JavaScript is disabled in your browser. Please enable JavaScript to view this website.
AB72456

Anti-EFTUD2 antibody

5

(1 Review)

|

(8 Publications)

Rabbit Polyclonal EFTUD2 antibody. Suitable for IHC-P, IP, WB and reacts with Mouse, Human samples. Cited in 8 publications. Immunogen corresponding to Synthetic Peptide within Human EFTUD2.

View Alternative Names

KIAA0031, SNRP116, EFTUD2, 116 kDa U5 small nuclear ribonucleoprotein component, Elongation factor Tu GTP-binding domain-containing protein 2, SNU114 homolog, hSNU114, U5-116 kDa

5 Images
Immunohistochemistry (Formalin/PFA-fixed paraffin-embedded sections) - Anti-EFTUD2 antibody (AB72456)
  • IHC-P

Unknown

Immunohistochemistry (Formalin/PFA-fixed paraffin-embedded sections) - Anti-EFTUD2 antibody (AB72456)

IHC image of ab72456 staining in human melanoma formalin fixed paraffin embedded tissue section, performed on a Leica BondTM system using the standard protocol F. The section was pre-treated using heat mediated antigen retrieval with sodium citrate buffer (pH6, epitope retrieval solution 1) for 20 mins. The section was then incubated with ab72456, 1µg/ml, for 15 mins at room temperature and detected using an HRP conjugated compact polymer system. DAB was used as the chromogen. The section was then counterstained with haematoxylin and mounted with DPX.

For other IHC staining systems (automated and non-automated) customers should optimize variable parameters such as antigen retrieval conditions, primary antibody concentration and antibody incubation times.

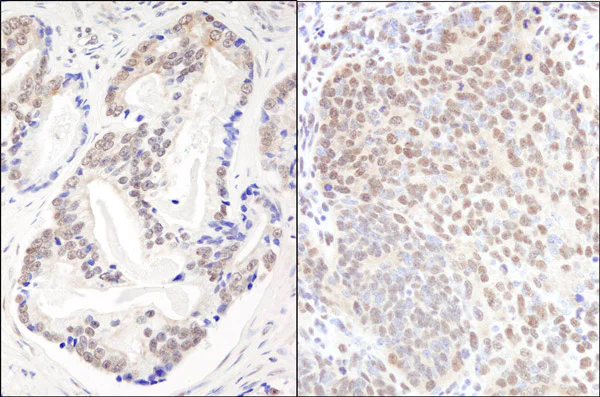
Immunohistochemistry (Formalin/PFA-fixed paraffin-embedded sections) - Anti-EFTUD2 antibody (AB72456)
  • IHC-P

Unknown

Immunohistochemistry (Formalin/PFA-fixed paraffin-embedded sections) - Anti-EFTUD2 antibody (AB72456)

Immunohistochemistry (Formalin/PFA-fixed paraffin-embedded sections) analysis of human prostate carcinoma (left) and mouse teratoma (right) tissues labelling EFTUD2 with ab72456 at 1/200 (1µg/ml). Detection : DAB.

Immunoprecipitation - Anti-EFTUD2 antibody (AB72456)
  • IP

Unknown

Immunoprecipitation - Anti-EFTUD2 antibody (AB72456)

HeLa whole cell lysate (1 mg for IP, 20% of IP loaded), with ab72456 used for IP at 3 µg/mg lysate, and at 0.1 µg/ml for subsequent WB.
Detection : Chemiluminescence with an exposure time of 10 seconds.

All lanes:

Immunoprecipitation - Anti-EFTUD2 antibody (ab72456)

Predicted band size: 109 kDa

false

Western blot - Anti-EFTUD2 antibody (AB72456)
  • WB

Unknown

Western blot - Anti-EFTUD2 antibody (AB72456)

All lanes:

Western blot - Anti-EFTUD2 antibody (ab72456) at 0.04 µg/mL

Lane 1:

HeLa whole cell lysate at 50 µg

Lane 2:

HeLa whole cell lysate at 15 µg

Lane 3:

HeLa whole cell lysate at 5 µg

Lane 4:

293T whole cell lysate at 50 µg

Lane 5:

NIH3T3 whole cell lysate at 50 µg

Predicted band size: 109 kDa

Observed band size: 117 kDa

false

Western blot - Anti-EFTUD2 antibody (AB72456)
  • WB

CiteAb

Western blot - Anti-EFTUD2 antibody (AB72456)

EFTUD2 western blot using anti-EFTUD2 antibody ab72456. Publication image and figure legend from Cloutier, P., Poitras, C., et al., 2017, Nat Commun, PubMed 28561026.

ab72456 was used in this publication in western blot. This may not be the same as the application(s) guaranteed by Abcam. For a full list of applications guaranteed by Abcam for ab72456 please see the product overview.

Affinity purification of R2TP/PFDL subunits reveals interactors.(a) Diagram of the network of high-confidence interactions formed around the R2TP/PFD complex. Solid lines denote interactions with a FDR lower than 0.1 while dashed lines are interactions of relevance in this network with FDR scores higher than 0.1, but lower than 0.2 (Supplementary Data 1). Green-coloured nodes are tagged subunits used in this experiment. (b) CoImmunoprecipitation (CoIP) of FLAG-tagged subunits of the R2TP/PFD-like complex (RPAP3 and URI1) in HeLa S3 cells. Various Western blots were made to detect endogenous or recombinant proteins, as marked to the right. (c) Outline of the splicing cycle with emphasis on the recycling steps of the U5 snRNP and its reintegration within the U4/U6.U5 tri-snRNP (inner loop). (d) Regulation of the TORC1 kinase complex by TSC1–TSC2 (annotated here as ‘TSC'). Guanine nucleotides (GTP, GDP) and phosphate groups (P) are indicated in green or red, depending on whether they have an activating or inhibitory effect on their associated proteins, respectively.

false

Key facts

Host species

Rabbit

Clonality

Polyclonal

Isotype

IgG

Carrier free

No

Reacts with

Mouse, Human

Applications

IP, WB, IHC-P

applications

Immunogen

Synthetic Peptide within Human EFTUD2. The exact immunogen used to generate this antibody is proprietary information.

Q15029

Reactivity data

{ "title": "Reactivity Data", "filters": { "stats": ["", "Species", "Dilution Info", "Notes"], "tabs": { "all-applications": {"fullname" : "All Applications", "shortname": "All Applications"}, "IHCP" : {"fullname" : "Immunohistochemistry (Formalin/PFA-fixed paraffin-embedded sections)", "shortname":"IHC-P"}, "IP" : {"fullname" : "Immunoprecipitation", "shortname":"IP"}, "WB" : {"fullname" : "Western blot", "shortname":"WB"} }, "product-promise": { "all": "all", "testedAndGuaranteed": "tested", "guaranteed": "expected", "predicted": "predicted", "notRecommended": "not-recommended" } }, "values": { "Human": { "IHCP-species-checked": "testedAndGuaranteed", "IHCP-species-dilution-info": "1 µg/mL", "IHCP-species-notes": "<p></p> Perform heat-mediated antigen retrieval with citrate buffer pH 6 before commencing with IHC staining protocol.", "IP-species-checked": "testedAndGuaranteed", "IP-species-dilution-info": "2-5 µg/mg of lysate", "IP-species-notes": "<p></p>", "WB-species-checked": "testedAndGuaranteed", "WB-species-dilution-info": "1/2000 - 1/10000", "WB-species-notes": "<p></p>" }, "Mouse": { "IHCP-species-checked": "testedAndGuaranteed", "IHCP-species-dilution-info": "1 µg/mL", "IHCP-species-notes": "<p></p> Perform heat-mediated antigen retrieval with citrate buffer pH 6 before commencing with IHC staining protocol.", "IP-species-checked": "guaranteed", "IP-species-dilution-info": "", "IP-species-notes": "", "WB-species-checked": "guaranteed", "WB-species-dilution-info": "", "WB-species-notes": "" }, "Rat": { "IHCP-species-checked": "predicted", "IHCP-species-dilution-info": "", "IHCP-species-notes": "", "IP-species-checked": "predicted", "IP-species-dilution-info": "", "IP-species-notes": "", "WB-species-checked": "predicted", "WB-species-dilution-info": "", "WB-species-notes": "" }, "Caenorhabditis elegans": { "IHCP-species-checked": "predicted", "IHCP-species-dilution-info": "", "IHCP-species-notes": "", "IP-species-checked": "predicted", "IP-species-dilution-info": "", "IP-species-notes": "", "WB-species-checked": "predicted", "WB-species-dilution-info": "", "WB-species-notes": "" }, "Chicken": { "IHCP-species-checked": "predicted", "IHCP-species-dilution-info": "", "IHCP-species-notes": "", "IP-species-checked": "predicted", "IP-species-dilution-info": "", "IP-species-notes": "", "WB-species-checked": "predicted", "WB-species-dilution-info": "", "WB-species-notes": "" }, "Chimpanzee": { "IHCP-species-checked": "predicted", "IHCP-species-dilution-info": "", "IHCP-species-notes": "", "IP-species-checked": "predicted", "IP-species-dilution-info": "", "IP-species-notes": "", "WB-species-checked": "predicted", "WB-species-dilution-info": "", "WB-species-notes": "" }, "Cow": { "IHCP-species-checked": "predicted", "IHCP-species-dilution-info": "", "IHCP-species-notes": "", "IP-species-checked": "predicted", "IP-species-dilution-info": "", "IP-species-notes": "", "WB-species-checked": "predicted", "WB-species-dilution-info": "", "WB-species-notes": "" }, "Dog": { "IHCP-species-checked": "predicted", "IHCP-species-dilution-info": "", "IHCP-species-notes": "", "IP-species-checked": "predicted", "IP-species-dilution-info": "", "IP-species-notes": "", "WB-species-checked": "predicted", "WB-species-dilution-info": "", "WB-species-notes": "" }, "Gorilla": { "IHCP-species-checked": "predicted", "IHCP-species-dilution-info": "", "IHCP-species-notes": "", "IP-species-checked": "predicted", "IP-species-dilution-info": "", "IP-species-notes": "", "WB-species-checked": "predicted", "WB-species-dilution-info": "", "WB-species-notes": "" }, "Guinea pig": { "IHCP-species-checked": "predicted", "IHCP-species-dilution-info": "", "IHCP-species-notes": "", "IP-species-checked": "predicted", "IP-species-dilution-info": "", "IP-species-notes": "", "WB-species-checked": "predicted", "WB-species-dilution-info": "", "WB-species-notes": "" }, "Horse": { "IHCP-species-checked": "predicted", "IHCP-species-dilution-info": "", "IHCP-species-notes": "", "IP-species-checked": "predicted", "IP-species-dilution-info": "", "IP-species-notes": "", "WB-species-checked": "predicted", "WB-species-dilution-info": "", "WB-species-notes": "" }, "Orangutan": { "IHCP-species-checked": "predicted", "IHCP-species-dilution-info": "", "IHCP-species-notes": "", "IP-species-checked": "predicted", "IP-species-dilution-info": "", "IP-species-notes": "", "WB-species-checked": "predicted", "WB-species-dilution-info": "", "WB-species-notes": "" }, "Pig": { "IHCP-species-checked": "predicted", "IHCP-species-dilution-info": "", "IHCP-species-notes": "", "IP-species-checked": "predicted", "IP-species-dilution-info": "", "IP-species-notes": "", "WB-species-checked": "predicted", "WB-species-dilution-info": "", "WB-species-notes": "" }, "Rabbit": { "IHCP-species-checked": "predicted", "IHCP-species-dilution-info": "", "IHCP-species-notes": "", "IP-species-checked": "predicted", "IP-species-dilution-info": "", "IP-species-notes": "", "WB-species-checked": "predicted", "WB-species-dilution-info": "", "WB-species-notes": "" }, "Rhesus monkey": { "IHCP-species-checked": "predicted", "IHCP-species-dilution-info": "", "IHCP-species-notes": "", "IP-species-checked": "predicted", "IP-species-dilution-info": "", "IP-species-notes": "", "WB-species-checked": "predicted", "WB-species-dilution-info": "", "WB-species-notes": "" }, "Turkey": { "IHCP-species-checked": "predicted", "IHCP-species-dilution-info": "", "IHCP-species-notes": "", "IP-species-checked": "predicted", "IP-species-dilution-info": "", "IP-species-notes": "", "WB-species-checked": "predicted", "WB-species-dilution-info": "", "WB-species-notes": "" }, "Xenopus laevis": { "IHCP-species-checked": "predicted", "IHCP-species-dilution-info": "", "IHCP-species-notes": "", "IP-species-checked": "predicted", "IP-species-dilution-info": "", "IP-species-notes": "", "WB-species-checked": "predicted", "WB-species-dilution-info": "", "WB-species-notes": "" }, "Xenopus tropicalis": { "IHCP-species-checked": "predicted", "IHCP-species-dilution-info": "", "IHCP-species-notes": "", "IP-species-checked": "predicted", "IP-species-dilution-info": "", "IP-species-notes": "", "WB-species-checked": "predicted", "WB-species-dilution-info": "", "WB-species-notes": "" }, "Zebrafish": { "IHCP-species-checked": "predicted", "IHCP-species-dilution-info": "", "IHCP-species-notes": "", "IP-species-checked": "predicted", "IP-species-dilution-info": "", "IP-species-notes": "", "WB-species-checked": "predicted", "WB-species-dilution-info": "", "WB-species-notes": "" } } }

Properties and storage information

Form
Liquid
Purification technique
Affinity purification Immunogen
Storage buffer
pH: 6.8 - 7.4 Preservative: 0.09% Sodium azide Constituents: Tris buffered saline, 0.1% BSA
Shipped at conditions
Blue Ice
Appropriate short-term storage conditions
+4°C
Appropriate long-term storage conditions
+4°C
Aliquoting information
Upon delivery aliquot
Storage information
Avoid freeze / thaw cycle

Supplementary information

This supplementary information is collated from multiple sources and compiled automatically.

EFTUD2 also known as SNR10 or U5-116KD is a core component of the spliceosome complex which is essential for RNA splicing. The protein has a mass of approximately 116 kDa. It shows important expression patterns in a range of tissues with particularly high levels in human embryonic tissues and adult brain. As part of the U5 snRNP component of the spliceosome it plays a fundamental role in the removal of introns from pre-mRNA a critical step in the maturation of messenger RNA.
Biological function summary

EFTUD2 participates in RNA processing activities that are necessary for accurate gene expression. This protein interacts with other components in the spliceosomal complex such as PRPF8 and SNRNP200 to facilitate the excision of introns and the ligation of exons. The precision in these activities ensures that transcription processes occur correctly and mutations in EFTUD2 can lead to mis-spliced mRNA and abnormal proteins disrupting normal cellular functions.

Pathways

EFTUD2 is an important participant in the mRNA splicing pathway an integral part of the gene expression pathway. The successful regulation of this splicing pathway is necessary for the proper synthesis of most eukaryotic proteins. EFTUD2 collaborates with proteins like SF3B1 and SYF2 to carry out efficient splicing ensuring the upkeep of normal cellular physiology and adaptive responses to environmental stimuli.

EFTUD2 plays a role in mandibulofacial dysostosis with microcephaly (MFDM). Mutations in the EFTUD2 gene disturb normal splicing activity leading to the characteristic features observed in MFDM such as craniofacial abnormalities and intellectual disability. Additionally altered splicing profiles linked to EFTUD2 dysfunction correlate with cancer where spliceosome component mutations like those in SRSF2 and SF3B1 are frequent. These interactions underline the importance of EFTUD2 in both development and disease pathology.

Product protocols

For this product, it's our understanding that no specific protocols are required. You can visit:

Target data

Required for pre-mRNA splicing as component of the spliceosome, including pre-catalytic, catalytic and post-catalytic spliceosomal complexes (PubMed : 25092792, PubMed : 28076346, PubMed : 28502770, PubMed : 28781166, PubMed : 29301961, PubMed : 29360106, PubMed : 29361316, PubMed : 30315277, PubMed : 30705154). Component of the U5 snRNP and the U4/U6-U5 tri-snRNP complex, a building block of the spliceosome (PubMed : 16723661). As a component of the minor spliceosome, involved in the splicing of U12-type introns in pre-mRNAs (Probable).
See full target information EFTUD2

Publications (8)

Recent publications for all applications. Explore the full list and refine your search

Frontiers in oncology 15:1499217 PubMed40236649

2025

EFTUD2 is a promising diagnostic and prognostic indicator involved in the tumor immune microenvironment and glycolysis of lung adenocarcinoma.

Applications

Unspecified application

Species

Unspecified reactive species

Ankang Yin,Yufan Xu,Xiyang Su,Runan Wang,Zebin Zhang,Yi Chen,Lu Han,Guoxiang Fu,Wei Wang,Juan Wang

Disease models & mechanisms 17: PubMed38426258

2024

A common cellular response to broad splicing perturbations is characterized by metabolic transcript downregulation driven by the Mdm2-p53 axis.

Applications

Unspecified application

Species

Unspecified reactive species

Jade E Varineau,Eliezer Calo

Neural regeneration research 18:856-862 PubMed36204854

2022

Spliceosomal GTPase Eftud2 regulates microglial activation and polarization.

Applications

Unspecified application

Species

Unspecified reactive species

Guo-Chao Yang,Yuan Shi,Chao-Nan Fan,Ying Li,Meng-Qi Yuan,Jie Pei,Yan Wu,Hai-Tao Wu

Journal of cancer research and clinical oncology 149:4293-4303 PubMed36068443

2022

High RIG-I and EFTUD2 expression predicts poor survival in endometrial cancer.

Applications

Unspecified application

Species

Unspecified reactive species

Susanne Beyer,Lena Müller,Sophie Mitter,Lucia Keilmann,Sarah Meister,Christina Buschmann,Fabian Kraus,Nicole E Topalov,Bastian Czogalla,Fabian Trillsch,Alexander Burges,Sven Mahner,Elisa Schmoeckel,Sanja Löb,Stefanie Corradini,Mirjana Kessler,Udo Jeschke,Thomas Kolben

Nucleic acids research 50:1128-1146 PubMed34951455

2021

CryoEM of RUVBL1-RUVBL2-ZNHIT2, a complex that interacts with pre-mRNA-processing-splicing factor 8.

Applications

Unspecified application

Species

Unspecified reactive species

Marina Serna,Ana González-Corpas,Sofía Cabezudo,Andrés López-Perrote,Gianluca Degliesposti,Eduardo Zarzuela,J Mark Skehel,Javier Muñoz,Oscar Llorca

Nature communications 12:4810 PubMed34376666

2021

The HSP90/R2TP assembly chaperone promotes cell proliferation in the intestinal epithelium.

Applications

Unspecified application

Species

Unspecified reactive species

Chloé Maurizy,Claire Abeza,Bénédicte Lemmers,Monica Gabola,Ciro Longobardi,Valérie Pinet,Marina Ferrand,Conception Paul,Julie Bremond,Francina Langa,François Gerbe,Philippe Jay,Céline Verheggen,Nicola Tinari,Dominique Helmlinger,Rossano Lattanzio,Edouard Bertrand,Michael Hahne,Bérengère Pradet-Balade

Nature communications 11:2412 PubMed32415063

2020

Conserved protein Pir2 mediates gene repression through cryptic introns in lncRNAs.

Applications

Unspecified application

Species

Unspecified reactive species

Gobi Thillainadesan,Hua Xiao,Sahana Holla,Jothy Dhakshnamoorthy,Lisa M Miller Jenkins,David Wheeler,Shiv I S Grewal

Nature communications 8:15615 PubMed28561026

2017

R2TP/Prefoldin-like component RUVBL1/RUVBL2 directly interacts with ZNHIT2 to regulate assembly of U5 small nuclear ribonucleoprotein.

Applications

WB

Species

Unspecified reactive species

Philippe Cloutier,Christian Poitras,Mathieu Durand,Omid Hekmat,Émilie Fiola-Masson,Annie Bouchard,Denis Faubert,Benoit Chabot,Benoit Coulombe
View all publications

Product promise

We are committed to supporting your work with high-quality reagents, and we're here for you every step of the way. In the unlikely event that one of our products does not perform as expected, you're protected by our Product Promise.
For full details, please see our Terms & Conditions

Please note: All products are 'FOR RESEARCH USE ONLY. NOT FOR USE IN DIAGNOSTIC OR THERAPEUTIC PROCEDURES'.

For licensing inquiries, please contact partnerships@abcam.com