JavaScript is disabled in your browser. Please enable JavaScript to view this website.
AB283706

Anti-EEF2K antibody [EPR24714-88] - BSA and Azide free

  • BOND RX™ Validated
  • RabMAb
  • Recombinant
  • KO Validated
  • What is this?

Be the first to review this product! Submit a review

|

(0 Publication)

Rabbit Recombinant Monoclonal EEF2K antibody. Carrier free. Suitable for IP, Flow Cyt (Intra), WB, IHC-P and reacts with Human samples.

View Alternative Names

Eukaryotic elongation factor 2 kinase, eEF-2 kinase, eEF-2K, Calcium/calmodulin-dependent eukaryotic elongation factor 2 kinase, EEF2K

9 Images
Western blot - Anti-EEF2K antibody [EPR24714-88] - BSA and Azide free (AB283706)
  • WB

Lab

Western blot - Anti-EEF2K antibody [EPR24714-88] - BSA and Azide free (AB283706)

This data was developed using ab270948, the same antibody clone in a different buffer formulation.

Western blot : Rabbit Monoclonal[EPR24714-88] to EEF2K ab270948 staining at 1/1000 dilution, shown in green; Mouse anti GAPDH (ab8245) loading control staining at 1/20,000 dilution, shown in magenta. A band was observed at 82 kDa in Wild-type A549 cell lysates with no signal observed at this size in EEF2K knockout A549 cell line. To generate this image, samples were run on an SDS-PAGE gel then transferred onto a nitrocellulose membrane. Membranes were blocked in 3pc Milk in TBS-0.1 % Tween® 20 (TBS-T) before incubation with primary antibodies overnight at 4°C. Blots were washed four times in TBS-T, incubated with secondary antibodies for 1 h at room temperature, washed again four times then imaged. Secondary antibodies used were Goat anti-Rabbit 800CW & Goat anti-Mouse 680RD at 1/20,000 dilution.

Lanes 1 - 4:

Western blot - Anti-EEF2K antibody [EPR24714-88] (<a href='/en-us/products/primary-antibodies/eef2k-antibody-epr24714-88-ab270948'>ab270948</a>) at 1/1000 dilution

Lanes 1 - 4:

Western blot - Anti-EEF2K antibody [EPR24714-88] - BSA and Azide free (ab283706) at 1/1000 dilution

Lane 1:

Wild-type A549 at 20 µg

Lane 2:

EEF2K knockout A549 at 20 µg

Lane 3:

Raji at 20 µg

Lane 4:

MOLT-4 at 20 µg

Secondary

All lanes:

Goat anti-Rabbit 800CW & Goat anti-Mouse 680RD at 1/20000 dilution

Predicted band size: 82 kDa

Observed band size: 82 kDa

false

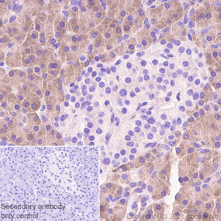
Immunohistochemistry (Formalin/PFA-fixed paraffin-embedded sections) - Anti-EEF2K antibody [EPR24714-88] - BSA and Azide free (AB283706)
  • IHC-P

Supplier Data

Immunohistochemistry (Formalin/PFA-fixed paraffin-embedded sections) - Anti-EEF2K antibody [EPR24714-88] - BSA and Azide free (AB283706)

This data was developed using ab270948, the same antibody clone in a different buffer formulation.

Immunohistochemical analysis of paraffin-embedded Human pancreas tissue labelling EEF2K with ab270948 at 1/500 (1.178 ug/ml) followed by a ready to use Rabbit specific IHC polymer detection kit HRP/DAB (ab209101). Cytoplasmic staining on human pancreatic acinar cells. The section was incubated with ab270948 for 30 mins at room temperature.The immunostaining was performed on a Leica Biosystems BOND® RX instrument Counterstained with Hematoxylin.

Secondary antibody only control : Secondary antibody is a ready to use Rabbit specific IHC polymer detection kit HRP/DAB (ab209101).

Heat mediated antigen retrieval with Tris-EDTA buffer (pH 9.0, epitope retrieval solution2) for 20 mins

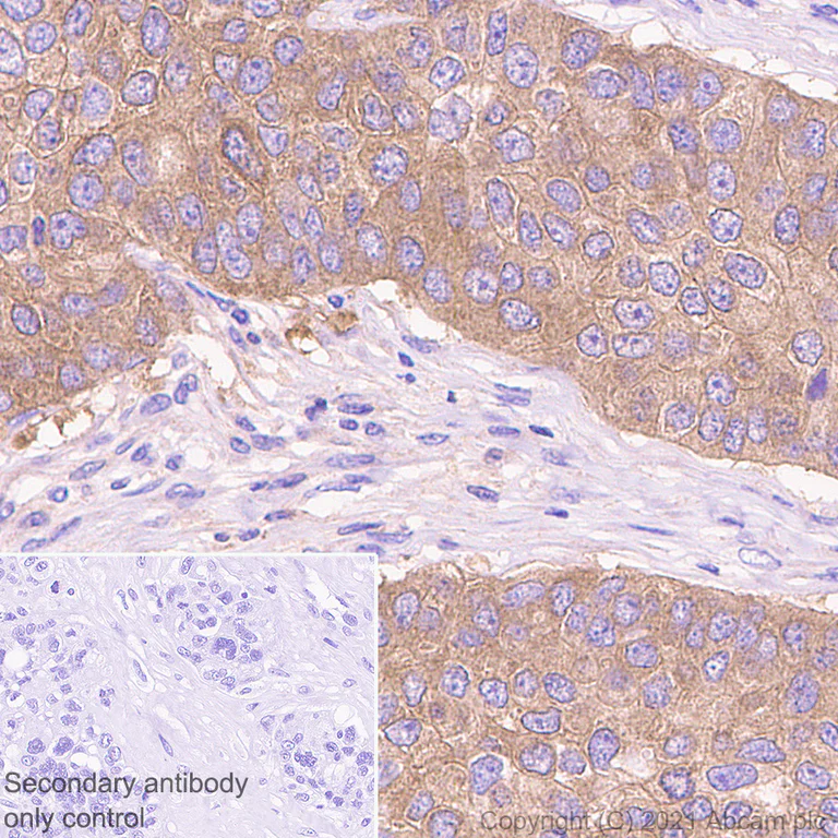
Immunohistochemistry (Formalin/PFA-fixed paraffin-embedded sections) - Anti-EEF2K antibody [EPR24714-88] - BSA and Azide free (AB283706)
  • IHC-P

Supplier Data

Immunohistochemistry (Formalin/PFA-fixed paraffin-embedded sections) - Anti-EEF2K antibody [EPR24714-88] - BSA and Azide free (AB283706)

This data was developed using ab270948, the same antibody clone in a different buffer formulation.

Immunohistochemical analysis of paraffin-embedded Human breast carcinoma tissue labelling EEF2K with ab270948 at 1/500 (1.178 ug/ml) followed by a ready to use Rabbit specific IHC polymer detection kit HRP/DAB (ab209101). Cytoplasmic staining on human breast carcinoma. The section was incubated with ab270948 for 30 mins at room temperature.The immunostaining was performed on a Leica Biosystems BOND® RX instrument Counterstained with Hematoxylin.

Secondary antibody only control : Secondary antibody is a ready to use Rabbit specific IHC polymer detection kit HRP/DAB (ab209101).

Heat mediated antigen retrieval with Tris-EDTA buffer (pH 9.0, epitope retrieval solution2) for 20 mins

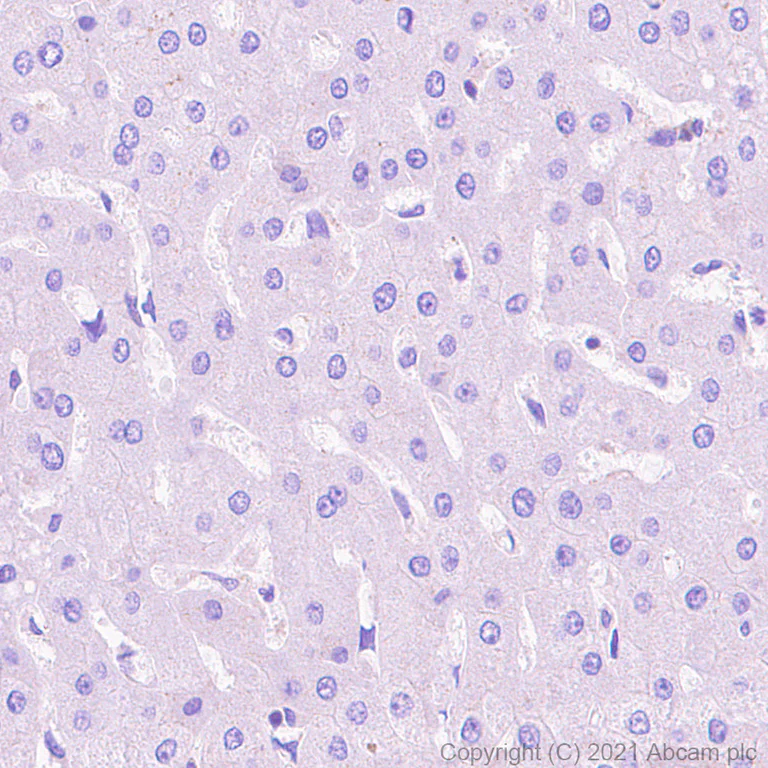
Immunohistochemistry (Formalin/PFA-fixed paraffin-embedded sections) - Anti-EEF2K antibody [EPR24714-88] - BSA and Azide free (AB283706)
  • IHC-P

Supplier Data

Immunohistochemistry (Formalin/PFA-fixed paraffin-embedded sections) - Anti-EEF2K antibody [EPR24714-88] - BSA and Azide free (AB283706)

This data was developed using ab270948, the same antibody clone in a different buffer formulation.

Immunohistochemical analysis of paraffin-embedded Human liver tissue labelling EEF2K with ab270948 at 1/500 (1.178 ug/ml) followed by a ready to use Rabbit specific IHC polymer detection kit HRP/DAB (ab209101). Negative control : no staining on human liver. The section was incubated with ab270948 for 30 mins at room temperature.The immunostaining was performed on a Leica Biosystems BOND® RX instrument Counterstained with Hematoxylin.

Secondary antibody only control : Secondary antibody is a ready to use Rabbit specific IHC polymer detection kit HRP/DAB (ab209101).

Heat mediated antigen retrieval with Tris-EDTA buffer (pH 9.0, epitope retrieval solution2) for 20 mins

Flow Cytometry (Intracellular) - Anti-EEF2K antibody [EPR24714-88] - BSA and Azide free (AB283706)
  • Flow Cyt (Intra)

Supplier Data

Flow Cytometry (Intracellular) - Anti-EEF2K antibody [EPR24714-88] - BSA and Azide free (AB283706)

This data was developed using ab270948, the same antibody clone in a different buffer formulation.

Flow cytometric analysis of 4% paraformaldehyde fixed 90% methanol permeabilized HeLa (Human cervix adenocarcinoma epithelial cell) cells labelling EEF2K with ab270948 at 1/50 dilution (1ug)/(Red) compared with a Rabbit monoclonal IgG (ab172730) (Black) isotype control and an unlabelled control (cells without incubation with primary antibody and secondary antibody) (Blue). A Goat Anti-Rabbit IgG (Alexa Fluor® 488, ab150081) at 1/2000 dilution was used as the secondary antibody.

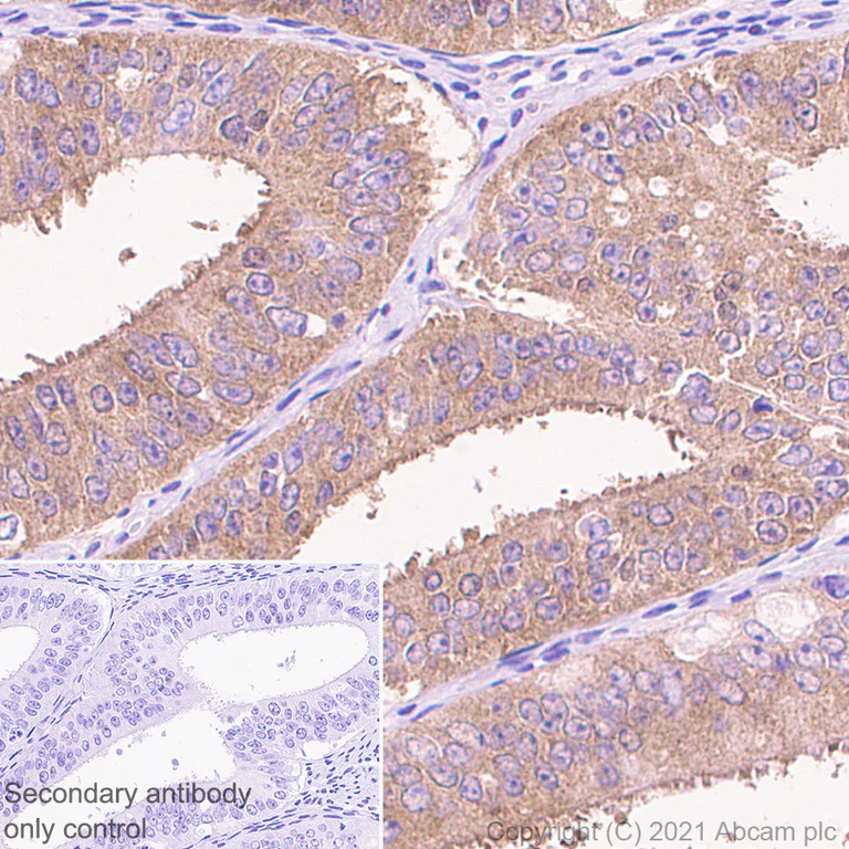
Immunohistochemistry (Formalin/PFA-fixed paraffin-embedded sections) - Anti-EEF2K antibody [EPR24714-88] - BSA and Azide free (AB283706)
  • IHC-P

Supplier Data

Immunohistochemistry (Formalin/PFA-fixed paraffin-embedded sections) - Anti-EEF2K antibody [EPR24714-88] - BSA and Azide free (AB283706)

This data was developed using ab270948, the same antibody clone in a different buffer formulation.

Immunohistochemical analysis of paraffin-embedded Human endometrial carcinoma tissue labelling EEF2K with ab270948 at 1/500 (1.178 ug/ml) followed by a ready to use Rabbit specific IHC polymer detection kit HRP/DAB (ab209101). Cytoplasmic staining on human endometrial carcinoma. The section was incubated with ab270948 for 30 mins at room temperature.The immunostaining was performed on a Leica Biosystems BOND® RX instrument Counterstained with Hematoxylin.

Secondary antibody only control : Secondary antibody is a ready to use Rabbit specific IHC polymer detection kit HRP/DAB (ab209101).

Heat mediated antigen retrieval with Tris-EDTA buffer (pH 9.0, epitope retrieval solution2) for 20 mins

Flow Cytometry (Intracellular) - Anti-EEF2K antibody [EPR24714-88] - BSA and Azide free (AB283706)
  • Flow Cyt (Intra)

Supplier Data

Flow Cytometry (Intracellular) - Anti-EEF2K antibody [EPR24714-88] - BSA and Azide free (AB283706)

This data was developed using ab270948, the same antibody clone in a different buffer formulation.

Flow cytometric analysis of 4% paraformaldehyde fixed 90% methanol permeabilized 293T (Human embryonic kidney epithelial cell) cells labelling EEF2K with ab270948 at 1/50 dilution (1ug)/ (Red) compared with a Rabbit monoclonal IgG (ab172730) (Black) isotype control and an unlabelled control (cells without incubation with primary antibody and secondary antibody) (Blue). A Goat Anti-Rabbit IgG (Alexa Fluor® 488, ab150081) at 1/2000 dilution was used as the secondary antibody.

Immunoprecipitation - Anti-EEF2K antibody [EPR24714-88] - BSA and Azide free (AB283706)
  • IP

Supplier Data

Immunoprecipitation - Anti-EEF2K antibody [EPR24714-88] - BSA and Azide free (AB283706)

This data was developed using ab270948, the same antibody clone in a different buffer formulation.

EEF2K was immunoprecipitated from 0.35 mg HeLa (human cervix adenocarcinoma epithelial cell) whole cell lysate 10 ug with ab270948 at 1/30 dilution (2ug in 0.35mg lysates). Western blot was performed on the immunoprecipitate using ab270948 at 1/1000 dilution. VeriBlot for IP secondary antibody(HRP)(ab131366) was used at 1/5000 dilution.

Lane 1 : HeLa (human cervix adenocarcinoma epithelial cell) whole cell lysate 10 ug

Lane 2 : ab270948 IP in HeLa whole cell lysate

Lane 3 : Rabbit monoclonal IgG (ab172730) instead of ab270948 in HeLa whole cell lysate

Blocking and dilution buffer and concentration : 5% NFDM/TBST.

Exposure time : 32 seconds

All lanes:

Immunoprecipitation - Anti-EEF2K antibody [EPR24714-88] (<a href='/en-us/products/primary-antibodies/eef2k-antibody-epr24714-88-ab270948'>ab270948</a>)

Predicted band size: 82 kDa

false

Western blot - Anti-EEF2K antibody [EPR24714-88] - BSA and Azide free (AB283706)
  • WB

Lab

Western blot - Anti-EEF2K antibody [EPR24714-88] - BSA and Azide free (AB283706)

This data was developed using ab270948, the same antibody clone in a different buffer formulation.

Blocking and diluting buffer and concentration : 5% NFDM/TBST

Lysates were made freshly and used in WB test immediately to minimize protein degradation.

Exposure time : 10 seconds

All lanes:

Western blot - Anti-EEF2K antibody [EPR24714-88] (<a href='/en-us/products/primary-antibodies/eef2k-antibody-epr24714-88-ab270948'>ab270948</a>) at 1/1000 dilution

Lane 1:

HeLa (human cervix adenocarcinoma epithelial cell) whole cell lysate at 20 µg

Lane 2:

293T (human embryonic kidney epithelial cell) whole cell lysate at 20 µg

Secondary

All lanes:

Western blot - Goat Anti-Rabbit IgG H&L (HRP) (<a href='/en-us/products/secondary-antibodies/goat-rabbit-igg-h-l-hrp-ab97051'>ab97051</a>) at 1/20000 dilution

Predicted band size: 82 kDa

Observed band size: 95 kDa

false

Key facts

Host species

Rabbit

Clonality

Monoclonal

Clone number

EPR24714-88

Isotype

IgG

Carrier free

Yes

Reacts with

Human

Applications

WB, Flow Cyt (Intra), IHC-P, IP

applications

Immunogen

The exact immunogen used to generate this antibody is proprietary information.

Reactivity data

{ "title": "Reactivity Data", "filters": { "stats": ["", "Species", "Dilution Info", "Notes"], "tabs": { "all-applications": {"fullname" : "All Applications", "shortname": "All Applications"}, "ICCIF" : {"fullname" : "Immunocytochemistry/ Immunofluorescence", "shortname":"ICC/IF"}, "IP" : {"fullname" : "Immunoprecipitation", "shortname":"IP"}, "FlowCytIntra" : {"fullname" : "Flow Cytometry (Intracellular)", "shortname":"Flow Cyt (Intra)"}, "WB" : {"fullname" : "Western blot", "shortname":"WB"}, "IHCP" : {"fullname" : "Immunohistochemistry (Formalin/PFA-fixed paraffin-embedded sections)", "shortname":"IHC-P"} }, "product-promise": { "all": "all", "testedAndGuaranteed": "tested", "guaranteed": "expected", "predicted": "predicted", "notRecommended": "not-recommended" } }, "values": { "Human": { "ICCIF-species-checked": "notRecommended", "ICCIF-species-dilution-info": "", "ICCIF-species-notes": "<p></p>", "IP-species-checked": "testedAndGuaranteed", "IP-species-dilution-info": "", "IP-species-notes": "<p></p>", "FlowCytIntra-species-checked": "testedAndGuaranteed", "FlowCytIntra-species-dilution-info": "", "FlowCytIntra-species-notes": "<p></p>", "WB-species-checked": "testedAndGuaranteed", "WB-species-dilution-info": "", "WB-species-notes": "<p></p>", "IHCP-species-checked": "testedAndGuaranteed", "IHCP-species-dilution-info": "", "IHCP-species-notes": "<p></p>" }, "Mouse": { "ICCIF-species-checked": "notRecommended", "ICCIF-species-dilution-info": "", "ICCIF-species-notes": "", "IP-species-checked": "notRecommended", "IP-species-dilution-info": "", "IP-species-notes": "<p></p>", "FlowCytIntra-species-checked": "notRecommended", "FlowCytIntra-species-dilution-info": "", "FlowCytIntra-species-notes": "", "WB-species-checked": "notRecommended", "WB-species-dilution-info": "", "WB-species-notes": "<p></p>", "IHCP-species-checked": "notRecommended", "IHCP-species-dilution-info": "", "IHCP-species-notes": "<p></p>" }, "Rat": { "ICCIF-species-checked": "notRecommended", "ICCIF-species-dilution-info": "", "ICCIF-species-notes": "", "IP-species-checked": "notRecommended", "IP-species-dilution-info": "", "IP-species-notes": "", "FlowCytIntra-species-checked": "notRecommended", "FlowCytIntra-species-dilution-info": "", "FlowCytIntra-species-notes": "", "WB-species-checked": "notRecommended", "WB-species-dilution-info": "", "WB-species-notes": "<p></p>", "IHCP-species-checked": "notRecommended", "IHCP-species-dilution-info": "", "IHCP-species-notes": "<p></p>" } } }

Product details

Properties and storage information

Form
Liquid
Purification technique
Affinity purification Protein A
Storage buffer
pH: 7.2 - 7.4 Constituents: 100% PBS
Shipped at conditions
Blue Ice
Appropriate short-term storage conditions
+4°C
Appropriate long-term storage conditions
+4°C

Supplementary information

This supplementary information is collated from multiple sources and compiled automatically.

EEF2K also known as eukaryotic elongation factor 2 kinase or CaMKIII is a significant protein kinase with an approximate molecular mass of 85 kDa. EEF2K plays a role in controlling protein synthesis by phosphorylating eukaryotic elongation factor 2 (eEF2) leading to a decrease in its activity. This protein can be found in various tissues throughout the body but shows substantial expression in the brain. It acts as a regulatory switch in translation process under specific cellular conditions.
Biological function summary

EEF2K regulates protein translation and affects cellular energy expenditure during conditions such as starvation or stress. Through its activity EEF2K contributes to the cellular response by phosphorylating eEF2 resulting in modulation of ribosomal function. Although EEF2K does not necessarily form stable complexes with other proteins its function influences several other cellular activities that are in connection with protein synthesis and degradation pathways.

Pathways

EEF2K integrates into nutrient-signaling pathways like the mTOR signaling and the AMPK pathway. These pathways control energy homeostasis and response to cellular stress. EEF2K acts alongside AMPK when nutrient supply is low adjusting protein synthesis rates to meet cellular energy demands. Additionally EEF2K's function inversely relates to mTOR activity which typically promotes protein synthesis and cell growth when conditions are favorable.

EEF2K associates with cancer and neurodegenerative diseases. In cancer EEF2K modulates cell survival under nutrient-poor environments often contributing to chemotherapy resistance. Links between EEF2K and neurodegenerative diseases come from its regulation of protein synthesis which affects neuronal health. Proteins like AMPK connect to EEF2K highlighting their collective contribution to the metabolic rearrangements seen in these disorders.

Product protocols

For this product, it's our understanding that no specific protocols are required. You can visit:

Target data

Threonine kinase that regulates protein synthesis by controlling the rate of peptide chain elongation. Upon activation by a variety of upstream kinases including AMPK or TRPM7, phosphorylates the elongation factor EEF2 at a single site, renders it unable to bind ribosomes and thus inactive. In turn, the rate of protein synthesis is reduced.
See full target information Eukaryotic elongation factor 2 kinase

Product promise

We are committed to supporting your work with high-quality reagents, and we're here for you every step of the way. In the unlikely event that one of our products does not perform as expected, you're protected by our Product Promise.
For full details, please see our Terms & Conditions

Please note: All products are 'FOR RESEARCH USE ONLY. NOT FOR USE IN DIAGNOSTIC OR THERAPEUTIC PROCEDURES'.

For licensing inquiries, please contact partnerships@abcam.com