JavaScript is disabled in your browser. Please enable JavaScript to view this website.
AB256532

Anti-EGFL7 antibody [EPR22603-113] - BSA and Azide free

Be the first to review this product! Submit a review

|

(0 Publication)

Rabbit Recombinant Monoclonal EGFL7 antibody. Carrier free. Suitable for WB, ICC/IF, IHC-P and reacts with Human samples.

View Alternative Names

MEGF7, UNQ187/PRO1449, EGFL7, Epidermal growth factor-like protein 7, EGF-like protein 7, Multiple epidermal growth factor-like domains protein 7, NOTCH4-like protein, Vascular endothelial statin, Zneu1, Multiple EGF-like domains protein 7, VE-statin

3 Images
Immunocytochemistry/ Immunofluorescence - Anti-EGFL7 antibody [EPR22603-113] - BSA and Azide free (AB256532)
  • ICC/IF

Unknown

Immunocytochemistry/ Immunofluorescence - Anti-EGFL7 antibody [EPR22603-113] - BSA and Azide free (AB256532)

Immunofluorescent analysis of 4% Paraformaldehyde-fixed, 0.1% Triton X-100 permeabilized HUVEC (Human umbilical vein endothelial cell) cells labeling EGFL7 with ab256451 at 1/50 (10 μg/ml) dilution, followed by ab150077 AlexaFluor®488 Goat anti-Rabbit secondary antibody at 1/1000 dilution (Green). Confocal image showing cytoplasmic staining in HUVEC cells. Negative control : Jurkat (PMID : 15162510). ab195889 Anti-alpha Tubulin antibody [DM1A] - Microtubule Marker (Alexa Fluor® 594) was used to counterstain tubulin at 1/200 dilution (Red). The nuclear counterstain was DAPI (Blue).

Secondary antibody only control : Secondary antibody is ab150077 AlexaFluor®488 Goat anti-Rabbit secondary at 1/1000 dilution.

This data was developed using the same antibody clone in a different buffer formulation containing PBS, BSA, glycerol, and sodium azide (ab256451).

Immunohistochemistry (Formalin/PFA-fixed paraffin-embedded sections) - Anti-EGFL7 antibody [EPR22603-113] - BSA and Azide free (AB256532)
  • IHC-P

Unknown

Immunohistochemistry (Formalin/PFA-fixed paraffin-embedded sections) - Anti-EGFL7 antibody [EPR22603-113] - BSA and Azide free (AB256532)

Immunohistochemical analysis of paraffin-embedded human pancreas tissue labeling EGFL7 with ab256451 at 1/500 dilution (1.12 ug/ml) followed by a ready to use Rabbit specific IHC polymer detection kit HRP/DAB (ab209101). Positive staining on blood vessels in human pancreas (PMID : 18497746) is observed. The section was incubated with ab256451 for 30 mins at RT. The immunostaining was performed on a Leica Biosystems BOND® RX instrument. Counterstained with hematoxylin. Heat mediated antigen retrieval with Tris-EDTA buffer (pH 9.0, epitope retrieval solution 2) for 20 mins.

Secondary antibody only control : Secondary antibody is a ready to use Rabbit specific IHC polymer detection kit HRP/DAB (ab209101).

This data was developed using the same antibody clone in a different buffer formulation containing PBS, BSA, glycerol, and sodium azide (ab256451).

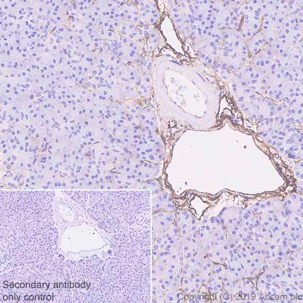
Immunohistochemistry (Formalin/PFA-fixed paraffin-embedded sections) - Anti-EGFL7 antibody [EPR22603-113] - BSA and Azide free (AB256532)
  • IHC-P

Unknown

Immunohistochemistry (Formalin/PFA-fixed paraffin-embedded sections) - Anti-EGFL7 antibody [EPR22603-113] - BSA and Azide free (AB256532)

Immunohistochemical analysis of paraffin-embedded human placenta tissue labeling EGFL7 with ab256451 at 1/500 dilution (1.12 μg/ml) followed by a ready to use Rabbit specific IHC polymer detection kit HRP/DAB (ab209101). Positive staining on human placenta (PMID : 24751645) is observed. The section was incubated with ab256451 for 30 mins at RT. The immunostaining was performed on a Leica Biosystems BOND® RX instrument. Counterstained with hematoxylin. Heat mediated antigen retrieval with Tris-EDTA buffer (pH 9.0, epitope retrieval solution 2) for 20 mins.

Secondary antibody only control : Secondary antibody is a ready to use Rabbit specific IHC polymer detection kit HRP/DAB (ab209101).

This data was developed using the same antibody clone in a different buffer formulation containing PBS, BSA, glycerol, and sodium azide (ab256451).

Key facts

Host species

Rabbit

Clonality

Monoclonal

Clone number

EPR22603-113

Isotype

IgG

Carrier free

Yes

Reacts with

Human

Applications

WB, ICC/IF, IHC-P

applications

Immunogen

The exact immunogen used to generate this antibody is proprietary information.

Reactivity data

{ "title": "Reactivity Data", "filters": { "stats": ["", "Species", "Dilution Info", "Notes"], "tabs": { "all-applications": {"fullname" : "All Applications", "shortname": "All Applications"}, "IP" : {"fullname" : "Immunoprecipitation", "shortname":"IP"}, "FlowCyt" : {"fullname" : "Flow Cytometry", "shortname":"Flow Cyt"}, "WB" : {"fullname" : "Western blot", "shortname":"WB"}, "ICCIF" : {"fullname" : "Immunocytochemistry/ Immunofluorescence", "shortname":"ICC/IF"}, "IHCP" : {"fullname" : "Immunohistochemistry (Formalin/PFA-fixed paraffin-embedded sections)", "shortname":"IHC-P"} }, "product-promise": { "all": "all", "testedAndGuaranteed": "tested", "guaranteed": "expected", "predicted": "predicted", "notRecommended": "not-recommended" } }, "values": { "Human": { "IP-species-checked": "notRecommended", "IP-species-dilution-info": "", "IP-species-notes": "<p></p>", "FlowCyt-species-checked": "notRecommended", "FlowCyt-species-dilution-info": "", "FlowCyt-species-notes": "<p></p>", "WB-species-checked": "guaranteed", "WB-species-dilution-info": "", "WB-species-notes": "<p></p>", "ICCIF-species-checked": "testedAndGuaranteed", "ICCIF-species-dilution-info": "", "ICCIF-species-notes": "<p></p>", "IHCP-species-checked": "testedAndGuaranteed", "IHCP-species-dilution-info": "", "IHCP-species-notes": "<p></p>" } } }

Product details

ab256532 is the carrier-free version of ab256451.

Patented technology
Our RabMAb® technology is a patented hybridoma-based technology for making rabbit monoclonal antibodies. For details on our patents, please refer to RabMAb® patents.

What are the advantages of a recombinant monoclonal antibody?
This product is a recombinant monoclonal antibody, which offers several advantages including:

  • - High batch-to-batch consistency and reproducibility
  • - Improved sensitivity and specificity
  • - Long-term security of supply
  • - Animal-free batch production

For more information, read more on recombinant antibodies.

Conjugation ready
Our carrier-free antibodies are typically supplied in a PBS-only formulation, purified and free of BSA, sodium azide and glycerol. This conjugation-ready format is designed for use with fluorochromes, metal isotopes, oligonucleotides, and enzymes, which makes them ideal for antibody labelling, functional and cell-based assays, flow-based assays (e.g. mass cytometry) and Multiplex Imaging applications.

Use our conjugation kits for antibody conjugates that are ready-to-use in as little as 20 minutes with 1 minute hands-on-time and 100% antibody recovery: available for fluorescent dyes, HRP, biotin and gold.

Compatibility
This product is compatible with the Maxpar® Antibody Labeling Kit from Fluidigm, without the need for antibody preparation. Maxpar® is a trademark of Fluidigm Canada Inc.

Properties and storage information

Form
Liquid
Purification technique
Affinity purification Protein A
Storage buffer
pH: 7.2 - 7.4 Constituents: PBS
Shipped at conditions
Blue Ice
Appropriate short-term storage conditions
+4°C
Appropriate long-term storage conditions
+4°C
Storage information
Do Not Freeze

Supplementary information

This supplementary information is collated from multiple sources and compiled automatically.

EGFL7 also known as Epidermal Growth Factor-like Domain 7 is a secreted protein with a molecular mass of approximately 31 kDa. Scientists observe its expression mainly in vascular endothelial cells indicating its role in vasculature. It characterizes itself by its distinctive EGF-like repeat domains which enable interaction with other proteins in the cellular environment.
Biological function summary

EGFL7 plays an essential role in blood vessel development and maintenance. It is involved in the modulation of endothelial cell behavior primarily through cell proliferation migration and organization. EGFL7 influences angiogenesis by affecting the extracellular matrix environment but it does not form part of a larger protein complex. It serves as a regulator by interacting directly with other components of the angiogenic process.

Pathways

Research has established EGFL7 as a significant participant in the angiogenesis and Notch signaling pathways. It interacts closely with proteins such as COX-2 within the angiogenic pathway and through its efficacy impacts the downstream signaling events in vessels' formation and repair. The proper functioning of these pathways highlights the importance of EGFL7 in vascular biology.

Researchers associate EGFL7 with certain cancers and cardiovascular diseases. Elevated levels of EGFL7 in tumors implicate it in tumor angiogenesis and metastasis suggesting its potential as a biomarker or therapeutic target. In cardiovascular contexts its interaction with VEGF suggests a role in pathologies involving vascular dysfunctions including atherosclerosis.

Product protocols

For this product, it's our understanding that no specific protocols are required. You can visit:

Target data

Regulates vascular tubulogenesis in vivo. Inhibits platelet-derived growth factor (PDGF)-BB-induced smooth muscle cell migration and promotes endothelial cell adhesion to the extracellular matrix and angiogenesis.
See full target information EGFL7

Product promise

We are committed to supporting your work with high-quality reagents, and we're here for you every step of the way. In the unlikely event that one of our products does not perform as expected, you're protected by our Product Promise.
For full details, please see our Terms & Conditions

Please note: All products are 'FOR RESEARCH USE ONLY. NOT FOR USE IN DIAGNOSTIC OR THERAPEUTIC PROCEDURES'.

For licensing inquiries, please contact partnerships@abcam.com