JavaScript is disabled in your browser. Please enable JavaScript to view this website.
AB192257

Anti-EEF2K (phospho S359) antibody [EPR2252(N)]

Be the first to review this product! Submit a review

|

(1 Publication)

Rabbit Recombinant Monoclonal EEF2K phospho S359 antibody. Suitable for WB, IHC-P and reacts with Human samples. Cited in 1 publication.

View Alternative Names

Eukaryotic elongation factor 2 kinase, eEF-2 kinase, eEF-2K, Calcium/calmodulin-dependent eukaryotic elongation factor 2 kinase, EEF2K

3 Images
Immunohistochemistry (Formalin/PFA-fixed paraffin-embedded sections) - Anti-EEF2K (phospho S359) antibody [EPR2252(N)] (AB192257)
  • IHC-P

Supplier Data

Immunohistochemistry (Formalin/PFA-fixed paraffin-embedded sections) - Anti-EEF2K (phospho S359) antibody [EPR2252(N)] (AB192257)

Immunohistochemical analysis of paraffin-embedded Human liver tissue labeling EEF2K with ab192257 at 1/100 dilution. A ready to use HRP Polymer for Rabbit IgG was used as the secondary. Hematoxylin counterstain.

Perform heat mediated antigen retrieval with Tris/EDTA buffer pH 9.0 before commencing with IHC staining protocol.

Immunohistochemistry (Formalin/PFA-fixed paraffin-embedded sections) - Anti-EEF2K (phospho S359) antibody [EPR2252(N)] (AB192257)
  • IHC-P

Supplier Data

Immunohistochemistry (Formalin/PFA-fixed paraffin-embedded sections) - Anti-EEF2K (phospho S359) antibody [EPR2252(N)] (AB192257)

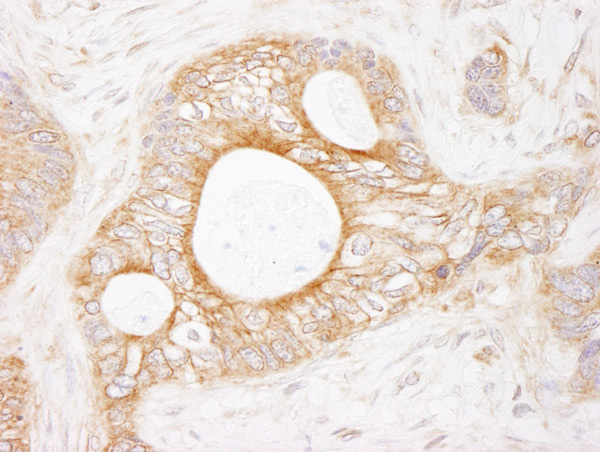
Immunohistochemical analysis of paraffin-embedded Human stomach tissue labeling EEF2K with ab192257 at 1/100 dilution. A ready to use HRP Polymer for Rabbit IgG was used as the secondary. Hematoxylin counterstain.

Perform heat mediated antigen retrieval with Tris/EDTA buffer pH 9.0 before commencing with IHC staining protocol.

Western blot - Anti-EEF2K (phospho S359) antibody [EPR2252(N)] (AB192257)
  • WB

Supplier Data

Western blot - Anti-EEF2K (phospho S359) antibody [EPR2252(N)] (AB192257)

All lanes:

Western blot - Anti-EEF2K (phospho S359) antibody [EPR2252(N)] (ab192257) at 1/1000 dilution

Lane 1:

HeLa cell lysate, treated with Okadaic Acid + Calyculin A at 10 µg

Lane 2:

HeLa cell lysate, untreated at 10 µg

Secondary

All lanes:

Goat Anti-Rabbit IgG, (H+L), Peroxidase conjugated at 1/1000 dilution

Predicted band size: 82 kDa

false

Key facts

Host species

Rabbit

Clonality

Monoclonal

Clone number

EPR2252(N)

Isotype

IgG

Carrier free

No

Reacts with

Human

Applications

IHC-P, WB

applications

Immunogen

The exact immunogen used to generate this antibody is proprietary information.

Reactivity data

{ "title": "Reactivity Data", "filters": { "stats": ["", "Species", "Dilution Info", "Notes"], "tabs": { "all-applications": {"fullname" : "All Applications", "shortname": "All Applications"}, "WB" : {"fullname" : "Western blot", "shortname":"WB"}, "IHCP" : {"fullname" : "Immunohistochemistry (Formalin/PFA-fixed paraffin-embedded sections)", "shortname":"IHC-P"} }, "product-promise": { "all": "all", "testedAndGuaranteed": "tested", "guaranteed": "expected", "predicted": "predicted", "notRecommended": "not-recommended" } }, "values": { "Human": { "WB-species-checked": "testedAndGuaranteed", "WB-species-dilution-info": "1/1000", "WB-species-notes": "<p></p>", "IHCP-species-checked": "testedAndGuaranteed", "IHCP-species-dilution-info": "1/50 - 1/100", "IHCP-species-notes": "<p></p>" } } }

Product details

Patented technology
Our RabMAb® technology is a patented hybridoma-based technology for making rabbit monoclonal antibodies. For details on our patents, please refer to RabMAb® patents.

What are the advantages of a recombinant monoclonal antibody?
This product is a recombinant monoclonal antibody, which offers several advantages including:

  • - High batch-to-batch consistency and reproducibility
  • - Improved sensitivity and specificity
  • - Long-term security of supply
  • - Animal-free batch production

For more information, read more on recombinant antibodies.

Properties and storage information

Form
Liquid
Purification technique
Affinity purification Protein A
Storage buffer
pH: 7.2 - 7.4 Preservative: 0.01% Sodium azide Constituents: PBS, 40% Glycerol (glycerin, glycerine), 0.05% BSA
Shipped at conditions
Blue Ice
Appropriate short-term storage duration
1-2 weeks
Appropriate short-term storage conditions
+4°C
Appropriate long-term storage conditions
-20°C
Aliquoting information
Upon delivery aliquot
Storage information
Avoid freeze / thaw cycle

Supplementary information

This supplementary information is collated from multiple sources and compiled automatically.

EEF2K also known as eukaryotic elongation factor 2 kinase or CaMKIII is a significant protein kinase with an approximate molecular mass of 85 kDa. EEF2K plays a role in controlling protein synthesis by phosphorylating eukaryotic elongation factor 2 (eEF2) leading to a decrease in its activity. This protein can be found in various tissues throughout the body but shows substantial expression in the brain. It acts as a regulatory switch in translation process under specific cellular conditions.
Biological function summary

EEF2K regulates protein translation and affects cellular energy expenditure during conditions such as starvation or stress. Through its activity EEF2K contributes to the cellular response by phosphorylating eEF2 resulting in modulation of ribosomal function. Although EEF2K does not necessarily form stable complexes with other proteins its function influences several other cellular activities that are in connection with protein synthesis and degradation pathways.

Pathways

EEF2K integrates into nutrient-signaling pathways like the mTOR signaling and the AMPK pathway. These pathways control energy homeostasis and response to cellular stress. EEF2K acts alongside AMPK when nutrient supply is low adjusting protein synthesis rates to meet cellular energy demands. Additionally EEF2K's function inversely relates to mTOR activity which typically promotes protein synthesis and cell growth when conditions are favorable.

EEF2K associates with cancer and neurodegenerative diseases. In cancer EEF2K modulates cell survival under nutrient-poor environments often contributing to chemotherapy resistance. Links between EEF2K and neurodegenerative diseases come from its regulation of protein synthesis which affects neuronal health. Proteins like AMPK connect to EEF2K highlighting their collective contribution to the metabolic rearrangements seen in these disorders.

Product protocols

For this product, it's our understanding that no specific protocols are required. You can visit:

Target data

Threonine kinase that regulates protein synthesis by controlling the rate of peptide chain elongation. Upon activation by a variety of upstream kinases including AMPK or TRPM7, phosphorylates the elongation factor EEF2 at a single site, renders it unable to bind ribosomes and thus inactive. In turn, the rate of protein synthesis is reduced.
See full target information Eukaryotic elongation factor 2 kinase phospho S359

Publications (1)

Recent publications for all applications. Explore the full list and refine your search

Frontiers in cell and developmental biology 13:1627763 PubMed41041663

2025

Oxygen concentration modulates HDAC1-Mediated regulation of osteogenic signaling pathways in dental pulp cells.

Applications

Unspecified application

Species

Unspecified reactive species

Ci Song,Ping Li,Lin Lin,Ge Cao,Zhao Liu,Fei Liu,Ling Peng,Jingxing Dai,Buling Wu,Ting Chen
View all publications

Product promise

We are committed to supporting your work with high-quality reagents, and we're here for you every step of the way. In the unlikely event that one of our products does not perform as expected, you're protected by our Product Promise.
For full details, please see our Terms & Conditions

Please note: All products are 'FOR RESEARCH USE ONLY. NOT FOR USE IN DIAGNOSTIC OR THERAPEUTIC PROCEDURES'.

For licensing inquiries, please contact partnerships@abcam.com