JavaScript is disabled in your browser. Please enable JavaScript to view this website.
AB289896

Anti-EGFR antibody [13/EGFR] - BSA and Azide free

Be the first to review this product! Submit a review

|

(0 Publication)

Mouse Recombinant Monoclonal EGFR antibody. Carrier free. Suitable for ICC/IF, WB, IP and reacts with Human samples.

View Alternative Names

ERBB, ERBB1, HER1, EGFR, Epidermal growth factor receptor, Proto-oncogene c-ErbB-1, Receptor tyrosine-protein kinase erbB-1

4 Images
Immunocytochemistry/ Immunofluorescence - Anti-EGFR antibody [13/EGFR] - BSA and Azide free (AB289896)
  • ICC/IF

Supplier Data

Immunocytochemistry/ Immunofluorescence - Anti-EGFR antibody [13/EGFR] - BSA and Azide free (AB289896)

This data was developed using ab289889, the same antibody clone in a different buffer formulation.

Immunofluorescent analysis of 4% paraformaldehyde-fixed, 0.1% Triton X-100 permeabilized A-431 (Human epidermoid carcinoma cell line) labeling EGFR with ab289889 at 1/50 dilution, followed by Goat Anti-Mouse IgG H&L (Alexa Fluor® 488) (ab150117) preadsorbed secondary antibody at 1/1000 dilution (green). Confocal image showing cytoplasmic and membranous staining in A431 cell line.

Low expression:SW480 (PMID : 27729020). The nuclear counter stain is DAPI (blue).

Tubulin is counterstained with Anti-alpha Tubulin mouse MAb (ab179513) at 1/200 dilution, followed by Goat Anti-Rabbit IgG H&L (Alexa Fluor® 594) preadsorbed (ab150088) secondary antibody at 1/1000 dilution (red).

The negative controls are as follows :
-ve control 1 : ab289889 at 1/50 dilution, followed by Goat Anti-Rabbit IgG H&L (Alexa Fluor® 594) preadsorbed (ab150088) secondary antibody at 1/1000 dilution.
-ve control 2 : Anti-alpha Tubulin mouse MAb (ab179513) at 1/200 dilution, followed by Goat Anti-Rabbit IgG H&L (Alexa Fluor® 488) (ab150117) secondary antibody at 1/1000 dilution.

Immunoprecipitation - Anti-EGFR antibody [13/EGFR] - BSA and Azide free (AB289896)
  • IP

Supplier Data

Immunoprecipitation - Anti-EGFR antibody [13/EGFR] - BSA and Azide free (AB289896)

This data was developed using ab289889, the same antibody clone in a different buffer formulation.

EGFR was immunoprecipitated from A431 (human epidermoid carcinoma epithelial cell) whole cell lysate 10 μg with ab289889 at 1/30 diultion. Western Blot was performed from immunoprecipitate using ab289889 at 1/1000 diultion. Mouse IgG for IP (HRP) (ab131368) was used as a secondary antibody at 1/5000 dilution.

Lane 1 (Input) : A431 (human epidermoid carcinoma epithelial cell) whole cell lysate)

Lane 2 (+) : A431 whole cell lysate

Lane 3 (-) : Mouse IgG1 monoclonal (ab18443) instead of ab289889 in A431 whole cell lysate

Blocking and dilution buffer : 5% NFDM/TBST.

All lanes:

Immunoprecipitation - Anti-EGFR antibody [13/EGFR] (<a href='/en-us/products/primary-antibodies/egfr-antibody-13-egfr-ab289889'>ab289889</a>)

Predicted band size: 134 kDa

false

Exposure time: 3min

Western blot - Anti-EGFR antibody [13/EGFR] - BSA and Azide free (AB289896)
  • WB

Lab

Western blot - Anti-EGFR antibody [13/EGFR] - BSA and Azide free (AB289896)

This data was developed using ab289889, the same antibody clone in a different buffer formulation.

Blocking and diluting buffer : 5% NFDM/TBST.

All lanes:

Western blot - Anti-EGFR antibody [13/EGFR] (<a href='/en-us/products/primary-antibodies/egfr-antibody-13-egfr-ab289889'>ab289889</a>) at 1/1000 dilution

All lanes:

A431 (human epidermoid carcinoma epithelial cell), whole cell lysate at 10 µg

Secondary

All lanes:

Peroxidase-Conjugated Goat anti-Mouse IgG (H+L) at 1/10000 dilution

Predicted band size: 134 kDa

Observed band size: 170 kDa

false

Exposure time: 15s

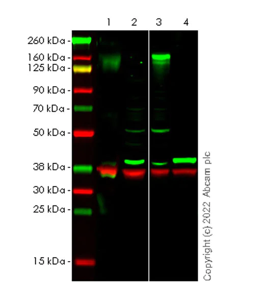
Western blot - Anti-EGFR antibody [13/EGFR] - BSA and Azide free (AB289896)
  • WB

Supplier Data

Western blot - Anti-EGFR antibody [13/EGFR] - BSA and Azide free (AB289896)

This data was developed using ab289889, the same antibody clone in a different buffer formulation.

Blocking and diluting buffer : Intercept® (TBS) Blocking Buffer diluted with an equal volume of 0.1% TBS.

False colour image of Western blot : Anti-EGFR antibody [13/EGFR] (ab289889 staining at 1/1000 dilution, shown in green; Rabbit anti-GAPDH antibody [16891] (ab181602) loading control staining at 1/20000 dilution, shown in red.

In Western blot, ab289889 was shown to bind specifically to EGFR. A band was observed at 170 kDa in wild-type HeLa cell lysates with no signal observed at this size in the EGFR knockout cell line. To generate this image, wild-type and EGFR knockout HeLa cell lysates were analysed. First, samples were run on an SDS-PAGE gel then transferred onto a PVDF-FL membrane. Membranes were blocked in Odyssey diluted in equal volume of 0.1 % TBS before incubation with primary antibodies overnight at 4 °C. Blots were washed four times in TBS-T, incubated with secondary antibodies for 1 h at room temperature, washed again four times then imaged. Secondary antibodies used were Goat Anti-Mouse IgG H&L (IRDye® 800CW) (ab216772) and Goat Anti-Rabbit IgG H&L (IRDye® 680RD) (ab216777) at 1/10000 dilution.

Performed under reducing conditions.

Low expression : SW480(PMID : 19789347)
We observe an unknown band at around 38k.

All lanes:

Western blot - Anti-EGFR antibody [13/EGFR] (<a href='/en-us/products/primary-antibodies/egfr-antibody-13-egfr-ab289889'>ab289889</a>) at 1/1000 dilution

Lane 1:

Wild type HeLa (human cervix adenocarcinoma epithelial cell) whole cell lysate at 20 µg

Lane 2:

EGFR knockout HeLa whole cell lysate at 20 µg

Lane 3:

NCI-H1975 (Human adenocarcinoma lung epithelial cell) whole cell lysate at 20 µg

Lane 4:

SW480 (human colorectal adenocarcinoma epithelial cell) whole cell lysate at 20 µg

Secondary

All lanes:

Goat Anti-Mouse IgG H&L (IRDye® 800CW) (<a href='/en-us/products/secondary-antibodies/goat-mouse-igg-h-l-irdye-800cw-preadsorbed-ab216772'>ab216772</a>) and Goat Anti-Rabbit IgG H&L (IRDye® 680RD) (<a href='/en-us/products/secondary-antibodies/goat-rabbit-igg-h-l-irdye-680rd-preadsorbed-ab216777'>ab216777</a>) at 1/10000 dilution

Predicted band size: 134 kDa

Observed band size: 170 kDa

false

Key facts

Host species

Mouse

Clonality

Monoclonal

Clone number

13/EGFR

Isotype

IgG1

Carrier free

Yes

Reacts with

Human

Applications

ICC/IF, WB, IP

applications

Immunogen

The exact immunogen used to generate this antibody is proprietary information.

Reactivity data

{ "title": "Reactivity Data", "filters": { "stats": ["", "Species", "Dilution Info", "Notes"], "tabs": { "all-applications": {"fullname" : "All Applications", "shortname": "All Applications"}, "ICCIF" : {"fullname" : "Immunocytochemistry/ Immunofluorescence", "shortname":"ICC/IF"}, "WB" : {"fullname" : "Western blot", "shortname":"WB"}, "IHCP" : {"fullname" : "Immunohistochemistry (Formalin/PFA-fixed paraffin-embedded sections)", "shortname":"IHC-P"}, "FlowCytIntra" : {"fullname" : "Flow Cytometry (Intracellular)", "shortname":"Flow Cyt (Intra)"}, "IP" : {"fullname" : "Immunoprecipitation", "shortname":"IP"} }, "product-promise": { "all": "all", "testedAndGuaranteed": "tested", "guaranteed": "expected", "predicted": "predicted", "notRecommended": "not-recommended" } }, "values": { "Human": { "ICCIF-species-checked": "testedAndGuaranteed", "ICCIF-species-dilution-info": "", "ICCIF-species-notes": "<p></p>", "WB-species-checked": "testedAndGuaranteed", "WB-species-dilution-info": "", "WB-species-notes": "<p></p>", "IHCP-species-checked": "notRecommended", "IHCP-species-dilution-info": "", "IHCP-species-notes": "<p></p>", "FlowCytIntra-species-checked": "notRecommended", "FlowCytIntra-species-dilution-info": "", "FlowCytIntra-species-notes": "<p></p>", "IP-species-checked": "testedAndGuaranteed", "IP-species-dilution-info": "", "IP-species-notes": "<p></p>" }, "Mouse": { "ICCIF-species-checked": "notRecommended", "ICCIF-species-dilution-info": "", "ICCIF-species-notes": "", "WB-species-checked": "notRecommended", "WB-species-dilution-info": "", "WB-species-notes": "<p></p>", "IHCP-species-checked": "notRecommended", "IHCP-species-dilution-info": "", "IHCP-species-notes": "<p></p>", "FlowCytIntra-species-checked": "notRecommended", "FlowCytIntra-species-dilution-info": "", "FlowCytIntra-species-notes": "", "IP-species-checked": "notRecommended", "IP-species-dilution-info": "", "IP-species-notes": "" }, "Rat": { "ICCIF-species-checked": "notRecommended", "ICCIF-species-dilution-info": "", "ICCIF-species-notes": "", "WB-species-checked": "notRecommended", "WB-species-dilution-info": "", "WB-species-notes": "<p></p>", "IHCP-species-checked": "notRecommended", "IHCP-species-dilution-info": "", "IHCP-species-notes": "<p></p>", "FlowCytIntra-species-checked": "notRecommended", "FlowCytIntra-species-dilution-info": "", "FlowCytIntra-species-notes": "", "IP-species-checked": "notRecommended", "IP-species-dilution-info": "", "IP-species-notes": "" } } }

Product details

ab289896 is the carrier free version of ab289889.

What are the advantages of a recombinant monoclonal antibody?
This product is a recombinant monoclonal antibody, which offers several advantages including:

  • - High batch-to-batch consistency and reproducibility
  • - Improved sensitivity and specificity
  • - Long-term security of supply
  • - Animal-free batch production

For more information, read more on recombinant antibodies.

Conjugation ready
Our carrier-free antibodies are typically supplied in a PBS-only formulation, purified and free of BSA, sodium azide and glycerol. This conjugation-ready format is designed for use with fluorochromes, metal isotopes, oligonucleotides, and enzymes, which makes them ideal for antibody labelling, functional and cell-based assays, flow-based assays (e.g. mass cytometry) and Multiplex Imaging applications.

Use our conjugation kits for antibody conjugates that are ready-to-use in as little as 20 minutes with 1 minute hands-on-time and 100% antibody recovery: available for fluorescent dyes, HRP, biotin and gold.

Properties and storage information

Form
Liquid
Purification technique
Affinity purification Protein A
Storage buffer
pH: 7.2 - 7.4 Constituents: PBS
Shipped at conditions
Blue Ice
Appropriate short-term storage conditions
+4°C
Appropriate long-term storage conditions
+4°C
Storage information
Do Not Freeze

Supplementary information

This supplementary information is collated from multiple sources and compiled automatically.

EGFR or Epidermal Growth Factor Receptor is a transmembrane glycoprotein that acts as a receptor for members of the epidermal growth factor family. Known alternatively as ErbB1 or HER1 this receptor has an approximate molecular weight of 170 kDa. EGFR is expressed in various cell types notably on epithelial cells and can influence multiple cellular processes through its kinase activity. It participates in the regulation of cell growth multiplication and survival by activating its kinase domain upon ligand binding.
Biological function summary

The EGFR protein plays an important role in cellular communication and signaling processes. EGFR pairs with other receptor family members to form active dimers or even higher-order complexes which in turn initiate intracellular signaling cascades. Through these complexes EGFR influences many processes including cell differentiation and repair. This function of EGFR makes it an integral part of mammalian biology affecting how cells respond to their environment by mediating changes in gene expression.

Pathways

EGFR is a central player in the MAPK and PI3K/Akt signaling pathways. Alongside other protein partners like KRAS and PI3 kinase it contributes to transmitting signals from the cell surface to the nucleus affecting gene transcription and cell behavior. These pathways are important for normal cell growth and division and aberrations in these pathways can lead to excessive or insufficient cell proliferation.

EGFR is pertinent to cancer biology including non-small cell lung cancer and glioblastoma where mutations or overexpression of the receptor frequently occur. It connects to proteins such as PTEN and BRAF which influence tumor progression and response to targeted therapies. EGFR's involvement in these disorders highlights its significance as a therapeutic target since it can be manipulated to alter disease progression.

Product protocols

For this product, it's our understanding that no specific protocols are required. You can visit:

Target data

The protein expressed by the EGFR gene functions as a receptor tyrosine kinase, binding with ligands from the EGF family to activate several signaling cascades that translate extracellular signals into cellular responses. Known ligands include EGF, TGFA/TGF-alpha, AREG, epigen, BTC/betacellulin, epiregulin, and HBEGF. Ligand binding triggers receptor dimerization and autophosphorylation, recruiting adapter proteins like GRB2 and activating complex downstream signaling pathways such as RAS-RAF-MEK-ERK, PI3 kinase-AKT, PLCgamma-PKC, and STATs, and possibly the NF-kappa-B cascade. EGFR also directly phosphorylates proteins like RGS16 and MUC1, influencing various cellular processes including its coupling with G protein-coupled receptor signaling and cell migration through interaction with CCDC88A/GIV. Isoform 2 of EGFR may act as an antagonist to EGF actions. In microbial infection, EGFR also serves as a receptor facilitating hepatitis C virus (HCV) entry into hepatocytes by promoting CD81-CLDN1 receptor complexes and enhancing membrane fusion with HCV envelope glycoproteins. This supplementary information is collated from multiple sources and compiled automatically.
See full target information EGFR

Product promise

We are committed to supporting your work with high-quality reagents, and we're here for you every step of the way. In the unlikely event that one of our products does not perform as expected, you're protected by our Product Promise.
For full details, please see our Terms & Conditions

Please note: All products are 'FOR RESEARCH USE ONLY. NOT FOR USE IN DIAGNOSTIC OR THERAPEUTIC PROCEDURES'.

For licensing inquiries, please contact partnerships@abcam.com