JavaScript is disabled in your browser. Please enable JavaScript to view this website.
AB272220

Anti-Eg5 antibody [EPR23277-7]

Be the first to review this product! Submit a review

|

(1 Publication)

Rabbit Recombinant Monoclonal Eg5 antibody. Suitable for WB, ICC/IF, Flow Cyt (Intra), IHC-P and reacts with Mouse, Rat, Human samples. Cited in 1 publication.

View Alternative Names

EG5, KNSL1, TRIP5, KIF11, Kinesin-like protein KIF11, Kinesin-like protein 1, Kinesin-like spindle protein HKSP, Kinesin-related motor protein Eg5, Thyroid receptor-interacting protein 5, TR-interacting protein 5, TRIP-5

10 Images
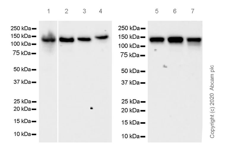
Western blot - Anti-Eg5 antibody [EPR23277-7] (AB272220)
  • WB

Lab

Western blot - Anti-Eg5 antibody [EPR23277-7] (AB272220)

Blocking and diluting buffer and concentration : 5% NFDM/TBST.

Fresh lysates were used in this WB.

Exposure times : Lane 1 : 8 seconds; Lanes 2-7 : 48 seconds.

All lanes:

Western blot - Anti-Eg5 antibody [EPR23277-7] (ab272220) at 1/1000 dilution

Lane 1:

Jurkat (human T cell leukemia T lymphocyte), whole cell lysate at 20 µg

Lane 2:

NCI-H1975 (human adenocarcinoma lung epithelial cell), whole cell lysate at 20 µg

Lane 3:

MCF7 (human breast adenocarcinoma epithelial cell), whole cell lysate at 20 µg

Lane 4:

4T1 (mouse mammary gland carcinoma epithelial cell), whole cell lysate at 20 µg

Lane 5:

HeLa (human cervix adenocarcinoma epithelial cell) whole cell lysate at 20 µg

Lane 6:

HEK-293 (human embryonic kidney epithelial cell) whole cell lysate at 20 µg

Lane 7:

AR42J (rat pancreatic tumor epithelial cell) whole cell lysate at 20 µg

Secondary

All lanes:

Goat Anti-Rabbit IgG, (H+L), Peroxidase conjugated (<a href='/en-us/products/secondary-antibodies/goat-rabbit-igg-h-l-hrp-ab97051'>ab97051</a>) at 1/100000 dilution

Predicted band size: 119 kDa

Observed band size: 130 kDa

false

Immunocytochemistry/ Immunofluorescence - Anti-Eg5 antibody [EPR23277-7] (AB272220)
  • ICC/IF

Unknown

Immunocytochemistry/ Immunofluorescence - Anti-Eg5 antibody [EPR23277-7] (AB272220)

Immunofluorescent analysis of 4% Paraformaldehyde-fixed, 0.1% Triton X-100 permeabilized NIH/3T3 cells labeling Eg5 with ab272220 at 1/50 dilution, followed by ab150077 Goat Anti-Rabbit IgG H&L (Alexa Fluor® 488) antibody at 1/1000 dilution (Green). Confocal image showing spindle fibre and cytoplasmic staining in NIH/3T3 cell line. ab195889 Anti-alpha Tubulin antibody (Alexa Fluor® 594) was used to counterstain tubulin at 1/1000 dilution (Red). The nuclear counterstain was DAPI (Blue).

Secondary antibody only control : Secondary antibody is ab150077 Goat Anti-Rabbit IgG H&L (Alexa Fluor® 488) at 1/1000 dilution.

Immunocytochemistry/ Immunofluorescence - Anti-Eg5 antibody [EPR23277-7] (AB272220)
  • ICC/IF

Unknown

Immunocytochemistry/ Immunofluorescence - Anti-Eg5 antibody [EPR23277-7] (AB272220)

Immunofluorescent analysis of 4% Paraformaldehyde-fixed, 0.1% Triton X-100 permeabilized HeLa cells labeling Eg5 with ab272220 at 1/50 dilution, followed by ab150077 Goat Anti-Rabbit IgG H&L (Alexa Fluor® 488) antibody at 1/1000 dilution (Green). Confocal image showing spindle fibre and cytoplasmic staining in HeLa cell line. ab195889 Anti-alpha Tubulin antibody (Alexa Fluor® 594) was used to counterstain tubulin at 1/1000 dilution (Red). The nuclear counterstain was DAPI (Blue).

Secondary antibody only control : Secondary antibody is ab150077 Goat Anti-Rabbit IgG H&L (Alexa Fluor® 488) at 1/1000 dilution.

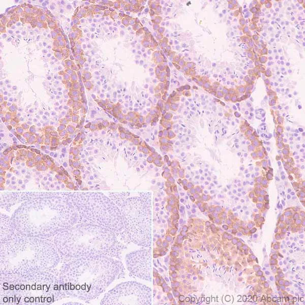
Immunohistochemistry (Formalin/PFA-fixed paraffin-embedded sections) - Anti-Eg5 antibody [EPR23277-7] (AB272220)
  • IHC-P

Unknown

Immunohistochemistry (Formalin/PFA-fixed paraffin-embedded sections) - Anti-Eg5 antibody [EPR23277-7] (AB272220)

Immunohistochemical analysis of paraffin-embedded mouse testis tissue labeling Eg5 with ab272220 at 1/500 dilution followed by a ready to use Goat Anti-Rabbit IgG H&L (HRP). Cytoplasmic staining in spermatocytes and spermatogonnia of mouse testis is observed. The section was incubated with ab272220 for 30 mins at room temperature. The immunostaining was performed on a Leica Biosystems BOND® RX instrument Counterstained with hematoxylin.

Secondary antibody only control : Secondary antibody is a ready to use Goat Anti-Rabbit IgG H&L (HRP).

Heat mediated antigen retrieval with Tris-EDTA buffer (pH 9.0, epitope retrieval solution2) for 20 mins.

Flow Cytometry (Intracellular) - Anti-Eg5 antibody [EPR23277-7] (AB272220)
  • Flow Cyt (Intra)

Unknown

Flow Cytometry (Intracellular) - Anti-Eg5 antibody [EPR23277-7] (AB272220)

Intracellular flow cytometric analysis of 80% methanol fixed 0.1% Tween-20 permeabilized HeLa (Human cervix adenocarcinoma epithelial cell) cells labeling Eg5 with ab272220 at 1/50 dilution (0.1μg)/ Right compared with a Rabbit monoclonal IgG (ab172730) / Left isotype control. Goat anti rabbit IgG (Alexa Fluor® 488, ab150077) at 1/2000 dilution was used as the secondary antibody. Cells were pre-treated with 20μg/ml RNaseA for 30min to minimize the binding between Propidium Iodide (PI) and RNA. Then intracellularly stained with ab272220 and PI. Propidium Iodide Flow Cytometry Kit (ab139418) was used for RNaseA treatment and PI staining.

Immunohistochemistry (Formalin/PFA-fixed paraffin-embedded sections) - Anti-Eg5 antibody [EPR23277-7] (AB272220)
  • IHC-P

Unknown

Immunohistochemistry (Formalin/PFA-fixed paraffin-embedded sections) - Anti-Eg5 antibody [EPR23277-7] (AB272220)

Immunohistochemical analysis of paraffin-embedded rat testis tissue labeling Eg5 with ab272220 at 1/500 dilution followed by a ready to use Goat Anti-Rabbit IgG H&L (HRP). Cytoplasmic staining in spermatocytes and spermatogonnia of rat testis is observed. The section was incubated with ab272220 for 30 mins at room temperature. The immunostaining was performed on a Leica Biosystems BOND® RX instrument Counterstained with hematoxylin.

Secondary antibody only control : Secondary antibody is a ready to use Goat Anti-Rabbit IgG H&L (HRP).

Heat mediated antigen retrieval with Tris-EDTA buffer (pH 9.0, epitope retrieval solution2) for 20 mins.

Immunohistochemistry (Formalin/PFA-fixed paraffin-embedded sections) - Anti-Eg5 antibody [EPR23277-7] (AB272220)
  • IHC-P

Unknown

Immunohistochemistry (Formalin/PFA-fixed paraffin-embedded sections) - Anti-Eg5 antibody [EPR23277-7] (AB272220)

Immunohistochemical analysis of paraffin-embedded human tonsil tissue labeling Eg5 with ab272220 at 1/500 dilution followed by a ready to use Goat Anti-Rabbit IgG H&L (HRP). Cytoplasmic staining in germinal center of human tonsil is observed (PMID : 25277178). The section was incubated with ab272220 for 30 mins at room temperature. The immunostaining was performed on a Leica Biosystems BOND® RX instrument Counterstained with hematoxylin.

Secondary antibody only control : Secondary antibody is a ready to use Goat Anti-Rabbit IgG H&L (HRP).

Heat mediated antigen retrieval with Tris-EDTA buffer (pH 9.0, epitope retrieval solution2) for 20 mins.

Immunohistochemistry (Formalin/PFA-fixed paraffin-embedded sections) - Anti-Eg5 antibody [EPR23277-7] (AB272220)
  • IHC-P

Unknown

Immunohistochemistry (Formalin/PFA-fixed paraffin-embedded sections) - Anti-Eg5 antibody [EPR23277-7] (AB272220)

Immunohistochemical analysis of paraffin-embedded human breast cancer tissue labeling Eg5 with ab272220 at 1/500 dilution followed by a ready to use Goat Anti-Rabbit IgG H&L (HRP). Scattered cytoplasmic staining in human breast cancer cells is observed (PMID : 29181100). The section was incubated with ab272220 for 30 mins at room temperature. The immunostaining was performed on a Leica Biosystems BOND® RX instrument Counterstained with hematoxylin.

Secondary antibody only control : Secondary antibody is a ready to use Goat Anti-Rabbit IgG H&L (HRP).

Heat mediated antigen retrieval with Tris-EDTA buffer (pH 9.0, epitope retrieval solution2) for 20 mins.

Western blot - Anti-Eg5 antibody [EPR23277-7] (AB272220)
  • WB

Lab

Western blot - Anti-Eg5 antibody [EPR23277-7] (AB272220)

Blocking and diluting buffer and concentration : 5% NFDM/TBST.

The expression profile observed is consistent with what has been described in the literature (PMID : 23857769; 27492783).

Negative control : Human lung (PMID : 27279560).

The minor bands beneath the target band may correspond to degradation.

Exposure time : 70 seconds.

All lanes:

Western blot - Anti-Eg5 antibody [EPR23277-7] (ab272220) at 1/1000 dilution

Lane 1:

Human testis tissue lysate at 20 µg

Lane 2:

Human tonsil tissue lysate at 20 µg

Lane 3:

Human lung tissue lysate at 20 µg

Secondary

All lanes:

VeriBlot for IP secondary antibody(HRP)(<a href='/en-us/products/reagents/veriblot-for-ip-detection-reagent-hrp-ab131366'>ab131366</a>) at 1/1000 dilution

Predicted band size: 119 kDa

Observed band size: 130 kDa

false

Western blot - Anti-Eg5 antibody [EPR23277-7] (AB272220)
  • WB

Lab

Western blot - Anti-Eg5 antibody [EPR23277-7] (AB272220)

Blocking and diluting buffer and concentration : 5% NFDM/TBST.

The minor bands beneath the target band may correspond to degradation.

Exposure time : Lanes 1-2 : 10 seconds; Lane 3 : 3 seconds;Lane 4 : 26 seconds.

All lanes:

Western blot - Anti-Eg5 antibody [EPR23277-7] (ab272220) at 1/1000 dilution

Lane 1:

Mouse testis tissue lysate at 20 µg

Lane 2:

Rat testis tissue lysate at 20 µg

Lane 3:

PC-12 (rat adrenal gland pheochromocytoma ) whole cell lysate at 20 µg

Lane 4:

NIH/3T3 (mouse embryonic fibroblast) whole cell lysate at 20 µg

Secondary

All lanes:

Goat Anti-Rabbit IgG, (H+L), Peroxidase conjugated (<a href='/en-us/products/secondary-antibodies/goat-rabbit-igg-h-l-hrp-ab97051'>ab97051</a>) at 1/100000 dilution

Predicted band size: 119 kDa

Observed band size: 130 kDa

false

  • Carrier free

    Anti-Eg5 antibody [EPR23277-7] - BSA and Azide free

Key facts

Host species

Rabbit

Clonality

Monoclonal

Clone number

EPR23277-7

Isotype

IgG

Carrier free

No

Reacts with

Mouse, Rat, Human

Applications

WB, ICC/IF, IHC-P, Flow Cyt (Intra)

applications

Immunogen

The exact immunogen used to generate this antibody is proprietary information.

Reactivity data

{ "title": "Reactivity Data", "filters": { "stats": ["", "Species", "Dilution Info", "Notes"], "tabs": { "all-applications": {"fullname" : "All Applications", "shortname": "All Applications"}, "IP" : {"fullname" : "Immunoprecipitation", "shortname":"IP"}, "WB" : {"fullname" : "Western blot", "shortname":"WB"}, "ICCIF" : {"fullname" : "Immunocytochemistry/ Immunofluorescence", "shortname":"ICC/IF"}, "IHCFr" : {"fullname" : "Immunohistochemistry (Frozen sections)", "shortname":"IHC-Fr"}, "FlowCytIntra" : {"fullname" : "Flow Cytometry (Intracellular)", "shortname":"Flow Cyt (Intra)"}, "IHCP" : {"fullname" : "Immunohistochemistry (Formalin/PFA-fixed paraffin-embedded sections)", "shortname":"IHC-P"} }, "product-promise": { "all": "all", "testedAndGuaranteed": "tested", "guaranteed": "expected", "predicted": "predicted", "notRecommended": "not-recommended" } }, "values": { "Human": { "IP-species-checked": "notRecommended", "IP-species-dilution-info": "", "IP-species-notes": "<p></p> Perform heat-mediated antigen retrieval with Tris/EDTA buffer pH 9.0 before commencing with IHC staining protocol.", "WB-species-checked": "testedAndGuaranteed", "WB-species-dilution-info": "1/1000", "WB-species-notes": "<p></p>", "ICCIF-species-checked": "testedAndGuaranteed", "ICCIF-species-dilution-info": "1/50", "ICCIF-species-notes": "<p></p>", "IHCFr-species-checked": "notRecommended", "IHCFr-species-dilution-info": "", "IHCFr-species-notes": "", "FlowCytIntra-species-checked": "testedAndGuaranteed", "FlowCytIntra-species-dilution-info": "1/50", "FlowCytIntra-species-notes": "<p></p>", "IHCP-species-checked": "testedAndGuaranteed", "IHCP-species-dilution-info": "1/500", "IHCP-species-notes": "<p></p> Perform heat-mediated antigen retrieval with Tris/EDTA buffer pH 9.0 before commencing with IHC staining protocol." }, "Mouse": { "IP-species-checked": "notRecommended", "IP-species-dilution-info": "", "IP-species-notes": "<p></p> Perform heat-mediated antigen retrieval with Tris/EDTA buffer pH 9.0 before commencing with IHC staining protocol.", "WB-species-checked": "testedAndGuaranteed", "WB-species-dilution-info": "1/1000", "WB-species-notes": "<p></p> Perform heat-mediated antigen retrieval with Tris/EDTA buffer pH 9.0 before commencing with IHC staining protocol.", "ICCIF-species-checked": "testedAndGuaranteed", "ICCIF-species-dilution-info": "1/50", "ICCIF-species-notes": "<p></p>", "IHCFr-species-checked": "notRecommended", "IHCFr-species-dilution-info": "", "IHCFr-species-notes": "<p></p>", "FlowCytIntra-species-checked": "guaranteed", "FlowCytIntra-species-dilution-info": "", "FlowCytIntra-species-notes": "", "IHCP-species-checked": "testedAndGuaranteed", "IHCP-species-dilution-info": "1/500", "IHCP-species-notes": "<p></p> Perform heat-mediated antigen retrieval with Tris/EDTA buffer pH 9.0 before commencing with IHC staining protocol." }, "Rat": { "IP-species-checked": "notRecommended", "IP-species-dilution-info": "", "IP-species-notes": "", "WB-species-checked": "testedAndGuaranteed", "WB-species-dilution-info": "1/1000", "WB-species-notes": "<p></p>", "ICCIF-species-checked": "guaranteed", "ICCIF-species-dilution-info": "", "ICCIF-species-notes": "", "IHCFr-species-checked": "notRecommended", "IHCFr-species-dilution-info": "", "IHCFr-species-notes": "<p></p>", "FlowCytIntra-species-checked": "guaranteed", "FlowCytIntra-species-dilution-info": "", "FlowCytIntra-species-notes": "", "IHCP-species-checked": "testedAndGuaranteed", "IHCP-species-dilution-info": "1/500", "IHCP-species-notes": "<p></p> Perform heat-mediated antigen retrieval with Tris/EDTA buffer pH 9.0 before commencing with IHC staining protocol." } } }

Product details

Patented technology
Our RabMAb® technology is a patented hybridoma-based technology for making rabbit monoclonal antibodies. For details on our patents, please refer to RabMAb® patents.

What are the advantages of a recombinant monoclonal antibody?
This product is a recombinant monoclonal antibody, which offers several advantages including:

  • - High batch-to-batch consistency and reproducibility
  • - Improved sensitivity and specificity
  • - Long-term security of supply
  • - Animal-free batch production

For more information, read more on recombinant antibodies.

Properties and storage information

Form
Liquid
Purification technique
Affinity purification Protein A
Storage buffer
pH: 7.2 - 7.4 Preservative: 0.01% Sodium azide Constituents: PBS, 40% Glycerol (glycerin, glycerine), 0.05% BSA
Shipped at conditions
Blue Ice
Appropriate short-term storage duration
1-2 weeks
Appropriate short-term storage conditions
+4°C
Appropriate long-term storage conditions
-20°C
Aliquoting information
Upon delivery aliquot
Storage information
Avoid freeze / thaw cycle

Supplementary information

This supplementary information is collated from multiple sources and compiled automatically.

The Eg5 protein also known scientifically as kinesin family member 11 (KIF11) plays an important role in cell mitosis. It functions mechanically as a plus-end directed motor involved in the separation of centrosomes during the early stage of cell division. Eg5 with an approximate mass of 116 kDa is responsible for the proper alignment and segregation of spindle fibers. The protein is expressed in rapidly dividing cells particularly within tissues with high turnover rates such as bone marrow and epithelium.
Biological function summary

The motor function of Eg5 is indispensable for the mitotic spindle organization. It provides the force necessary to push microtubules in opposite directions. Eg5 functions as part of a complex cellular machinery that includes proteins like dynein and other kinesins. By controlling spindle bipolarity it ensures accurate chromosome segregation during cell division preventing errors that could lead to aneuploidy.

Pathways

The action of Eg5 is fundamental in mitotic pathways including the spindle assembly checkpoint pathway. It interacts with proteins such as cyclin-dependent kinases (CDKs) which regulate its activity to ensure proper cell cycle progression. The protein's role is integral in facilitating the dynamics of the metaphase spindle checkpoint guaranteeing cell cycle fidelity.

Eg5 is linked to certain types of cancers where there is abnormal cell division. The overexpression or dysregulation of Eg5 can contribute to tumorigenesis. Additionally Eg5 interacts with proteins involved in cancer such as p53 a tumor suppressor protein directly influencing cellular proliferation and survival. Researchers target Eg5 in the development of anticancer therapies to inhibit its activity aiming to obstruct malignant cell proliferation.

Product protocols

For this product, it's our understanding that no specific protocols are required. You can visit:

Target data

Motor protein required for establishing a bipolar spindle and thus contributing to chromosome congression during mitosis (PubMed : 19001501, PubMed : 37728657). Required in non-mitotic cells for transport of secretory proteins from the Golgi complex to the cell surface (PubMed : 23857769).
See full target information KIF11

Publications (1)

Recent publications for all applications. Explore the full list and refine your search

Frontiers in oncology 11:670218 PubMed33968780

2021

KIF11 Serves as an Independent Prognostic Factor and Therapeutic Target for Patients With Lung Adenocarcinoma.

Applications

Unspecified application

Species

Unspecified reactive species

Zhaodong Li,Bingxin Yu,Fangyuan Qi,Fan Li
View all publications

Product promise

We are committed to supporting your work with high-quality reagents, and we're here for you every step of the way. In the unlikely event that one of our products does not perform as expected, you're protected by our Product Promise.
For full details, please see our Terms & Conditions

Associated Products

Select an associated product type
Alternative Product
Primary Antibodies

AB254298

Anti-Eg5 antibody [EPR23276-52]

primary-antibodies

eg5-antibody-epr23276-52-ab254298

0

(0 reviews)

Alternative Product
Primary Antibodies

AB249676

Anti-Eg5 antibody [EPR12280] - BSA and Azide free

primary-antibodies

eg5-antibody-epr12280-bsa-and-azide-free-ab249676

0

(0 reviews)

Alternative Product
Primary Antibodies

AB254299

Anti-Eg5 antibody [EPR23277-60]

primary-antibodies

eg5-antibody-epr23277-60-ab254299

0

(0 reviews)

Alternative Product
Primary Antibodies

AB270754

Anti-Eg5 antibody [EPR23276-52] - BSA and Azide free

primary-antibodies

eg5-antibody-epr23276-52-bsa-and-azide-free-ab270754

0

(0 reviews)

Alternative Product
Primary Antibodies

AB270409

Anti-Eg5 antibody [EPR23277-60] - BSA and Azide free

primary-antibodies

eg5-antibody-epr23277-60-bsa-and-azide-free-ab270409

0

(0 reviews)

Please note: All products are 'FOR RESEARCH USE ONLY. NOT FOR USE IN DIAGNOSTIC OR THERAPEUTIC PROCEDURES'.

For licensing inquiries, please contact partnerships@abcam.com