JavaScript is disabled in your browser. Please enable JavaScript to view this website.
AB119119

Anti-EFHD2/SWS1 antibody

Be the first to review this product! Submit a review

|

(1 Publication)

Rabbit Polyclonal EFHD2/SWS1 antibody. Suitable for IHC-P and reacts with Human samples. Cited in 1 publication. Immunogen corresponding to Synthetic Peptide within Human EFHD2 conjugated to Keyhole Limpet Haemocyanin.

View Alternative Names

SWS1, EFHD2, EF-hand domain-containing protein D2, Swiprosin-1

2 Images
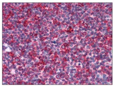
Immunohistochemistry (Formalin/PFA-fixed paraffin-embedded sections) - Anti-EFHD2/SWS1 antibody (AB119119)
  • IHC-P

Unknown

Immunohistochemistry (Formalin/PFA-fixed paraffin-embedded sections) - Anti-EFHD2/SWS1 antibody (AB119119)

Immunohistochemistry on Formalin-Fixed, Paraffin-Embedded Human Thymus tissue using ab119119 at 5 µg/ml.

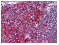
Immunohistochemistry (Formalin/PFA-fixed paraffin-embedded sections) - Anti-EFHD2/SWS1 antibody (AB119119)
  • IHC-P

Unknown

Immunohistochemistry (Formalin/PFA-fixed paraffin-embedded sections) - Anti-EFHD2/SWS1 antibody (AB119119)

Immunohistochemistry on Formalin-Fixed, Paraffin-Embedded Human Tonsil tissue using ab119119 at 5 µg/ml.

Key facts

Host species

Rabbit

Clonality

Polyclonal

Isotype

IgG

Carrier free

No

Reacts with

Human

Applications

IHC-P

applications

Immunogen

Synthetic Peptide within Human EFHD2 conjugated to Keyhole Limpet Haemocyanin. The exact immunogen used to generate this antibody is proprietary information.

Q96C19

Reactivity data

{ "title": "Reactivity Data", "filters": { "stats": ["", "Species", "Dilution Info", "Notes"], "tabs": { "all-applications": {"fullname" : "All Applications", "shortname": "All Applications"}, "IHCP" : {"fullname" : "Immunohistochemistry (Formalin/PFA-fixed paraffin-embedded sections)", "shortname":"IHC-P"} }, "product-promise": { "all": "all", "testedAndGuaranteed": "tested", "guaranteed": "expected", "predicted": "predicted", "notRecommended": "not-recommended" } }, "values": { "Human": { "IHCP-species-checked": "testedAndGuaranteed", "IHCP-species-dilution-info": "5 µg/mL", "IHCP-species-notes": "<p></p>" }, "Mouse": { "IHCP-species-checked": "predicted", "IHCP-species-dilution-info": "", "IHCP-species-notes": "" }, "Rat": { "IHCP-species-checked": "predicted", "IHCP-species-dilution-info": "", "IHCP-species-notes": "" } } }

Properties and storage information

Form
Liquid
Purification technique
Affinity purification Immunogen
Storage buffer
pH: 7.4 Preservative: 0.02% Sodium azide Constituents: PBS
Shipped at conditions
Blue Ice
Appropriate short-term storage duration
1-2 weeks
Appropriate short-term storage conditions
+4°C
Appropriate long-term storage conditions
-20°C
Storage information
Avoid freeze / thaw cycle

Supplementary information

This supplementary information is collated from multiple sources and compiled automatically.

EFHD2 also known as SWS1 is a calcium-binding protein with a mass of approximately 25 kilodaltons. It has an EF-hand motif that facilitates interaction with calcium ions playing a role in actin cytoskeleton dynamics. EFHD2 expresses in several tissues particularly in the brain immune cells and certain cancer cell lines. Its presence in these tissues suggests diverse roles ranging from neurotransmission to immune response modulation.
Biological function summary

This protein participates in cell communication and signaling. It serves an important function in various cellular processes and is a component of the neuronal signalosome complex. EFHD2 interacts with actin filaments and influences cell morphology and migration especially in neurons. It also modulates neuronal plasticity affecting learning and memory processes by impacting synaptic activity and stability.

Pathways

The protein EFHD2 is involved in the calcium signaling pathway which is important for cellular responses and adaptations to external signals. It connects with proteins like CAMKII and calcineurin in this pathway modulating their activity. EFHD2 also participates in the immune signaling cascade partnering with proteins such as SLP-76 and VAV to regulate immune cell activation and function.

EFHD2 has links to neurodegenerative diseases like Alzheimer's and immune-related conditions such as rheumatoid arthritis. In Alzheimer's disease modifications in EFHD2 influence tau protein dynamics contributing to neurofibrillary tangle formation. The protein's dysregulation in rheumatoid arthritis affects NF-kB signaling altering the inflammation response. Overall EFHD2's activity and interactions with other proteins are significant in understanding these disorders' pathophysiology.

Product protocols

For this product, it's our understanding that no specific protocols are required. You can visit:

Target data

May regulate B-cell receptor (BCR)-induced immature and primary B-cell apoptosis. Plays a role as negative regulator of the canonical NF-kappa-B-activating branch. Controls spontaneous apoptosis through the regulation of BCL2L1 abundance.
See full target information EFHD2

Publications (1)

Recent publications for all applications. Explore the full list and refine your search

Scientific reports 7:14617 PubMed29097801

2017

EFHD2 promotes epithelial-to-mesenchymal transition and correlates with postsurgical recurrence of stage I lung adenocarcinoma.

Applications

Unspecified application

Species

Unspecified reactive species

Chi-Chen Fan,Wei-Chung Cheng,Yu-Chuen Huang,Yuh-Pyng Sher,Nia-Jhen Liou,Yu-Chuan Chien,Pei-Shan Lin,Pei-Syuan Lin,Chung-Hsuan Chen,Wei-Chao Chang
View all publications

Product promise

We are committed to supporting your work with high-quality reagents, and we're here for you every step of the way. In the unlikely event that one of our products does not perform as expected, you're protected by our Product Promise.
For full details, please see our Terms & Conditions

Please note: All products are 'FOR RESEARCH USE ONLY. NOT FOR USE IN DIAGNOSTIC OR THERAPEUTIC PROCEDURES'.

For licensing inquiries, please contact partnerships@abcam.com