JavaScript is disabled in your browser. Please enable JavaScript to view this website.
AB131498

Anti-EGFR antibody

Be the first to review this product! Submit a review

|

(18 Publications)

Rabbit Polyclonal EGFR antibody. Suitable for WB, IHC-P, ICC/IF and reacts with Human samples. Cited in 18 publications.

View Alternative Names

ERBB, ERBB1, HER1, EGFR, Epidermal growth factor receptor, Proto-oncogene c-ErbB-1, Receptor tyrosine-protein kinase erbB-1

3 Images
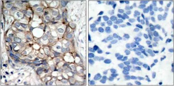
Immunohistochemistry (Formalin/PFA-fixed paraffin-embedded sections) - Anti-EGFR antibody (AB131498)
  • IHC-P

Unknown

Immunohistochemistry (Formalin/PFA-fixed paraffin-embedded sections) - Anti-EGFR antibody (AB131498)

Immunohistochemical analysis of paraffin embedded Human breast carcinoma tissue labelled with ab131498 at 1/50 diluton (left) and ab131498 preincubated with blocking peptide (right).

Immunocytochemistry/ Immunofluorescence - Anti-EGFR antibody (AB131498)
  • ICC/IF

Unknown

Immunocytochemistry/ Immunofluorescence - Anti-EGFR antibody (AB131498)

Immunifluorescence analysis of methanol fixed MCF cells using ab131498 at 1/100 dilution.

Western blot - Anti-EGFR antibody (AB131498)
  • WB

Unknown

Western blot - Anti-EGFR antibody (AB131498)

All lanes:

Western blot - Anti-EGFR antibody (ab131498) at 1/500 dilution

Lane 1:

HUVEC extract

Lane 2:

MDA cell extract

Predicted band size: 134 kDa

false

Key facts

Host species

Rabbit

Clonality

Polyclonal

Isotype

IgG

Carrier free

No

Reacts with

Human

Applications

WB, ICC/IF, IHC-P

applications

Immunogen

The exact immunogen used to generate this antibody is proprietary information.

Reactivity data

{ "title": "Reactivity Data", "filters": { "stats": ["", "Species", "Dilution Info", "Notes"], "tabs": { "all-applications": {"fullname" : "All Applications", "shortname": "All Applications"}, "WB" : {"fullname" : "Western blot", "shortname":"WB"}, "IHCP" : {"fullname" : "Immunohistochemistry (Formalin/PFA-fixed paraffin-embedded sections)", "shortname":"IHC-P"}, "ICCIF" : {"fullname" : "Immunocytochemistry/ Immunofluorescence", "shortname":"ICC/IF"} }, "product-promise": { "all": "all", "testedAndGuaranteed": "tested", "guaranteed": "expected", "predicted": "predicted", "notRecommended": "not-recommended" } }, "values": { "Human": { "WB-species-checked": "testedAndGuaranteed", "WB-species-dilution-info": "1/500 - 1/1000", "WB-species-notes": "<p></p>", "IHCP-species-checked": "testedAndGuaranteed", "IHCP-species-dilution-info": "1/50 - 1/100", "IHCP-species-notes": "<p></p>", "ICCIF-species-checked": "testedAndGuaranteed", "ICCIF-species-dilution-info": "1/100 - 1/200", "ICCIF-species-notes": "<p></p>" }, "Mouse": { "WB-species-checked": "predicted", "WB-species-dilution-info": "", "WB-species-notes": "", "IHCP-species-checked": "predicted", "IHCP-species-dilution-info": "", "IHCP-species-notes": "", "ICCIF-species-checked": "predicted", "ICCIF-species-dilution-info": "", "ICCIF-species-notes": "" }, "Rat": { "WB-species-checked": "predicted", "WB-species-dilution-info": "", "WB-species-notes": "", "IHCP-species-checked": "predicted", "IHCP-species-dilution-info": "", "IHCP-species-notes": "", "ICCIF-species-checked": "predicted", "ICCIF-species-dilution-info": "", "ICCIF-species-notes": "" } } }

Properties and storage information

Form
Liquid
Purification technique
Affinity purification Immunogen
Storage buffer
pH: 7.4 Preservative: 0.02% Sodium azide Constituents: PBS, 50% Glycerol (glycerin, glycerine), 0.88% Sodium chloride
Shipped at conditions
Blue Ice
Appropriate short-term storage conditions
+4°C
Appropriate long-term storage conditions
-20°C
Storage information
Stable for 12 months at -20°C

Supplementary information

This supplementary information is collated from multiple sources and compiled automatically.

EGFR or Epidermal Growth Factor Receptor is a transmembrane glycoprotein that acts as a receptor for members of the epidermal growth factor family. Known alternatively as ErbB1 or HER1 this receptor has an approximate molecular weight of 170 kDa. EGFR is expressed in various cell types notably on epithelial cells and can influence multiple cellular processes through its kinase activity. It participates in the regulation of cell growth multiplication and survival by activating its kinase domain upon ligand binding.
Biological function summary

The EGFR protein plays an important role in cellular communication and signaling processes. EGFR pairs with other receptor family members to form active dimers or even higher-order complexes which in turn initiate intracellular signaling cascades. Through these complexes EGFR influences many processes including cell differentiation and repair. This function of EGFR makes it an integral part of mammalian biology affecting how cells respond to their environment by mediating changes in gene expression.

Pathways

EGFR is a central player in the MAPK and PI3K/Akt signaling pathways. Alongside other protein partners like KRAS and PI3 kinase it contributes to transmitting signals from the cell surface to the nucleus affecting gene transcription and cell behavior. These pathways are important for normal cell growth and division and aberrations in these pathways can lead to excessive or insufficient cell proliferation.

EGFR is pertinent to cancer biology including non-small cell lung cancer and glioblastoma where mutations or overexpression of the receptor frequently occur. It connects to proteins such as PTEN and BRAF which influence tumor progression and response to targeted therapies. EGFR's involvement in these disorders highlights its significance as a therapeutic target since it can be manipulated to alter disease progression.

Product protocols

For this product, it's our understanding that no specific protocols are required. You can visit:

Target data

The protein expressed by the EGFR gene functions as a receptor tyrosine kinase, binding with ligands from the EGF family to activate several signaling cascades that translate extracellular signals into cellular responses. Known ligands include EGF, TGFA/TGF-alpha, AREG, epigen, BTC/betacellulin, epiregulin, and HBEGF. Ligand binding triggers receptor dimerization and autophosphorylation, recruiting adapter proteins like GRB2 and activating complex downstream signaling pathways such as RAS-RAF-MEK-ERK, PI3 kinase-AKT, PLCgamma-PKC, and STATs, and possibly the NF-kappa-B cascade. EGFR also directly phosphorylates proteins like RGS16 and MUC1, influencing various cellular processes including its coupling with G protein-coupled receptor signaling and cell migration through interaction with CCDC88A/GIV. Isoform 2 of EGFR may act as an antagonist to EGF actions. In microbial infection, EGFR also serves as a receptor facilitating hepatitis C virus (HCV) entry into hepatocytes by promoting CD81-CLDN1 receptor complexes and enhancing membrane fusion with HCV envelope glycoproteins. This supplementary information is collated from multiple sources and compiled automatically.
See full target information EGFR

Publications (18)

Recent publications for all applications. Explore the full list and refine your search

Journal of translational medicine 21:736 PubMed37853459

2023

RIZ2 at the crossroad of the EGF/EGFR signaling in colorectal cancer.

Applications

Unspecified application

Species

Unspecified reactive species

Marzia Di Donato,Erika Di Zazzo,Annamaria Salvati,Carmela Sorrentino,Giorgio Giurato,Donatella Fiore,Maria Chiara Proto,Monica Rienzo,Amelia Casamassimi,Patrizia Gazzerro,Maurizio Bifulco,Gabriella Castoria,Alessandro Weisz,Giovanni Nassa,Ciro Abbondanza

Neural regeneration research 17:2472-2483 PubMed35535899

2022

ADAM10 facilitates rapid neural stem cell cycling and proper positioning within the subventricular zone niche via JAMC/RAP1Gap signaling.

Applications

Unspecified application

Species

Unspecified reactive species

Nadia McMillan,Gregory W Kirschen,Sanket Desai,Emma Xia,Stella E Tsirka,Adan Aguirre

Molecular medicine reports 24: PubMed34396443

2021

miR‑125a‑5p and miR‑7 inhibits the proliferation, migration and invasion of vascular smooth muscle cell by targeting EGFR.

Applications

Unspecified application

Species

Unspecified reactive species

Hualan Zhou,Sen Lin,Youdong Hu,Dianxuan Guo,Yun Wang,Xia Li

Computational and structural biotechnology journal 19:2881-2890 PubMed34093999

2021

Substantial cell apoptosis provoked by naked PAMAM dendrimers in HER2-positive human breast cancer via JNK and ERK1/ERK2 signalling pathways.

Applications

Unspecified application

Species

Unspecified reactive species

Hadeel Kheraldine,Ishita Gupta,Hashim Alhussain,Aayesha Jabeen,Farhan S Cyprian,Saghir Akhtar,Ala-Eddin Al Moustafa,Ousama Rachid

Molecular therapy oncolytics 20:569-582 PubMed33768139

2021

Tumor-derived exosomal microRNA-7-5p enhanced by verbascoside inhibits biological behaviors of glioblastoma and .

Applications

Unspecified application

Species

Unspecified reactive species

Huan Wang,Jiugeng Feng,Fan Ao,Yiqiang Tang,Pengliang Xu,Min Wang,Min Huang

Cell reports 33:108257 PubMed33053360

2020

LRIG1-Mediated Inhibition of EGF Receptor Signaling Regulates Neural Precursor Cell Proliferation in the Neocortex.

Applications

Unspecified application

Species

Unspecified reactive species

Danielle Jeong,Daniela Lozano Casasbuenas,Archana Gengatharan,Kyshona Edwards,Armen Saghatelyan,David R Kaplan,Freda D Miller,Scott A Yuzwa

Experimental & molecular medicine 52:832-842 PubMed32457491

2020

Destabilization of β-catenin and RAS by targeting the Wnt/β-catenin pathway as a potential treatment for triple-negative breast cancer.

Applications

Unspecified application

Species

Unspecified reactive species

Won-Ji Ryu,Jeong Dong Lee,Jong-Chan Park,Pu-Hyeon Cha,Yong-Hee Cho,Jee Ye Kim,Joo Hyuk Sohn,Soonmyung Paik,Kang-Yell Choi

Cell biochemistry and function 38:541-548 PubMed32056244

2020

Downregulation of CLDN6 inhibits cell proliferation, migration, and invasion via regulating EGFR/AKT/mTOR signalling pathway in hepatocellular carcinoma.

Applications

Unspecified application

Species

Unspecified reactive species

Lingyuan Huang,Chanjuan Zhao,Kai Sun,Dandan Yang,Linxia Yan,Dan Luo,Jinli He,Xuemei Hu,Rong Wang,Xiaofei Shen,Ning Xiao,Zhendong Zhong

IUBMB life 71:1537-1551 PubMed31188543

2019

LncRNA LOXL1-AS1/miR-let-7a-5p/EGFR-related pathway regulates the doxorubicin resistance of prostate cancer DU-145 cells.

Applications

Unspecified application

Species

Unspecified reactive species

Tianliang Bai,Yabin Liu,Binghui Li

Frontiers in oncology 9:447 PubMed31245283

2019

The Prognostic and Therapeutic Potential of LRIG3 and Soluble LRIG3 in Glioblastoma.

Applications

Unspecified application

Species

Unspecified reactive species

Fangling Cheng,Po Zhang,Qungen Xiao,Youwei Li,Minhai Dong,Heping Wang,Dong Kuang,Yue He,Qiuhong Duan,Feng Mao,Baofeng Wang,Dongsheng Guo
View all publications

Product promise

We are committed to supporting your work with high-quality reagents, and we're here for you every step of the way. In the unlikely event that one of our products does not perform as expected, you're protected by our Product Promise.
For full details, please see our Terms & Conditions

Please note: All products are 'FOR RESEARCH USE ONLY. NOT FOR USE IN DIAGNOSTIC OR THERAPEUTIC PROCEDURES'.

For licensing inquiries, please contact partnerships@abcam.com