JavaScript is disabled in your browser. Please enable JavaScript to view this website.
AB184265

Anti-EGF antibody [EPR19173]

Be the first to review this product! Submit a review

|

(11 Publications)

Rabbit Recombinant Monoclonal EGF antibody. Suitable for WB, IHC-Fr, IHC-P and reacts with Mouse, Rat samples. Cited in 11 publications.

View Alternative Names

Pro-epidermal growth factor, EGF, Egf

6 Images
Immunohistochemistry (Frozen sections) - Anti-EGF antibody [EPR19173] (AB184265)
  • IHC-Fr

Supplier Data

Immunohistochemistry (Frozen sections) - Anti-EGF antibody [EPR19173] (AB184265)

Immunohistochemical analysis of 4% paraformaldehyde-fixed, 0.2% Triton X-100 permeabilized frozen Mouse kidney tissue labeling EGF with ab184265 at 1/500 dilution, followed by Goat anti-rabbit IgG (Alexa Fluor® 488) (ab150077) secondary antibody at 1/1000 dilution (green).

Positive staining on mouse kidney was observed.

The nuclear counterstain is DAPI (blue).

Secondary antibody only control : Used PBS instead of primary antibody, secondary antibody is Goat anti-rabbit IgG (Alexa Fluor® 488) (ab150077) secondary antibody at 1/1000 dilution.

Immunohistochemistry (Formalin/PFA-fixed paraffin-embedded sections) - Anti-EGF antibody [EPR19173] (AB184265)
  • IHC-P

Supplier Data

Immunohistochemistry (Formalin/PFA-fixed paraffin-embedded sections) - Anti-EGF antibody [EPR19173] (AB184265)

Immunohistochemical analysis of paraffin-embedded Rat kidney tissue labeling EGF with ab184265 at 1/1000 dilution, followed by Goat Anti-Rabbit IgG H&L (HRP) (ab97051) at 1/500 dilution. Cytoplasm staining on distal convoluted tubules of rat kidney [PMID 1930151]. Counter stained with Hematoxylin.

Secondary antibody only control : Used PBS instead of primary antibody, secondary antibody is Goat Anti-Rabbit IgG H&L (HRP) (ab97051) at 1/500 dilution.

Perform heat mediated antigen retrieval with Tris/EDTA buffer pH 9.0 before commencing with IHC staining protocol.

Immunohistochemistry (Formalin/PFA-fixed paraffin-embedded sections) - Anti-EGF antibody [EPR19173] (AB184265)
  • IHC-P

Supplier Data

Immunohistochemistry (Formalin/PFA-fixed paraffin-embedded sections) - Anti-EGF antibody [EPR19173] (AB184265)

Immunohistochemical analysis of paraffin-embedded Mouse stomach tissue labeling EGF with ab184265 at 1/1000 dilution, followed by Goat Anti-Rabbit IgG H&L (HRP) (ab97051) at 1/500 dilution.

No staining on mouse stomach.

Counter stained with Hematoxylin.

Perform heat mediated antigen retrieval with Tris/EDTA buffer pH 9.0 before commencing with IHC staining protocol.

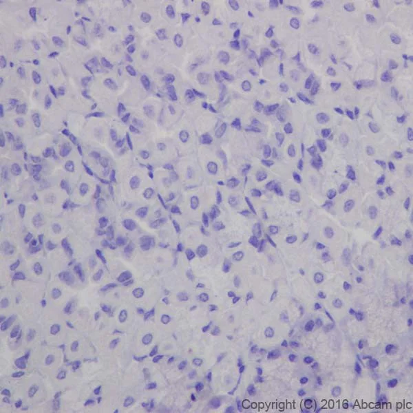
Immunohistochemistry (Formalin/PFA-fixed paraffin-embedded sections) - Anti-EGF antibody [EPR19173] (AB184265)
  • IHC-P

Supplier Data

Immunohistochemistry (Formalin/PFA-fixed paraffin-embedded sections) - Anti-EGF antibody [EPR19173] (AB184265)

Immunohistochemical analysis of paraffin-embedded Mouse kidney tissue labeling EGF with ab184265 at 1/1000 dilution, followed by Goat Anti-Rabbit IgG H&L (HRP) (ab97051) at 1/500 dilution. Cytoplasm staining on distal convoluted tubules of mouse kidney [PMID 1930151]. Counter stained with Hematoxylin.

Secondary antibody only control : Used PBS instead of primary antibody, secondary antibody is Goat Anti-Rabbit IgG H&L (HRP) (ab97051) at 1/500 dilution.

Perform heat mediated antigen retrieval with Tris/EDTA buffer pH 9.0 before commencing with IHC staining protocol.

Western blot - Anti-EGF antibody [EPR19173] (AB184265)
  • WB

Supplier Data

Western blot - Anti-EGF antibody [EPR19173] (AB184265)

Blocking/Dilution buffer : 5% NFDM/TBST.

Exposure time : Lane 1 : 10 seconds; Lane 2 : 30 seconds.

The molecular weight observed is consistent with what has been described in the literature (PMID : 1636692, 2260661, 7499272 & 2260661).

All lanes:

Western blot - Anti-EGF antibody [EPR19173] (ab184265) at 1/1000 dilution

Lane 1:

Mouse kidney lysate at 10 µg

Lane 2:

Rat kidney lysate at 10 µg

Secondary

All lanes:

Western blot - Goat Anti-Rabbit IgG H&L (HRP) (<a href='/en-us/products/secondary-antibodies/goat-rabbit-igg-h-l-hrp-ab97051'>ab97051</a>) at 1/100000 dilution

Predicted band size: 133 kDa

Observed band size: 160 kDa,45 kDa,56 kDa,66 kDa,97 kDa

false

Western blot - Anti-EGF antibody [EPR19173] (AB184265)
  • WB

Supplier Data

Western blot - Anti-EGF antibody [EPR19173] (AB184265)

Blocking/Dilution buffer : 5% NFDM/TBST.

The molecular weight observed is consistent with what has been described in the literature (PMID : 1636692, 2260661, 7499272 & 2260661).

All lanes:

Western blot - Anti-EGF antibody [EPR19173] (ab184265) at 1/5000 dilution

All lanes:

Mouse urine lysate at 10 µg

Secondary

All lanes:

Western blot - Goat Anti-Rabbit IgG H&L (HRP) (<a href='/en-us/products/secondary-antibodies/goat-rabbit-igg-h-l-hrp-ab97051'>ab97051</a>) at 1/100000 dilution

Predicted band size: 133 kDa

Observed band size: 160 kDa,27 kDa,45 kDa,56 kDa,66 kDa,97 kDa

false

Exposure time: 3s

Key facts

Host species

Rabbit

Clonality

Monoclonal

Clone number

EPR19173

Isotype

IgG

Carrier free

No

Reacts with

Mouse, Rat

Applications

WB, IHC-Fr, IHC-P

applications

Immunogen

The exact immunogen used to generate this antibody is proprietary information.

Reactivity data

{ "title": "Reactivity Data", "filters": { "stats": ["", "Species", "Dilution Info", "Notes"], "tabs": { "all-applications": {"fullname" : "All Applications", "shortname": "All Applications"}, "WB" : {"fullname" : "Western blot", "shortname":"WB"}, "IHCFr" : {"fullname" : "Immunohistochemistry (Frozen sections)", "shortname":"IHC-Fr"}, "IHCP" : {"fullname" : "Immunohistochemistry (Formalin/PFA-fixed paraffin-embedded sections)", "shortname":"IHC-P"} }, "product-promise": { "all": "all", "testedAndGuaranteed": "tested", "guaranteed": "expected", "predicted": "predicted", "notRecommended": "not-recommended" } }, "values": { "Mouse": { "WB-species-checked": "testedAndGuaranteed", "WB-species-dilution-info": "1/1000", "WB-species-notes": "<p></p>", "IHCFr-species-checked": "testedAndGuaranteed", "IHCFr-species-dilution-info": "1/500", "IHCFr-species-notes": "<p>Antigen retrieval: Heated citrate solution (10mM citrate PH 6.0 + 0.05% Tween-20)</p>", "IHCP-species-checked": "testedAndGuaranteed", "IHCP-species-dilution-info": "1/1000", "IHCP-species-notes": "<p>(Antigen Retrieval Buffer (100X Tris-EDTA Buffer, pH 9.0) (<em data-test=\"product-code\"><a href='/en-us/products/buffers/antigen-retrieval-buffer-100x-tris-edta-buffer-ph-90-ab93684'>ab93684</a></em>))</p>" }, "Rat": { "WB-species-checked": "testedAndGuaranteed", "WB-species-dilution-info": "1/1000", "WB-species-notes": "<p></p>", "IHCFr-species-checked": "guaranteed", "IHCFr-species-dilution-info": "", "IHCFr-species-notes": "", "IHCP-species-checked": "testedAndGuaranteed", "IHCP-species-dilution-info": "1/1000", "IHCP-species-notes": "<p>(Antigen Retrieval Buffer (100X Tris-EDTA Buffer, pH 9.0) (<em data-test=\"product-code\"><a href='/en-us/products/buffers/antigen-retrieval-buffer-100x-tris-edta-buffer-ph-90-ab93684'>ab93684</a></em>))</p>" } } }

Product details

Patented technology
Our RabMAb® technology is a patented hybridoma-based technology for making rabbit monoclonal antibodies. For details on our patents, please refer to RabMAb® patents.

What are the advantages of a recombinant monoclonal antibody?
This product is a recombinant monoclonal antibody, which offers several advantages including:

  • - High batch-to-batch consistency and reproducibility
  • - Improved sensitivity and specificity
  • - Long-term security of supply
  • - Animal-free batch production

For more information, read more on recombinant antibodies.

Properties and storage information

Form
Liquid
Purification technique
Affinity purification Protein A
Storage buffer
pH: 7.2 Preservative: 0.01% Sodium azide Constituents: PBS, 40% Glycerol (glycerin, glycerine), 0.05% BSA
Shipped at conditions
Blue Ice
Appropriate short-term storage duration
1-2 weeks
Appropriate short-term storage conditions
+4°C
Appropriate long-term storage conditions
-20°C
Aliquoting information
Upon delivery aliquot
Storage information
Avoid freeze / thaw cycle

Supplementary information

This supplementary information is collated from multiple sources and compiled automatically.

Epidermal Growth Factor (EGF) also known as urogastrone is a single polypeptide that facilitates cell growth proliferation and differentiation by binding to the Epidermal Growth Factor Receptor (EGFR). The EGF protein is characterized by a relatively small molecular weight of approximately 6.4 kDa. It is expressed in various tissues including the kidney submandibular glands and Brunner's glands in the mouse and other species. The presence of anti-EGF antibodies can further enhance the understanding of its mechanical actions and functions in different organisms.
Biological function summary

The epidermal growth factor plays a pivotal role in the regulation of cell signaling. It functions outside a complex interacting mainly with EGFR located on the cell surface. Upon ligand binding EGF induces the receptor dimerization leading to autophosphorylation which activates intrinsic intracellular signaling cascades. This activation is critical for cellular responses such as DNA synthesis and the progression of the cell cycle. EGF recombinant proteins such as HEGF are utilized in laboratories to examine its biological activity meticulously.

Pathways

EGF engages in key cellular pathways that mediate various essential functions. It significantly activates the MAPK and PI3K-AKT signaling pathways which govern processes such as cell division and survival. These pathways require the participation of several other proteins including Ras Raf and PDK1 which help modulate their downstream effects. The interplay of EGF with associated proteins highlights its importance in maintaining proper signaling dynamics necessary for healthy cellular function. EGF ELISA kits as well as EGF ELISAs are tools developed for robust analysis of its pathway interactions in research and clinical settings.

Altered EGF signaling is associated with increased risk of certain cancers and inflammatory diseases. Overexpression or mutations in the EGF-EGFR axis can lead to the progression of carcinomas such as those found in the lung and breast as well as disorders like psoriasis. These aberrant signaling events are often linked with other proteins such as HER2 and VEGF which can exacerbate disease severity. The study and detection of EGF products therefore offer significant insights into both the progression and potential therapeutic targeting of these conditions.

Product protocols

For this product, it's our understanding that no specific protocols are required. You can visit:

Target data

EGF stimulates the growth of various epidermal and epithelial tissues in vivo and in vitro and of some fibroblasts in cell culture. Magnesiotropic hormone that stimulates magnesium reabsorption in the renal distal convoluted tubule via engagement of EGFR and activation of the magnesium channel TRPM6 (By similarity).
See full target information Egf

Publications (11)

Recent publications for all applications. Explore the full list and refine your search

Scientific reports 15:6623 PubMed39994211

2025

Regenerative effect of lyophilized dental follicle mesenchymal stem cells and platelet-rich fibrin in skin wounds in geriatric and young rats.

Applications

Unspecified application

Species

Unspecified reactive species

Osman Bulut,Deniz Genc,Çiğdem Elif Demirci,Leyla Tekin,Tolga Meriç Dümbek,Aziz Bülbül

Histology and histopathology 40:89-100 PubMed38826151

2024

PYCR1 expresses in cancer-associated fibroblasts and accelerates the progression of C6 glioblastoma.

Applications

Unspecified application

Species

Unspecified reactive species

Mingkun Zhang,Baibin Bi,Guangcun Liu,Xiaoyong Fan

Burns & trauma 12:tkad057 PubMed38328438

2024

Activating autophagy promotes skin regeneration induced by mechanical stretch during tissue expansion.

Applications

Unspecified application

Species

Unspecified reactive species

Jing Du,Wei Liu,Yajuan Song,Yu Zhang,Chen Dong,Shaoheng Xiong,Zhaosong Huang,Tong Wang,Jianke Ding,Qiang He,Zhou Yu,Xianjie Ma

The Journal of biological chemistry 299:104760 PubMed37119853

2023

Degradation of EGFR on lung epithelial cells by neutrophil elastase contributes to the aggravation of pneumococcal pneumonia.

Applications

Unspecified application

Species

Unspecified reactive species

Toshihito Isono,Satoru Hirayama,Hisanori Domon,Tomoki Maekawa,Hikaru Tamura,Takumi Hiyoshi,Kridtapat Sirisereephap,Shoji Takenaka,Yuichiro Noiri,Yutaka Terao

Phytotherapy research : PTR 37:3323-3341 PubMed37036428

2023

Cognitive protection of sinomenine in type 2 diabetes mellitus through regulating the EGF/Nrf2/HO-1 signaling, the microbiota-gut-brain axis, and hippocampal neuron ferroptosis.

Applications

Unspecified application

Species

Unspecified reactive species

Ji Chen,Peng Guo,Mingming Han,Kemin Chen,Jie Qin,Fengrui Yang

Annals of the New York Academy of Sciences 1518:299-314 PubMed36303271

2022

Epidermal growth factor activates a hypoxia-inducible factor 1α-microRNA-21 axis to inhibit aquaporin 4 in chronic rhinosinusitis.

Applications

Unspecified application

Species

Unspecified reactive species

Junjun Chen,Dong Liu,Jingpu Yang,Chengxun Jin,Chang Zhao,Jinzhang Cheng

Regenerative medicine 17:219-232 PubMed35249360

2022

Astragalus and human mesenchymal stem cells promote wound healing by mediating immunomodulatory effects through paracrine signaling.

Applications

Unspecified application

Species

Unspecified reactive species

Jiaqi Wang,Dandan Zhang,Ying Zhu,Xiumei Mo,Patrick C McHugh,Qiang Tong

Evidence-based complementary and alternative medicine : eCAM 2021:9923467 PubMed34462643

2021

Effects of a Chlorogenic Acid-Containing Herbal Medicine (LAS) on Colon Cancer.

Applications

Unspecified application

Species

Unspecified reactive species

Yanchu Li,Rong Pu,Lu Zhou,Dan Wang,Xianyong Li

Molecular medicine reports 23: PubMed33760135

2021

SERPINE2 feedback regulates EGF/EGFR signaling in human papillary thyroid carcinoma cells.

Applications

Unspecified application

Species

Unspecified reactive species

Huimin Chu,Bo Hu,Xinyu Su

Theranostics 9:3879-3902 PubMed31281520

2019

Forkhead box K2 promotes human colorectal cancer metastasis by upregulating ZEB1 and EGFR.

Applications

Unspecified application

Species

Unspecified reactive species

Feng Du,Chenyang Qiao,Xiaowei Li,Zhangqian Chen,Hao Liu,Shengda Wu,Sijun Hu,Zhaoyan Qiu,Meirui Qian,Dean Tian,Kaichun Wu,Daiming Fan,Yongzhan Nie,Limin Xia
View all publications

Product promise

We are committed to supporting your work with high-quality reagents, and we're here for you every step of the way. In the unlikely event that one of our products does not perform as expected, you're protected by our Product Promise.
For full details, please see our Terms & Conditions

Please note: All products are 'FOR RESEARCH USE ONLY. NOT FOR USE IN DIAGNOSTIC OR THERAPEUTIC PROCEDURES'.

For licensing inquiries, please contact partnerships@abcam.com