JavaScript is disabled in your browser. Please enable JavaScript to view this website.
AB256523

Anti-EEF1A2 antibody [EPR22651-46] - BSA and Azide free

Be the first to review this product! Submit a review

|

(1 Publication)

Rabbit Recombinant Monoclonal EEF1A2 antibody. Carrier free. Suitable for IP, WB and reacts with Human, Mouse, Rat samples. Cited in 1 publication.

View Alternative Names

EEF1AL, STN, EEF1A2, Elongation factor 1-alpha 2, EF-1-alpha-2, Eukaryotic elongation factor 1 A-2, Statin-S1, eEF1A-2

2 Images
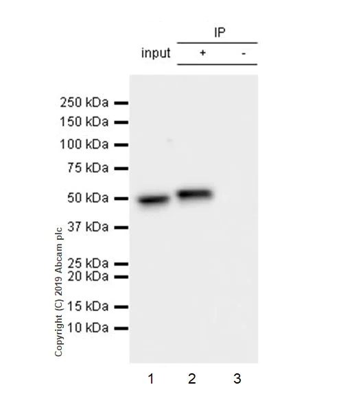
Immunoprecipitation - Anti-EEF1A2 antibody [EPR22651-46] - BSA and Azide free (AB256523)
  • IP

Unknown

Immunoprecipitation - Anti-EEF1A2 antibody [EPR22651-46] - BSA and Azide free (AB256523)

EEF1A2 was immunoprecipitated from 0.35 mg HEK-293T (human embryonic kidney epithelial cell) whole cell lysate with ab227824 at 1/30 dilution (2μg in 0.35mg lysates). Western blot was performed on the immunoprecipitate using ab227824 1/1000 dilution (0.54 μg/ml). VeriBlot for IP Detection Reagent (HRP) (ab131366) was used as the secondary antibody at 1/5000 dilution.

Lane 1 : HEK-293T (human embryonic kidney epithelial cell) whole cell lysate 10μg

Lane 2 : ab227824 IP in HEK-293T whole cell lysate

Lane 3 : Rabbit monoclonal IgG (ab172730) instead of ab227824 in HEK-293T whole cell lysate.

Blocking and dilution buffer and concentration : 5% NFDM/TBST.

Exposure time : 15 seconds

This data was developed using the same antibody clone in a different buffer formulation containing PBS, BSA, glycerol, and sodium azide (ab227824).

All lanes:

Immunoprecipitation - Anti-EEF1A2 antibody [EPR22651-46] (<a href='/en-us/products/primary-antibodies/eef1a2-antibody-epr22651-46-ab227824'>ab227824</a>)

Predicted band size: 47 kDa,50 kDa

Observed band size: 46 kDa,50 kDa

false

Western blot - Anti-EEF1A2 antibody [EPR22651-46] - BSA and Azide free (AB256523)
  • WB

Unknown

Western blot - Anti-EEF1A2 antibody [EPR22651-46] - BSA and Azide free (AB256523)

ab227824 was shown to specifically react with EEF1A2 in wild-type HAP1 cells as signal was lost in EEF1A2 knockout cells. Wild-type and EEF1A2 knockout samples were subjected to SDS-PAGE. ab227824 and ab181602 (Rabbit anti-GAPDH loading control) were incubated 1 hour at room temperature at 1/1000 dilution and 1/200,000 dilution respectively. Blots were developed with Goat Anti-Rabbit IgG, (H+L), Peroxidase conjugated (ab97051) secondary antibody at 1/100,000 dilution for 1 hour at room temperature before imaging. The blot was developed on a BIO-RAD® ChemiDoc™ MP instrument using the ECL technique.

This antibody also recognizes a weakly unidentifiable band at around 75kDa

Blocking/diluting buffer and concentration : 5% NFDM/TBST

Exposure time : 3.25 seconds

This data was developed using the same antibody clone in a different buffer formulation containing PBS, BSA, glycerol, and sodium azide (ab227824).

All lanes:

Western blot - Anti-EEF1A2 antibody [EPR22651-46] (<a href='/en-us/products/primary-antibodies/eef1a2-antibody-epr22651-46-ab227824'>ab227824</a>) at 1/1000 dilution

Lane 1:

Wild-type HAP1 whole cell lysate at 20 µg

Lane 2:

EEF1A2 knockout HAP1 whole cell lysate at 20 µg

Lane 3:

HEK-293T (human embryonic kidney epithelial cell), whole cell lysate at 20 µg

Lane 4:

Neuro-2a (mouse neuroblastoma neuroblast), whole cell lysate at 20 µg

Secondary

All lanes:

Western blot - Goat Anti-Rabbit IgG H&L (HRP) (<a href='/en-us/products/secondary-antibodies/goat-rabbit-igg-h-l-hrp-ab97051'>ab97051</a>) at 1/100000 dilution

Predicted band size: 50 kDa

Observed band size: 50 kDa

false

Key facts

Host species

Rabbit

Clonality

Monoclonal

Clone number

EPR22651-46

Isotype

IgG

Carrier free

Yes

Reacts with

Mouse, Rat, Human

Applications

WB, IP

applications

Immunogen

The exact immunogen used to generate this antibody is proprietary information.

Reactivity data

{ "title": "Reactivity Data", "filters": { "stats": ["", "Species", "Dilution Info", "Notes"], "tabs": { "all-applications": {"fullname" : "All Applications", "shortname": "All Applications"}, "IP" : {"fullname" : "Immunoprecipitation", "shortname":"IP"}, "FlowCyt" : {"fullname" : "Flow Cytometry", "shortname":"Flow Cyt"}, "WB" : {"fullname" : "Western blot", "shortname":"WB"}, "IHCP" : {"fullname" : "Immunohistochemistry (Formalin/PFA-fixed paraffin-embedded sections)", "shortname":"IHC-P"}, "ICCIF" : {"fullname" : "Immunocytochemistry/ Immunofluorescence", "shortname":"ICC/IF"} }, "product-promise": { "all": "all", "testedAndGuaranteed": "tested", "guaranteed": "expected", "predicted": "predicted", "notRecommended": "not-recommended" } }, "values": { "Human": { "IP-species-checked": "testedAndGuaranteed", "IP-species-dilution-info": "", "IP-species-notes": "<p></p>", "FlowCyt-species-checked": "notRecommended", "FlowCyt-species-dilution-info": "", "FlowCyt-species-notes": "<p></p>", "WB-species-checked": "testedAndGuaranteed", "WB-species-dilution-info": "", "WB-species-notes": "<p></p>", "IHCP-species-checked": "notRecommended", "IHCP-species-dilution-info": "", "IHCP-species-notes": "<p></p>", "ICCIF-species-checked": "notRecommended", "ICCIF-species-dilution-info": "", "ICCIF-species-notes": "<p></p>" }, "Mouse": { "IP-species-checked": "guaranteed", "IP-species-dilution-info": "", "IP-species-notes": "", "FlowCyt-species-checked": "notRecommended", "FlowCyt-species-dilution-info": "", "FlowCyt-species-notes": "<p></p>", "WB-species-checked": "testedAndGuaranteed", "WB-species-dilution-info": "", "WB-species-notes": "<p></p>", "IHCP-species-checked": "notRecommended", "IHCP-species-dilution-info": "", "IHCP-species-notes": "<p></p>", "ICCIF-species-checked": "notRecommended", "ICCIF-species-dilution-info": "", "ICCIF-species-notes": "<p></p>" }, "Rat": { "IP-species-checked": "guaranteed", "IP-species-dilution-info": "", "IP-species-notes": "", "FlowCyt-species-checked": "notRecommended", "FlowCyt-species-dilution-info": "", "FlowCyt-species-notes": "<p></p>", "WB-species-checked": "testedAndGuaranteed", "WB-species-dilution-info": "", "WB-species-notes": "<p></p>", "IHCP-species-checked": "notRecommended", "IHCP-species-dilution-info": "", "IHCP-species-notes": "<p></p>", "ICCIF-species-checked": "notRecommended", "ICCIF-species-dilution-info": "", "ICCIF-species-notes": "<p></p>" } } }

Product details

ab256523 is the carrier-free version of ab227824.

Conjugation ready
Our carrier-free antibodies are typically supplied in a PBS-only formulation, purified and free of BSA, sodium azide and glycerol. This conjugation-ready format is designed for use with fluorochromes, metal isotopes, oligonucleotides, and enzymes, which makes them ideal for antibody labelling, functional and cell-based assays, flow-based assays (e.g. mass cytometry) and Multiplex Imaging applications.

Use our conjugation kits for antibody conjugates that are ready-to-use in as little as 20 minutes with 1 minute hands-on-time and 100% antibody recovery: available for fluorescent dyes, HRP, biotin and gold.

Compatibility
This product is compatible with the Maxpar® Antibody Labeling Kit from Fluidigm, without the need for antibody preparation. Maxpar® is a trademark of Fluidigm Canada Inc.

Properties and storage information

Form
Liquid
Purification technique
Affinity purification Protein A
Storage buffer
pH: 7.2 - 7.4 Constituents: PBS
Shipped at conditions
Blue Ice
Appropriate short-term storage conditions
+4°C
Appropriate long-term storage conditions
+4°C
Storage information
Do Not Freeze

Supplementary information

This supplementary information is collated from multiple sources and compiled automatically.

EF1A2 also known as Eukaryotic translation elongation factor 1 alpha 2 is a protein that plays a role in the elongation phase of protein synthesis. It is a GTP-binding protein with a mass of about 50 kDa. This protein facilitates the binding of aminoacyl-tRNA to the acceptor site of the ribosome during protein translation. EF1A2 is expressed mainly in heart brain and skeletal muscle tissues indicating its importance in tissues with high energy demands.
Biological function summary

EF1A2 supports cellular proliferation and growth by ensuring the continuous efficiency of protein synthesis. It participates in several protein complexes that are involved in translational control. By regulating the actin cytoskeleton EF1A2 additionally influences cell shape and motility. This multifunctionality indicates EF1A2's relevance in various cellular activities beyond its primary role in translation elongation.

Pathways

EF1A2 integrates into the protein synthesis pathway and also plays a role in the mTOR signaling pathway which regulates cell growth and metabolism. In the mTOR pathway EF1A2 works alongside other elongation factors like EF2 and components of the translation machinery to coordinate protein synthesis. It interacts with proteins involved in nutrient signaling and energy status showing its role in integrating metabolic signals with translational processes.

EF1A2 shows a connection with cancer and neurodegenerative diseases. Overexpression of EF1A2 has been linked to several types of cancer as its role in facilitating protein synthesis can contribute to uncontrolled cellular proliferation. In neurodegenerative diseases such as amyotrophic lateral sclerosis (ALS) altered expression of EF1A2 suggests a disruption in protein homeostasis. The dysregulation of EF1A2 potentially affecting actin-binding proteins like TDP-43 highlights its association with disease pathology.

Product protocols

For this product, it's our understanding that no specific protocols are required. You can visit:

Target data

This protein promotes the GTP-dependent binding of aminoacyl-tRNA to the A-site of ribosomes during protein biosynthesis.
See full target information EEF1A2

Publications (1)

Recent publications for all applications. Explore the full list and refine your search

Oncology letters 26:297 PubMed37274476

2023

Soluble NKG2D ligands impair CD8 T cell antitumor function dependent of NKG2D downregulation in neuroblastoma.

Applications

Unspecified application

Species

Unspecified reactive species

Yi Zhang,Feifei Luo,Kuiran Dong
View all publications

Product promise

We are committed to supporting your work with high-quality reagents, and we're here for you every step of the way. In the unlikely event that one of our products does not perform as expected, you're protected by our Product Promise.
For full details, please see our Terms & Conditions

Please note: All products are 'FOR RESEARCH USE ONLY. NOT FOR USE IN DIAGNOSTIC OR THERAPEUTIC PROCEDURES'.

For licensing inquiries, please contact partnerships@abcam.com