JavaScript is disabled in your browser. Please enable JavaScript to view this website.
AB254298

Anti-Eg5 antibody [EPR23276-52]

Be the first to review this product! Submit a review

|

(8 Publications)

Rabbit Recombinant Monoclonal Eg5 antibody. Suitable for IP, WB, ICC/IF, Flow Cyt (Intra), IHC-P and reacts with Mouse, Human samples. Cited in 8 publications.

View Alternative Names

EG5, KNSL1, TRIP5, KIF11, Kinesin-like protein KIF11, Kinesin-like protein 1, Kinesin-like spindle protein HKSP, Kinesin-related motor protein Eg5, Thyroid receptor-interacting protein 5, TR-interacting protein 5, TRIP-5

12 Images
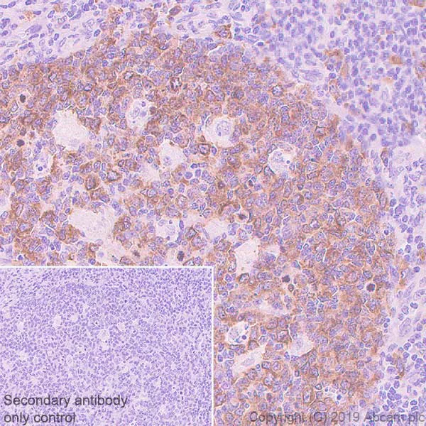
Immunohistochemistry (Formalin/PFA-fixed paraffin-embedded sections) - Anti-Eg5 antibody [EPR23276-52] (AB254298)
  • IHC-P

Unknown

Immunohistochemistry (Formalin/PFA-fixed paraffin-embedded sections) - Anti-Eg5 antibody [EPR23276-52] (AB254298)

Immunohistochemical analysis of paraffin-embedded human tonsil tissue labeling Eg5 with 254298 at 1/4000 (0.17μg/ml) followed by a ready to use Goat Anti-Rabbit IgG H&L (HRP). Cytoplasmic staining in human tonsil is observed (PMID : 25277178).
The section was incubated with ab254298 for 30 mins at room temperature.
The immunostaining was performed on a Leica Biosystems BOND® RX instrument Counterstained with hematoxylin.

Secondary antibody only control : Secondary antibody is a ready to use Goat Anti-Rabbit IgG H&L (HRP).

Heat mediated antigen retrieval with Tris-EDTA buffer (pH 9.0, epitope retrieval solution2) for 20 mins.

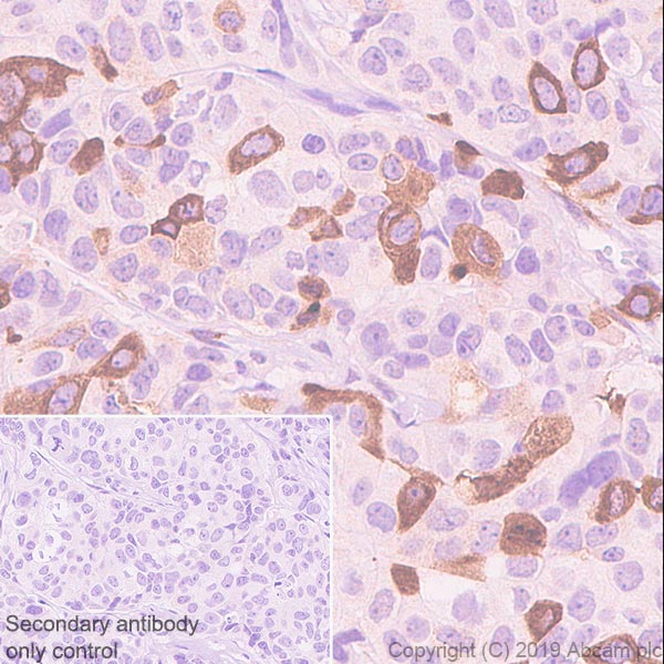
Immunohistochemistry (Formalin/PFA-fixed paraffin-embedded sections) - Anti-Eg5 antibody [EPR23276-52] (AB254298)
  • IHC-P

Unknown

Immunohistochemistry (Formalin/PFA-fixed paraffin-embedded sections) - Anti-Eg5 antibody [EPR23276-52] (AB254298)

Immunohistochemical analysis of paraffin-embedded human breast cancer tissue labeling Eg5 with ab254298 at 1/4000 (0.17μg/ml) followed by a ready to use Goat Anti-Rabbit IgG H&L (HRP). Scattered cytoplasmic staining in human breast cancer cells is observed (PMID : 29181100).
The section was incubated with ab254298 for 30 mins at room temperature.
The immunostaining was performed on a Leica Biosystems BOND® RX instrument Counterstained with hematoxylin.

Secondary antibody only control : Secondary antibody is a ready to use Goat Anti-Rabbit IgG H&L (HRP).

Heat mediated antigen retrieval with Tris-EDTA buffer (pH 9.0, epitope retrieval solution2) for 20 mins.

Immunocytochemistry/ Immunofluorescence - Anti-Eg5 antibody [EPR23276-52] (AB254298)
  • ICC/IF

Unknown

Immunocytochemistry/ Immunofluorescence - Anti-Eg5 antibody [EPR23276-52] (AB254298)

Immunofluorescent analysis of 4% Paraformaldehyde-fixed, 0.1% Triton X-100 permeabilized HeLa cells labeling Eg5 with ab254298 at 1/50 dilution, followed by ab150077 Goat Anti-Rabbit IgG H&L (Alexa Fluor® 488) antibody at 1/1000 2 μg/ml dilution (Green). Confocal image showing cytoplasmic and spindle (arrow) staining in HeLa cells. ab195889 Anti-alpha Tubulin antibody [DM1A] - Microtubule Marker (Alexa Fluor® 594) was used to counterstain tubulin at 1/200 2.5 μg/ml dilution (Red). The nuclear counterstain was DAPI (Blue).

Secondary antibody only control : Secondary antibody is ab150077 Goat Anti-Rabbit IgG H&L (Alexa Fluor® 488) at 1/1000 2 μg/ml dilution.

Flow Cytometry (Intracellular) - Anti-Eg5 antibody [EPR23276-52] (AB254298)
  • Flow Cyt (Intra)

Unknown

Flow Cytometry (Intracellular) - Anti-Eg5 antibody [EPR23276-52] (AB254298)

Intracellular flow cytometric analysis of 4% paraformaldehyde fixed 90% methanol permeabilized HeLa (Human cervix adenocarcinoma epithelial cell) cells labeling Eg5 with ab254298 at 1/600 dilution (0.1μg) (Red) compared with a Rabbit monoclonal IgG (ab172730) / Black isotype control and an unlabeled control (cells without incubation with primary antibody and secondary antibody) (Blue). A Goat anti rabbit IgG (Alexa Fluor® 488, ab150077) at 1/2000 dilution was used as the secondary antibody.

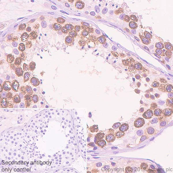
Immunohistochemistry (Formalin/PFA-fixed paraffin-embedded sections) - Anti-Eg5 antibody [EPR23276-52] (AB254298)
  • IHC-P

Unknown

Immunohistochemistry (Formalin/PFA-fixed paraffin-embedded sections) - Anti-Eg5 antibody [EPR23276-52] (AB254298)

Immunohistochemical analysis of paraffin-embedded human testis tissue labeling Eg5 with 254298 at 1/1/4000 (0.17μg/ml) followed by a ready to use Goat Anti-Rabbit IgG H&L (HRP). Cytoplasmic staining in spermatocytes of human testis is observed.
The section was incubated with ab254298 for 30 mins at room temperature.
The immunostaining was performed on a Leica Biosystems BOND® RX instrument Counterstained with hematoxylin.

Secondary antibody only control : Secondary antibody is a ready to use Goat Anti-Rabbit IgG H&L (HRP).

Heat mediated antigen retrieval with Tris-EDTA buffer (pH 9.0, epitope retrieval solution2) for 20 mins.

Immunoprecipitation - Anti-Eg5 antibody [EPR23276-52] (AB254298)
  • IP

Unknown

Immunoprecipitation - Anti-Eg5 antibody [EPR23276-52] (AB254298)

Eg5 was immunoprecipitated from 0.35 mg HeLa (human cervix adenocarcinoma epithelial cell), whole cell lysate 10 ug with ab254298 at 1/30 dilution (2ug in 0.35mg lysates). Western blot was performed on the immunoprecipitate using ab254298 at 1/1000 dilution. VeriBlot for IP Detection Reagent (HRP)(ab131366) was used at 1/5000 dilution.

Lane 1 : HeLa whole cell lysate 10 ug.

Lane 2 : ab254298 IP in HeLa whole cell lysate.

Lane 3 : Rabbit monoclonal IgG (ab172730) instead of ab254298 in HeLa whole cell lysate.

Blocking and dilution buffer and concentration : 5% NFDM/TBST.

Exposure time : 3 minutes.

Fresh lysates were used in this IP.

All lanes:

Immunoprecipitation - Anti-Eg5 antibody [EPR23276-52] (ab254298)

Predicted band size: 119 kDa

false

Flow Cytometry (Intracellular) - Anti-Eg5 antibody [EPR23276-52] (AB254298)
  • Flow Cyt (Intra)

Unknown

Flow Cytometry (Intracellular) - Anti-Eg5 antibody [EPR23276-52] (AB254298)

Intracellular flow cytometric analysis of 4% paraformaldehyde fixed 90% methanol permeabilized NIH/3T3 (Mouse embryonic fibroblast) cells labeling Eg5 with ab254298 at 1/600 dilution (0.1μg) (Red) compared with a Rabbit monoclonal IgG (ab172730) / Black isotype control and an unlabeled control (cells without incubation with primary antibody and secondary antibody) (Blue). A Goat anti rabbit IgG (Alexa Fluor® 488, ab150077) at 1/2000 dilution was used as the secondary antibody.

Immunocytochemistry/ Immunofluorescence - Anti-Eg5 antibody [EPR23276-52] (AB254298)
  • ICC/IF

Unknown

Immunocytochemistry/ Immunofluorescence - Anti-Eg5 antibody [EPR23276-52] (AB254298)

Immunofluorescent analysis of 4% Paraformaldehyde-fixed, 0.1% Triton X-100 permeabilized NIH/3T3 cells labeling Eg5 with ab254298 at 1/50 dilution, followed by ab150077 Goat Anti-Rabbit IgG H&L (Alexa Fluor® 488) antibody at 1/1000 2 μg/ml dilution (Green). Confocal image showing cytoplasmic and spindle (arrow) staining in NIH/3T3 cells. ab195889 Anti-alpha Tubulin antibody [DM1A] - Microtubule Marker (Alexa Fluor® 594) was used to counterstain tubulin at 1/200 2.5 μg/ml dilution (Red). The nuclear counterstain was DAPI (Blue).

Secondary antibody only control : Secondary antibody is ab150077 Goat Anti-Rabbit IgG H&L (Alexa Fluor® 488) at 1/1000 2 μg/ml dilution.

Immunoprecipitation - Anti-Eg5 antibody [EPR23276-52] (AB254298)
  • IP

Unknown

Immunoprecipitation - Anti-Eg5 antibody [EPR23276-52] (AB254298)

Eg5 was immunoprecipitated from 0.35 mg NIH/3T3 (mouse embryonic fibroblast), whole cell lysate 10 ug with ab254298 at 1/30 dilution (2ug in 0.35mg lysates). Western blot was performed on the immunoprecipitate using ab254298 at 1/1000 dilution. VeriBlot for IP Detection Reagent (HRP)(ab131366) was used at 1/5000 dilution.

Lane 1 : NIH/3T3 whole cell lysate 10 ug.

Lane 2 : ab254298 IP in NIH/3T3 whole cell lysate.

Lane 3 : Rabbit monoclonal IgG (ab172730) instead of ab254298 in NIH/3T3 whole cell lysate.

Blocking and dilution buffer and concentration : 5% NFDM/TBST.

Exposure time : 3 minutes

Fresh lysates were used in this IP.

All lanes:

Immunoprecipitation - Anti-Eg5 antibody [EPR23276-52] (ab254298)

Predicted band size: 119 kDa

false

Western blot - Anti-Eg5 antibody [EPR23276-52] (AB254298)
  • WB

Lab

Western blot - Anti-Eg5 antibody [EPR23276-52] (AB254298)

Blocking and diluting buffer and concentration : 5% NFDM/TBST.

The expression profile observed is consistent with what has been described in the literature (PMID : 23857769; 27492783).

Negative control : Human lung (PMID : 27279560).

The minor bands beneath the target band may correspond to degradation.

Exposure time : 48 seconds.

All lanes:

Western blot - Anti-Eg5 antibody [EPR23276-52] (ab254298) at 1/1000 dilution

Lane 1:

Human testis tissue lysate at 20 µg

Lane 2:

Human tonsil tissue lysate at 20 µg

Lane 3:

Human lung tissue lysate at 20 µg

Secondary

All lanes:

Western blot - VeriBlot for IP Detection Reagent (HRP) (<a href='/en-us/products/reagents/veriblot-for-ip-detection-reagent-hrp-ab131366'>ab131366</a>) at 1/100000 dilution

Predicted band size: 119 kDa

false

Western blot - Anti-Eg5 antibody [EPR23276-52] (AB254298)
  • WB

Lab

Western blot - Anti-Eg5 antibody [EPR23276-52] (AB254298)

Blocking and diluting buffer and concentration : 5% NFDM/TBST.

The expression profile observed is consistent with what has been described in the literature (PMID : 23857769; 27492783).

Fresh lysates were tested in this WB.

The minor bands beneath the target band in lane 1 and lane 4 may correspond to degradation.

Exposure time : 15 seconds.

All lanes:

Western blot - Anti-Eg5 antibody [EPR23276-52] (ab254298) at 1/1000 dilution

Lane 1:

Jurkat (human T cell leukemia T lymphocyte), whole cell lysate at 20 µg

Lane 2:

NCI-H1975 (human adenocarcinoma lung epithelial cell) at 20 µg

Lane 3:

MCF7 (human breast adenocarcinoma epithelial cell) at 20 µg

Lane 4:

4T1 (mouse mammary gland carcinoma epithelial cell) at 20 µg

Secondary

All lanes:

Western blot - Goat Anti-Rabbit IgG H&L (HRP) (<a href='/en-us/products/secondary-antibodies/goat-rabbit-igg-h-l-hrp-ab97051'>ab97051</a>) at 1/100000 dilution

Predicted band size: 119 kDa

false

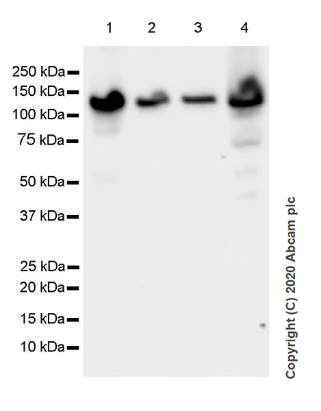
Western blot - Anti-Eg5 antibody [EPR23276-52] (AB254298)
  • WB

Lab

Western blot - Anti-Eg5 antibody [EPR23276-52] (AB254298)

Blocking and diluting buffer and concentration : 5% NFDM/TBST.

Negative control : Mouse brain (PMID : 17974955).

The minor bands beneath the target band may correspond to degradation.

Exposure time : 48 seconds.

All lanes:

Western blot - Anti-Eg5 antibody [EPR23276-52] (ab254298) at 1/1000 dilution

Lane 1:

Mouse testis tissue lysate at 20 µg

Lane 2:

Mouse brain tissue lysate at 20 µg

Secondary

All lanes:

Western blot - Goat Anti-Rabbit IgG H&L (HRP) (<a href='/en-us/products/secondary-antibodies/goat-rabbit-igg-h-l-hrp-ab97051'>ab97051</a>) at 1/100000 dilution

Predicted band size: 119 kDa

false

  • 665 Alexa Fluor® 647

    Alexa Fluor® 647 Anti-Eg5 antibody [EPR23276-52]

  • 578 PE

    PE Anti-Eg5 antibody [EPR23276-52]

  • Carrier free

    Anti-Eg5 antibody [EPR23276-52] - BSA and Azide free

Key facts

Host species

Rabbit

Clonality

Monoclonal

Clone number

EPR23276-52

Isotype

IgG

Carrier free

No

Reacts with

Mouse, Human

Applications

WB, IP, IHC-P, ICC/IF, Flow Cyt (Intra)

applications

Immunogen

The exact immunogen used to generate this antibody is proprietary information.

Reactivity data

{ "title": "Reactivity Data", "filters": { "stats": ["", "Species", "Dilution Info", "Notes"], "tabs": { "all-applications": {"fullname" : "All Applications", "shortname": "All Applications"}, "IP" : {"fullname" : "Immunoprecipitation", "shortname":"IP"}, "WB" : {"fullname" : "Western blot", "shortname":"WB"}, "ICCIF" : {"fullname" : "Immunocytochemistry/ Immunofluorescence", "shortname":"ICC/IF"}, "FlowCytIntra" : {"fullname" : "Flow Cytometry (Intracellular)", "shortname":"Flow Cyt (Intra)"}, "IHCP" : {"fullname" : "Immunohistochemistry (Formalin/PFA-fixed paraffin-embedded sections)", "shortname":"IHC-P"}, "IHCFr" : {"fullname" : "Immunohistochemistry (Frozen sections)", "shortname":"IHC-Fr"} }, "product-promise": { "all": "all", "testedAndGuaranteed": "tested", "guaranteed": "expected", "predicted": "predicted", "notRecommended": "not-recommended" } }, "values": { "Human": { "IP-species-checked": "testedAndGuaranteed", "IP-species-dilution-info": "1/30", "IP-species-notes": "<p></p>", "WB-species-checked": "testedAndGuaranteed", "WB-species-dilution-info": "1/1000", "WB-species-notes": "<p></p>", "ICCIF-species-checked": "testedAndGuaranteed", "ICCIF-species-dilution-info": "1/50", "ICCIF-species-notes": "<p></p>", "FlowCytIntra-species-checked": "testedAndGuaranteed", "FlowCytIntra-species-dilution-info": "1/600", "FlowCytIntra-species-notes": "<p></p>", "IHCP-species-checked": "testedAndGuaranteed", "IHCP-species-dilution-info": "1/4000", "IHCP-species-notes": "<p></p>", "IHCFr-species-checked": "notRecommended", "IHCFr-species-dilution-info": "", "IHCFr-species-notes": "" }, "Mouse": { "IP-species-checked": "testedAndGuaranteed", "IP-species-dilution-info": "1/30", "IP-species-notes": "<p></p>", "WB-species-checked": "testedAndGuaranteed", "WB-species-dilution-info": "1/1000", "WB-species-notes": "<p></p>", "ICCIF-species-checked": "testedAndGuaranteed", "ICCIF-species-dilution-info": "1/50", "ICCIF-species-notes": "<p></p>", "FlowCytIntra-species-checked": "testedAndGuaranteed", "FlowCytIntra-species-dilution-info": "1/600", "FlowCytIntra-species-notes": "<p></p>", "IHCP-species-checked": "notRecommended", "IHCP-species-dilution-info": "1/4000", "IHCP-species-notes": "<p></p>", "IHCFr-species-checked": "notRecommended", "IHCFr-species-dilution-info": "", "IHCFr-species-notes": "<p></p>" }, "Rat": { "IP-species-checked": "notRecommended", "IP-species-dilution-info": "", "IP-species-notes": "", "WB-species-checked": "notRecommended", "WB-species-dilution-info": "", "WB-species-notes": "", "ICCIF-species-checked": "notRecommended", "ICCIF-species-dilution-info": "", "ICCIF-species-notes": "", "FlowCytIntra-species-checked": "notRecommended", "FlowCytIntra-species-dilution-info": "", "FlowCytIntra-species-notes": "", "IHCP-species-checked": "notRecommended", "IHCP-species-dilution-info": "1/4000", "IHCP-species-notes": "<p></p>", "IHCFr-species-checked": "notRecommended", "IHCFr-species-dilution-info": "", "IHCFr-species-notes": "<p></p>" } } }

Product details

Patented technology
Our RabMAb® technology is a patented hybridoma-based technology for making rabbit monoclonal antibodies. For details on our patents, please refer to RabMAb® patents.

What are the advantages of a recombinant monoclonal antibody?
This product is a recombinant monoclonal antibody, which offers several advantages including:

  • - High batch-to-batch consistency and reproducibility
  • - Improved sensitivity and specificity
  • - Long-term security of supply
  • - Animal-free batch production

For more information, read more on recombinant antibodies.

Properties and storage information

Form
Liquid
Purification technique
Affinity purification Protein A
Storage buffer
pH: 7.2 - 7.4 Preservative: 0.01% Sodium azide Constituents: PBS, 40% Glycerol (glycerin, glycerine), 0.05% BSA
Shipped at conditions
Blue Ice
Appropriate short-term storage duration
1-2 weeks
Appropriate short-term storage conditions
+4°C
Appropriate long-term storage conditions
-20°C
Aliquoting information
Upon delivery aliquot
Storage information
Avoid freeze / thaw cycle

Supplementary information

This supplementary information is collated from multiple sources and compiled automatically.

The Eg5 protein also known scientifically as kinesin family member 11 (KIF11) plays an important role in cell mitosis. It functions mechanically as a plus-end directed motor involved in the separation of centrosomes during the early stage of cell division. Eg5 with an approximate mass of 116 kDa is responsible for the proper alignment and segregation of spindle fibers. The protein is expressed in rapidly dividing cells particularly within tissues with high turnover rates such as bone marrow and epithelium.
Biological function summary

The motor function of Eg5 is indispensable for the mitotic spindle organization. It provides the force necessary to push microtubules in opposite directions. Eg5 functions as part of a complex cellular machinery that includes proteins like dynein and other kinesins. By controlling spindle bipolarity it ensures accurate chromosome segregation during cell division preventing errors that could lead to aneuploidy.

Pathways

The action of Eg5 is fundamental in mitotic pathways including the spindle assembly checkpoint pathway. It interacts with proteins such as cyclin-dependent kinases (CDKs) which regulate its activity to ensure proper cell cycle progression. The protein's role is integral in facilitating the dynamics of the metaphase spindle checkpoint guaranteeing cell cycle fidelity.

Eg5 is linked to certain types of cancers where there is abnormal cell division. The overexpression or dysregulation of Eg5 can contribute to tumorigenesis. Additionally Eg5 interacts with proteins involved in cancer such as p53 a tumor suppressor protein directly influencing cellular proliferation and survival. Researchers target Eg5 in the development of anticancer therapies to inhibit its activity aiming to obstruct malignant cell proliferation.

Product protocols

For this product, it's our understanding that no specific protocols are required. You can visit:

Target data

Motor protein required for establishing a bipolar spindle and thus contributing to chromosome congression during mitosis (PubMed : 19001501, PubMed : 37728657). Required in non-mitotic cells for transport of secretory proteins from the Golgi complex to the cell surface (PubMed : 23857769).
See full target information KIF11

Publications (8)

Recent publications for all applications. Explore the full list and refine your search

Advanced biology 9:e2400748 PubMed39957575

2025

KIF11 Inhibition Induces Retinopathy Progression by Affecting Photoreceptor Cell Ciliogenesis and Cell Cycle Regulation in Development.

Applications

Unspecified application

Species

Unspecified reactive species

Yue Xu,Jie Chen,Xin-Yao Wang,Min-Hui Huang,Xiang Wei,Xin-Rui Luo,Ya-Lan Wei,Zhen-Yu She

Cellular and molecular gastroenterology and hepatology 19:101474 PubMed39923847

2025

Citrulline Inhibits Clostridioides difficile Infection With Anti-inflammatory Effects.

Applications

Unspecified application

Species

Unspecified reactive species

Ying Xie,Sophie Irwin,Becca Nelson,Mieke van Daelen,Lindsey Fontenot,Jonathan P Jacobs,Monica Cappelletti,Hanping Feng,Yiling Li,Hon Wai Koon

Experimental and therapeutic medicine 25:247 PubMed37153895

2023

Knockdown of KAT5/KIF11 induces autophagy and promotes apoptosis in anaplastic thyroid cancer cells.

Applications

Unspecified application

Species

Unspecified reactive species

Lei Fu,Lina Zhao,Chunyan Liao,Pengzhen Wang,Ying Gu,Sha Li,Liying Shi,Qiaorong Wang,Jin Xie,Lixin Zhang,Xiaoming Liu,Bei Zhang

Cell biology international 47:1209-1221 PubMed36883909

2023

ASPM promotes migration and invasion of anaplastic thyroid carcinoma by stabilizing KIF11.

Applications

Unspecified application

Species

Unspecified reactive species

Qilu Fang,Qinglin Li,Yajun Qi,Zongfu Pan,Tingting Feng,Wenxiu Xin

Cell death discovery 8:490 PubMed36513626

2022

Kinesin-5 Eg5 is essential for spindle assembly, chromosome stability and organogenesis in development.

Applications

Unspecified application

Species

Unspecified reactive species

Wen-Xin Yu,Yu-Kun Li,Meng-Fei Xu,Chen-Jie Xu,Jie Chen,Ya-Lan Wei,Zhen-Yu She

Oncology letters 24:312 PubMed35949593

2022

KIF11: A potential prognostic biomarker for predicting bone metastasis-free survival of prostate cancer.

Applications

Unspecified application

Species

Unspecified reactive species

Haoyuan Wang,Sijie Li,Bin Liu,Shufei Wei,Tianyi Wang,Tao Li,Jiahu Lin,Xiaochen Ni

Experimental and therapeutic medicine 22:1154 PubMed34504599

2021

ASPM combined with KIF11 promotes the malignant progression of hepatocellular carcinoma via the Wnt/β-catenin signaling pathway.

Applications

Unspecified application

Species

Unspecified reactive species

Bin Wu,Chunyang Hu,Lianbao Kong

Molecular medicine reports 23: PubMed33537819

2021

CDK6 is stimulated by hyperthermia and protects gastric cancer cells from hyperthermia‑induced damage.

Applications

Unspecified application

Species

Unspecified reactive species

Guanghui Liu,Hongchao Zhao,Qingqing Ding,Haohao Li,Tao Liu,Hongwei Yang,Yuanhua Liu
View all publications

Product promise

We are committed to supporting your work with high-quality reagents, and we're here for you every step of the way. In the unlikely event that one of our products does not perform as expected, you're protected by our Product Promise.
For full details, please see our Terms & Conditions

Please note: All products are 'FOR RESEARCH USE ONLY. NOT FOR USE IN DIAGNOSTIC OR THERAPEUTIC PROCEDURES'.

For licensing inquiries, please contact partnerships@abcam.com