JavaScript is disabled in your browser. Please enable JavaScript to view this website.
AB188305

Anti-EFL1 antibody

Be the first to review this product! Submit a review

|

(1 Publication)

Rabbit Polyclonal EFL1 antibody. Suitable for IHC-P and reacts with Human samples. Cited in 1 publication. Immunogen corresponding to Recombinant Fragment Protein within Human EFL1 aa 1-100.

View Alternative Names

EFTUD1, FAM42A, EFL1, Elongation factor-like GTPase 1, Elongation factor Tu GTP-binding domain-containing protein 1, Elongation factor-like 1, Protein FAM42A

3 Images
Immunohistochemistry (Formalin/PFA-fixed paraffin-embedded sections) - Anti-EFL1 antibody (AB188305)
  • IHC-P

Supplier Data

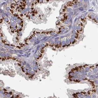
Immunohistochemistry (Formalin/PFA-fixed paraffin-embedded sections) - Anti-EFL1 antibody (AB188305)

Immunohistochemical analysis of paraffin-embedded Human prostate tissue labeling EFL1 with ab188305 at 1/20 dilution.

Immunohistochemistry (Formalin/PFA-fixed paraffin-embedded sections) - Anti-EFL1 antibody (AB188305)
  • IHC-P

Supplier Data

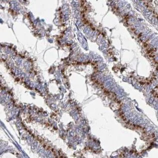
Immunohistochemistry (Formalin/PFA-fixed paraffin-embedded sections) - Anti-EFL1 antibody (AB188305)

Immunohistochemical analysis of paraffin-embedded Human prostate tissue labeling EFL1 with ab188305 at 1/20 dilution.

Immunohistochemistry (Formalin/PFA-fixed paraffin-embedded sections) - Anti-EFL1 antibody (AB188305)
  • IHC-P

Supplier Data

Immunohistochemistry (Formalin/PFA-fixed paraffin-embedded sections) - Anti-EFL1 antibody (AB188305)

Immunohistochemical analysis of paraffin-embedded Human endometrial cancer tissue labeling EFL1 with ab188305 at 1/20 dilution.

Key facts

Host species

Rabbit

Clonality

Polyclonal

Isotype

IgG

Carrier free

No

Reacts with

Human

Applications

IHC-P

applications

Immunogen

Recombinant Fragment Protein within Human EFL1 aa 1-100. The exact immunogen used to generate this antibody is proprietary information.

Q7Z2Z2

Reactivity data

{ "title": "Reactivity Data", "filters": { "stats": ["", "Species", "Dilution Info", "Notes"], "tabs": { "all-applications": {"fullname" : "All Applications", "shortname": "All Applications"}, "IHCP" : {"fullname" : "Immunohistochemistry (Formalin/PFA-fixed paraffin-embedded sections)", "shortname":"IHC-P"} }, "product-promise": { "all": "all", "testedAndGuaranteed": "tested", "guaranteed": "expected", "predicted": "predicted", "notRecommended": "not-recommended" } }, "values": { "Human": { "IHCP-species-checked": "testedAndGuaranteed", "IHCP-species-dilution-info": "1/20 - 1/50", "IHCP-species-notes": "<p></p> Perform heat-mediated antigen retrieval with citrate buffer pH 6 before commencing with IHC staining protocol." }, "Mouse": { "IHCP-species-checked": "predicted", "IHCP-species-dilution-info": "", "IHCP-species-notes": "" }, "Rat": { "IHCP-species-checked": "predicted", "IHCP-species-dilution-info": "", "IHCP-species-notes": "" } } }

Properties and storage information

Form
Liquid
Purification technique
Affinity purification Immunogen
Storage buffer
pH: 7.2 Preservative: 0.02% Sodium azide Constituents: PBS, 40% Glycerol (glycerin, glycerine)
Shipped at conditions
Blue Ice
Appropriate short-term storage duration
1-2 weeks
Appropriate short-term storage conditions
+4°C
Appropriate long-term storage conditions
-20°C
Aliquoting information
Upon delivery aliquot
Storage information
Avoid freeze / thaw cycle

Supplementary information

This supplementary information is collated from multiple sources and compiled automatically.

EFL1 also known as elongation factor-like 1 acts as a GTPase involved in ribosomal subunit maturation. The protein has a molecular mass of approximately 143 kDa. It is expressed in the cytoplasm and nucleolus across various tissues. This protein exhibits activity in remodeling the pre-60S ribosomal subunit assisting in proper ribosome assembly. EFL1's mechanical action includes replacing eIF6 from the pre-60S subunit which enables effective translation initiation.
Biological function summary

EFL1 facilitates proper formation and function of ribosomes acting as part of the ribosome biogenesis machinery. It partners with SBDS a known ribosome maturation factor to promote GTPase activity which ensures ribosome readiness for translation. EFL1's role remains central to effective synthesis of proteins by supporting efficient building of functional ribosomes a process vital for normal cellular operation.

Pathways

EFL1 participates in the ribosome biogenesis and translation initiation pathways. Its function links strongly with the SBDS protein coordinating essential functions within the ribosome assembly process. Additionally EFL1 contributes to protein synthesis serving as an important factor to ensure proper ribosome transition into active protein translation cycles. This coordination influences how cells respond and adapt to different metabolic and cellular needs.

EFL1 plays a role in Shwachman-Diamond syndrome alongside the SBDS protein. Mutations affecting EFL1 or its pathway partners can result in impaired ribosome assembly and function contributing to the pathophysiology of this condition. Additionally its involvement in ribosome biogenesis links EFL1 to certain cancer types where disruptions in ribosome function often lead to tumorigenesis. Studies continue to explore these connections highlighting potential therapeutic avenues targeting EFL1’s pathway interactions.

Product protocols

For this product, it's our understanding that no specific protocols are required. You can visit:

Target data

GTPase involved in the biogenesis of the 60S ribosomal subunit and translational activation of ribosomes. Together with SBDS, triggers the GTP-dependent release of EIF6 from 60S pre-ribosomes in the cytoplasm, thereby activating ribosomes for translation competence by allowing 80S ribosome assembly and facilitating EIF6 recycling to the nucleus, where it is required for 60S rRNA processing and nuclear export.
See full target information EFL1

Publications (1)

Recent publications for all applications. Explore the full list and refine your search

Advanced science (Weinheim, Baden-Wurttemberg, Germany) 12:e2406935 PubMed39582289

2024

mA Reader PRRC2A Promotes Colorectal Cancer Progression via CK1ε-Mediated Activation of WNT and YAP Signaling Pathways.

Applications

Unspecified application

Species

Unspecified reactive species

Xi Wu,Shiyang Wang,Yuwei Pan,Mengzhen Li,Manyu Song,Hanfu Zhang,Min Deng,Xu Yang,Jiuzhi Xu,Shuo Zhang,Jinhua Zhang,Fengchao Wang,Maksim V Plikus,Cong Lv,Lu Yu,Zhengquan Yu
View all publications

Product promise

We are committed to supporting your work with high-quality reagents, and we're here for you every step of the way. In the unlikely event that one of our products does not perform as expected, you're protected by our Product Promise.
For full details, please see our Terms & Conditions

Please note: All products are 'FOR RESEARCH USE ONLY. NOT FOR USE IN DIAGNOSTIC OR THERAPEUTIC PROCEDURES'.

For licensing inquiries, please contact partnerships@abcam.com