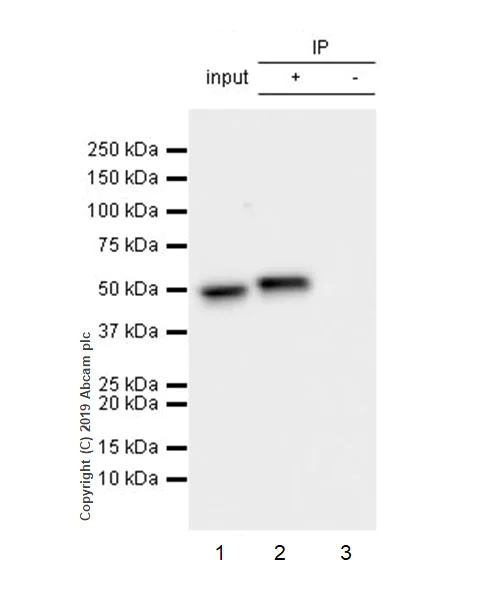
Immunoprecipitation - Anti-EEF1A2 antibody [EPR22651-46] (AB227824)
  • IP

Unknown

Immunoprecipitation - Anti-EEF1A2 antibody [EPR22651-46] (AB227824)

EEF1A2 was immunoprecipitated from 0.35 mg HEK-293T (human embryonic kidney epithelial cell) whole cell lysate with ab227824 at 1/30 dilution (2μg in 0.35mg lysates). Western blot was performed on the immunoprecipitate using ab227824 1/1000 dilution (0.54 μg/ml). VeriBlot for IP Detection Reagent (HRP) (ab131366) was used as the secondary antibody at 1/5000 dilution.

Lane 1 : HEK-293T (human embryonic kidney epithelial cell) whole cell lysate 10μg

Lane 2 : ab227824 IP in HEK-293T whole cell lysate

Lane 3 : Rabbit monoclonal IgG (ab172730) instead of ab227824 in HEK-293T whole cell lysate.

Blocking and dilution buffer and concentration : 5% NFDM/TBST.

Exposure time : 15 seconds

All lanes:

Immunoprecipitation - Anti-EEF1A2 antibody [EPR22651-46] (ab227824)

Predicted band size: 47 kDa,50 kDa

Observed band size: 46 kDa,50 kDa

false

Western blot - Anti-EEF1A2 antibody [EPR22651-46] (AB227824)
  • WB

Unknown

Western blot - Anti-EEF1A2 antibody [EPR22651-46] (AB227824)

ab227824 was shown to specifically react with EEF1A2 in wild-type HAP1 cells as signal was lost in EEF1A2 knockout cells. Wild-type and EEF1A2 knockout samples were subjected to SDS-PAGE. ab227824 and ab181602 (Rabbit anti-GAPDH loading control) were incubated 1 hour at room temperature at 1/1000 dilution and 1/200,000 dilution respectively. Blots were developed with Goat Anti-Rabbit IgG, (H+L), Peroxidase conjugated (ab97051) secondary antibody at 1/100,000 dilution for 1 hour at room temperature before imaging. The blot was developed on a BIO-RAD® ChemiDoc™ MP instrument using the ECL technique.

This antibody also recognizes a weakly unidentifiable band at around 75kDa

Blocking/diluting buffer and concentration : 5% NFDM/TBST

Exposure time : 3.25 seconds

All lanes:

Western blot - Anti-EEF1A2 antibody [EPR22651-46] (ab227824) at 1/1000 dilution

Lane 1:

Wild-type HAP1 whole cell lysate at 20 µg

Lane 2:

EEF1A2 knockout HAP1 whole cell lysate at 20 µg

Lane 3:

HEK-293T (human embryonic kidney epithelial cell), whole cell lysate at 20 µg

Lane 4:

Neuro-2a (mouse neuroblastoma neuroblast), whole cell lysate at 20 µg

Secondary

All lanes:

Western blot - Goat Anti-Rabbit IgG H&L (HRP) (<a href='/en-us/products/secondary-antibodies/goat-rabbit-igg-h-l-hrp-ab97051'>ab97051</a>) at 1/100000 dilution

Predicted band size: 50 kDa

Observed band size: 50 kDa

false

Western blot - Anti-EEF1A2 antibody [EPR22651-46] (AB227824)
  • WB

Unknown

Western blot - Anti-EEF1A2 antibody [EPR22651-46] (AB227824)

Blocking/diluting buffer and concentration : 5% NFDM/TBST

Exposure time : 7.75 seconds

All lanes:

Western blot - Anti-EEF1A2 antibody [EPR22651-46] (ab227824) at 1/1000 dilution

All lanes:

Human brain tissue lysate at 20 µg

Secondary

All lanes:

Western blot - VeriBlot for IP Detection Reagent (HRP) (<a href='/en-us/products/reagents/veriblot-for-ip-detection-reagent-hrp-ab131366'>ab131366</a>) at 1/1000 dilution

Predicted band size: 50 kDa

Observed band size: 50 kDa

false

Western blot - Anti-EEF1A2 antibody [EPR22651-46] (AB227824)
  • WB

Unknown

Western blot - Anti-EEF1A2 antibody [EPR22651-46] (AB227824)

Blocking/diluting buffer and concentration : 5% NFDM/TBST

Exposure Time : 3.25 seconds

All lanes:

Western blot - Anti-EEF1A2 antibody [EPR22651-46] (ab227824) at 1/1000 dilution

Lane 1:

Mouse brain tissue lysate at 20 µg

Lane 2:

Mouse heart tissue lysate at 20 µg

Lane 3:

Rat brain tissue lysate at 20 µg

Lane 4:

Rat heart tissue lysate at 20 µg

Secondary

All lanes:

Western blot - Goat Anti-Rabbit IgG H&L (HRP) (<a href='/en-us/products/secondary-antibodies/goat-rabbit-igg-h-l-hrp-ab97051'>ab97051</a>) at 1/100000 dilution

Predicted band size: 50 kDa

Observed band size: 50 kDa

false

  • Carrier free

    Anti-EEF1A2 antibody [EPR22651-46] - BSA and Azide free

Key facts

Host species

Rabbit

Clonality

Monoclonal

Clone number

EPR22651-46

Isotype

IgG

Carrier free

No

Reacts with

Mouse, Rat, Human

Applications

IP, WB

applications

Immunogen

The exact immunogen used to generate this antibody is proprietary information.

Reactivity data

{ "title": "Reactivity Data", "filters": { "stats": ["", "Species", "Dilution Info", "Notes"], "tabs": { "all-applications": {"fullname" : "All Applications", "shortname": "All Applications"}, "IP" : {"fullname" : "Immunoprecipitation", "shortname":"IP"}, "FlowCyt" : {"fullname" : "Flow Cytometry", "shortname":"Flow Cyt"}, "WB" : {"fullname" : "Western blot", "shortname":"WB"}, "IHCP" : {"fullname" : "Immunohistochemistry (Formalin/PFA-fixed paraffin-embedded sections)", "shortname":"IHC-P"}, "ICCIF" : {"fullname" : "Immunocytochemistry/ Immunofluorescence", "shortname":"ICC/IF"} }, "product-promise": { "all": "all", "testedAndGuaranteed": "tested", "guaranteed": "expected", "predicted": "predicted", "notRecommended": "not-recommended" } }, "values": { "Human": { "IP-species-checked": "testedAndGuaranteed", "IP-species-dilution-info": "1/30", "IP-species-notes": "<p></p>", "FlowCyt-species-checked": "notRecommended", "FlowCyt-species-dilution-info": "", "FlowCyt-species-notes": "<p></p>", "WB-species-checked": "testedAndGuaranteed", "WB-species-dilution-info": "1/1000", "WB-species-notes": "<p></p>", "IHCP-species-checked": "notRecommended", "IHCP-species-dilution-info": "", "IHCP-species-notes": "<p></p>", "ICCIF-species-checked": "notRecommended", "ICCIF-species-dilution-info": "", "ICCIF-species-notes": "<p></p>" }, "Mouse": { "IP-species-checked": "guaranteed", "IP-species-dilution-info": "", "IP-species-notes": "", "FlowCyt-species-checked": "notRecommended", "FlowCyt-species-dilution-info": "", "FlowCyt-species-notes": "", "WB-species-checked": "testedAndGuaranteed", "WB-species-dilution-info": "1/1000", "WB-species-notes": "<p></p>", "IHCP-species-checked": "notRecommended", "IHCP-species-dilution-info": "", "IHCP-species-notes": "<p></p>", "ICCIF-species-checked": "notRecommended", "ICCIF-species-dilution-info": "", "ICCIF-species-notes": "" }, "Rat": { "IP-species-checked": "guaranteed", "IP-species-dilution-info": "", "IP-species-notes": "", "FlowCyt-species-checked": "notRecommended", "FlowCyt-species-dilution-info": "", "FlowCyt-species-notes": "", "WB-species-checked": "testedAndGuaranteed", "WB-species-dilution-info": "1/1000", "WB-species-notes": "<p></p>", "IHCP-species-checked": "notRecommended", "IHCP-species-dilution-info": "", "IHCP-species-notes": "<p></p>", "ICCIF-species-checked": "notRecommended", "ICCIF-species-dilution-info": "", "ICCIF-species-notes": "" } } }

Product details

Patented technology
Our RabMAb® technology is a patented hybridoma-based technology for making rabbit monoclonal antibodies. For details on our patents, please refer to RabMAb® patents.

Properties and storage information

Form
Liquid
Purification technique
Affinity purification Protein A
Storage buffer
pH: 7.2 - 7.4 Preservative: 0.01% Sodium azide Constituents: PBS, 49% Glycerol (glycerin, glycerine), 0.05% BSA
Shipped at conditions
Blue Ice
Appropriate short-term storage duration
1-2 weeks
Appropriate short-term storage conditions
+4°C
Appropriate long-term storage conditions
-20°C
Aliquoting information
Upon delivery aliquot
Storage information
Avoid freeze / thaw cycle

Supplementary information

This supplementary information is collated from multiple sources and compiled automatically.

EF1A2 also known as Eukaryotic translation elongation factor 1 alpha 2 is a protein that plays a role in the elongation phase of protein synthesis. It is a GTP-binding protein with a mass of about 50 kDa. This protein facilitates the binding of aminoacyl-tRNA to the acceptor site of the ribosome during protein translation. EF1A2 is expressed mainly in heart brain and skeletal muscle tissues indicating its importance in tissues with high energy demands.
Biological function summary

EF1A2 supports cellular proliferation and growth by ensuring the continuous efficiency of protein synthesis. It participates in several protein complexes that are involved in translational control. By regulating the actin cytoskeleton EF1A2 additionally influences cell shape and motility. This multifunctionality indicates EF1A2's relevance in various cellular activities beyond its primary role in translation elongation.

Pathways

EF1A2 integrates into the protein synthesis pathway and also plays a role in the mTOR signaling pathway which regulates cell growth and metabolism. In the mTOR pathway EF1A2 works alongside other elongation factors like EF2 and components of the translation machinery to coordinate protein synthesis. It interacts with proteins involved in nutrient signaling and energy status showing its role in integrating metabolic signals with translational processes.

EF1A2 shows a connection with cancer and neurodegenerative diseases. Overexpression of EF1A2 has been linked to several types of cancer as its role in facilitating protein synthesis can contribute to uncontrolled cellular proliferation. In neurodegenerative diseases such as amyotrophic lateral sclerosis (ALS) altered expression of EF1A2 suggests a disruption in protein homeostasis. The dysregulation of EF1A2 potentially affecting actin-binding proteins like TDP-43 highlights its association with disease pathology.

Product protocols

For this product, it's our understanding that no specific protocols are required. You can visit:

Target data

This protein promotes the GTP-dependent binding of aminoacyl-tRNA to the A-site of ribosomes during protein biosynthesis.
See full target information EEF1A2

Publications (2)

Recent publications for all applications. Explore the full list and refine your search

Journal of extracellular vesicles 13:e12409 PubMed38321535

2024

Identification of specific markers for human pluripotent stem cell-derived small extracellular vesicles.

Applications

Unspecified application

Species

Unspecified reactive species

Zhengsheng Chen,Lei Luo,Teng Ye,Jiacheng Zhou,Xin Niu,Ji Yuan,Ting Yuan,Dehao Fu,Haiyan Li,Qing Li,Yang Wang

Cell death discovery 8:15 PubMed35013140

2022

METTL14 promotes apoptosis of spinal cord neurons by inducing EEF1A2 m6A methylation in spinal cord injury.

Applications

Unspecified application

Species

Unspecified reactive species

Gang Gao,Yufen Duan,Feng Chang,Ting Zhang,Xinhu Huang,Chen Yu
View all publications

Product promise

We are committed to supporting your work with high-quality reagents, and we're here for you every step of the way. In the unlikely event that one of our products does not perform as expected, you're protected by our Product Promise.
For full details, please see our Terms & Conditions

Please note: All products are 'FOR RESEARCH USE ONLY. NOT FOR USE IN DIAGNOSTIC OR THERAPEUTIC PROCEDURES'.

For licensing inquiries, please contact partnerships@abcam.com