JavaScript is disabled in your browser. Please enable JavaScript to view this website.
AB270754

Anti-Eg5 antibody [EPR23276-52] - BSA and Azide free

Be the first to review this product! Submit a review

|

(0 Publication)

Rabbit Recombinant Monoclonal Eg5 antibody. Carrier free. Suitable for IP, Flow Cyt (Intra), WB, ICC/IF, IHC-P and reacts with Human, Mouse samples.

View Alternative Names

EG5, KNSL1, TRIP5, KIF11, Kinesin-like protein KIF11, Kinesin-like protein 1, Kinesin-like spindle protein HKSP, Kinesin-related motor protein Eg5, Thyroid receptor-interacting protein 5, TR-interacting protein 5, TRIP-5

9 Images
Immunocytochemistry/ Immunofluorescence - Anti-Eg5 antibody [EPR23276-52] - BSA and Azide free (AB270754)
  • ICC/IF

Unknown

Immunocytochemistry/ Immunofluorescence - Anti-Eg5 antibody [EPR23276-52] - BSA and Azide free (AB270754)

Immunofluorescent analysis of 4% Paraformaldehyde-fixed, 0.1% Triton X-100 permeabilized HeLa cells labeling Eg5 with ab254298 at 1/50 dilution, followed by ab150077 Goat Anti-Rabbit IgG H&L (Alexa Fluor® 488) antibody at 1/1000 2 μg/ml dilution (Green). Confocal image showing cytoplasmic and spindle (arrow) staining in HeLa cells. ab195889 Anti-alpha Tubulin antibody [DM1A] - Microtubule Marker (Alexa Fluor® 594) was used to counterstain tubulin at 1/200 2.5 μg/ml dilution (Red). The nuclear counterstain was DAPI (Blue).

Secondary antibody only control : Secondary antibody is ab150077 Goat Anti-Rabbit IgG H&L (Alexa Fluor® 488) at 1/1000 2 μg/ml dilution.

This data was developed using the same antibody clone in a different buffer formulation containing PBS, BSA, glycerol, and sodium azide (ab254298).

Immunohistochemistry (Formalin/PFA-fixed paraffin-embedded sections) - Anti-Eg5 antibody [EPR23276-52] - BSA and Azide free (AB270754)
  • IHC-P

Unknown

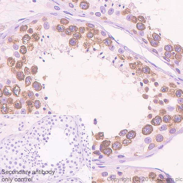
Immunohistochemistry (Formalin/PFA-fixed paraffin-embedded sections) - Anti-Eg5 antibody [EPR23276-52] - BSA and Azide free (AB270754)

Immunohistochemical analysis of paraffin-embedded human testis tissue labeling Eg5 with 254298 at 1/1/4000 (0.17μg/ml) followed by a ready to use Goat Anti-Rabbit IgG H&L (HRP). Cytoplasmic staining in spermatocytes of human testis is observed.
The section was incubated with ab254298 for 30 mins at room temperature.
The immunostaining was performed on a Leica Biosystems BOND® RX instrument Counterstained with hematoxylin.

Secondary antibody only control : Secondary antibody is a ready to use Goat Anti-Rabbit IgG H&L (HRP).

Heat mediated antigen retrieval with Tris-EDTA buffer (pH 9.0, epitope retrieval solution2) for 20 mins.

This data was developed using the same antibody clone in a different buffer formulation containing PBS, BSA, glycerol, and sodium azide (ab254298).

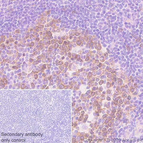
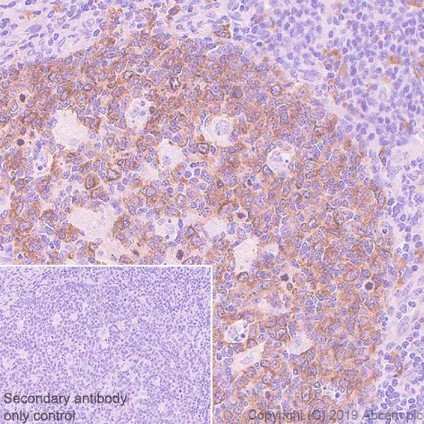
Immunohistochemistry (Formalin/PFA-fixed paraffin-embedded sections) - Anti-Eg5 antibody [EPR23276-52] - BSA and Azide free (AB270754)
  • IHC-P

Unknown

Immunohistochemistry (Formalin/PFA-fixed paraffin-embedded sections) - Anti-Eg5 antibody [EPR23276-52] - BSA and Azide free (AB270754)

Immunohistochemical analysis of paraffin-embedded human tonsil tissue labeling Eg5 with 254298 at 1/4000 (0.17μg/ml) followed by a ready to use Goat Anti-Rabbit IgG H&L (HRP). Cytoplasmic staining in human tonsil is observed (PMID : 25277178).
The section was incubated with ab254298 for 30 mins at room temperature.
The immunostaining was performed on a Leica Biosystems BOND® RX instrument Counterstained with hematoxylin.

Secondary antibody only control : Secondary antibody is a ready to use Goat Anti-Rabbit IgG H&L (HRP).

Heat mediated antigen retrieval with Tris-EDTA buffer (pH 9.0, epitope retrieval solution2) for 20 mins.

This data was developed using the same antibody clone in a different buffer formulation containing PBS, BSA, glycerol, and sodium azide (ab254298).

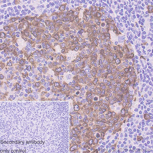
Immunohistochemistry (Formalin/PFA-fixed paraffin-embedded sections) - Anti-Eg5 antibody [EPR23276-52] - BSA and Azide free (AB270754)
  • IHC-P

Unknown

Immunohistochemistry (Formalin/PFA-fixed paraffin-embedded sections) - Anti-Eg5 antibody [EPR23276-52] - BSA and Azide free (AB270754)

Immunohistochemical analysis of paraffin-embedded human breast cancer tissue labeling Eg5 with ab254298 at 1/4000 (0.17μg/ml) followed by a ready to use Goat Anti-Rabbit IgG H&L (HRP). Scattered cytoplasmic staining in human breast cancer cells is observed (PMID : 29181100).
The section was incubated with ab254298 for 30 mins at room temperature.
The immunostaining was performed on a Leica Biosystems BOND® RX instrument Counterstained with hematoxylin.

Secondary antibody only control : Secondary antibody is a ready to use Goat Anti-Rabbit IgG H&L (HRP).

Heat mediated antigen retrieval with Tris-EDTA buffer (pH 9.0, epitope retrieval solution2) for 20 mins.

This data was developed using the same antibody clone in a different buffer formulation containing PBS, BSA, glycerol, and sodium azide (ab254298).

Flow Cytometry (Intracellular) - Anti-Eg5 antibody [EPR23276-52] - BSA and Azide free (AB270754)
  • Flow Cyt (Intra)

Unknown

Flow Cytometry (Intracellular) - Anti-Eg5 antibody [EPR23276-52] - BSA and Azide free (AB270754)

Intracellular flow cytometric analysis of 4% paraformaldehyde fixed 90% methanol permeabilized HeLa (Human cervix adenocarcinoma epithelial cell) cells labeling Eg5 with ab254298 at 1/600 dilution (0.1μg) (Red) compared with a Rabbit monoclonal IgG (ab172730) / Black isotype control and an unlabeled control (cells without incubation with primary antibody and secondary antibody) (Blue). A Goat anti rabbit IgG (Alexa Fluor® 488, ab150077) at 1/2000 dilution was used as the secondary antibody.

This data was developed using the same antibody clone in a different buffer formulation containing PBS, BSA, glycerol, and sodium azide (ab254298).

Immunoprecipitation - Anti-Eg5 antibody [EPR23276-52] - BSA and Azide free (AB270754)
  • IP

Unknown

Immunoprecipitation - Anti-Eg5 antibody [EPR23276-52] - BSA and Azide free (AB270754)

Eg5 was immunoprecipitated from 0.35 mg HeLa (human cervix adenocarcinoma epithelial cell), whole cell lysate 10 ug with ab254298 at 1/30 dilution (2ug in 0.35mg lysates). Western blot was performed on the immunoprecipitate using ab254298 at 1/1000 dilution. VeriBlot for IP Detection Reagent (HRP)(ab131366) was used at 1/5000 dilution.

Lane 1 : HeLa whole cell lysate 10 ug.

Lane 2 : ab254298 IP in HeLa whole cell lysate.

Lane 3 : Rabbit monoclonal IgG (ab172730) instead of ab254298 in HeLa whole cell lysate.

Blocking and dilution buffer and concentration : 5% NFDM/TBST.

Exposure time : 3 minutes.

Fresh lysates were used in this IP.

This data was developed using the same antibody clone in a different buffer formulation containing PBS, BSA, glycerol, and sodium azide (ab254298).

All lanes:

Immunoprecipitation - Anti-Eg5 antibody [EPR23276-52] (<a href='/en-us/products/primary-antibodies/eg5-antibody-epr23276-52-ab254298'>ab254298</a>)

Predicted band size: 119 kDa

false

Immunocytochemistry/ Immunofluorescence - Anti-Eg5 antibody [EPR23276-52] - BSA and Azide free (AB270754)
  • ICC/IF

Unknown

Immunocytochemistry/ Immunofluorescence - Anti-Eg5 antibody [EPR23276-52] - BSA and Azide free (AB270754)

Immunofluorescent analysis of 4% Paraformaldehyde-fixed, 0.1% Triton X-100 permeabilized NIH/3T3 cells labeling Eg5 with ab254298 at 1/50 dilution, followed by ab150077 Goat Anti-Rabbit IgG H&L (Alexa Fluor® 488) antibody at 1/1000 2 μg/ml dilution (Green). Confocal image showing cytoplasmic and spindle (arrow) staining in NIH/3T3 cells. ab195889 Anti-alpha Tubulin antibody [DM1A] - Microtubule Marker (Alexa Fluor® 594) was used to counterstain tubulin at 1/200 2.5 μg/ml dilution (Red). The nuclear counterstain was DAPI (Blue).

Secondary antibody only control : Secondary antibody is ab150077 Goat Anti-Rabbit IgG H&L (Alexa Fluor® 488) at 1/1000 2 μg/ml dilution.

This data was developed using the same antibody clone in a different buffer formulation containing PBS, BSA, glycerol, and sodium azide (ab254298).

Flow Cytometry (Intracellular) - Anti-Eg5 antibody [EPR23276-52] - BSA and Azide free (AB270754)
  • Flow Cyt (Intra)

Unknown

Flow Cytometry (Intracellular) - Anti-Eg5 antibody [EPR23276-52] - BSA and Azide free (AB270754)

Intracellular flow cytometric analysis of 4% paraformaldehyde fixed 90% methanol permeabilized NIH/3T3 (Mouse embryonic fibroblast) cells labeling Eg5 with ab254298 at 1/600 dilution (0.1μg) (Red) compared with a Rabbit monoclonal IgG (ab172730) / Black isotype control and an unlabeled control (cells without incubation with primary antibody and secondary antibody) (Blue). A Goat anti rabbit IgG (Alexa Fluor® 488, ab150077) at 1/2000 dilution was used as the secondary antibody.

This data was developed using the same antibody clone in a different buffer formulation containing PBS, BSA, glycerol, and sodium azide (ab254298).

Immunoprecipitation - Anti-Eg5 antibody [EPR23276-52] - BSA and Azide free (AB270754)
  • IP

Unknown

Immunoprecipitation - Anti-Eg5 antibody [EPR23276-52] - BSA and Azide free (AB270754)

Eg5 was immunoprecipitated from 0.35 mg NIH/3T3 (mouse embryonic fibroblast), whole cell lysate 10 ug with ab254298 at 1/30 dilution (2ug in 0.35mg lysates). Western blot was performed on the immunoprecipitate using ab254298 at 1/1000 dilution. VeriBlot for IP Detection Reagent (HRP)(ab131366) was used at 1/5000 dilution.

Lane 1 : NIH/3T3 whole cell lysate 10 ug.

Lane 2 : ab254298 IP in NIH/3T3 whole cell lysate.

Lane 3 : Rabbit monoclonal IgG (ab172730) instead of ab254298 in NIH/3T3 whole cell lysate.

Blocking and dilution buffer and concentration : 5% NFDM/TBST.

Exposure time : 3 minutes

Fresh lysates were used in this IP.

This data was developed using the same antibody clone in a different buffer formulation containing PBS, BSA, glycerol, and sodium azide (ab254298).

All lanes:

Immunoprecipitation - Anti-Eg5 antibody [EPR23276-52] (<a href='/en-us/products/primary-antibodies/eg5-antibody-epr23276-52-ab254298'>ab254298</a>)

Predicted band size: 119 kDa

false

  • Unconjugated

    Anti-Eg5 antibody [EPR23276-52]

  • 665 Alexa Fluor® 647

    Alexa Fluor® 647 Anti-Eg5 antibody [EPR23276-52]

  • 578 PE

    PE Anti-Eg5 antibody [EPR23276-52]

Key facts

Host species

Rabbit

Clonality

Monoclonal

Clone number

EPR23276-52

Isotype

IgG

Carrier free

Yes

Reacts with

Mouse, Human

Applications

Flow Cyt (Intra), WB, IHC-P, IP, ICC/IF

applications

Immunogen

The exact immunogen used to generate this antibody is proprietary information.

Reactivity data

{ "title": "Reactivity Data", "filters": { "stats": ["", "Species", "Dilution Info", "Notes"], "tabs": { "all-applications": {"fullname" : "All Applications", "shortname": "All Applications"}, "IP" : {"fullname" : "Immunoprecipitation", "shortname":"IP"}, "FlowCytIntra" : {"fullname" : "Flow Cytometry (Intracellular)", "shortname":"Flow Cyt (Intra)"}, "WB" : {"fullname" : "Western blot", "shortname":"WB"}, "ICCIF" : {"fullname" : "Immunocytochemistry/ Immunofluorescence", "shortname":"ICC/IF"}, "IHCP" : {"fullname" : "Immunohistochemistry (Formalin/PFA-fixed paraffin-embedded sections)", "shortname":"IHC-P"}, "IHCFr" : {"fullname" : "Immunohistochemistry (Frozen sections)", "shortname":"IHC-Fr"} }, "product-promise": { "all": "all", "testedAndGuaranteed": "tested", "guaranteed": "expected", "predicted": "predicted", "notRecommended": "not-recommended" } }, "values": { "Human": { "IP-species-checked": "testedAndGuaranteed", "IP-species-dilution-info": "", "IP-species-notes": "<p></p>", "FlowCytIntra-species-checked": "testedAndGuaranteed", "FlowCytIntra-species-dilution-info": "", "FlowCytIntra-species-notes": "<p></p>", "WB-species-checked": "guaranteed", "WB-species-dilution-info": "", "WB-species-notes": "<p></p>", "ICCIF-species-checked": "guaranteed", "ICCIF-species-dilution-info": "", "ICCIF-species-notes": "", "IHCP-species-checked": "testedAndGuaranteed", "IHCP-species-dilution-info": "", "IHCP-species-notes": "<p></p>", "IHCFr-species-checked": "notRecommended", "IHCFr-species-dilution-info": "", "IHCFr-species-notes": "" }, "Mouse": { "IP-species-checked": "testedAndGuaranteed", "IP-species-dilution-info": "", "IP-species-notes": "<p></p>", "FlowCytIntra-species-checked": "testedAndGuaranteed", "FlowCytIntra-species-dilution-info": "", "FlowCytIntra-species-notes": "<p></p>", "WB-species-checked": "guaranteed", "WB-species-dilution-info": "", "WB-species-notes": "<p></p>", "ICCIF-species-checked": "testedAndGuaranteed", "ICCIF-species-dilution-info": "", "ICCIF-species-notes": "<p></p>", "IHCP-species-checked": "notRecommended", "IHCP-species-dilution-info": "", "IHCP-species-notes": "<p></p>", "IHCFr-species-checked": "notRecommended", "IHCFr-species-dilution-info": "", "IHCFr-species-notes": "<p></p>" }, "Rat": { "IP-species-checked": "notRecommended", "IP-species-dilution-info": "", "IP-species-notes": "", "FlowCytIntra-species-checked": "notRecommended", "FlowCytIntra-species-dilution-info": "", "FlowCytIntra-species-notes": "", "WB-species-checked": "notRecommended", "WB-species-dilution-info": "", "WB-species-notes": "", "ICCIF-species-checked": "notRecommended", "ICCIF-species-dilution-info": "", "ICCIF-species-notes": "", "IHCP-species-checked": "notRecommended", "IHCP-species-dilution-info": "", "IHCP-species-notes": "<p></p>", "IHCFr-species-checked": "notRecommended", "IHCFr-species-dilution-info": "", "IHCFr-species-notes": "<p></p>" } } }

Product details

ab270754 is the carrier-free version of ab254298.

Patented technology
Our RabMAb® technology is a patented hybridoma-based technology for making rabbit monoclonal antibodies. For details on our patents, please refer to RabMAb® patents.

What are the advantages of a recombinant monoclonal antibody?
This product is a recombinant monoclonal antibody, which offers several advantages including:

  • - High batch-to-batch consistency and reproducibility
  • - Improved sensitivity and specificity
  • - Long-term security of supply
  • - Animal-free batch production

For more information, read more on recombinant antibodies.

Conjugation ready
Our carrier-free antibodies are typically supplied in a PBS-only formulation, purified and free of BSA, sodium azide and glycerol. This conjugation-ready format is designed for use with fluorochromes, metal isotopes, oligonucleotides, and enzymes, which makes them ideal for antibody labelling, functional and cell-based assays, flow-based assays (e.g. mass cytometry) and Multiplex Imaging applications.

Use our conjugation kits for antibody conjugates that are ready-to-use in as little as 20 minutes with 1 minute hands-on-time and 100% antibody recovery: available for fluorescent dyes, HRP, biotin and gold.

Compatibility
This product is compatible with the Maxpar® Antibody Labeling Kit from Fluidigm, without the need for antibody preparation. Maxpar® is a trademark of Fluidigm Canada Inc.

Properties and storage information

Form
Liquid
Purification technique
Affinity purification Protein A
Storage buffer
pH: 7.2 - 7.4 Constituents: PBS
Shipped at conditions
Blue Ice
Appropriate short-term storage conditions
+4°C
Appropriate long-term storage conditions
+4°C
Storage information
Do Not Freeze

Supplementary information

This supplementary information is collated from multiple sources and compiled automatically.

The Eg5 protein also known scientifically as kinesin family member 11 (KIF11) plays an important role in cell mitosis. It functions mechanically as a plus-end directed motor involved in the separation of centrosomes during the early stage of cell division. Eg5 with an approximate mass of 116 kDa is responsible for the proper alignment and segregation of spindle fibers. The protein is expressed in rapidly dividing cells particularly within tissues with high turnover rates such as bone marrow and epithelium.
Biological function summary

The motor function of Eg5 is indispensable for the mitotic spindle organization. It provides the force necessary to push microtubules in opposite directions. Eg5 functions as part of a complex cellular machinery that includes proteins like dynein and other kinesins. By controlling spindle bipolarity it ensures accurate chromosome segregation during cell division preventing errors that could lead to aneuploidy.

Pathways

The action of Eg5 is fundamental in mitotic pathways including the spindle assembly checkpoint pathway. It interacts with proteins such as cyclin-dependent kinases (CDKs) which regulate its activity to ensure proper cell cycle progression. The protein's role is integral in facilitating the dynamics of the metaphase spindle checkpoint guaranteeing cell cycle fidelity.

Eg5 is linked to certain types of cancers where there is abnormal cell division. The overexpression or dysregulation of Eg5 can contribute to tumorigenesis. Additionally Eg5 interacts with proteins involved in cancer such as p53 a tumor suppressor protein directly influencing cellular proliferation and survival. Researchers target Eg5 in the development of anticancer therapies to inhibit its activity aiming to obstruct malignant cell proliferation.

Product protocols

For this product, it's our understanding that no specific protocols are required. You can visit:

Target data

Motor protein required for establishing a bipolar spindle and thus contributing to chromosome congression during mitosis (PubMed : 19001501, PubMed : 37728657). Required in non-mitotic cells for transport of secretory proteins from the Golgi complex to the cell surface (PubMed : 23857769).
See full target information KIF11

Product promise

We are committed to supporting your work with high-quality reagents, and we're here for you every step of the way. In the unlikely event that one of our products does not perform as expected, you're protected by our Product Promise.
For full details, please see our Terms & Conditions

Please note: All products are 'FOR RESEARCH USE ONLY. NOT FOR USE IN DIAGNOSTIC OR THERAPEUTIC PROCEDURES'.

For licensing inquiries, please contact partnerships@abcam.com