JavaScript is disabled in your browser. Please enable JavaScript to view this website.
AB256457

Anti-EFEMP1/Fibulin-3 antibody [EPR22855-4]

3

(1 Review)

|

(5 Publications)

Rabbit Recombinant Monoclonal EFEMP1/Fibulin-3 antibody. Suitable for IP, WB, IHC-P, ICC/IF, Flow Cyt (Intra) and reacts with Human samples. Cited in 5 publications.

View Alternative Names

FBLN3, FBNL, EFEMP1, EGF-containing fibulin-like extracellular matrix protein 1, Extracellular protein S1-5, Fibrillin-like protein, Fibulin-3, FIBL-3

8 Images
Immunohistochemistry (Formalin/PFA-fixed paraffin-embedded sections) - Anti-EFEMP1/Fibulin-3 antibody [EPR22855-4] (AB256457)
  • IHC-P

Unknown

Immunohistochemistry (Formalin/PFA-fixed paraffin-embedded sections) - Anti-EFEMP1/Fibulin-3 antibody [EPR22855-4] (AB256457)

Immunohistochemical analysis of paraffin-embedded Human colon tissue labeling EFEMP1/Fibulin-3 with ab256457 at 1/500 dilution (1.12 ug/ml) followed by a ready to use Rabbit specific IHC polymer detection kit HRP/DAB (ab209101). Positive staining on the stromal cells of human colon. Heat mediated antigen retrieval with Tris-EDTA buffer (pH 9.0, epitope retrieval solution 2) for 20 mins. The section was incubated with ab256457 for 15 mins at RT. The immunostaining was performed on a Leica Biosystems BOND® RX instrument. Counterstained with Hematoxylin.

Secondary antibody only control/ Secondary antibody is a ready to use Rabbit specific IHC polymer detection kit HRP/DAB (ab209101).

Immunocytochemistry/ Immunofluorescence - Anti-EFEMP1/Fibulin-3 antibody [EPR22855-4] (AB256457)
  • ICC/IF

Unknown

Immunocytochemistry/ Immunofluorescence - Anti-EFEMP1/Fibulin-3 antibody [EPR22855-4] (AB256457)

Immunofluorescent analysis of 4% Paraformaldehyde-fixed, 0.1% TritonX-100 permeabilized HUVEC (human umbilical vein endothelial cell) cells labelling EFEMP1/Fibulin-3 with ab256457 at 1/500 dilution, followed by ab256457 anti-EFEMP1 Fibulin-3 ab150077 AlexaFluor®488 Goat anti-Rabbit secondary antibody at 1/1000 dilution (Green). Confocal image showing cytoplasmic staining in HUVEC cell line is observed. ab195889 Anti-alpha Tubulin antibody [DM1A] - Microtubule Marker (Alexa Fluor® 594) was used to counterstain tubulin at 1/200 dilution (Red). The Nuclear counterstain was DAPI (Blue).

Secondary antibody only control : Secondary antibody is ab150077 AlexaFluor®488 Goat anti-Rabbit secondary at 1/1000 dilution.

Flow Cytometry (Intracellular) - Anti-EFEMP1/Fibulin-3 antibody [EPR22855-4] (AB256457)
  • Flow Cyt (Intra)

Unknown

Flow Cytometry (Intracellular) - Anti-EFEMP1/Fibulin-3 antibody [EPR22855-4] (AB256457)

Intracellular flow cytometric analysis of 4% paraformaldehyde fixed, 90% methanol permeabilized HUVEC (human umbilical vein endothelial cell) cells labelling EFEMP1/Fibulin-3 with ab256457 at 1/500 dilution (Red) compared with a Rabbit monoclonal IgG (ab172730) isotype control (Black) and an unlabelled control (cells without incubation with primary antibody and secondary antibody) (Blue). A Goat anti rabbit IgG (Alexa Fluor® 488, ab150077) at 1/2000 dilution was used as the secondary antibody.

Immunohistochemistry (Formalin/PFA-fixed paraffin-embedded sections) - Anti-EFEMP1/Fibulin-3 antibody [EPR22855-4] (AB256457)
  • IHC-P

Unknown

Immunohistochemistry (Formalin/PFA-fixed paraffin-embedded sections) - Anti-EFEMP1/Fibulin-3 antibody [EPR22855-4] (AB256457)

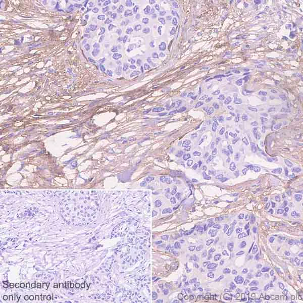
Immunohistochemical analysis of paraffin-embedded Human colon carcinoma tissue labeling EFEMP1/Fibulin-3 with ab256457 at 1/500 dilution (1.12 ug/ml) followed by a ready to use Rabbit specific IHC polymer detection kit HRP/DAB (ab209101). Positive staining on the stromal cells of human colon carcinoma. Heat mediated antigen retrieval with Tris-EDTA buffer (pH 9.0, epitope retrieval solution 2) for 20 mins. The section was incubated with ab256457 for 15 mins at RT. The immunostaining was performed on a Leica Biosystems BOND® RX instrument. Counterstained with Hematoxylin.

Secondary antibody only control/ Secondary antibody is a ready to use Rabbit specific IHC polymer detection kit HRP/DAB (ab209101).

Immunohistochemistry (Formalin/PFA-fixed paraffin-embedded sections) - Anti-EFEMP1/Fibulin-3 antibody [EPR22855-4] (AB256457)
  • IHC-P

Unknown

Immunohistochemistry (Formalin/PFA-fixed paraffin-embedded sections) - Anti-EFEMP1/Fibulin-3 antibody [EPR22855-4] (AB256457)

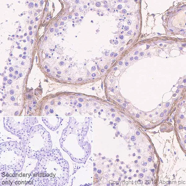
Immunohistochemical analysis of paraffin-embedded Human testis tissue labeling EFEMP1/Fibulin-3 with ab256457 at 1/500 dilution (1.12 ug/ml) followed by a ready to use Rabbit specific IHC polymer detection kit HRP/DAB (ab209101). Heat mediated antigen retrieval with Tris-EDTA buffer (pH 9.0, epitope retrieval solution 2) for 20 mins. Positive staining on the basement membrane in human testes. The section was incubated with ab256457 for 15 mins at RT. The immunostaining was performed on a Leica Biosystems BOND® RX instrument. Counterstained with Hematoxylin.

Secondary antibody only control/ Secondary antibody is a ready to use Rabbit specific IHC polymer detection kit HRP/DAB (ab209101).

Immunohistochemistry (Formalin/PFA-fixed paraffin-embedded sections) - Anti-EFEMP1/Fibulin-3 antibody [EPR22855-4] (AB256457)
  • IHC-P

Unknown

Immunohistochemistry (Formalin/PFA-fixed paraffin-embedded sections) - Anti-EFEMP1/Fibulin-3 antibody [EPR22855-4] (AB256457)

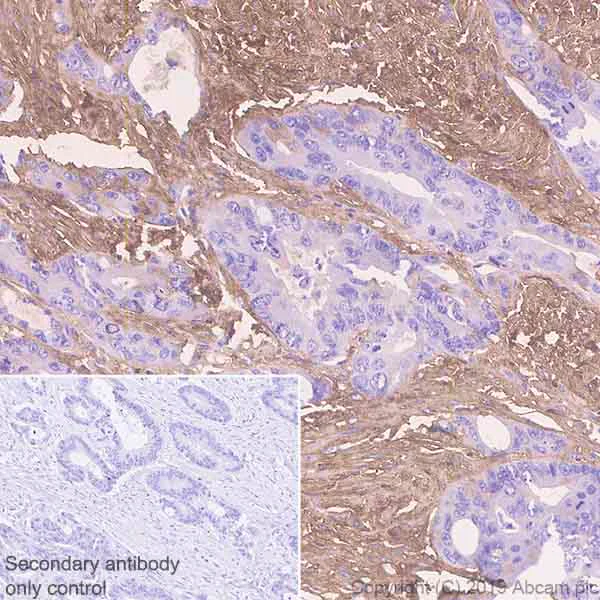
Immunohistochemical analysis of paraffin-embedded Human breast carcinoma tissue labeling EFEMP1/Fibulin-3 with ab256457 at 1/500 dilution (1.12 ug/ml) followed by a ready to use Rabbit specific IHC polymer detection kit HRP/DAB (ab209101). Positive staining on the stroma cells of human breast carcinoma (PMID/ 19115204). The section was incubated with ab256457 for 15 mins at RT. Heat mediated antigen retrieval with Tris-EDTA buffer (pH 9.0, epitope retrieval solution 2) for 20 mins. The immunostaining was performed on a Leica Biosystems BOND® RX instrument. Counterstained with Hematoxylin.

Secondary antibody only control : Secondary antibody is a ready to use Rabbit specific IHC polymer detection kit HRP/DAB (ab209101).

Immunoprecipitation - Anti-EFEMP1/Fibulin-3 antibody [EPR22855-4] (AB256457)
  • IP

Unknown

Immunoprecipitation - Anti-EFEMP1/Fibulin-3 antibody [EPR22855-4] (AB256457)

EFEMP1/Fibulin-3 was immunoprecipitated from 0.35 mg HUVEC (human umbilical vein endothelial cell) whole cell lysate with ab256457 at 1/30 dilution (2ug in 0.35mg lysates). Western blot was performed on the immunoprecipitate using ab256457 at 1/1000 dilution. VeriBlot for IP Detection Reagent (HRP) (ab131366) was used at 1/5000 dilution.

Lane 1 : HUVEC (human umbilical vein endothelial cell) whole cell lysate 10ug

Lane 2 : ab256457 IP in HUVEC whole cell lysate

Lane 3 : Rabbit monoclonal IgG (ab172730) instead of ab256457 in HUVEC whole cell lysate

Blocking and dilution buffer and concentration/ 5% NFDM/TBST.

Exposure time : 1 second

All lanes:

Immunoprecipitation - Anti-EFEMP1/Fibulin-3 antibody [EPR22855-4] (ab256457)

Predicted band size: 54 kDa

false

Western blot - Anti-EFEMP1/Fibulin-3 antibody [EPR22855-4] (AB256457)
  • WB

Lab

Western blot - Anti-EFEMP1/Fibulin-3 antibody [EPR22855-4] (AB256457)

The molecular weight observed is consistent with what has been described in the literature (PMID : 28740094).

Blocking/Diluting buffer and concentration : 5% NFDM/TBST.

Exposure Time : Lane 1 : 103 seconds; Lane 2 : 8 seconds; Lane 3 : 15 seconds; Lane 4 : 48 seconds.

All lanes:

Western blot - Anti-EFEMP1/Fibulin-3 antibody [EPR22855-4] (ab256457) at 1/1000 dilution

Lane 1:

HUVEC (human umbilical vein endothelial cell) whole cell lysate at 20 µg

Lane 2:

Human eye tissue lysate at 20 µg

Lane 3:

Human ovary lysate at 20 µg

Lane 4:

Human skeletal muscle lysate at 20 µg

Secondary

All lanes:

Western blot - VeriBlot for IP Detection Reagent (HRP) (<a href='/en-us/products/reagents/veriblot-for-ip-detection-reagent-hrp-ab131366'>ab131366</a>) at 1/1000 dilution

Predicted band size: 54 kDa

Observed band size: 55 kDa

false

  • Carrier free

    Anti-EFEMP1/Fibulin-3 antibody [EPR22855-4] - BSA and Azide free

  • Carrier free

    Anti-EFEMP1/Fibulin-3 antibody [EPR22855-4] - BSA and Azide free (Capture)

Key facts

Host species

Rabbit

Clonality

Monoclonal

Clone number

EPR22855-4

Isotype

IgG

Carrier free

No

Reacts with

Human

Applications

IHC-P, ICC/IF, WB, Flow Cyt (Intra), IP

applications

Immunogen

The exact immunogen used to generate this antibody is proprietary information.

Reactivity data

{ "title": "Reactivity Data", "filters": { "stats": ["", "Species", "Dilution Info", "Notes"], "tabs": { "all-applications": {"fullname" : "All Applications", "shortname": "All Applications"}, "IP" : {"fullname" : "Immunoprecipitation", "shortname":"IP"}, "WB" : {"fullname" : "Western blot", "shortname":"WB"}, "IHCP" : {"fullname" : "Immunohistochemistry (Formalin/PFA-fixed paraffin-embedded sections)", "shortname":"IHC-P"}, "ICCIF" : {"fullname" : "Immunocytochemistry/ Immunofluorescence", "shortname":"ICC/IF"}, "FlowCytIntra" : {"fullname" : "Flow Cytometry (Intracellular)", "shortname":"Flow Cyt (Intra)"} }, "product-promise": { "all": "all", "testedAndGuaranteed": "tested", "guaranteed": "expected", "predicted": "predicted", "notRecommended": "not-recommended" } }, "values": { "Human": { "IP-species-checked": "testedAndGuaranteed", "IP-species-dilution-info": "1/30", "IP-species-notes": "<p></p>", "WB-species-checked": "testedAndGuaranteed", "WB-species-dilution-info": "1/1000", "WB-species-notes": "<p></p>", "IHCP-species-checked": "testedAndGuaranteed", "IHCP-species-dilution-info": "1/500", "IHCP-species-notes": "<p></p>", "ICCIF-species-checked": "testedAndGuaranteed", "ICCIF-species-dilution-info": "1/500", "ICCIF-species-notes": "<p></p>", "FlowCytIntra-species-checked": "testedAndGuaranteed", "FlowCytIntra-species-dilution-info": "1/500", "FlowCytIntra-species-notes": "<p></p>" } } }

Product details

Patented technology
Our RabMAb® technology is a patented hybridoma-based technology for making rabbit monoclonal antibodies. For details on our patents, please refer to RabMAb® patents.

What are the advantages of a recombinant monoclonal antibody?
This product is a recombinant monoclonal antibody, which offers several advantages including:

  • - High batch-to-batch consistency and reproducibility
  • - Improved sensitivity and specificity
  • - Long-term security of supply
  • - Animal-free batch production

For more information, read more on recombinant antibodies.

Properties and storage information

Form
Liquid
Purification technique
Affinity purification Protein A
Storage buffer
pH: 7.2 - 7.4 Preservative: 0.01% Sodium azide Constituents: PBS, 40% Glycerol (glycerin, glycerine), 0.05% BSA
Shipped at conditions
Blue Ice
Appropriate short-term storage duration
1-2 weeks
Appropriate short-term storage conditions
+4°C
Appropriate long-term storage conditions
-20°C
Aliquoting information
Upon delivery aliquot
Storage information
Avoid freeze / thaw cycle

Supplementary information

This supplementary information is collated from multiple sources and compiled automatically.

EFEMP1 also known as Fibulin-3 is a member of the fibulin family involved in extracellular matrix (ECM) organization. The protein's mass is approximately 55 kDa. It is expressed in various tissues but researchers find it most common in the eye lung and arterial walls. As a secreted glycoprotein Fibulin-3 plays a vital role in maintaining structural integrity and elasticity in connective tissues.
Biological function summary

EFEMP1/Fibulin-3 participates in ECM modulation and cell signaling. It interacts with other ECM components such as fibronectin and collagen contributing to structural assembly and stability. Although not prominently part of multi-protein complexes Fibulin-3 influences cellular adhesion and migration impacting tissue development and repair mechanisms. Researchers observe its expression during embryogenesis suggesting a role in developmental processes.

Pathways

EFEMP1/Fibulin-3 integrates into matrix-related pathways impacting tissue architecture. It plays a role in the EGF (Epidermal Growth Factor) signaling pathway which is important for various cell survival and proliferation processes. Fibulin-3 exhibits functional relationships with proteins like fibronectin and integrins within these pathways highlighting its importance in mediating cell-matrix interactions and influencing signal transduction cascades.

EFEMP1/Fibulin-3 has notable connections with certain pathologies. Malfunctions in its expression or structure can relate to age-related macular degeneration and various forms of cancer including mesothelioma. In these diseases Fibulin-3 interacts with proteins such as matrix metalloproteinases which degrade extracellular matrix proteins thereby influencing tumor progression and ECM remodeling in affected tissues.

Product protocols

For this product, it's our understanding that no specific protocols are required. You can visit:

Target data

Binds EGFR, the EGF receptor, inducing EGFR autophosphorylation and the activation of downstream signaling pathways. May play a role in cell adhesion and migration. May function as a negative regulator of chondrocyte differentiation. In the olfactory epithelium, it may regulate glial cell migration, differentiation and the ability of glial cells to support neuronal neurite outgrowth.
See full target information EFEMP1

Publications (5)

Recent publications for all applications. Explore the full list and refine your search

CNS neuroscience & therapeutics 30:e70065 PubMed39350328

2024

Comprehensive Proteomic Analysis of Dysferlinopathy Unveiling Molecular Mechanisms and Biomarkers Linked to Pathological Progression.

Applications

Unspecified application

Species

Unspecified reactive species

Di Wang,Xin-Yi Liu,Qi-Fang He,Fu-Ze Zheng,Long Chen,Ying Zheng,Ming-Hui Zeng,Yu-Hua Lin,Xin Lin,Hai-Zhu Chen,Min-Ting Lin,Ning Wang,Zhi-Qiang Wang,Feng Lin

Frontiers in pharmacology 15:1394241 PubMed38835670

2024

Protein and metabolic profiles of tyrosine kinase inhibitors co-resistant liver cancer cells.

Applications

Unspecified application

Species

Unspecified reactive species

Zengbin Wang,Linqing Wu,Yu Zhou,Zhong Chen,Tao Zhang,Hong Wei,Zhihong Wang

Journal of experimental & clinical cancer research : CR 42:328 PubMed38031171

2023

Unveiling the role of osteosarcoma-derived secretome in premetastatic lung remodelling.

Applications

Unspecified application

Species

Unspecified reactive species

Sara F F Almeida,Liliana Santos,Gabriela Sampaio-Ribeiro,Hugo R S Ferreira,Nuno Lima,Rui Caetano,Mónica Abreu,Mónica Zuzarte,Ana Sofia Ribeiro,Artur Paiva,Tânia Martins-Marques,Paulo Teixeira,Rui Almeida,José Manuel Casanova,Henrique Girão,Antero J Abrunhosa,Célia M Gomes

Journal of bone oncology 37:100458 PubMed36388640

2022

EFEMP1 binds to STEAP1 to promote osteosarcoma proliferation and invasion via the Wnt/β-catenin and TGF-β/Smad2/3 signal pathways.

Applications

Unspecified application

Species

Unspecified reactive species

Dong Zhang,Shasha Han,Xin Pan,Hao Li,Hua Zhao,Xianlei Gao,Songgang Wang

BioMed research international 2022:4809415 PubMed35127942

2022

Upregulated Fibulin-1 Increased Endometrial Stromal Cell Viability and Migration by Repressing EFEMP1-Dependent Ferroptosis in Endometriosis.

Applications

Unspecified application

Species

Unspecified reactive species

Yiting Wan,Yanhua Song,Jing Chen,Jueying Kong,CanCan Gu,Jiami Huang,Ling Zuo
View all publications

Product promise

We are committed to supporting your work with high-quality reagents, and we're here for you every step of the way. In the unlikely event that one of our products does not perform as expected, you're protected by our Product Promise.
For full details, please see our Terms & Conditions

Please note: All products are 'FOR RESEARCH USE ONLY. NOT FOR USE IN DIAGNOSTIC OR THERAPEUTIC PROCEDURES'.

For licensing inquiries, please contact partnerships@abcam.com