JavaScript is disabled in your browser. Please enable JavaScript to view this website.
AB188327

Anti-EFTUD2 antibody [EPR16055(B)]

Be the first to review this product! Submit a review

|

(5 Publications)

Rabbit Recombinant Monoclonal EFTUD2 antibody. Suitable for WB, ICC/IF, IHC-P and reacts with Rat, Mouse, Human samples. Cited in 5 publications.

View Alternative Names

KIAA0031, SNRP116, EFTUD2, 116 kDa U5 small nuclear ribonucleoprotein component, Elongation factor Tu GTP-binding domain-containing protein 2, SNU114 homolog, hSNU114, U5-116 kDa

5 Images
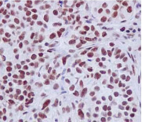
Immunohistochemistry (Formalin/PFA-fixed paraffin-embedded sections) - Anti-EFTUD2 antibody [EPR16055(B)] (AB188327)
  • IHC-P

Supplier Data

Immunohistochemistry (Formalin/PFA-fixed paraffin-embedded sections) - Anti-EFTUD2 antibody [EPR16055(B)] (AB188327)

Immunohistochemical analysis of paraffin-embedded Human ovarian carcinoma tissue labeling EFTUD2 with ab188327 at 1/100 dilution followed by pre-diluted HRP Polymer for Rabbit IgG secondary antibody and counter-stained with Hematoxylin.

Perform heat mediated antigen retrieval with Tris/EDTA buffer pH 9.0 before commencing with IHC staining protocol.

Immunohistochemistry (Formalin/PFA-fixed paraffin-embedded sections) - Anti-EFTUD2 antibody [EPR16055(B)] (AB188327)
  • IHC-P

Supplier Data

Immunohistochemistry (Formalin/PFA-fixed paraffin-embedded sections) - Anti-EFTUD2 antibody [EPR16055(B)] (AB188327)

Immunohistochemical analysis of paraffin-embedded Human colon tissue labeling EFTUD2 with ab188327 at 1/100 dilution followed by pre-diluted HRP Polymer for Rabbit IgG secondary antibody and counter-stained with Hematoxylin.

Perform heat mediated antigen retrieval with Tris/EDTA buffer pH 9.0 before commencing with IHC staining protocol.

Immunocytochemistry/ Immunofluorescence - Anti-EFTUD2 antibody [EPR16055(B)] (AB188327)
  • ICC/IF

Supplier Data

Immunocytochemistry/ Immunofluorescence - Anti-EFTUD2 antibody [EPR16055(B)] (AB188327)

Immunofluorescent analysis of paraformaldehyde-fixed HeLa cells labeling EFTUD2 with ab188327 at 1/250 dilution followed by Goat anti rabbit IgG (Dylight 488) secondary at 1/200 dilution and counter-stained with DAPI (blue).

Western blot - Anti-EFTUD2 antibody [EPR16055(B)] (AB188327)
  • WB

Supplier Data

Western blot - Anti-EFTUD2 antibody [EPR16055(B)] (AB188327)

All lanes:

Western blot - Anti-EFTUD2 antibody [EPR16055(B)] (ab188327) at 1/1000 dilution

Lane 1:

C6 cell lysate at 10 µg

Lane 2:

RAW 264.7 cell lysate at 10 µg

Lane 3:

PC12 cell lysate at 10 µg

Lane 4:

NIH/3T3 cell lysate at 10 µg

Secondary

All lanes:

Goat Anti-Rabbit IgG, (H+L), Peroxidase conjugated at 1/1000 dilution

Predicted band size: 109 kDa

false

Western blot - Anti-EFTUD2 antibody [EPR16055(B)] (AB188327)
  • WB

Supplier Data

Western blot - Anti-EFTUD2 antibody [EPR16055(B)] (AB188327)

All lanes:

Western blot - Anti-EFTUD2 antibody [EPR16055(B)] (ab188327) at 1/10000 dilution

Lane 1:

HeLa cell lysate at 20 µg

Lane 2:

Jurkat cell lysate at 20 µg

Lane 3:

293 cell lysate at 20 µg

Lane 4:

U-87 MG cell lysate at 20 µg

Secondary

All lanes:

Goat Anti-Rabbit IgG, (H+L), Peroxidase conjugated at 1/1000 dilution

Predicted band size: 109 kDa

false

  • Carrier free

    Anti-EFTUD2 antibody [EPR16055(B)] - BSA and Azide free

Key facts

Host species

Rabbit

Clonality

Monoclonal

Clone number

EPR16055(B)

Isotype

IgG

Carrier free

No

Reacts with

Mouse, Rat, Human

Applications

WB, IHC-P, ICC/IF

applications

Immunogen

The exact immunogen used to generate this antibody is proprietary information.

Reactivity data

{ "title": "Reactivity Data", "filters": { "stats": ["", "Species", "Dilution Info", "Notes"], "tabs": { "all-applications": {"fullname" : "All Applications", "shortname": "All Applications"}, "WB" : {"fullname" : "Western blot", "shortname":"WB"}, "ICCIF" : {"fullname" : "Immunocytochemistry/ Immunofluorescence", "shortname":"ICC/IF"}, "IHCP" : {"fullname" : "Immunohistochemistry (Formalin/PFA-fixed paraffin-embedded sections)", "shortname":"IHC-P"} }, "product-promise": { "all": "all", "testedAndGuaranteed": "tested", "guaranteed": "expected", "predicted": "predicted", "notRecommended": "not-recommended" } }, "values": { "Human": { "WB-species-checked": "testedAndGuaranteed", "WB-species-dilution-info": "1/1000 - 1/10000", "WB-species-notes": "<p></p>", "ICCIF-species-checked": "testedAndGuaranteed", "ICCIF-species-dilution-info": "1/250", "ICCIF-species-notes": "<p></p>", "IHCP-species-checked": "testedAndGuaranteed", "IHCP-species-dilution-info": "1/50 - 1/100", "IHCP-species-notes": "<p></p>" }, "Mouse": { "WB-species-checked": "testedAndGuaranteed", "WB-species-dilution-info": "1/1000 - 1/10000", "WB-species-notes": "<p></p>", "ICCIF-species-checked": "guaranteed", "ICCIF-species-dilution-info": "", "ICCIF-species-notes": "", "IHCP-species-checked": "guaranteed", "IHCP-species-dilution-info": "", "IHCP-species-notes": "" }, "Rat": { "WB-species-checked": "testedAndGuaranteed", "WB-species-dilution-info": "1/1000 - 1/10000", "WB-species-notes": "<p></p>", "ICCIF-species-checked": "guaranteed", "ICCIF-species-dilution-info": "", "ICCIF-species-notes": "", "IHCP-species-checked": "guaranteed", "IHCP-species-dilution-info": "", "IHCP-species-notes": "" } } }

Product details

Patented technology
Our RabMAb® technology is a patented hybridoma-based technology for making rabbit monoclonal antibodies. For details on our patents, please refer to RabMAb® patents.

What are the advantages of a recombinant monoclonal antibody?
This product is a recombinant monoclonal antibody, which offers several advantages including:

  • - High batch-to-batch consistency and reproducibility
  • - Improved sensitivity and specificity
  • - Long-term security of supply
  • - Animal-free batch production

For more information, read more on recombinant antibodies.

Properties and storage information

Form
Liquid
Purification technique
Affinity purification Protein A
Storage buffer
pH: 7.2 - 7.4 Preservative: 0.01% Sodium azide Constituents: PBS, 40% Glycerol (glycerin, glycerine), 0.05% BSA
Shipped at conditions
Blue Ice
Appropriate short-term storage duration
1-2 weeks
Appropriate short-term storage conditions
+4°C
Appropriate long-term storage conditions
-20°C
Aliquoting information
Upon delivery aliquot
Storage information
Avoid freeze / thaw cycle

Supplementary information

This supplementary information is collated from multiple sources and compiled automatically.

EFTUD2 also known as SNR10 or U5-116KD is a core component of the spliceosome complex which is essential for RNA splicing. The protein has a mass of approximately 116 kDa. It shows important expression patterns in a range of tissues with particularly high levels in human embryonic tissues and adult brain. As part of the U5 snRNP component of the spliceosome it plays a fundamental role in the removal of introns from pre-mRNA a critical step in the maturation of messenger RNA.
Biological function summary

EFTUD2 participates in RNA processing activities that are necessary for accurate gene expression. This protein interacts with other components in the spliceosomal complex such as PRPF8 and SNRNP200 to facilitate the excision of introns and the ligation of exons. The precision in these activities ensures that transcription processes occur correctly and mutations in EFTUD2 can lead to mis-spliced mRNA and abnormal proteins disrupting normal cellular functions.

Pathways

EFTUD2 is an important participant in the mRNA splicing pathway an integral part of the gene expression pathway. The successful regulation of this splicing pathway is necessary for the proper synthesis of most eukaryotic proteins. EFTUD2 collaborates with proteins like SF3B1 and SYF2 to carry out efficient splicing ensuring the upkeep of normal cellular physiology and adaptive responses to environmental stimuli.

EFTUD2 plays a role in mandibulofacial dysostosis with microcephaly (MFDM). Mutations in the EFTUD2 gene disturb normal splicing activity leading to the characteristic features observed in MFDM such as craniofacial abnormalities and intellectual disability. Additionally altered splicing profiles linked to EFTUD2 dysfunction correlate with cancer where spliceosome component mutations like those in SRSF2 and SF3B1 are frequent. These interactions underline the importance of EFTUD2 in both development and disease pathology.

Product protocols

For this product, it's our understanding that no specific protocols are required. You can visit:

Target data

Required for pre-mRNA splicing as component of the spliceosome, including pre-catalytic, catalytic and post-catalytic spliceosomal complexes (PubMed : 25092792, PubMed : 28076346, PubMed : 28502770, PubMed : 28781166, PubMed : 29301961, PubMed : 29360106, PubMed : 29361316, PubMed : 30315277, PubMed : 30705154). Component of the U5 snRNP and the U4/U6-U5 tri-snRNP complex, a building block of the spliceosome (PubMed : 16723661). As a component of the minor spliceosome, involved in the splicing of U12-type introns in pre-mRNAs (Probable).
See full target information EFTUD2

Publications (5)

Recent publications for all applications. Explore the full list and refine your search

Cell death and differentiation 32:1930-1945 PubMed40275081

2025

Alternative spliceosomal protein Eftud2 mediated Kif3a exon skipping promotes SHH-subgroup medulloblastoma progression.

Applications

Unspecified application

Species

Unspecified reactive species

Ying Li,Liping Chen,Saisai Xue,Zhihong Song,Heli Liu,Hao Li,Wei Shen,Chen Zhang,Haitao Wu

Cell discovery 10:96 PubMed39285160

2024

Targeting SNRNP200-induced splicing dysregulation offers an immunotherapy opportunity for glycolytic triple-negative breast cancer.

Applications

Unspecified application

Species

Unspecified reactive species

Wenxiao Yang,Luo Hong,Linwei Guo,Yunjin Wang,Xiangchen Han,Boyue Han,Zheng Xing,Guoliang Zhang,Hongxia Zhou,Chao Chen,Hong Ling,Zhimin Shao,Xin Hu

International journal of molecular sciences 24: PubMed36614170

2022

Reovirus μ2 Protein Impairs Translation to Reduce U5 snRNP Protein Levels.

Applications

Unspecified application

Species

Unspecified reactive species

Simon Boudreault,Carole-Anne Martineau,Laurence Faucher-Giguère,Sherif Abou-Elela,Guy Lemay,Martin Bisaillon

Nucleic acids research 50:5263-5281 PubMed35489070

2022

Reovirus μ2 protein modulates host cell alternative splicing by reducing protein levels of U5 snRNP core components.

Applications

Unspecified application

Species

Unspecified reactive species

Simon Boudreault,Mathieu Durand,Carole-Anne Martineau,Jean-Pierre Perreault,Guy Lemay,Martin Bisaillon

Experimental and therapeutic medicine 18:1768-1774 PubMed31410136

2019

Function and mechanism of pyrin and IL-10 in the regulation of the inflammasome in pulmonary vascular endothelial cells following hemorrhagic shock.

Applications

Unspecified application

Species

Unspecified reactive species

Xin Jin,Yongxing Yao,Xing Lu,Peng Xu,Yanfei Xia,Shengmei Zhu
View all publications

Product promise

We are committed to supporting your work with high-quality reagents, and we're here for you every step of the way. In the unlikely event that one of our products does not perform as expected, you're protected by our Product Promise.
For full details, please see our Terms & Conditions

Please note: All products are 'FOR RESEARCH USE ONLY. NOT FOR USE IN DIAGNOSTIC OR THERAPEUTIC PROCEDURES'.

For licensing inquiries, please contact partnerships@abcam.com