JavaScript is disabled in your browser. Please enable JavaScript to view this website.
AB271946

Anti-EGF antibody [EPR19174] - BSA and Azide free

Be the first to review this product! Submit a review

|

(0 Publication)

Rabbit Recombinant Monoclonal EGF antibody. Carrier free. Suitable for IP, WB, IHC-Fr and reacts with Mouse samples.

View Alternative Names

Pro-epidermal growth factor, EGF, Egf

3 Images
Immunohistochemistry (Frozen sections) - Anti-EGF antibody [EPR19174] - BSA and Azide free (AB271946)
  • IHC-Fr

Supplier Data

Immunohistochemistry (Frozen sections) - Anti-EGF antibody [EPR19174] - BSA and Azide free (AB271946)

Immunohistochemical analysis of 4% paraformaldehyde-fixed, 0.2% Triton X-100 permeabilized frozen Mouse kidney tissue labeling EGF with ab184266 at 1/500 dilution, followed by Goat Anti-Rabbit IgG (Alexa Fluor® 488) (ab150077) secondary antibody at 1/1000 dilution (green).

Cytoplasmic staining on mouse kidney is observed. The staining pattern is consistent with what has been described in the literature (PMID : 17671655).

The nuclear counterstain is DAPI (blue).

Secondary antibody only control : Used PBS instead of primary antibody, secondary antibody is ab150077 at 1/1000 dilution.

This data was developed using the same antibody clone in a different buffer formulation containing PBS, BSA, glycerol, and sodium azide (ab184266).

Immunohistochemistry (Frozen sections) - Anti-EGF antibody [EPR19174] - BSA and Azide free (AB271946)
  • IHC-Fr

Supplier Data

Immunohistochemistry (Frozen sections) - Anti-EGF antibody [EPR19174] - BSA and Azide free (AB271946)

Immunohistochemical analysis of 4% paraformaldehyde-fixed, 0.2% Triton X-100 permeabilized frozen Mouse liver tissue labeling EGF with ab184266 at 1/500 dilution, followed by Goat Anti-Rabbit IgG (Alexa Fluor® 488) (ab150077) at 1/1000 dilution (green).

Weak staining on mouse liver is observed. The expression profile observed is consistent with what has been described in the literature (PMID : 17671655).

The nuclear counterstain is DAPI (blue).

Secondary antibody only control : Used PBS instead of primary antibody, secondary antibody is ab150077 at 1/1000 dilution.

This data was developed using the same antibody clone in a different buffer formulation containing PBS, BSA, glycerol, and sodium azide (ab184266).

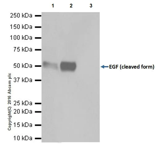
Immunoprecipitation - Anti-EGF antibody [EPR19174] - BSA and Azide free (AB271946)
  • IP

Supplier Data

Immunoprecipitation - Anti-EGF antibody [EPR19174] - BSA and Azide free (AB271946)

EGF was immunoprecipitated from 0.35 mg of Mouse urine sample with ab184266 at 1/40 dilution. Western blot was performed from the immunoprecipitate using ab184266 at 1/1000 dilution. VeriBlot for IP Detection Reagent (HRP) (ab131366), was used for detection at 1/1000 dilution.

Lane 1 : Mouse urine sample, 10μg (Input).

Lane 2 : ab184266 IP in Mouse urine sample.

Lane 3 : Rabbit IgG,monoclonal [EPR25A]-Isotype Control (ab172730) instead of ab184266 in Mouse urine sample.

Blocking and dilution buffer and concentration : 5% NFDM/TBST.

Exposure time : 1 second.

This data was developed using the same antibody clone in a different buffer formulation containing PBS, BSA, glycerol, and sodium azide (ab184266).

All lanes:

Immunoprecipitation - Anti-EGF antibody [EPR19174] (<a href='/en-us/products/primary-antibodies/egf-antibody-epr19174-ab184266'>ab184266</a>)

Predicted band size: 133 kDa

false

Key facts

Host species

Rabbit

Clonality

Monoclonal

Clone number

EPR19174

Isotype

IgG

Carrier free

Yes

Reacts with

Mouse

Applications

IHC-Fr, WB, IP

applications

Immunogen

The exact immunogen used to generate this antibody is proprietary information.

Reactivity data

{ "title": "Reactivity Data", "filters": { "stats": ["", "Species", "Dilution Info", "Notes"], "tabs": { "all-applications": {"fullname" : "All Applications", "shortname": "All Applications"}, "IP" : {"fullname" : "Immunoprecipitation", "shortname":"IP"}, "WB" : {"fullname" : "Western blot", "shortname":"WB"}, "IHCFr" : {"fullname" : "Immunohistochemistry (Frozen sections)", "shortname":"IHC-Fr"} }, "product-promise": { "all": "all", "testedAndGuaranteed": "tested", "guaranteed": "expected", "predicted": "predicted", "notRecommended": "not-recommended" } }, "values": { "Mouse": { "IP-species-checked": "testedAndGuaranteed", "IP-species-dilution-info": "", "IP-species-notes": "<p></p>", "WB-species-checked": "guaranteed", "WB-species-dilution-info": "", "WB-species-notes": "<p></p>", "IHCFr-species-checked": "testedAndGuaranteed", "IHCFr-species-dilution-info": "", "IHCFr-species-notes": "<p></p>" } } }

Product details

ab271946 is the carrier-free version of ab184266.

Patented technology
Our RabMAb® technology is a patented hybridoma-based technology for making rabbit monoclonal antibodies. For details on our patents, please refer to RabMAb® patents.

What are the advantages of a recombinant monoclonal antibody?
This product is a recombinant monoclonal antibody, which offers several advantages including:

  • - High batch-to-batch consistency and reproducibility
  • - Improved sensitivity and specificity
  • - Long-term security of supply
  • - Animal-free batch production

For more information, read more on recombinant antibodies.

Conjugation ready
Our carrier-free antibodies are typically supplied in a PBS-only formulation, purified and free of BSA, sodium azide and glycerol. This conjugation-ready format is designed for use with fluorochromes, metal isotopes, oligonucleotides, and enzymes, which makes them ideal for antibody labelling, functional and cell-based assays, flow-based assays (e.g. mass cytometry) and Multiplex Imaging applications.

Use our conjugation kits for antibody conjugates that are ready-to-use in as little as 20 minutes with 1 minute hands-on-time and 100% antibody recovery: available for fluorescent dyes, HRP, biotin and gold.

Compatibility
This product is compatible with the Maxpar® Antibody Labeling Kit from Fluidigm, without the need for antibody preparation. Maxpar® is a trademark of Fluidigm Canada Inc.

Properties and storage information

Form
Liquid
Purification technique
Affinity purification Protein A
Storage buffer
pH: 7.2 - 7.4 Constituents: PBS
Shipped at conditions
Blue Ice
Appropriate short-term storage conditions
+4°C
Appropriate long-term storage conditions
+4°C
Storage information
Do Not Freeze

Supplementary information

This supplementary information is collated from multiple sources and compiled automatically.

Epidermal Growth Factor (EGF) also known as urogastrone is a single polypeptide that facilitates cell growth proliferation and differentiation by binding to the Epidermal Growth Factor Receptor (EGFR). The EGF protein is characterized by a relatively small molecular weight of approximately 6.4 kDa. It is expressed in various tissues including the kidney submandibular glands and Brunner's glands in the mouse and other species. The presence of anti-EGF antibodies can further enhance the understanding of its mechanical actions and functions in different organisms.
Biological function summary

The epidermal growth factor plays a pivotal role in the regulation of cell signaling. It functions outside a complex interacting mainly with EGFR located on the cell surface. Upon ligand binding EGF induces the receptor dimerization leading to autophosphorylation which activates intrinsic intracellular signaling cascades. This activation is critical for cellular responses such as DNA synthesis and the progression of the cell cycle. EGF recombinant proteins such as HEGF are utilized in laboratories to examine its biological activity meticulously.

Pathways

EGF engages in key cellular pathways that mediate various essential functions. It significantly activates the MAPK and PI3K-AKT signaling pathways which govern processes such as cell division and survival. These pathways require the participation of several other proteins including Ras Raf and PDK1 which help modulate their downstream effects. The interplay of EGF with associated proteins highlights its importance in maintaining proper signaling dynamics necessary for healthy cellular function. EGF ELISA kits as well as EGF ELISAs are tools developed for robust analysis of its pathway interactions in research and clinical settings.

Altered EGF signaling is associated with increased risk of certain cancers and inflammatory diseases. Overexpression or mutations in the EGF-EGFR axis can lead to the progression of carcinomas such as those found in the lung and breast as well as disorders like psoriasis. These aberrant signaling events are often linked with other proteins such as HER2 and VEGF which can exacerbate disease severity. The study and detection of EGF products therefore offer significant insights into both the progression and potential therapeutic targeting of these conditions.

Product protocols

For this product, it's our understanding that no specific protocols are required. You can visit:

Target data

EGF stimulates the growth of various epidermal and epithelial tissues in vivo and in vitro and of some fibroblasts in cell culture. Magnesiotropic hormone that stimulates magnesium reabsorption in the renal distal convoluted tubule via engagement of EGFR and activation of the magnesium channel TRPM6 (By similarity).
See full target information Egf

Product promise

We are committed to supporting your work with high-quality reagents, and we're here for you every step of the way. In the unlikely event that one of our products does not perform as expected, you're protected by our Product Promise.
For full details, please see our Terms & Conditions

Please note: All products are 'FOR RESEARCH USE ONLY. NOT FOR USE IN DIAGNOSTIC OR THERAPEUTIC PROCEDURES'.

For licensing inquiries, please contact partnerships@abcam.com