JavaScript is disabled in your browser. Please enable JavaScript to view this website.
AB228642

Anti-eEF1B2 antibody

Be the first to review this product! Submit a review

|

(1 Publication)

Rabbit Polyclonal eEF1B2 antibody. Suitable for WB, IHC-P, ICC/IF and reacts with Mouse, Human samples. Cited in 1 publication. Immunogen corresponding to Recombinant Fragment Protein within Human EEF1B2.

View Alternative Names

EEF1B, EF1B, EEF1B2, Elongation factor 1-beta, EF-1-beta

5 Images
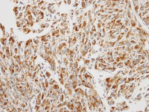
Immunohistochemistry (Formalin/PFA-fixed paraffin-embedded sections) - Anti-eEF1B2 antibody (AB228642)
  • IHC-P

Supplier Data

Immunohistochemistry (Formalin/PFA-fixed paraffin-embedded sections) - Anti-eEF1B2 antibody (AB228642)

Paraffin-embedded U87 xenograft tissue stained for eEF1B2 using ab228642 at 1/250 dilution in immunohistochemical analysis.

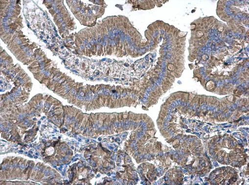
Immunohistochemistry (Formalin/PFA-fixed paraffin-embedded sections) - Anti-eEF1B2 antibody (AB228642)
  • IHC-P

Supplier Data

Immunohistochemistry (Formalin/PFA-fixed paraffin-embedded sections) - Anti-eEF1B2 antibody (AB228642)

Paraffin-embedded mouse duodenum tissue stained for eEF1B2 using ab228642 at 1/500 dilution in immunohistochemical analysis.

Western blot - Anti-eEF1B2 antibody (AB228642)
  • WB

Supplier Data

Western blot - Anti-eEF1B2 antibody (AB228642)

12% SDS-PAGE gel.

All lanes:

Western blot - Anti-eEF1B2 antibody (ab228642) at 1/1000 dilution

Lane 1:

A431 (human epidermoid carcinoma cell line) whole cell lysate at 30 µg

Lane 2:

NCI-H1299 (human lung carcinoma cell line) whole cell lysate at 30 µg

Lane 3:

HeLa S3 (human epithelial cell line from cervix adenocarcinoma) whole cell lysate at 30 µg

Predicted band size: 24 kDa

false

Immunocytochemistry/ Immunofluorescence - Anti-eEF1B2 antibody (AB228642)
  • ICC/IF

Supplier Data

Immunocytochemistry/ Immunofluorescence - Anti-eEF1B2 antibody (AB228642)

Paraformaldehyde-fixed HeLa (human epithelial cell line from cervix adenocarcinoma) cells stained for eEF1B2 (green) using ab228642 at 1/200 dilution in ICC/IF.

Nuclear counterstain : DNA probe (blue).

Western blot - Anti-eEF1B2 antibody (AB228642)
  • WB

Supplier Data

Western blot - Anti-eEF1B2 antibody (AB228642)

12% SDS-PAGE gel.

All lanes:

Western blot - Anti-eEF1B2 antibody (ab228642) at 1/5000 dilution

All lanes:

Mouse brain lysate at 50 µg

Predicted band size: 24 kDa

false

Key facts

Host species

Rabbit

Clonality

Polyclonal

Isotype

IgG

Carrier free

No

Reacts with

Mouse, Human

Applications

ICC/IF, WB, IHC-P

applications

Immunogen

Recombinant Fragment Protein within Human EEF1B2. The exact immunogen used to generate this antibody is proprietary information.

P24534

Reactivity data

{ "title": "Reactivity Data", "filters": { "stats": ["", "Species", "Dilution Info", "Notes"], "tabs": { "all-applications": {"fullname" : "All Applications", "shortname": "All Applications"}, "WB" : {"fullname" : "Western blot", "shortname":"WB"}, "IHCP" : {"fullname" : "Immunohistochemistry (Formalin/PFA-fixed paraffin-embedded sections)", "shortname":"IHC-P"}, "ICCIF" : {"fullname" : "Immunocytochemistry/ Immunofluorescence", "shortname":"ICC/IF"} }, "product-promise": { "all": "all", "testedAndGuaranteed": "tested", "guaranteed": "expected", "predicted": "predicted", "notRecommended": "not-recommended" } }, "values": { "Human": { "WB-species-checked": "testedAndGuaranteed", "WB-species-dilution-info": "1/1000 - 1/10000", "WB-species-notes": "<p></p>", "IHCP-species-checked": "testedAndGuaranteed", "IHCP-species-dilution-info": "1/100 - 1/1000", "IHCP-species-notes": "<p></p>", "ICCIF-species-checked": "testedAndGuaranteed", "ICCIF-species-dilution-info": "1/100 - 1/1000", "ICCIF-species-notes": "<p></p>" }, "Mouse": { "WB-species-checked": "testedAndGuaranteed", "WB-species-dilution-info": "1/1000 - 1/10000", "WB-species-notes": "<p></p>", "IHCP-species-checked": "testedAndGuaranteed", "IHCP-species-dilution-info": "1/100 - 1/1000", "IHCP-species-notes": "<p></p>", "ICCIF-species-checked": "guaranteed", "ICCIF-species-dilution-info": "", "ICCIF-species-notes": "" }, "Rat": { "WB-species-checked": "predicted", "WB-species-dilution-info": "", "WB-species-notes": "", "IHCP-species-checked": "predicted", "IHCP-species-dilution-info": "", "IHCP-species-notes": "", "ICCIF-species-checked": "predicted", "ICCIF-species-dilution-info": "", "ICCIF-species-notes": "" }, "Chicken": { "WB-species-checked": "predicted", "WB-species-dilution-info": "", "WB-species-notes": "", "IHCP-species-checked": "predicted", "IHCP-species-dilution-info": "", "IHCP-species-notes": "", "ICCIF-species-checked": "predicted", "ICCIF-species-dilution-info": "", "ICCIF-species-notes": "" }, "Cow": { "WB-species-checked": "predicted", "WB-species-dilution-info": "", "WB-species-notes": "", "IHCP-species-checked": "predicted", "IHCP-species-dilution-info": "", "IHCP-species-notes": "", "ICCIF-species-checked": "predicted", "ICCIF-species-dilution-info": "", "ICCIF-species-notes": "" }, "Pig": { "WB-species-checked": "predicted", "WB-species-dilution-info": "", "WB-species-notes": "", "IHCP-species-checked": "predicted", "IHCP-species-dilution-info": "", "IHCP-species-notes": "", "ICCIF-species-checked": "predicted", "ICCIF-species-dilution-info": "", "ICCIF-species-notes": "" }, "Rabbit": { "WB-species-checked": "predicted", "WB-species-dilution-info": "", "WB-species-notes": "", "IHCP-species-checked": "predicted", "IHCP-species-dilution-info": "", "IHCP-species-notes": "", "ICCIF-species-checked": "predicted", "ICCIF-species-dilution-info": "", "ICCIF-species-notes": "" }, "Rhesus monkey": { "WB-species-checked": "predicted", "WB-species-dilution-info": "", "WB-species-notes": "", "IHCP-species-checked": "predicted", "IHCP-species-dilution-info": "", "IHCP-species-notes": "", "ICCIF-species-checked": "predicted", "ICCIF-species-dilution-info": "", "ICCIF-species-notes": "" } } }

Properties and storage information

Form
Liquid
Purification technique
Affinity purification Immunogen
Storage buffer
pH: 7 Preservative: 0.01% Thimerosal (merthiolate) Constituents: 10% Glycerol (glycerin, glycerine), 1.21% Tris, 0.75% Glycine
Shipped at conditions
Blue Ice
Appropriate short-term storage duration
1-2 weeks
Appropriate short-term storage conditions
+4°C
Appropriate long-term storage conditions
-20°C
Aliquoting information
Upon delivery aliquot
Storage information
Avoid freeze / thaw cycle

Supplementary information

This supplementary information is collated from multiple sources and compiled automatically.

The eukaryotic translation elongation factor 1 beta 2 (eEF1B2) also known as EF1B or EF1-beta plays a role in protein translation. Mechanically eEF1B2 is a subunit of the elongation factor complex that facilitates the exchange of GDP for GTP on eEF1A allowing it to deliver aminoacyl-tRNAs to the ribosome during the elongation phase of translation. The protein has an estimated mass of approximately 24 kDa. It expresses widely throughout different tissues indicating its involvement in general cellular processes.
Biological function summary

EEF1B2 assists in the regulation of protein synthesis by forming a complex with other subunits of the elongation factor including eEF1A and eEF1D. This complex ensures the efficient and accurate delivery of tRNA during the translational elongation phase which is essential for proper cellular function and growth. Although eEF1B2 is often expressed in various tissues its expression levels can vary potentially affecting the rate of protein synthesis in different cellular environments.

Pathways

EEF1B2 integrates into the larger translation pathway a primary component of the cellular protein expression network. It also participates in the amino acid and nucleotide biosynthesis pathways by assisting in creating critical cellular proteins. eEF1B2 closely interacts with eEF1A within these pathways demonstrating its direct involvement in translation and its influence on the production of proteins required for other metabolic processes.

The dysregulation of eEF1B2 expression correlates with certain cancers such as ovarian and colorectal cancers where its abnormal expression may disrupt normal protein synthesis and promote tumor growth. Research suggests that eEF1B2 may interact with oncogenic proteins such as c-Myc impacting cell proliferation and survival mechanisms. Understanding the regulation and function of eEF1B2 in these contexts remains vital for developing targeted therapeutic strategies.

Product protocols

For this product, it's our understanding that no specific protocols are required. You can visit:

Target data

EF-1-beta and EF-1-delta stimulate the exchange of GDP bound to EF-1-alpha to GTP.
See full target information EEF1B2

Publications (1)

Recent publications for all applications. Explore the full list and refine your search

The Journal of cell biology 222: PubMed37418003

2023

PTEN is both an activator and a substrate of chaperone-mediated autophagy.

Applications

Unspecified application

Species

Unspecified reactive species

Katherine K Zhang,Calvin M Burns,Mary E Skinner,David B Lombard,Richard A Miller,S Joseph Endicott
View all publications

Product promise

We are committed to supporting your work with high-quality reagents, and we're here for you every step of the way. In the unlikely event that one of our products does not perform as expected, you're protected by our Product Promise.
For full details, please see our Terms & Conditions

Please note: All products are 'FOR RESEARCH USE ONLY. NOT FOR USE IN DIAGNOSTIC OR THERAPEUTIC PROCEDURES'.

For licensing inquiries, please contact partnerships@abcam.com