JavaScript is disabled in your browser. Please enable JavaScript to view this website.
AB75748

Anti-EEF2/Elongation factor 2 antibody [EP880Y]

Be the first to review this product! Submit a review

|

(12 Publications)

Rabbit Recombinant Monoclonal EEF2/Elongation factor 2 antibody. Suitable for IHC-P, IP, WB, ICC/IF, Flow Cyt (Intra) and reacts with Mouse, Rat, Human samples. Cited in 12 publications.

View Alternative Names

EF2, EEF2, Elongation factor 2, EF-2

10 Images
Immunocytochemistry/ Immunofluorescence - Anti-EEF2/Elongation factor 2 antibody [EP880Y] (AB75748)
  • ICC/IF

Lab

Immunocytochemistry/ Immunofluorescence - Anti-EEF2/Elongation factor 2 antibody [EP880Y] (AB75748)

ab75748 staining EEF2/Elongation factor 2 in HeLa (human cervix adenocarcinoma) cells by ICC/IF (Immunocytochemistry/immunofluorescence). Cells were fixed with 4% Paraformaldehyde and permeabilized with 0.1% Triton X-100. Samples were incubated with primary antibody at a dilution of 1/100. A goat anti rabbit IgG (Alexa Fluor® 488) (ab150077) was used as the secondary antibody. ab7291 and ab150120 were used as counterstains for primary antibody ab75748 and secondary antibody ab150077 respectively and DAPI was used as a nuclear counterstain.

Negative control 1 : Rabbit primary antibody and anti-mouse secondary antibody (ab150120)
Negative control 2 : Mouse primary antibody (ab7291) and anti-rabbit secondary antibody (ab150077)

Flow Cytometry (Intracellular) - Anti-EEF2/Elongation factor 2 antibody [EP880Y] (AB75748)
  • Flow Cyt (Intra)

Supplier Data

Flow Cytometry (Intracellular) - Anti-EEF2/Elongation factor 2 antibody [EP880Y] (AB75748)

Overlay histogram showing HeLa cells stained with ab75748 (red line). The cells were fixed with 80% methanol (5 min) and then permeabilized with 0.1% PBS-Tween for 20 min. The cells were then incubated in 1x PBS / 10% normal goat serum / 0.3M glycine to block non-specific protein-protein interactions followed by the antibody (ab75748, 1μg/1x106 cells) for 30 min at 22°C. The secondary antibody used was DyLight® 488 goat anti-rabbit IgG (H+L) (ab96899) at 1/500 dilution for 30 min at 22°C. Isotype control antibody (black line) was rabbit IgG (monoclonal) (1μg/1x106 cells) used under the same conditions. Acquisition of >5,000 events was performed.

Immunohistochemistry (Formalin/PFA-fixed paraffin-embedded sections) - Anti-EEF2/Elongation factor 2 antibody [EP880Y] (AB75748)
  • IHC-P

Unknown

Immunohistochemistry (Formalin/PFA-fixed paraffin-embedded sections) - Anti-EEF2/Elongation factor 2 antibody [EP880Y] (AB75748)

ab75748 staining EEF2/Elongation factor 2 in human glioma tissue sections by Immunohistochemistry (IHC-P - paraformaldehyde-fixed paraffin-embedded sections). Tissue was fixed with paraformaldehyde and antigen retrieval was by heat mediation in a EDTA buffer. Samples were incubated with primary antibody at a dilution of 1/250. A goat anti-rabbit IgG H&L (HRP) ab97051 was used as the secondary antibody.

Negative control 1 : PBS in place of primary antibody.

Flow Cytometry (Intracellular) - Anti-EEF2/Elongation factor 2 antibody [EP880Y] (AB75748)
  • Flow Cyt (Intra)

Lab

Flow Cytometry (Intracellular) - Anti-EEF2/Elongation factor 2 antibody [EP880Y] (AB75748)

ab75748 stainingEEF2/Elongation factor 2 in the human cell line HEK293 (human embryonic kidney) by intracellular flow cytometry. Cells were fixed with 4% paraformaldehyde and the sample was incubated with the primary antibody at a dilution of 1/70. A goat anti rabbit IgG (Alexa Fluor® 488) at a dilution of 1/500 was used as the secondary antibody.

Isoytype control : Rabbit monoclonal IgG (Black)

Unlabelled control : Cell without incubation with primary antibody and secondary antibody (Blue)

Immunoprecipitation - Anti-EEF2/Elongation factor 2 antibody [EP880Y] (AB75748)
  • IP

Unknown

Immunoprecipitation - Anti-EEF2/Elongation factor 2 antibody [EP880Y] (AB75748)

EEF2/Elongation factor 2 was immunoprecipitated using 0.5mg Hela whole cell extract, 5μg of Rabbit monoclonal to EEF2/Elongation factor 2 and 50μl of protein G magnetic beads (+). No antibody was added to the control (-).
The antibody was incubated under agitation with Protein G beads for 10min, Hela whole cell extract lysate diluted in RIPA buffer was added to each sample and incubated for a further 10min under agitation.
Proteins were eluted by addition of 40μl SDS loading buffer and incubated for 10min at 70oC; 10μl of each sample was separated on a SDS PAGE gel, transferred to a nitrocellulose membrane, blocked with 5% BSA and probed with ab75748.
Secondary : Mouse monoclonal [SB62a] Secondary Antibody to Rabbit IgG light chain (HRP) (ab99697).
Band : 95kDa; EEF2/Elongation factor 2

All lanes:

Immunoprecipitation - Anti-EEF2/Elongation factor 2 antibody [EP880Y] (ab75748)

Predicted band size: 95 kDa

false

Immunoprecipitation - Anti-EEF2/Elongation factor 2 antibody [EP880Y] (AB75748)
  • IP

Lab

Immunoprecipitation - Anti-EEF2/Elongation factor 2 antibody [EP880Y] (AB75748)

ab75748 immunoprecipitating EEF2/Elongation factor 2. 10μg of cell lysate was incubated with primary antibody at a dilution of 1/20 and VeriBlot for IP Detection Reagent (HRP) (ab131366) at a dilution of 1/10000.

Lane 1 : HeLa (human cervix adenocarcinoma) whole cell lysate (10ug)
Lane 2 : HeLa (human cervix adenocarcinoma) whole cell lysate
Lane 3 : Rabbit monoclonal IgG (ab172730) instead of ab75748 in HeLa (human cervix adenocarcinoma) whole cell lysate

All lanes:

Immunoprecipitation - Anti-EEF2/Elongation factor 2 antibody [EP880Y] (ab75748)

Predicted band size: 95 kDa

Observed band size: 95 kDa

false

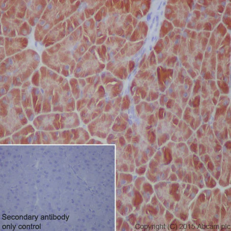
Immunohistochemistry (Formalin/PFA-fixed paraffin-embedded sections) - Anti-EEF2/Elongation factor 2 antibody [EP880Y] (AB75748)
  • IHC-P

Lab

Immunohistochemistry (Formalin/PFA-fixed paraffin-embedded sections) - Anti-EEF2/Elongation factor 2 antibody [EP880Y] (AB75748)

ab75748 staining EEF2/Elongation factor 2 in mouse pancreas tissue sections by Immunohistochemistry (IHC-P - paraformaldehyde-fixed paraffin-embedded sections). Tissue was fixed with paraformaldehyde and antigen retrieval was by heat mediation in a EDTA buffer. Samples were incubated with primary antibody at a dilution of 1/250. A goat anti-rabbit IgG H&L (HRP) ab97051 was used as the secondary antibody.

Negative control 1 : PBS in place of primary antibody.

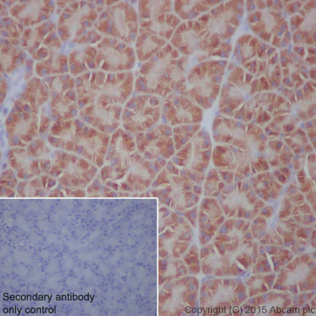
Immunohistochemistry (Formalin/PFA-fixed paraffin-embedded sections) - Anti-EEF2/Elongation factor 2 antibody [EP880Y] (AB75748)
  • IHC-P

Lab

Immunohistochemistry (Formalin/PFA-fixed paraffin-embedded sections) - Anti-EEF2/Elongation factor 2 antibody [EP880Y] (AB75748)

ab75748 staining EEF2/Elongation factor 2 in rat pancreas tissue sections by Immunohistochemistry (IHC-P - paraformaldehyde-fixed paraffin-embedded sections). Tissue was fixed with paraformaldehyde and antigen retrieval was by heat mediation in a EDTA buffer. Samples were incubated with primary antibody at a dilution of 1/700. A goat anti-rabbit IgG H&L (HRP) ab97051 was used as the secondary antibody at a dilution of 1/500.

Negative control 1 : PBS in place of primary antibody.

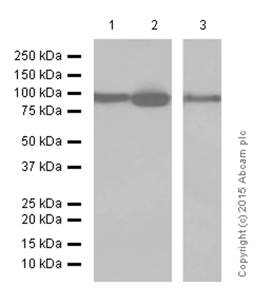
Western blot - Anti-EEF2/Elongation factor 2 antibody [EP880Y] (AB75748)
  • WB

Unknown

Western blot - Anti-EEF2/Elongation factor 2 antibody [EP880Y] (AB75748)

All lanes:

Western blot - Anti-EEF2/Elongation factor 2 antibody [EP880Y] (ab75748) at 1/50000 dilution

Lane 1:

HEK293 (human embryonic kidney) whole cell lysates at 20 µg

Lane 2:

HeLa (human cervix adenocarcinoma) whole cell lysates at 20 µg

Lane 3:

A431 (human epidermoid carcinoma) whole cell lysates at 20 µg

Secondary

All lanes:

Western blot - Goat Anti-Rabbit IgG H&L (HRP) (<a href='/en-us/products/secondary-antibodies/goat-rabbit-igg-h-l-hrp-ab97051'>ab97051</a>) at 1/100000 dilution

Predicted band size: 95 kDa

Observed band size: 95 kDa

false

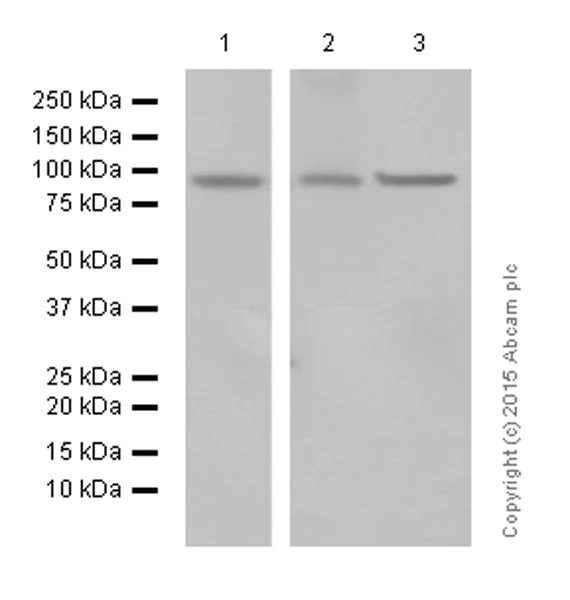
Western blot - Anti-EEF2/Elongation factor 2 antibody [EP880Y] (AB75748)
  • WB

Lab

Western blot - Anti-EEF2/Elongation factor 2 antibody [EP880Y] (AB75748)

All lanes:

Western blot - Anti-EEF2/Elongation factor 2 antibody [EP880Y] (ab75748) at 1/100000 dilution

Lane 1:

C6 (rat glioma) whole cell lysates at 20 µg

Lane 2:

PC-12 (rat adrenal gland pheochromocytoma) whole cell lysates at 20 µg

Lane 3:

NIH/3T3 (mouse embryo) whole cell lysates at 20 µg

Predicted band size: 95 kDa

false

  • 775 Alexa Fluor® 750

    Alexa Fluor® 750 Anti-EEF2/Elongation factor 2 antibody [EP880Y]

  • 519 Alexa Fluor® 488

    Alexa Fluor® 488 Anti-EEF2/Elongation factor 2 antibody [EP880Y]

  • 665 Alexa Fluor® 647

    Alexa Fluor® 647 Anti-EEF2/Elongation factor 2 antibody [EP880Y]

  • Carrier free

    Anti-EEF2/Elongation factor 2 antibody [EP880Y] - BSA and Azide free

  • 660 APC

    APC Anti-EEF2 antibody [EP880Y]

  • HRP

    HRP Anti-EEF2 antibody [EP880Y]

  • 617 Alexa Fluor® 594

    Alexa Fluor® 594 Anti-EEF2 antibody [EP880Y]

  • 565 Alexa Fluor® 555

    Alexa Fluor® 555 Anti-EEF2 antibody [EP880Y]

  • 603 Alexa Fluor® 568

    Alexa Fluor® 568 Anti-EEF2/Elongation factor 2 antibody [EP880Y]

  • 578 PE

    PE Anti-EEF2 antibody [EP880Y]

Key facts

Host species

Rabbit

Clonality

Monoclonal

Clone number

EP880Y

Isotype

IgG

Carrier free

No

Reacts with

Mouse, Rat, Human

Applications

IHC-P, WB, Flow Cyt (Intra), ICC/IF, IP

applications

Immunogen

The exact immunogen used to generate this antibody is proprietary information.

Reactivity data

{ "title": "Reactivity Data", "filters": { "stats": ["", "Species", "Dilution Info", "Notes"], "tabs": { "all-applications": {"fullname" : "All Applications", "shortname": "All Applications"}, "IHCP" : {"fullname" : "Immunohistochemistry (Formalin/PFA-fixed paraffin-embedded sections)", "shortname":"IHC-P"}, "IP" : {"fullname" : "Immunoprecipitation", "shortname":"IP"}, "WB" : {"fullname" : "Western blot", "shortname":"WB"}, "ICCIF" : {"fullname" : "Immunocytochemistry/ Immunofluorescence", "shortname":"ICC/IF"}, "FlowCytIntra" : {"fullname" : "Flow Cytometry (Intracellular)", "shortname":"Flow Cyt (Intra)"} }, "product-promise": { "all": "all", "testedAndGuaranteed": "tested", "guaranteed": "expected", "predicted": "predicted", "notRecommended": "not-recommended" } }, "values": { "Human": { "IHCP-species-checked": "testedAndGuaranteed", "IHCP-species-dilution-info": "1/100 - 1/250", "IHCP-species-notes": "<p></p>", "IP-species-checked": "testedAndGuaranteed", "IP-species-dilution-info": "1/20", "IP-species-notes": "<p></p>", "WB-species-checked": "testedAndGuaranteed", "WB-species-dilution-info": "1/10000 - 1/50000", "WB-species-notes": "<p></p>", "ICCIF-species-checked": "testedAndGuaranteed", "ICCIF-species-dilution-info": "1/100 - 1/250", "ICCIF-species-notes": "<p></p>", "FlowCytIntra-species-checked": "testedAndGuaranteed", "FlowCytIntra-species-dilution-info": "1/70", "FlowCytIntra-species-notes": "<p><a href='/en-us/products/primary-antibodies/rabbit-igg-monoclonal-epr25a-isotype-control-ab172730'>ab172730</a>- Rabbit monoclonal IgG, is suitable for use as an isotype control with this antibody.</p>" }, "Mouse": { "IHCP-species-checked": "testedAndGuaranteed", "IHCP-species-dilution-info": "1/100 - 1/250", "IHCP-species-notes": "<p></p>", "IP-species-checked": "guaranteed", "IP-species-dilution-info": "", "IP-species-notes": "", "WB-species-checked": "guaranteed", "WB-species-dilution-info": "", "WB-species-notes": "", "ICCIF-species-checked": "guaranteed", "ICCIF-species-dilution-info": "", "ICCIF-species-notes": "", "FlowCytIntra-species-checked": "guaranteed", "FlowCytIntra-species-dilution-info": "", "FlowCytIntra-species-notes": "" }, "Rat": { "IHCP-species-checked": "testedAndGuaranteed", "IHCP-species-dilution-info": "1/100 - 1/250", "IHCP-species-notes": "<p></p>", "IP-species-checked": "guaranteed", "IP-species-dilution-info": "", "IP-species-notes": "", "WB-species-checked": "testedAndGuaranteed", "WB-species-dilution-info": "1/10000 - 1/50000", "WB-species-notes": "<p></p>", "ICCIF-species-checked": "guaranteed", "ICCIF-species-dilution-info": "", "ICCIF-species-notes": "", "FlowCytIntra-species-checked": "guaranteed", "FlowCytIntra-species-dilution-info": "", "FlowCytIntra-species-notes": "" } } }

Product details

Patented technology
Our RabMAb® technology is a patented hybridoma-based technology for making rabbit monoclonal antibodies. For details on our patents, please refer to RabMAb® patents.

What are the advantages of a recombinant monoclonal antibody?
This product is a recombinant monoclonal antibody, which offers several advantages including:

  • - High batch-to-batch consistency and reproducibility
  • - Improved sensitivity and specificity
  • - Long-term security of supply
  • - Animal-free batch production

For more information, read more on recombinant antibodies.

Properties and storage information

Form
Liquid
Purification technique
Affinity purification Protein A
Storage buffer
pH: 7.2 - 7.4 Preservative: 0.01% Sodium azide Constituents: PBS, 40% Glycerol (glycerin, glycerine), 0.1% BSA
Shipped at conditions
Blue Ice
Appropriate short-term storage duration
1-2 weeks
Appropriate short-term storage conditions
+4°C
Appropriate long-term storage conditions
-20°C
Aliquoting information
Upon delivery aliquot
Storage information
Avoid freeze / thaw cycle

Supplementary information

This supplementary information is collated from multiple sources and compiled automatically.

EEF2 or elongation factor 2 is an important protein in the process of translation during protein synthesis. It is also known by the names EF-2 and EF2. This protein facilitates the translocation step where it moves tRNA and mRNA from the A-site to the P-site on the ribosome. EEF2 has a molecular weight of approximately 95 kDa. The protein is ubiquitously expressed in various tissues and cells due to its fundamental role in protein synthesis making it essential for cellular activities.
Biological function summary

EEF2 functions as part of a larger ribosomal complex. It has an important role in ensuring the accuracy and efficiency of elongation during the translation process. This process is energy-dependent with EEF2 requiring GTP to catalyze the movement along the mRNA strand. The protein must undergo reversible phosphorylation which directly affects its activity. This post-translational modification of EEF2 is a significant modulation point influencing the rate of protein synthesis.

Pathways

EEF2 plays an integral role in the mTOR signaling pathway and the insulin signaling pathway. In the mTOR pathway EEF2 activity is regulated to control protein translation based on cellular energy status and nutrient availability. This pathway is important for cell growth and proliferation. EEF2 interacts with other proteins such as factor 2 and eEF2kinase which phosphorylates the protein thereby inhibiting its activity. In the insulin signaling pathway similar regulatory mechanisms impact EEF2’s role in translation.

EEF2 connects to cancer and neurodegenerative diseases. In cancer aberrant regulation of EEF2 can lead to uncontrolled protein synthesis promoting cell proliferation and tumor growth. Its interaction with mTOR and other signaling proteins like ribosomal proteins plays a role in this dysregulation. In neurodegenerative conditions such as Alzheimer’s disease impaired EEF2 activity results in decreased synaptic protein synthesis affecting neuronal function. Understanding EEF2’s regulation and dysregulation provides insight into its involvement in these diseases offering potential for therapeutic intervention.

Product protocols

For this product, it's our understanding that no specific protocols are required. You can visit:

Target data

Catalyzes the GTP-dependent ribosomal translocation step during translation elongation (PubMed : 26593721). During this step, the ribosome changes from the pre-translocational (PRE) to the post-translocational (POST) state as the newly formed A-site-bound peptidyl-tRNA and P-site-bound deacylated tRNA move to the P and E sites, respectively (PubMed : 26593721). Catalyzes the coordinated movement of the two tRNA molecules, the mRNA and conformational changes in the ribosome (PubMed : 26593721).
See full target information EEF2

Publications (12)

Recent publications for all applications. Explore the full list and refine your search

Nature cell biology 27:438-448 PubMed39984653

2025

Blebbisomes are large, organelle-rich extracellular vesicles with cell-like properties.

Applications

Unspecified application

Species

Unspecified reactive species

Dennis K Jeppesen,Zachary C Sanchez,Noah M Kelley,James B Hayes,Jessica Ambroise,Emma N Koory,Evan Krystofiak,Nilay Taneja,Qin Zhang,Matthew M Dungan,Olivia L Perkins,Matthew J Tyska,Ela W Knapik,Kevin M Dean,Amanda C Doran,Robert J Coffey,Dylan T Burnette

Science advances 10:eadp3680 PubMed39576858

2024

mRNA compartmentalization via multimodule DNA nanostructure assembly augments the immunogenicity and efficacy of cancer mRNA vaccine.

Applications

Unspecified application

Species

Unspecified reactive species

Xiaocui Guo,Mengyu Guo,Rong Cai,Mingdi Hu,Le Rao,Wen Su,He Liu,Fene Gao,Xiaoyu Zhang,Jing Liu,Chunying Chen

Nature 632:656-663 PubMed39048817

2024

SMYD5 methylation of rpL40 links ribosomal output to gastric cancer.

Applications

Unspecified application

Species

Unspecified reactive species

Juhyung Park,Jibo Wu,Krzysztof J Szkop,Jinho Jeong,Predrag Jovanovic,Dylan Husmann,Natasha M Flores,Joel W Francis,Ying-Jiun C Chen,Ana Morales Benitez,Emily Zahn,Shumei Song,Jaffer A Ajani,Linghua Wang,Kamini Singh,Ola Larsson,Benjamin A Garcia,Ivan Topisirovic,Or Gozani,Pawel K Mazur

Molecular cell 84:1753-1763.e7 PubMed38508183

2024

FAM86A methylation of eEF2 links mRNA translation elongation to tumorigenesis.

Applications

Unspecified application

Species

Unspecified reactive species

Joel William Francis,Simone Hausmann,Sabeen Ikram,Kunlun Yin,Robert Mealey-Farr,Natasha Mahealani Flores,Annie Truc Trinh,Tourkian Chasan,Julia Thompson,Pawel Karol Mazur,Or Gozani

The Journal of biological chemistry 299:104842 PubMed37209825

2023

The FAM86 domain of FAM86A confers substrate specificity to promote EEF2-Lys525 methylation.

Applications

Unspecified application

Species

Unspecified reactive species

Joel William Francis,Zengyu Shao,Pradnya Narkhede,Annie Truc Trinh,Jiuwei Lu,Jikui Song,Or Gozani

EMBO reports 23:e54543 PubMed35993189

2022

eEF2 in the prefrontal cortex promotes excitatory synaptic transmission and social novelty behavior.

Applications

Unspecified application

Species

Unspecified reactive species

Xuanyue Ma,Liuren Li,Ziming Li,Zhengyi Huang,Yaorong Yang,Peng Liu,Daji Guo,Yueyao Li,Tianying Wu,Ruixiang Luo,Junyu Xu,Wen-Cai Ye,Bin Jiang,Lei Shi

Frontiers in genetics 11:565479 PubMed33250918

2020

Comprehensive Proteomic Profiling of Urinary Exosomes and Identification of Potential Non-invasive Early Biomarkers of Alzheimer's Disease in 5XFAD Mouse Model.

Applications

Unspecified application

Species

Unspecified reactive species

Zhiqi Song,Yanfeng Xu,Ling Zhang,Li Zhou,Yu Zhang,Yunlin Han,Xianglei Li,Pin Yu,Yajin Qu,Wenjie Zhao,Chuan Qin

International journal of molecular sciences 21: PubMed32899302

2020

The Molecular Floodgates of Stress-Induced Senescence Reveal Translation, Signalling and Protein Activity Central to the Post-Mortem Proteome.

Applications

Unspecified application

Species

Unspecified reactive species

Valerie C Wasinger,Darren Curnoe,Ceridwen Boel,Naomi Machin,Hsiao Mei Goh

Nature communications 10:5151 PubMed31723131

2019

eIF4A supports an oncogenic translation program in pancreatic ductal adenocarcinoma.

Applications

Unspecified application

Species

Unspecified reactive species

Karina Chan,Francis Robert,Christian Oertlin,Dana Kapeller-Libermann,Daina Avizonis,Johana Gutierrez,Abram Handly-Santana,Mikhail Doubrovin,Julia Park,Christina Schoepfer,Brandon Da Silva,Melissa Yao,Faith Gorton,Junwei Shi,Craig J Thomas,Lauren E Brown,John A Porco,Michael Pollak,Ola Larsson,Jerry Pelletier,Iok In Christine Chio

Molecular cell 75:631-643.e8 PubMed31279658

2019

Identification of the mAm Methyltransferase PCIF1 Reveals the Location and Functions of mAm in the Transcriptome.

Applications

Unspecified application

Species

Unspecified reactive species

Konstantinos Boulias,Diana Toczydłowska-Socha,Ben R Hawley,Noa Liberman,Ken Takashima,Sara Zaccara,Théo Guez,Jean-Jacques Vasseur,Françoise Debart,L Aravind,Samie R Jaffrey,Eric Lieberman Greer
View all publications

Product promise

We are committed to supporting your work with high-quality reagents, and we're here for you every step of the way. In the unlikely event that one of our products does not perform as expected, you're protected by our Product Promise.
For full details, please see our Terms & Conditions

Please note: All products are 'FOR RESEARCH USE ONLY. NOT FOR USE IN DIAGNOSTIC OR THERAPEUTIC PROCEDURES'.

For licensing inquiries, please contact partnerships@abcam.com