JavaScript is disabled in your browser. Please enable JavaScript to view this website.
AB245412

Anti-EEF2/Elongation factor 2 antibody

Be the first to review this product! Submit a review

|

(0 Publication)

Rabbit Polyclonal EEF2/Elongation factor 2 antibody. Suitable for IHC-P, WB and reacts with Mouse, Human samples. Immunogen corresponding to Synthetic Peptide within Human EEF2 aa 800 to C-terminus.

View Alternative Names

EF2, EEF2, Elongation factor 2, EF-2

2 Images
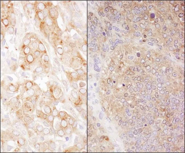
Immunohistochemistry (Formalin/PFA-fixed paraffin-embedded sections) - Anti-EEF2/Elongation factor 2 antibody (AB245412)
  • IHC-P

Supplier Data

Immunohistochemistry (Formalin/PFA-fixed paraffin-embedded sections) - Anti-EEF2/Elongation factor 2 antibody (AB245412)

Formalin-fixed, paraffin-embedded human breast carcinoma tissue (left) and mouse teratoma tissue (right) stained for EEF2/Elongation factor 2 using ab245412 at 1/1000 dilution in immunohistochemical analysis. Detection : DAB staining.

Western blot - Anti-EEF2/Elongation factor 2 antibody (AB245412)
  • WB

Supplier Data

Western blot - Anti-EEF2/Elongation factor 2 antibody (AB245412)

All lanes:

Western blot - Anti-EEF2/Elongation factor 2 antibody (ab245412) at 0.04 µg/mL

Lane 1:

HeLa (human epithelial cell line from cervix adenocarcinoma) whole cell lysate at 50 µg

Lane 2:

HeLa hole cell lysate at 15 µg

Lane 3:

HeLa whole cell lysate at 5 µg

Lane 4:

HEK-293T (human epithelial cell line from embryonic kidney transformed with large T antigen) whole cell lysate at 50 µg

Lane 5:

NIH/3T3 (mouse embryo fibroblast cell line) whole cell lysate at 50 µg

Predicted band size: 95 kDa

true

Exposure time: 1s

Key facts

Host species

Rabbit

Clonality

Polyclonal

Isotype

IgG

Carrier free

No

Reacts with

Mouse, Human

Applications

IHC-P, WB

applications

Immunogen

Synthetic Peptide within Human EEF2 aa 800 to C-terminus. The exact immunogen used to generate this antibody is proprietary information.

P13639

Reactivity data

{ "title": "Reactivity Data", "filters": { "stats": ["", "Species", "Dilution Info", "Notes"], "tabs": { "all-applications": {"fullname" : "All Applications", "shortname": "All Applications"}, "IHCP" : {"fullname" : "Immunohistochemistry (Formalin/PFA-fixed paraffin-embedded sections)", "shortname":"IHC-P"}, "WB" : {"fullname" : "Western blot", "shortname":"WB"} }, "product-promise": { "all": "all", "testedAndGuaranteed": "tested", "guaranteed": "expected", "predicted": "predicted", "notRecommended": "not-recommended" } }, "values": { "Human": { "IHCP-species-checked": "testedAndGuaranteed", "IHCP-species-dilution-info": "1/200 - 1/1000", "IHCP-species-notes": "<p></p> Perform heat-mediated antigen retrieval with citrate buffer pH 6 before commencing with IHC staining protocol.", "WB-species-checked": "testedAndGuaranteed", "WB-species-dilution-info": "1/2000 - 1/10000", "WB-species-notes": "<p></p>" }, "Mouse": { "IHCP-species-checked": "testedAndGuaranteed", "IHCP-species-dilution-info": "1/200 - 1/1000", "IHCP-species-notes": "<p></p> Perform heat-mediated antigen retrieval with citrate buffer pH 6 before commencing with IHC staining protocol.", "WB-species-checked": "guaranteed", "WB-species-dilution-info": "", "WB-species-notes": "" }, "Rat": { "IHCP-species-checked": "predicted", "IHCP-species-dilution-info": "", "IHCP-species-notes": "", "WB-species-checked": "predicted", "WB-species-dilution-info": "", "WB-species-notes": "" }, "Chicken": { "IHCP-species-checked": "predicted", "IHCP-species-dilution-info": "", "IHCP-species-notes": "", "WB-species-checked": "predicted", "WB-species-dilution-info": "", "WB-species-notes": "" }, "Cow": { "IHCP-species-checked": "predicted", "IHCP-species-dilution-info": "", "IHCP-species-notes": "", "WB-species-checked": "predicted", "WB-species-dilution-info": "", "WB-species-notes": "" }, "Orangutan": { "IHCP-species-checked": "predicted", "IHCP-species-dilution-info": "", "IHCP-species-notes": "", "WB-species-checked": "predicted", "WB-species-dilution-info": "", "WB-species-notes": "" } } }

Properties and storage information

Form
Liquid
Purification technique
Affinity purification Immunogen
Purification notes
ab245412 was affinity purified using an epitope specific to EEF2/Elongation factor 2 immobilized on solid support.
Storage buffer
pH: 6.8 - 7.4 Preservative: 0.09% Sodium azide Constituents: Tris buffered saline, 0.1% BSA
Shipped at conditions
Blue Ice
Appropriate short-term storage duration
1-2 weeks
Appropriate short-term storage conditions
+4°C
Appropriate long-term storage conditions
+4°C
Aliquoting information
Upon delivery aliquot
Storage information
Avoid freeze / thaw cycle

Supplementary information

This supplementary information is collated from multiple sources and compiled automatically.

EEF2 or elongation factor 2 is an important protein in the process of translation during protein synthesis. It is also known by the names EF-2 and EF2. This protein facilitates the translocation step where it moves tRNA and mRNA from the A-site to the P-site on the ribosome. EEF2 has a molecular weight of approximately 95 kDa. The protein is ubiquitously expressed in various tissues and cells due to its fundamental role in protein synthesis making it essential for cellular activities.
Biological function summary

EEF2 functions as part of a larger ribosomal complex. It has an important role in ensuring the accuracy and efficiency of elongation during the translation process. This process is energy-dependent with EEF2 requiring GTP to catalyze the movement along the mRNA strand. The protein must undergo reversible phosphorylation which directly affects its activity. This post-translational modification of EEF2 is a significant modulation point influencing the rate of protein synthesis.

Pathways

EEF2 plays an integral role in the mTOR signaling pathway and the insulin signaling pathway. In the mTOR pathway EEF2 activity is regulated to control protein translation based on cellular energy status and nutrient availability. This pathway is important for cell growth and proliferation. EEF2 interacts with other proteins such as factor 2 and eEF2kinase which phosphorylates the protein thereby inhibiting its activity. In the insulin signaling pathway similar regulatory mechanisms impact EEF2’s role in translation.

EEF2 connects to cancer and neurodegenerative diseases. In cancer aberrant regulation of EEF2 can lead to uncontrolled protein synthesis promoting cell proliferation and tumor growth. Its interaction with mTOR and other signaling proteins like ribosomal proteins plays a role in this dysregulation. In neurodegenerative conditions such as Alzheimer’s disease impaired EEF2 activity results in decreased synaptic protein synthesis affecting neuronal function. Understanding EEF2’s regulation and dysregulation provides insight into its involvement in these diseases offering potential for therapeutic intervention.

Product protocols

For this product, it's our understanding that no specific protocols are required. You can visit:

Target data

Catalyzes the GTP-dependent ribosomal translocation step during translation elongation (PubMed : 26593721). During this step, the ribosome changes from the pre-translocational (PRE) to the post-translocational (POST) state as the newly formed A-site-bound peptidyl-tRNA and P-site-bound deacylated tRNA move to the P and E sites, respectively (PubMed : 26593721). Catalyzes the coordinated movement of the two tRNA molecules, the mRNA and conformational changes in the ribosome (PubMed : 26593721).
See full target information EEF2

Product promise

We are committed to supporting your work with high-quality reagents, and we're here for you every step of the way. In the unlikely event that one of our products does not perform as expected, you're protected by our Product Promise.
For full details, please see our Terms & Conditions

Please note: All products are 'FOR RESEARCH USE ONLY. NOT FOR USE IN DIAGNOSTIC OR THERAPEUTIC PROCEDURES'.

For licensing inquiries, please contact partnerships@abcam.com