JavaScript is disabled in your browser. Please enable JavaScript to view this website.
AB259998

Anti-EFEMP1/Fibulin-3 antibody [EPR22855-4] - BSA and Azide free

Be the first to review this product! Submit a review

|

(1 Publication)

Rabbit Recombinant Monoclonal EFEMP1/Fibulin-3 antibody. Carrier free. Suitable for IP, WB, IHC-P, ICC/IF, Flow Cyt (Intra) and reacts with Human samples. Cited in 1 publication.

View Alternative Names

FBLN3, FBNL, EFEMP1, EGF-containing fibulin-like extracellular matrix protein 1, Extracellular protein S1-5, Fibrillin-like protein, Fibulin-3, FIBL-3

7 Images
Immunocytochemistry/ Immunofluorescence - Anti-EFEMP1/Fibulin-3 antibody [EPR22855-4] - BSA and Azide free (AB259998)
  • ICC/IF

Unknown

Immunocytochemistry/ Immunofluorescence - Anti-EFEMP1/Fibulin-3 antibody [EPR22855-4] - BSA and Azide free (AB259998)

Immunofluorescent analysis of 4% Paraformaldehyde-fixed, 0.1% TritonX-100 permeabilized HUVEC (human umbilical vein endothelial cell) cells labelling EFEMP1/Fibulin-3 with ab256457 at 1/500 dilution, followed by ab256457 anti-EFEMP1 Fibulin-3 ab150077 AlexaFluor®488 Goat anti-Rabbit secondary antibody at 1/1000 dilution (Green). Confocal image showing cytoplasmic staining in HUVEC cell line is observed. ab195889 Anti-alpha Tubulin antibody [DM1A] - Microtubule Marker (Alexa Fluor® 594) was used to counterstain tubulin at 1/200 dilution (Red). The Nuclear counterstain was DAPI (Blue).

Secondary antibody only control : Secondary antibody is ab150077 AlexaFluor®488 Goat anti-Rabbit secondary at 1/1000 dilution.

This data was developed using the same antibody clone in a different buffer formulation containing PBS, BSA, glycerol, and sodium azide (ab256457).

Flow Cytometry (Intracellular) - Anti-EFEMP1/Fibulin-3 antibody [EPR22855-4] - BSA and Azide free (AB259998)
  • Flow Cyt (Intra)

Unknown

Flow Cytometry (Intracellular) - Anti-EFEMP1/Fibulin-3 antibody [EPR22855-4] - BSA and Azide free (AB259998)

Intracellular flow cytometric analysis of 4% paraformaldehyde fixed, 90% methanol permeabilized HUVEC (human umbilical vein endothelial cell) cells labelling EFEMP1/Fibulin-3 with ab256457 at 1/500 dilution (Red) compared with a Rabbit monoclonal IgG (ab172730) isotype control (Black) and an unlabelled control (cells without incubation with primary antibody and secondary antibody) (Blue). A Goat anti rabbit IgG (Alexa Fluor® 488, ab150077) at 1/2000 dilution was used as the secondary antibody.

This data was developed using the same antibody clone in a different buffer formulation containing PBS, BSA, glycerol, and sodium azide (ab256457).

Immunohistochemistry (Formalin/PFA-fixed paraffin-embedded sections) - Anti-EFEMP1/Fibulin-3 antibody [EPR22855-4] - BSA and Azide free (AB259998)
  • IHC-P

Unknown

Immunohistochemistry (Formalin/PFA-fixed paraffin-embedded sections) - Anti-EFEMP1/Fibulin-3 antibody [EPR22855-4] - BSA and Azide free (AB259998)

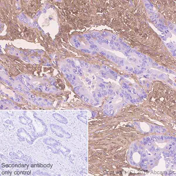
Immunohistochemical analysis of paraffin-embedded Human colon carcinoma tissue labeling EFEMP1/Fibulin-3 with ab256457 at 1/500 dilution (1.12 ug/ml) followed by a ready to use Rabbit specific IHC polymer detection kit HRP/DAB (ab209101). Positive staining on the stromal cells of human colon carcinoma. Heat mediated antigen retrieval with Tris-EDTA buffer (pH 9.0, epitope retrieval solution 2) for 20 mins. The section was incubated with ab256457 for 15 mins at RT. The immunostaining was performed on a Leica Biosystems BOND® RX instrument. Counterstained with Hematoxylin.

Secondary antibody only control/ Secondary antibody is a ready to use Rabbit specific IHC polymer detection kit HRP/DAB (ab209101).

This data was developed using the same antibody clone in a different buffer formulation containing PBS, BSA, glycerol, and sodium azide (ab256457).

Immunohistochemistry (Formalin/PFA-fixed paraffin-embedded sections) - Anti-EFEMP1/Fibulin-3 antibody [EPR22855-4] - BSA and Azide free (AB259998)
  • IHC-P

Unknown

Immunohistochemistry (Formalin/PFA-fixed paraffin-embedded sections) - Anti-EFEMP1/Fibulin-3 antibody [EPR22855-4] - BSA and Azide free (AB259998)

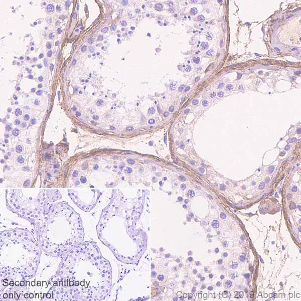
Immunohistochemical analysis of paraffin-embedded Human testis tissue labeling EFEMP1/Fibulin-3 with ab256457 at 1/500 dilution (1.12 ug/ml) followed by a ready to use Rabbit specific IHC polymer detection kit HRP/DAB (ab209101). Heat mediated antigen retrieval with Tris-EDTA buffer (pH 9.0, epitope retrieval solution 2) for 20 mins. Positive staining on the basement membrane in human testes. The section was incubated with ab256457 for 15 mins at RT. The immunostaining was performed on a Leica Biosystems BOND® RX instrument. Counterstained with Hematoxylin.

Secondary antibody only control/ Secondary antibody is a ready to use Rabbit specific IHC polymer detection kit HRP/DAB (ab209101).

This data was developed using the same antibody clone in a different buffer formulation containing PBS, BSA, glycerol, and sodium azide (ab256457).

Immunohistochemistry (Formalin/PFA-fixed paraffin-embedded sections) - Anti-EFEMP1/Fibulin-3 antibody [EPR22855-4] - BSA and Azide free (AB259998)
  • IHC-P

Unknown

Immunohistochemistry (Formalin/PFA-fixed paraffin-embedded sections) - Anti-EFEMP1/Fibulin-3 antibody [EPR22855-4] - BSA and Azide free (AB259998)

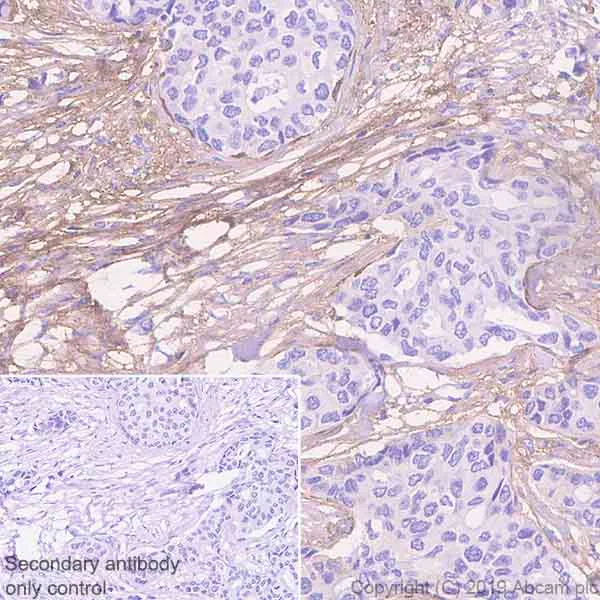
Immunohistochemical analysis of paraffin-embedded Human breast carcinoma tissue labeling EFEMP1/Fibulin-3 with ab256457 at 1/500 dilution (1.12 ug/ml) followed by a ready to use Rabbit specific IHC polymer detection kit HRP/DAB (ab209101). Positive staining on the stroma cells of human breast carcinoma (PMID/ 19115204). The section was incubated with ab256457 for 15 mins at RT. Heat mediated antigen retrieval with Tris-EDTA buffer (pH 9.0, epitope retrieval solution 2) for 20 mins. The immunostaining was performed on a Leica Biosystems BOND® RX instrument. Counterstained with Hematoxylin.

Secondary antibody only control : Secondary antibody is a ready to use Rabbit specific IHC polymer detection kit HRP/DAB (ab209101).

This data was developed using the same antibody clone in a different buffer formulation containing PBS, BSA, glycerol, and sodium azide (ab256457).

Immunohistochemistry (Formalin/PFA-fixed paraffin-embedded sections) - Anti-EFEMP1/Fibulin-3 antibody [EPR22855-4] - BSA and Azide free (AB259998)
  • IHC-P

Unknown

Immunohistochemistry (Formalin/PFA-fixed paraffin-embedded sections) - Anti-EFEMP1/Fibulin-3 antibody [EPR22855-4] - BSA and Azide free (AB259998)

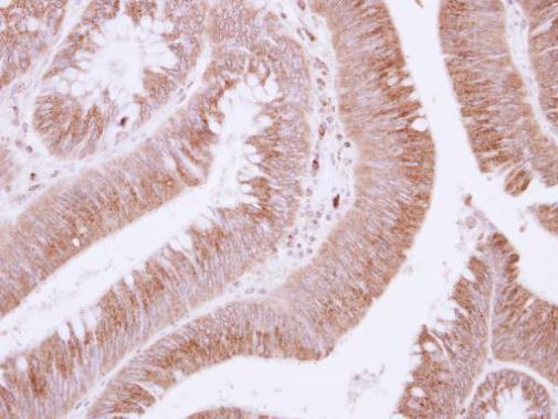
Immunohistochemical analysis of paraffin-embedded Human colon tissue labeling EFEMP1/Fibulin-3 with ab256457 at 1/500 dilution (1.12 ug/ml) followed by a ready to use Rabbit specific IHC polymer detection kit HRP/DAB (ab209101). Positive staining on the stromal cells of human colon. Heat mediated antigen retrieval with Tris-EDTA buffer (pH 9.0, epitope retrieval solution 2) for 20 mins. The section was incubated with ab256457 for 15 mins at RT. The immunostaining was performed on a Leica Biosystems BOND® RX instrument. Counterstained with Hematoxylin.

Secondary antibody only control/ Secondary antibody is a ready to use Rabbit specific IHC polymer detection kit HRP/DAB (ab209101).

This data was developed using the same antibody clone in a different buffer formulation containing PBS, BSA, glycerol, and sodium azide (ab256457).

Immunoprecipitation - Anti-EFEMP1/Fibulin-3 antibody [EPR22855-4] - BSA and Azide free (AB259998)
  • IP

Unknown

Immunoprecipitation - Anti-EFEMP1/Fibulin-3 antibody [EPR22855-4] - BSA and Azide free (AB259998)

EFEMP1/Fibulin-3 was immunoprecipitated from 0.35 mg HUVEC (human umbilical vein endothelial cell) whole cell lysate with ab256457 at 1/30 dilution (2ug in 0.35mg lysates). Western blot was performed on the immunoprecipitate using ab256457 at 1/1000 dilution. VeriBlot for IP Detection Reagent (HRP) (ab131366) was used at 1/5000 dilution.

Lane 1 : HUVEC (human umbilical vein endothelial cell) whole cell lysate 10ug

Lane 2 : ab256457 IP in HUVEC whole cell lysate

Lane 3 : Rabbit monoclonal IgG (ab172730) instead of ab256457 in HUVEC whole cell lysate

Blocking and dilution buffer and concentration/ 5% NFDM/TBST.

Exposure time : 1 second.

This data was developed using the same antibody clone in a different buffer formulation containing PBS, BSA, glycerol, and sodium azide (ab256457).

All lanes:

Immunoprecipitation - Anti-EFEMP1/Fibulin-3 antibody [EPR22855-4] (<a href='/en-us/products/primary-antibodies/efemp1-fibulin-3-antibody-epr22855-4-ab256457'>ab256457</a>)

Predicted band size: 54 kDa

false

Key facts

Host species

Rabbit

Clonality

Monoclonal

Clone number

EPR22855-4

Isotype

IgG

Carrier free

Yes

Reacts with

Human

Applications

ICC/IF, WB, Flow Cyt (Intra), IHC-P, IP

applications

Immunogen

The exact immunogen used to generate this antibody is proprietary information.

Reactivity data

{ "title": "Reactivity Data", "filters": { "stats": ["", "Species", "Dilution Info", "Notes"], "tabs": { "all-applications": {"fullname" : "All Applications", "shortname": "All Applications"}, "IP" : {"fullname" : "Immunoprecipitation", "shortname":"IP"}, "WB" : {"fullname" : "Western blot", "shortname":"WB"}, "IHCP" : {"fullname" : "Immunohistochemistry (Formalin/PFA-fixed paraffin-embedded sections)", "shortname":"IHC-P"}, "ICCIF" : {"fullname" : "Immunocytochemistry/ Immunofluorescence", "shortname":"ICC/IF"}, "FlowCytIntra" : {"fullname" : "Flow Cytometry (Intracellular)", "shortname":"Flow Cyt (Intra)"} }, "product-promise": { "all": "all", "testedAndGuaranteed": "tested", "guaranteed": "expected", "predicted": "predicted", "notRecommended": "not-recommended" } }, "values": { "Human": { "IP-species-checked": "testedAndGuaranteed", "IP-species-dilution-info": "", "IP-species-notes": "<p></p>", "WB-species-checked": "guaranteed", "WB-species-dilution-info": "", "WB-species-notes": "<p></p>", "IHCP-species-checked": "testedAndGuaranteed", "IHCP-species-dilution-info": "", "IHCP-species-notes": "<p></p>", "ICCIF-species-checked": "testedAndGuaranteed", "ICCIF-species-dilution-info": "", "ICCIF-species-notes": "<p></p>", "FlowCytIntra-species-checked": "testedAndGuaranteed", "FlowCytIntra-species-dilution-info": "", "FlowCytIntra-species-notes": "<p></p>" } } }

Product details

ab259998 is the carrier-free version of ab256457.

Patented technology
Our RabMAb® technology is a patented hybridoma-based technology for making rabbit monoclonal antibodies. For details on our patents, please refer to RabMAb® patents.

What are the advantages of a recombinant monoclonal antibody?
This product is a recombinant monoclonal antibody, which offers several advantages including:

  • - High batch-to-batch consistency and reproducibility
  • - Improved sensitivity and specificity
  • - Long-term security of supply
  • - Animal-free batch production

For more information, read more on recombinant antibodies.

Conjugation ready
Our carrier-free antibodies are typically supplied in a PBS-only formulation, purified and free of BSA, sodium azide and glycerol. This conjugation-ready format is designed for use with fluorochromes, metal isotopes, oligonucleotides, and enzymes, which makes them ideal for antibody labelling, functional and cell-based assays, flow-based assays (e.g. mass cytometry) and Multiplex Imaging applications.

Use our conjugation kits for antibody conjugates that are ready-to-use in as little as 20 minutes with 1 minute hands-on-time and 100% antibody recovery: available for fluorescent dyes, HRP, biotin and gold.

Compatibility
This product is compatible with the Maxpar® Antibody Labeling Kit from Fluidigm, without the need for antibody preparation. Maxpar® is a trademark of Fluidigm Canada Inc.

Properties and storage information

Form
Liquid
Purification technique
Affinity purification Protein A
Storage buffer
pH: 7.2 - 7.4 Constituents: PBS
Shipped at conditions
Blue Ice
Appropriate short-term storage conditions
+4°C
Appropriate long-term storage conditions
+4°C
Storage information
Do Not Freeze

Supplementary information

This supplementary information is collated from multiple sources and compiled automatically.

EFEMP1 also known as Fibulin-3 is a member of the fibulin family involved in extracellular matrix (ECM) organization. The protein's mass is approximately 55 kDa. It is expressed in various tissues but researchers find it most common in the eye lung and arterial walls. As a secreted glycoprotein Fibulin-3 plays a vital role in maintaining structural integrity and elasticity in connective tissues.
Biological function summary

EFEMP1/Fibulin-3 participates in ECM modulation and cell signaling. It interacts with other ECM components such as fibronectin and collagen contributing to structural assembly and stability. Although not prominently part of multi-protein complexes Fibulin-3 influences cellular adhesion and migration impacting tissue development and repair mechanisms. Researchers observe its expression during embryogenesis suggesting a role in developmental processes.

Pathways

EFEMP1/Fibulin-3 integrates into matrix-related pathways impacting tissue architecture. It plays a role in the EGF (Epidermal Growth Factor) signaling pathway which is important for various cell survival and proliferation processes. Fibulin-3 exhibits functional relationships with proteins like fibronectin and integrins within these pathways highlighting its importance in mediating cell-matrix interactions and influencing signal transduction cascades.

EFEMP1/Fibulin-3 has notable connections with certain pathologies. Malfunctions in its expression or structure can relate to age-related macular degeneration and various forms of cancer including mesothelioma. In these diseases Fibulin-3 interacts with proteins such as matrix metalloproteinases which degrade extracellular matrix proteins thereby influencing tumor progression and ECM remodeling in affected tissues.

Product protocols

For this product, it's our understanding that no specific protocols are required. You can visit:

Target data

Binds EGFR, the EGF receptor, inducing EGFR autophosphorylation and the activation of downstream signaling pathways. May play a role in cell adhesion and migration. May function as a negative regulator of chondrocyte differentiation. In the olfactory epithelium, it may regulate glial cell migration, differentiation and the ability of glial cells to support neuronal neurite outgrowth.
See full target information EFEMP1

Publications (1)

Recent publications for all applications. Explore the full list and refine your search

Cellular and molecular gastroenterology and hepatology 12:395-425 PubMed33676046

2021

Helicobacter pylori-Induced Rev-erbα Fosters Gastric Bacteria Colonization by Impairing Host Innate and Adaptive Defense.

Applications

Unspecified application

Species

Unspecified reactive species

Fang-Yuan Mao,Yi-Pin Lv,Chuan-Jie Hao,Yong-Sheng Teng,Yu-Gang Liu,Ping Cheng,Shi-Ming Yang,Weisan Chen,Tao Liu,Quan-Ming Zou,Rui Xie,Jing-Yu Xu,Yuan Zhuang
View all publications

Product promise

We are committed to supporting your work with high-quality reagents, and we're here for you every step of the way. In the unlikely event that one of our products does not perform as expected, you're protected by our Product Promise.
For full details, please see our Terms & Conditions

Please note: All products are 'FOR RESEARCH USE ONLY. NOT FOR USE IN DIAGNOSTIC OR THERAPEUTIC PROCEDURES'.

For licensing inquiries, please contact partnerships@abcam.com