JavaScript is disabled in your browser. Please enable JavaScript to view this website.
AB184266

Anti-EGF antibody [EPR19174]

Be the first to review this product! Submit a review

|

(3 Publications)

Rabbit Recombinant Monoclonal EGF antibody. Suitable for IP, WB, IHC-Fr and reacts with Mouse samples. Cited in 3 publications.

View Alternative Names

Pro-epidermal growth factor, EGF, Egf

6 Images
Immunohistochemistry (Frozen sections) - Anti-EGF antibody [EPR19174] (AB184266)
  • IHC-Fr

Supplier Data

Immunohistochemistry (Frozen sections) - Anti-EGF antibody [EPR19174] (AB184266)

Immunohistochemical analysis of 4% paraformaldehyde-fixed 0.2% Triton X-100 permeabilized frozen Mouse kidney tissue labeling EGF with ab184266 at 1/500 dilution followed by Goat Anti-Rabbit IgG (Alexa Fluor® 488) (ab150077) secondary antibody at 1/1000 dilution (green).

Cytoplasmic staining on mouse kidney is observed. The staining pattern is consistent with what has been described in the literature (PMID : 17671655).

The nuclear counterstain is DAPI (blue).

Secondary antibody only control : Used PBS instead of primary antibody secondary antibody is ab150077 at 1/1000 dilution.

Immunohistochemistry (Frozen sections) - Anti-EGF antibody [EPR19174] (AB184266)
  • IHC-Fr

Supplier Data

Immunohistochemistry (Frozen sections) - Anti-EGF antibody [EPR19174] (AB184266)

Immunohistochemical analysis of 4% paraformaldehyde-fixed 0.2% Triton X-100 permeabilized frozen Mouse liver tissue labeling EGF with ab184266 at 1/500 dilution followed by Goat Anti-Rabbit IgG (Alexa Fluor® 488) (ab150077) at 1/1000 dilution (green).

Weak staining on mouse liver is observed. The expression profile observed is consistent with what has been described in the literature (PMID : 17671655).

The nuclear counterstain is DAPI (blue).

Secondary antibody only control : Used PBS instead of primary antibody secondary antibody is ab150077 at 1/1000 dilution.

Immunoprecipitation - Anti-EGF antibody [EPR19174] (AB184266)
  • IP

Supplier Data

Immunoprecipitation - Anti-EGF antibody [EPR19174] (AB184266)

EGF was immunoprecipitated from 0.35 mg of Mouse urine sample with ab184266 at 1/40 dilution. Western blot was performed from the immunoprecipitate using ab184266 at 1/1000 dilution. VeriBlot for IP Detection Reagent (HRP) (ab131366), was used for detection at 1/1000 dilution.

Lane 1 : Mouse urine sample, 10μg (Input).

Lane 2 : ab184266 IP in Mouse urine sample.

Lane 3 : Rabbit IgG,monoclonal [EPR25A]-Isotype Control (ab172730) instead of ab184266 in Mouse urine sample.

Blocking and dilution buffer and concentration : 5% NFDM/TBST.

Exposure time : 1 second.

All lanes:

Immunoprecipitation - Anti-EGF antibody [EPR19174] (ab184266)

Predicted band size: 133 kDa

false

Western blot - Anti-EGF antibody [EPR19174] (AB184266)
  • WB

Supplier Data

Western blot - Anti-EGF antibody [EPR19174] (AB184266)

Blocking/Dilution buffer : 5% NFDM/TBST.

The expression profile/ molecular weight observed is consistent with what has been described in the literature (PMID : 2268351 & 7499272).

All lanes:

Western blot - Anti-EGF antibody [EPR19174] (ab184266) at 1/1000 dilution

All lanes:

Mouse salivary gland lysate at 10 µg

Secondary

All lanes:

Western blot - Goat Anti-Rabbit IgG H&L (HRP) (<a href='/en-us/products/secondary-antibodies/goat-rabbit-igg-h-l-hrp-ab97051'>ab97051</a>) at 1/100000 dilution

Predicted band size: 133 kDa

Observed band size: 6 kDa

false

Exposure time: 5s

Western blot - Anti-EGF antibody [EPR19174] (AB184266)
  • WB

Supplier Data

Western blot - Anti-EGF antibody [EPR19174] (AB184266)

Blocking/Dilution buffer : 5% NFDM/TBST.

All lanes:

Western blot - Anti-EGF antibody [EPR19174] (ab184266) at 1/2000 dilution

All lanes:

Mouse EGF recombinant protein at 0.01 µg

Secondary

All lanes:

Western blot - Goat Anti-Rabbit IgG H&L (HRP) (<a href='/en-us/products/secondary-antibodies/goat-rabbit-igg-h-l-hrp-ab97051'>ab97051</a>) at 1/100000 dilution

Predicted band size: 133 kDa

Observed band size: 6 kDa

false

Exposure time: 15s

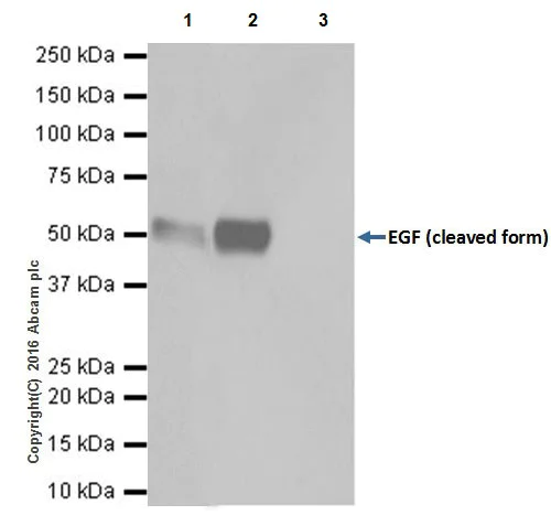
Western blot - Anti-EGF antibody [EPR19174] (AB184266)
  • WB

Supplier Data

Western blot - Anti-EGF antibody [EPR19174] (AB184266)

Blocking/Dilution buffer : 5% NFDM/TBST.

Exposure times : Lane 1 : 8 seconds; Lane 2 : 5 seconds.

The expression profile/ molecular weight observed is consistent with what has been described in the literature (PMID : 2268351 & 7499272).

All lanes:

Western blot - Anti-EGF antibody [EPR19174] (ab184266) at 1/1000 dilution

Lane 1:

Mouse kidney lysate at 10 µg

Lane 2:

Mouse urine sample at 10 µg

Secondary

All lanes:

Western blot - Goat Anti-Rabbit IgG H&L (HRP) (<a href='/en-us/products/secondary-antibodies/goat-rabbit-igg-h-l-hrp-ab97051'>ab97051</a>) at 1/100000 dilution

Predicted band size: 13 kDa,133 kDa,20 kDa,23 kDa,35 kDa,61 kDa

Observed band size: 12 kDa,160 kDa,21 kDa,26 kDa,45-50 kDa,61 kDa

false

  • Carrier free

    Anti-EGF antibody [EPR19174] - BSA and Azide free

Key facts

Host species

Rabbit

Clonality

Monoclonal

Clone number

EPR19174

Isotype

IgG

Carrier free

No

Reacts with

Mouse

Applications

IP, IHC-Fr, WB

applications

Immunogen

The exact immunogen used to generate this antibody is proprietary information.

Reactivity data

{ "title": "Reactivity Data", "filters": { "stats": ["", "Species", "Dilution Info", "Notes"], "tabs": { "all-applications": {"fullname" : "All Applications", "shortname": "All Applications"}, "IP" : {"fullname" : "Immunoprecipitation", "shortname":"IP"}, "WB" : {"fullname" : "Western blot", "shortname":"WB"}, "IHCFr" : {"fullname" : "Immunohistochemistry (Frozen sections)", "shortname":"IHC-Fr"} }, "product-promise": { "all": "all", "testedAndGuaranteed": "tested", "guaranteed": "expected", "predicted": "predicted", "notRecommended": "not-recommended" } }, "values": { "Mouse": { "IP-species-checked": "testedAndGuaranteed", "IP-species-dilution-info": "1/40", "IP-species-notes": "<p></p>", "WB-species-checked": "testedAndGuaranteed", "WB-species-dilution-info": "1/1000", "WB-species-notes": "<p></p>", "IHCFr-species-checked": "testedAndGuaranteed", "IHCFr-species-dilution-info": "1/500", "IHCFr-species-notes": "<p></p>" } } }

Product details

Patented technology
Our RabMAb® technology is a patented hybridoma-based technology for making rabbit monoclonal antibodies. For details on our patents, please refer to RabMAb® patents.

What are the advantages of a recombinant monoclonal antibody?
This product is a recombinant monoclonal antibody, which offers several advantages including:

  • - High batch-to-batch consistency and reproducibility
  • - Improved sensitivity and specificity
  • - Long-term security of supply
  • - Animal-free batch production

For more information, read more on recombinant antibodies.

Properties and storage information

Form
Liquid
Purification technique
Affinity purification Protein A
Storage buffer
pH: 7.2 Preservative: 0.01% Sodium azide Constituents: PBS, 40% Glycerol (glycerin, glycerine), 0.05% BSA
Shipped at conditions
Blue Ice
Appropriate short-term storage duration
1-2 weeks
Appropriate short-term storage conditions
+4°C
Appropriate long-term storage conditions
-20°C
Aliquoting information
Upon delivery aliquot
Storage information
Avoid freeze / thaw cycle

Supplementary information

This supplementary information is collated from multiple sources and compiled automatically.

Epidermal Growth Factor (EGF) also known as urogastrone is a single polypeptide that facilitates cell growth proliferation and differentiation by binding to the Epidermal Growth Factor Receptor (EGFR). The EGF protein is characterized by a relatively small molecular weight of approximately 6.4 kDa. It is expressed in various tissues including the kidney submandibular glands and Brunner's glands in the mouse and other species. The presence of anti-EGF antibodies can further enhance the understanding of its mechanical actions and functions in different organisms.
Biological function summary

The epidermal growth factor plays a pivotal role in the regulation of cell signaling. It functions outside a complex interacting mainly with EGFR located on the cell surface. Upon ligand binding EGF induces the receptor dimerization leading to autophosphorylation which activates intrinsic intracellular signaling cascades. This activation is critical for cellular responses such as DNA synthesis and the progression of the cell cycle. EGF recombinant proteins such as HEGF are utilized in laboratories to examine its biological activity meticulously.

Pathways

EGF engages in key cellular pathways that mediate various essential functions. It significantly activates the MAPK and PI3K-AKT signaling pathways which govern processes such as cell division and survival. These pathways require the participation of several other proteins including Ras Raf and PDK1 which help modulate their downstream effects. The interplay of EGF with associated proteins highlights its importance in maintaining proper signaling dynamics necessary for healthy cellular function. EGF ELISA kits as well as EGF ELISAs are tools developed for robust analysis of its pathway interactions in research and clinical settings.

Altered EGF signaling is associated with increased risk of certain cancers and inflammatory diseases. Overexpression or mutations in the EGF-EGFR axis can lead to the progression of carcinomas such as those found in the lung and breast as well as disorders like psoriasis. These aberrant signaling events are often linked with other proteins such as HER2 and VEGF which can exacerbate disease severity. The study and detection of EGF products therefore offer significant insights into both the progression and potential therapeutic targeting of these conditions.

Product protocols

For this product, it's our understanding that no specific protocols are required. You can visit:

Target data

EGF stimulates the growth of various epidermal and epithelial tissues in vivo and in vitro and of some fibroblasts in cell culture. Magnesiotropic hormone that stimulates magnesium reabsorption in the renal distal convoluted tubule via engagement of EGFR and activation of the magnesium channel TRPM6 (By similarity).
See full target information Egf

Publications (3)

Recent publications for all applications. Explore the full list and refine your search

Scientific reports 15:13612 PubMed40253554

2025

MLKL is involved in the regulation of skin wound healing and interplay between macrophages and myofibroblasts in mice.

Applications

Unspecified application

Species

Unspecified reactive species

Jiamin Zhao,Shuangyi Zhang,Yunjie Bai,Zhiguo Gong,Wenhui Bao,Zhuoya Yu,Bo Liu,Wei Mao,Surong Hasi

Scientific reports 15:6623 PubMed39994211

2025

Regenerative effect of lyophilized dental follicle mesenchymal stem cells and platelet-rich fibrin in skin wounds in geriatric and young rats.

Applications

Unspecified application

Species

Unspecified reactive species

Osman Bulut,Deniz Genc,Çiğdem Elif Demirci,Leyla Tekin,Tolga Meriç Dümbek,Aziz Bülbül

Cell communication and signaling : CCS 23:55 PubMed39881348

2025

NLRP3: a key regulator of skin wound healing and macrophage-fibroblast interactions in mice.

Applications

Unspecified application

Species

Unspecified reactive species

Jiamin Zhao,Shuangyi Zhang,Zhiguo Gong,Wei Mao,Wenhui Bao,Qianru Li,Yunjie Bai,Feifei Gao,Shuang Feng
View all publications

Product promise

We are committed to supporting your work with high-quality reagents, and we're here for you every step of the way. In the unlikely event that one of our products does not perform as expected, you're protected by our Product Promise.
For full details, please see our Terms & Conditions

Please note: All products are 'FOR RESEARCH USE ONLY. NOT FOR USE IN DIAGNOSTIC OR THERAPEUTIC PROCEDURES'.

For licensing inquiries, please contact partnerships@abcam.com