JavaScript is disabled in your browser. Please enable JavaScript to view this website.
AB174481

Anti-EGFR antibody [EP38Y] - Low endotoxin, Azide free

  • BOND RX™ Validated
  • RabMAb
  • Recombinant
  • KO Validated
  • What is this?

Be the first to review this product! Submit a review

|

(2 Publications)

Rabbit Recombinant Monoclonal EGFR antibody. Carrier free. Suitable for IP, I-ELISA, WB, ICC/IF, Flow Cyt (Intra), IHC-P and reacts with Human, Mouse, Rat, Recombinant full length protein - Human samples. Cited in 2 publications.

View Alternative Names

ERBB, ERBB1, HER1, EGFR, Epidermal growth factor receptor, Proto-oncogene c-ErbB-1, Receptor tyrosine-protein kinase erbB-1

21 Images
Immunocytochemistry/ Immunofluorescence - Anti-EGFR antibody [EP38Y] - Low endotoxin, Azide free (AB174481)
  • ICC/IF

Unknown

Immunocytochemistry/ Immunofluorescence - Anti-EGFR antibody [EP38Y] - Low endotoxin, Azide free (AB174481)

Immunocytochemistry/ Immunofluorescence analysis of A431 (Human epidermoid carcinoma epithelial cell) cells labeling EGFR with Purified ab52894 at 1 : 250 dilution (0.4μg/ml). Cells were fixed in 4% Paraformaldehyde and permeabilized with 0.1% tritonX-100. Cells were counterstained with ab195889 Anti-alpha Tubulin antibody [DM1A] - Microtubule Marker (Alexa Fluor® 594) 1 : 200 (2.5 μg/ml). ab150077 Goat anti rabbit IgG(Alexa Fluor® 488) was used as the secondary antibody at 1 : 1000 dilution. DAPI nuclear counterstain. PBS instead of the primary antibody was used as the secondary antibody only control.

This data was developed using the same antibody clone in a different buffer formulation containing PBS, BSA, glycerol, and sodium azide (ab52894).

Immunohistochemistry (Formalin/PFA-fixed paraffin-embedded sections) - Anti-EGFR antibody [EP38Y] - Low endotoxin, Azide free (AB174481)
  • IHC-P

Unknown

Immunohistochemistry (Formalin/PFA-fixed paraffin-embedded sections) - Anti-EGFR antibody [EP38Y] - Low endotoxin, Azide free (AB174481)

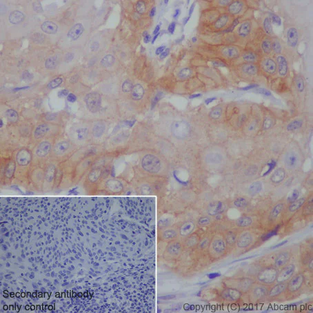
Immunohistochemistry (Formalin/PFA-fixed paraffin-embedded sections) analysis of Human cervical carcinoma tissue sections labeling EGFR with purified ab52894 at 1 : 100 dilution (0.95 μg/ml). Heat mediated antigen retrieval was performed using EDTA Buffer, pH9.0. Tissue was counterstained with Hematoxylin. ab97051 Goat Anti-Rabbit IgG H&L (HRP) secondary antibody was used at 1 : 500 dilution. PBS instead of the primary antibody was used as the negative control.

This data was developed using the same antibody clone in a different buffer formulation containing PBS, BSA, glycerol, and sodium azide (ab52894).

Immunohistochemistry (Formalin/PFA-fixed paraffin-embedded sections) - Anti-EGFR antibody [EP38Y] - Low endotoxin, Azide free (AB174481)
  • IHC-P

Lab

Immunohistochemistry (Formalin/PFA-fixed paraffin-embedded sections) - Anti-EGFR antibody [EP38Y] - Low endotoxin, Azide free (AB174481)

This data was developed using the same antibody clone in a different buffer formulation containing PBS, BSA, glycerol, and sodium azide (ab52894).

Immunohistochemical analysis of formalin fixed paraffin-embedded human glioblastoma and placenta tissues labelling EGFRvIII with ab313646 and EGFR with ab52894 at a concentration of 2.5 µg/ml and 0.5 µg/ml.

The immunostaining was performed on a Leica Biosystems BOND® RX instrument with a Bond™ Polymer Refine Detection kit. Heat mediated antigen retrieval was performed with Tris-EDTA buffer (pH 9.0, Epitope Retrieval Solution 2) for 20 mins. Primary antibodies were incubated for 30 mins at room temperature. Sections were counterstained with Hematoxylin.

Tissue obtained from the Human Research Tissue Bank, supported by the NHR Cambridge Biomedical Research Centre.

Immunohistochemistry (Formalin/PFA-fixed paraffin-embedded sections) - Anti-EGFR antibody [EP38Y] - Low endotoxin, Azide free (AB174481)
  • IHC-P

Lab

Immunohistochemistry (Formalin/PFA-fixed paraffin-embedded sections) - Anti-EGFR antibody [EP38Y] - Low endotoxin, Azide free (AB174481)

This data was developed using the same antibody clone in a different buffer formulation containing PBS, BSA, glycerol, and sodium azide (ab52894).

Chromogenic duplex (2-plex) immunohistochemical staining of formalin fixed paraffin-embedded human glioblastoma tissue performed on a Roche Ventana Discovery Ultra instrument.

Heat mediated antigen retrieval was performed with CC1 solution for 64 min at 95°C. Two rounds of primary antibody incubation were performed each for 16 min at 37°C. anti-EGFRvIII (ab313646; 1st primary antibody; 3 µg/ml) and anti-EGFR (ab52894; 2nd primary antibody; 0.5 µg/ml). Antibody denaturation was conducted after the first round of staining using Ultra CC2 solution for 8 min at 100°C to avoid cross reactivity.

Signal was developed with anti-rabbit HQ followed by anti-HQ HRP coupled with purple (Discovery purple kit (RUO) #760-229) and teal (Discovery teal kit (RUO) #760-247) chromogens and counterstained with haematoxylin II.

Tissue obtained from the Human Research Tissue Bank, supported by the NHR Cambridge Biomedical Research Centre.

Immunohistochemistry (Formalin/PFA-fixed paraffin-embedded sections) - Anti-EGFR antibody [EP38Y] - Low endotoxin, Azide free (AB174481)
  • IHC-P

Lab

Immunohistochemistry (Formalin/PFA-fixed paraffin-embedded sections) - Anti-EGFR antibody [EP38Y] - Low endotoxin, Azide free (AB174481)

This data was developed using the same antibody clone in a different buffer formulation (ab52894).

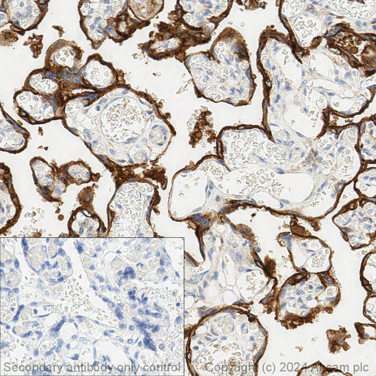
Immunohistochemical analysis of formalin fixed paraffin embedded human placenta labelling EGFR with ab52894 at a concentration of 0.1 µg/ml. The immunostaining was performed on a Ventana DISCOVERY ULTRA (Roche Tissue Diagnostics) instrument with an OptiView DAB IHC Detection Kit. Heat mediated antigen retrieval was conducted for 32 mins at 100°C with ULTRA cell conditioning solution (CC1, pH 8.5). ab52894 Anti-EGFR antibody [EP38Y] was incubated at 37°C for 16 mins. Sections were counterstained with Hematoxylin II. Image inset shows absence of staining in secondary antibody only control.

Immunohistochemistry (Formalin/PFA-fixed paraffin-embedded sections) - Anti-EGFR antibody [EP38Y] - Low endotoxin, Azide free (AB174481)
  • IHC-P

Lab

Immunohistochemistry (Formalin/PFA-fixed paraffin-embedded sections) - Anti-EGFR antibody [EP38Y] - Low endotoxin, Azide free (AB174481)

This data was developed using the same antibody clone in a different buffer formulation (ab52894).

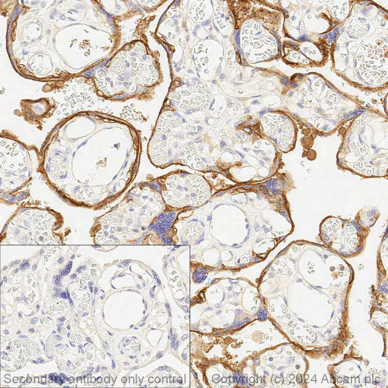
Immunohistochemical analysis of formalin fixed paraffin embedded human placenta labelling EGFR with ab52894 at a concentration of 0.21 µg/ml. The immunostaining was performed on a Leica Biosystems BOND® RX instrument with a Bond™ Polymer Refine Detection kit. Heat mediated antigen retrieval was performed with Tris-EDTA buffer (pH 9.0, Epitope Retrieval Solution 2) for 20 mins. ab52894 Anti-EGFR antibody [EP38Y] was incubated for 30 mins at room temperature. Sections were counterstained with Hematoxylin. Image inset shows absence of staining in secondary antibody only control.

Immunohistochemistry (Formalin/PFA-fixed paraffin-embedded sections) - Anti-EGFR antibody [EP38Y] - Low endotoxin, Azide free (AB174481)
  • IHC-P

Lab

Immunohistochemistry (Formalin/PFA-fixed paraffin-embedded sections) - Anti-EGFR antibody [EP38Y] - Low endotoxin, Azide free (AB174481)

This data was developed using the same antibody clone in a different buffer formulation (ab52894).

Tissue microarrays stained for Anti-EGFR antibody [EP38Y] using ab52894 in immunohistochemical analysis. This table provides a detailed overview of positive (tick mark) and negative (cross mark) staining per sample type tested. The sections were pre-treated using heat mediated antigen retrieval was performed with Tris-EDTA buffer (pH 9.0, Epitope Retrieval Solution2) for 20 mins. The section was incubated with ab52894 for 30 mins at room temperature. The immunostaining was performed on a Leica Biosystems BOND® RX instrument

Flow Cytometry (Intracellular) - Anti-EGFR antibody [EP38Y] - Low endotoxin, Azide free (AB174481)
  • Flow Cyt (Intra)

Unknown

Flow Cytometry (Intracellular) - Anti-EGFR antibody [EP38Y] - Low endotoxin, Azide free (AB174481)

Intracellular Flow Cytometry analysis of A431 (Human epidermoid carcinoma epithelial cell) cells labelling EGFR with purified ab52894. Cells were fixed with 4% Paraformaldehyde (10min) and permeabilised with 90% methanol for 30min. Then incubated in 1x PBS / 10% normal goat serum to block non-specific protein-protein interactions followed by ab52894 at 1/20 dilution (red) for 30 min. A Goat anti rabbit IgG (Alexa Fluor® 488) secondary antibody was used at 1/2000 dilution. Isotype control - Rabbit monoclonal IgG (Black). Unlabelled control - Cell without incubation with primary antibody and secondary antibody (Blue).

This data was developed using the same antibody clone in a different buffer formulation containing PBS, BSA, glycerol, and sodium azide (ab52894).

Immunocytochemistry/ Immunofluorescence - Anti-EGFR antibody [EP38Y] - Low endotoxin, Azide free (AB174481)
  • ICC/IF

Lab

Immunocytochemistry/ Immunofluorescence - Anti-EGFR antibody [EP38Y] - Low endotoxin, Azide free (AB174481)

This data was developed using the same antibody clone in a different buffer formulation containing PBS, BSA, glycerol, and sodium azide (ab52894).

ab52894 staining of EGFR in a HCT116 cell spheroid. The cells were fixed with 4% formaldehyde (10 min), permeabilised with 0.5% Triton X-100 for 1h and then blocked with 1% BSA/10% normal goat serum/0.3M glycine in 0.1% PBS-Tween overnight at room temperature. The spheroids were then incubated overnight at room temperature with ab52894 at 2 μg/ml and ab7291, Mouse monoclonal [DM1A] to alpha Tubulin at 2 μg/ml. DAPI was used as nuclear counterstain (shown in blue). As secondary antibodies ab150081 Goat anti-Rabbit (Alexa Fluor® 488) (shown in green) and ab150120 Goat anti-Mouse (Alexa Fluor® 594) (shown in magenta) were used, incubated overnight at room temperature. All permeabilization, blocking and antibody incubation steps were performed using a rotary shaker.

Image was acquired with a high-content analyser (Operetta CLS, Perkin Elmer) and a maximum intensity projection of confocal sections is shown.

The antibody ab52894 also worked using 100% methanol (5 min).

Indirect ELISA - Anti-EGFR antibody [EP38Y] - Low endotoxin, Azide free (AB174481)
  • I-ELISA

Unknown

Indirect ELISA - Anti-EGFR antibody [EP38Y] - Low endotoxin, Azide free (AB174481)

ELISA analysis of Human EGFR recombinant protein at 1000 ng/ml with ab52894. An Alkaline Phosphatase-conjugated AffiniPure Goat Anti-Rabbit IgG (H+L) at 1/2500 dilution was used as the secondary antibody.

Immunoprecipitation - Anti-EGFR antibody [EP38Y] - Low endotoxin, Azide free (AB174481)
  • IP

Unknown

Immunoprecipitation - Anti-EGFR antibody [EP38Y] - Low endotoxin, Azide free (AB174481)

ab52894 (purified) at 1 : 20 dilution (0.5ug) immunoprecipitating EGFR in HeLa (Human cervix adenocarcinoma epithelial cell) whole cell lysate.

Lane 1 (input) : HeLa (Human cervix adenocarcinoma epithelial cell) whole cell lysate 10ug

Lane 2 (+) : ab52894 & HeLa (Human cervix adenocarcinoma epithelial cell) whole cell lysate

Lane 3 (-) : Rabbit monoclonal IgG (ab172730) instead of ab52894 in HeLa (Human cervix adenocarcinoma epithelial cell) whole cell lysate

For western blotting, VeriBlot for IP Detection Reagent (HRP) (ab131366) was used for detection at 1 : 1000 dilution.

Blocking and diluting buffer : 5% NFDM/TBST.

This data was developed using the same antibody clone in a different buffer formulation containing PBS, BSA, glycerol, and sodium azide (ab52894).

All lanes:

Immunoprecipitation - Anti-EGFR antibody [EP38Y] (<a href='/en-us/products/primary-antibodies/egfr-antibody-ep38y-ab52894'>ab52894</a>)

Predicted band size: 134 kDa

Observed band size: 175 kDa

false

Western blot - Anti-EGFR antibody [EP38Y] - Low endotoxin, Azide free (AB174481)
  • WB

Supplier Data

Western blot - Anti-EGFR antibody [EP38Y] - Low endotoxin, Azide free (AB174481)

This data was developed using the same antibody clone in a different buffer formulation containing PBS, BSA, glycerol, and sodium azide (ab52894).

Blocking and diluting buffer and concentration : 5% NFDM/TBST.

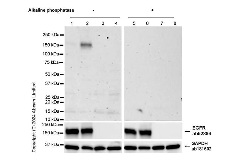
In Western blot, ab319113 was shown to bind specifically to EGFR. Target of interest was observed at 175kDa, in wild-type HeLa cell lysates (lane 1/2/5/6) with no signal observed at this size in EGFR knockout cell line (lane 3/4/7/8) (knockout cell line ab255385 / knockout cell lysate ab263845).

In Western blot, Anti-GAPDH antibody [EPR16891] - Loading Control (ab181602) staining at 1/200000 dilution.

In Western blot, Anti-EGFR antibody [EP38Y] (ab52894) staining at 1/1000 dilution.

All lanes:

Western blot - Anti-EGFR (phospho Y845 + Y1068 + Y1086) antibody [RM1132] (<a href='/en-us/products/primary-antibodies/egfr-phospho-y845-y1068-y1086-antibody-rm1132-ab319113'>ab319113</a>) at 1/1000 dilution

Lane 1:

Untreated wild-type HeLa (human cervical adenocarcinoma epithelial cell) whole cell lysate (untreated membrane) at 20 µg

Lane 2:

Wild-type HeLa treated with 100ng/ml EGF for 30 minutes whole cell lysate (untreated membrane) at 20 µg

Lane 3:

Untreated EGFR knockout HeLa whole cell lysate (untreated membrane) at 20 µg

Lane 4:

EGFR knockout HeLa treated with 100ng/ml EGF for 30 minutes whole cell lysate (untreated membrane) at 20 µg

Lane 5:

Untreated wild-type HeLa (human cervical adenocarcinoma epithelial cell) whole cell lysate (alkaline phosphatase treated membrane) at 20 µg

Lane 6:

Wild-type HeLa treated with 100ng/ml EGF for 30 minutes whole cell lysate (alkaline phosphatase treated membrane) at 20 µg

Lane 7:

Untreated EGFR knockout HeLa whole cell lysate (alkaline phosphatase treated membrane) at 20 µg

Lane 8:

EGFR knockout HeLa treated with 100ng/ml EGF for 30 minutes whole cell lysate (alkaline phosphatase treated membrane) at 20 µg

Secondary

All lanes:

Western blot - Goat Anti-Rabbit IgG H&L (HRP) (<a href='/en-us/products/secondary-antibodies/goat-rabbit-igg-h-l-hrp-ab97051'>ab97051</a>) at 1/100000 dilution

Observed band size: 175 kDa,36 kDa

false

Exposure time: 180s

Western blot - Anti-EGFR antibody [EP38Y] - Low endotoxin, Azide free (AB174481)
  • WB

Lab

Western blot - Anti-EGFR antibody [EP38Y] - Low endotoxin, Azide free (AB174481)

This data was developed using the same antibody clone in a different buffer formulation containing PBS, BSA, glycerol, and sodium azide (ab52894).

False colour image of Western blot : Anti-EGFR antibody [EP38Y] staining at 1/1000 dilution, shown in green; Mouse anti-Alpha Tubulin [DM1A] (ab7291) loading control staining at 1/20000 dilution, shown in red. In Western blot, ab52894 was shown to bind specifically to EGFR. A band was observed at 160 kDa in wild-type HCT 116 cell lysates with no signal observed at this size in Egfr CRISPR-Cas9 edited cell line ab281597 (CRISPR-Cas9 edited cell lysate ab282949). The band observed in the CRISPR-Cas9 edited lysate lane below 160 kDa is likely to represent a truncated form of EGFR. This has not been investigated further and the functional properties of the gene product have not been determined. To generate this image, wild-type and Egfr CRISPR-Cas9 edited HCT 116 cell lysates were analysed. First, samples were run on an SDS-PAGE gel then transferred onto a nitrocellulose membrane. Membranes were blocked in 3 % milk in TBS-0.1 % Tween® 20 (TBS-T) before incubation with primary antibodies overnight at 4°C. Blots were washed four times in TBS-T, incubated with secondary antibodies for 1 h at room temperature, washed again four times then imaged. Secondary antibodies used were Goat anti-Rabbit IgG H&L (IRDye® 800CW) preabsorbed (ab216773) and Goat anti-Mouse IgG H&L (IRDye® 680RD) preabsorbed (ab216776) at 1/20000 dilution.

All lanes:

Western blot - Anti-EGFR antibody [EP38Y] (<a href='/en-us/products/primary-antibodies/egfr-antibody-ep38y-ab52894'>ab52894</a>) at 1/1000 dilution

Lane 1:

Wild-type HCT 116 cell lysate at 20 µg

Lane 2:

EGFR CRISPR-Cas9 edited HCT 116 cell lysate at 20 µg

Lane 3:

Caco-2 cell lysate at 20 µg

Predicted band size: 134 kDa

Observed band size: 160 kDa

false

Western blot - Anti-EGFR antibody [EP38Y] - Low endotoxin, Azide free (AB174481)
  • WB

Lab

Western blot - Anti-EGFR antibody [EP38Y] - Low endotoxin, Azide free (AB174481)

This data was developed using ab52894, the same antibody clone in a different buffer formulation. Different batches of ab52894 were tested on HeLa (Human cervix adenocarcinoma epithelial cell) lysate at 1.0 µg/ml. 15 µg of lysate was loaded in each lane. Bands observed at 175 kDa.

All lanes:

Western blot - Anti-EGFR antibody [EP38Y] (<a href='/en-us/products/primary-antibodies/egfr-antibody-ep38y-ab52894'>ab52894</a>)

Predicted band size: 134 kDa

false

Western blot - Anti-EGFR antibody [EP38Y] - Low endotoxin, Azide free (AB174481)
  • WB

Lab

Western blot - Anti-EGFR antibody [EP38Y] - Low endotoxin, Azide free (AB174481)

This data was developed using the same antibody clone in a different buffer formulation containing PBS, BSA, glycerol, and sodium azide (ab52894).

Blocking and diluting buffer : 5% NFDM/TBST

All lanes:

Western blot - Anti-EGFR antibody [EP38Y] (<a href='/en-us/products/primary-antibodies/egfr-antibody-ep38y-ab52894'>ab52894</a>) at 1/2000 dilution

All lanes:

HeLa (Human cervix adenocarcinoma epithelial cell) whole cell lysates at 20 µg

Secondary

All lanes:

Western blot - Goat Anti-Rabbit IgG H&L (HRP) (<a href='/en-us/products/secondary-antibodies/goat-rabbit-igg-h-l-hrp-ab97051'>ab97051</a>) at 1/20000 dilution

Predicted band size: 134 kDa

Observed band size: 175 kDa

false

Western blot - Anti-EGFR antibody [EP38Y] - Low endotoxin, Azide free (AB174481)
  • WB

Lab

Western blot - Anti-EGFR antibody [EP38Y] - Low endotoxin, Azide free (AB174481)

This data was developed using the same antibody clone in a different buffer formulation containing PBS, BSA, glycerol, and sodium azide (ab52894).

This blot was produced using a 4-12% Bis-tris gel under the MOPS buffer system. The gel was run at 200V for 50 mins before being transferred onto a Nitrocellulose membrane at 30V for 70 mins. The membrane was then blocked for an hour before being incubated with unpurified ab52894 overnight at 4°C in the presence of loading control ab18058 (Mouse monoclonal [SPM227] to Vinculin diluted 1 : 10000). Antibody binding was detected using IR-labeled goat anti-Rabbit Ab at a 1 : 10,000 dilution for one hour at room temperature before imaging.

This product yielded a strong signal in western blot using A431 (human squamous carcinoma) lysate which naturally overexpresses the EGFR protein. Western blot conditions may need to be optimised for cell lines and tissues that express lower levels of endogenous EGFR.

All lanes:

Western blot - Anti-EGFR antibody [EP38Y] (<a href='/en-us/products/primary-antibodies/egfr-antibody-ep38y-ab52894'>ab52894</a>) at 1/1000 dilution

Lane 1:

Caco-2 (Human colorectal adenocarcinoma cell line) cell lysate at 20 µg

Lane 2:

A431 (Human epidermoid carcinoma cell line) cell lysate at 20 µg

Lane 3:

Mouse skin cell lysate at 20 µg

Lane 4:

Rat skin cell lysate at 20 µg

Predicted band size: 134 kDa

false

Western blot - Anti-EGFR antibody [EP38Y] - Low endotoxin, Azide free (AB174481)
  • WB

Lab

Western blot - Anti-EGFR antibody [EP38Y] - Low endotoxin, Azide free (AB174481)

This data was developed using the same antibody clone in a different buffer formulation containing PBS, BSA, glycerol, and sodium azide (ab52894).

Western blot : Anti-EGFR antibody [EP38Y] (ab52894) staining at 1/1000 dilution, shown in green; Mouse anti-Alpha Tubulin [DM1A] (ab7291) loading control staining at 1/20000 dilution, shown in magenta. In Western blot, ab52894 was shown to bind specifically to EGFR. A band was observed at 175 kDa in wild-type A549 cell lysates with no signal observed at this size in EGFR knockout cell line. To generate this image, wild-type and EGFR knockout A549 cell lysates were analysed. First, samples were run on an SDS-PAGE gel then transferred onto a nitrocellulose membrane. Membranes were blocked in 5% milk in TBS-0.1% Tween® 20 (TBS-T) before incubation with primary antibodies overnight at 4°C. Blots were washed four times in TBS-T, incubated with secondary antibodies for 1 h at room temperature, washed again four times then imaged. Secondary antibodies used were Goat anti-Rabbit IgG H&L 800CW and Goat anti-Mouse IgG H&L 680RD at 1/20000 dilution.

All lanes:

Western blot - Anti-EGFR antibody [EP38Y] - BSA and Azide free (<a href='/en-us/products/primary-antibodies/egfr-antibody-ep38y-bsa-and-azide-free-ab272293'>ab272293</a>)

Lane 1:

Wild-type A549 cell lysate at 20 µg

Lane 2:

EGFR knockout A549 cell lysate at 20 µg

Lane 3:

Wild-type HeLa cell lysate at 20 µg

Lane 4:

EGFR knockout HeLa cell lysate at 20 µg

Observed band size: 175 kDa

true

Western blot - Anti-EGFR antibody [EP38Y] - Low endotoxin, Azide free (AB174481)
  • WB

Supplier Data

Western blot - Anti-EGFR antibody [EP38Y] - Low endotoxin, Azide free (AB174481)

This data was developed using the same antibody clone in a different buffer formulation containing PBS, BSA, glycerol, and sodium azide (ab52894).

Blocking and diluting buffer and concentration : 5% NFDM/TBST.

In Western blot, Anti-Vinculin antibody [EPR8185] (ab129002) staining at 1/10000 dilution.

In Western blot, Anti-EGFR antibody [EP38Y] (ab52894) staining at 1/1000 dilution.

All lanes:

Western blot - Anti-EGFR (phospho Y845 + Y1068 + Y1086) antibody [RM1132] (<a href='/en-us/products/primary-antibodies/egfr-phospho-y845-y1068-y1086-antibody-rm1132-ab319113'>ab319113</a>) at 1/5000 dilution

Lane 1:

Untreated A431 (human epidermoid carcinoma epithelial cell) whole cell lysate (untreated membrane) at 10 µg

Lane 2:

A431 treated with 100ng/ml EGF for 30 minutes whole cell lysate (untreated membrane) at 10 µg

Lane 3:

Untreated A431 whole cell lysate (alkaline phosphatase treated membrane) at 10 µg

Lane 4:

A431 treated with 100ng/ml EGF for 30 minutes whole cell lysate (alkaline phosphatase treated membrane) at 10 µg

Secondary

All lanes:

Western blot - Goat Anti-Rabbit IgG H&L (HRP) (<a href='/en-us/products/secondary-antibodies/goat-rabbit-igg-h-l-hrp-ab97051'>ab97051</a>) at 1/100000 dilution

Observed band size: 175 kDa,124 kDa

false

Exposure time: 169s

Western blot - Anti-EGFR antibody [EP38Y] - Low endotoxin, Azide free (AB174481)
  • WB

Lab

Western blot - Anti-EGFR antibody [EP38Y] - Low endotoxin, Azide free (AB174481)

This data was developed using the same antibody clone in a different buffer formulation (ab52894).

Lanes 1 - 4 : Merged signal (red and green). Green - ab52894 observed at 175 kDa. Red - loading control, ab130007 observed at 125 kDa.

ab52894 was shown to react with EGFR in wild-type HeLa. Loss of signal was observed when knockout cell line ab255385 (knockout cell lysate ab263845) was used. Wild-type and EGFR knockout samples were subjected to SDS-PAGE. ab52894 and Anti-Vinculin antibody [VIN-54] (ab130007) were incubated overnight at 4°C at 1 in 1000 dilution and 1 in 20000 dilution respectively. Blots were developed with Goat anti-Rabbit IgG H&L (IRDye® 800CW) preadsorbed (ab216773) and Goat anti-Mouse IgG H&L (IRDye® 680RD) preadsorbed (ab216776) secondary antibodies at 1 in 20000 dilution for 1 hour at room temperature before imaging.

All lanes:

Western blot - Anti-EGFR antibody [EP38Y] (<a href='/en-us/products/primary-antibodies/egfr-antibody-ep38y-ab52894'>ab52894</a>) at 1/1000 dilution

Lane 1:

A431 cell lysate at 20 µg

Lane 2:

MDA-MB-468 cell lysate at 20 µg

Lane 3:

Wild-type HeLa cell lysate at 20 µg

Lane 4:

EGFR knockout HeLa cell lysate at 20 µg

Secondary

All lanes:

Western blot - Goat anti-Rabbit IgG H&L (IRDye® 800CW) preadsorbed (<a href='/en-us/products/secondary-antibodies/goat-rabbit-igg-h-l-irdye-800cw-preadsorbed-ab216773'>ab216773</a>) at 1/20000 dilution

Predicted band size: 134 kDa

Observed band size: 124 kDa,134 kDa

false

Western blot - Anti-EGFR antibody [EP38Y] - Low endotoxin, Azide free (AB174481)
  • WB

Lab

Western blot - Anti-EGFR antibody [EP38Y] - Low endotoxin, Azide free (AB174481)

This data was developed using the same antibody clone in a different buffer formulation containing PBS, BSA, glycerol, and sodium azide (ab52894).

Blocking and diluting buffer : 5% NFDM/TBST

All lanes:

Western blot - Anti-EGFR antibody [EP38Y] (<a href='/en-us/products/primary-antibodies/egfr-antibody-ep38y-ab52894'>ab52894</a>) at 1/10000 dilution

Lane 1:

Rat liver lysates at 15 µg

Lane 2:

Mouse lung lysates at 15 µg

Secondary

All lanes:

Western blot - Goat Anti-Rabbit IgG H&L (HRP) (<a href='/en-us/products/secondary-antibodies/goat-rabbit-igg-h-l-hrp-ab97051'>ab97051</a>) at 1/20000 dilution

Predicted band size: 134 kDa

Observed band size: 175 kDa

false

OI-RD Scanning - Anti-EGFR antibody [EP38Y] - Low endotoxin, Azide free (AB174481)
  • OI-RD Scanning

Unknown

OI-RD Scanning - Anti-EGFR antibody [EP38Y] - Low endotoxin, Azide free (AB174481)

We have systematically measured KD (the equilibrium dissociation constant between the antibody and its antigen), of more than 840 recombinant antibodies to assess not only their individual KD values but also to see the average affinity of antibody. Based on the comparison with published literature values for mouse monoclonal antibodies, Recombinant antibodies appear to be on average 1-2 order of magnitude higher affinity.

Key facts

Host species

Rabbit

Clonality

Monoclonal

Clone number

EP38Y

Isotype

IgG

Carrier free

Yes

Reacts with

Mouse, Rat, Human

Applications

IHC-P, ICC/IF, IP, I-ELISA, Flow Cyt (Intra), WB

applications

Immunogen

The exact immunogen used to generate this antibody is proprietary information.

Specificity

The immunogen for this product is a synthetic phospho-peptide corresponding to residues surrounding Tyr1068 of human EGFR. After screening, clone EP38Y was found to recognize total EGFR and is not specific to phosphorylated-Tyr1068 EGFR. This product yielded a strong signal in western blot using A431 (human squamous carcinoma) lysate which naturally overexpresses the EGFR protein. Western blot conditions may need to be optimised for cell lines and tissues that express lower levels of endogenous EGFR.
The mouse and rat recommendation is based on the WB results. This antibody may not be suitable for IHC with mouse or rat samples.

Reactivity data

{ "title": "Reactivity Data", "filters": { "stats": ["", "Species", "Dilution Info", "Notes"], "tabs": { "all-applications": {"fullname" : "All Applications", "shortname": "All Applications"}, "IP" : {"fullname" : "Immunoprecipitation", "shortname":"IP"}, "IELISA" : {"fullname" : "Indirect ELISA", "shortname":"I-ELISA"}, "WB" : {"fullname" : "Western blot", "shortname":"WB"}, "ICCIF" : {"fullname" : "Immunocytochemistry/ Immunofluorescence", "shortname":"ICC/IF"}, "FlowCytIntra" : {"fullname" : "Flow Cytometry (Intracellular)", "shortname":"Flow Cyt (Intra)"}, "IHCP" : {"fullname" : "Immunohistochemistry (Formalin/PFA-fixed paraffin-embedded sections)", "shortname":"IHC-P"} }, "product-promise": { "all": "all", "testedAndGuaranteed": "tested", "guaranteed": "expected", "predicted": "predicted", "notRecommended": "not-recommended" } }, "values": { "Human": { "IP-species-checked": "testedAndGuaranteed", "IP-species-dilution-info": "", "IP-species-notes": "<p></p>", "IELISA-species-checked": "guaranteed", "IELISA-species-dilution-info": "", "IELISA-species-notes": "", "WB-species-checked": "testedAndGuaranteed", "WB-species-dilution-info": "", "WB-species-notes": "<p>Can be blocked with EGFR peptide (<a href='/en-us/products/proteins-peptides/egfr-peptide-ab204282'>ab204282</a>). This product yielded a strong signal in western blot using A431 (human squamous carcinoma) lysate which naturally overexpresses the EGFR protein. Western blot conditions may need to be optimised for cell lines and tissues that express lower levels of endogenous EGFR.</p>", "ICCIF-species-checked": "testedAndGuaranteed", "ICCIF-species-dilution-info": "", "ICCIF-species-notes": "<p></p>", "FlowCytIntra-species-checked": "testedAndGuaranteed", "FlowCytIntra-species-dilution-info": "", "FlowCytIntra-species-notes": "<p><a href='/en-us/products/primary-antibodies/rabbit-igg-monoclonal-epr25a-isotype-control-low-endotoxin-azide-free-ab199376'>ab199376</a> - Rabbit monoclonal IgG, is suitable for use as an isotype control with this antibody.</p>", "IHCP-species-checked": "testedAndGuaranteed", "IHCP-species-dilution-info": "", "IHCP-species-notes": "<p></p>" }, "Mouse": { "IP-species-checked": "guaranteed", "IP-species-dilution-info": "", "IP-species-notes": "", "IELISA-species-checked": "guaranteed", "IELISA-species-dilution-info": "", "IELISA-species-notes": "", "WB-species-checked": "testedAndGuaranteed", "WB-species-dilution-info": "", "WB-species-notes": "<p>Can be blocked with EGFR peptide (<a href='/en-us/products/proteins-peptides/egfr-peptide-ab204282'>ab204282</a>). This product yielded a strong signal in western blot using A431 (human squamous carcinoma) lysate which naturally overexpresses the EGFR protein. Western blot conditions may need to be optimised for cell lines and tissues that express lower levels of endogenous EGFR.</p>", "ICCIF-species-checked": "guaranteed", "ICCIF-species-dilution-info": "", "ICCIF-species-notes": "", "FlowCytIntra-species-checked": "guaranteed", "FlowCytIntra-species-dilution-info": "", "FlowCytIntra-species-notes": "", "IHCP-species-checked": "guaranteed", "IHCP-species-dilution-info": "", "IHCP-species-notes": "" }, "Rat": { "IP-species-checked": "guaranteed", "IP-species-dilution-info": "", "IP-species-notes": "", "IELISA-species-checked": "guaranteed", "IELISA-species-dilution-info": "", "IELISA-species-notes": "", "WB-species-checked": "testedAndGuaranteed", "WB-species-dilution-info": "", "WB-species-notes": "<p>Can be blocked with EGFR peptide (<a href='/en-us/products/proteins-peptides/egfr-peptide-ab204282'>ab204282</a>). This product yielded a strong signal in western blot using A431 (human squamous carcinoma) lysate which naturally overexpresses the EGFR protein. Western blot conditions may need to be optimised for cell lines and tissues that express lower levels of endogenous EGFR.</p>", "ICCIF-species-checked": "guaranteed", "ICCIF-species-dilution-info": "", "ICCIF-species-notes": "", "FlowCytIntra-species-checked": "guaranteed", "FlowCytIntra-species-dilution-info": "", "FlowCytIntra-species-notes": "", "IHCP-species-checked": "guaranteed", "IHCP-species-dilution-info": "", "IHCP-species-notes": "" }, "Recombinant full length protein - Human": { "IP-species-checked": "notRecommended", "IP-species-dilution-info": "", "IP-species-notes": "", "IELISA-species-checked": "testedAndGuaranteed", "IELISA-species-dilution-info": "1/2500", "IELISA-species-notes": "<p></p>", "WB-species-checked": "notRecommended", "WB-species-dilution-info": "", "WB-species-notes": "", "ICCIF-species-checked": "notRecommended", "ICCIF-species-dilution-info": "", "ICCIF-species-notes": "", "FlowCytIntra-species-checked": "notRecommended", "FlowCytIntra-species-dilution-info": "", "FlowCytIntra-species-notes": "", "IHCP-species-checked": "notRecommended", "IHCP-species-dilution-info": "", "IHCP-species-notes": "" } } }

Product details

ab174481 is the carrier-free version of ab52894.

Patented technology
Our RabMAb® technology is a patented hybridoma-based technology for making rabbit monoclonal antibodies. For details on our patents, please refer to RabMAb® patents.

Conjugation ready
Our carrier-free antibodies are typically supplied in a PBS-only formulation, purified and free of BSA, sodium azide and glycerol. This conjugation-ready format is designed for use with fluorochromes, metal isotopes, oligonucleotides, and enzymes, which makes them ideal for antibody labelling, functional and cell-based assays, flow-based assays (e.g. mass cytometry) and Multiplex Imaging applications.

Use our conjugation kits for antibody conjugates that are ready-to-use in as little as 20 minutes with 1 minute hands-on-time and 100% antibody recovery: available for fluorescent dyes, HRP, biotin and gold.

What does low endotoxin mean?
Our low endotoxin, azide-free formats have low endotoxin level (1 EU/mg, determined by the TAL assay) and are free from azide, to achieve consistent experimental results in functional assays.

Properties and storage information

Form
Liquid
Purification technique
Affinity purification Protein A
Storage buffer
Constituents: PBS
Shipped at conditions
Blue Ice
Appropriate short-term storage conditions
+4°C
Appropriate long-term storage conditions
+4°C
Storage information
Do Not Freeze

Supplementary information

This supplementary information is collated from multiple sources and compiled automatically.

EGFR or Epidermal Growth Factor Receptor is a transmembrane glycoprotein that acts as a receptor for members of the epidermal growth factor family. Known alternatively as ErbB1 or HER1 this receptor has an approximate molecular weight of 170 kDa. EGFR is expressed in various cell types notably on epithelial cells and can influence multiple cellular processes through its kinase activity. It participates in the regulation of cell growth multiplication and survival by activating its kinase domain upon ligand binding.
Biological function summary

The EGFR protein plays an important role in cellular communication and signaling processes. EGFR pairs with other receptor family members to form active dimers or even higher-order complexes which in turn initiate intracellular signaling cascades. Through these complexes EGFR influences many processes including cell differentiation and repair. This function of EGFR makes it an integral part of mammalian biology affecting how cells respond to their environment by mediating changes in gene expression.

Pathways

EGFR is a central player in the MAPK and PI3K/Akt signaling pathways. Alongside other protein partners like KRAS and PI3 kinase it contributes to transmitting signals from the cell surface to the nucleus affecting gene transcription and cell behavior. These pathways are important for normal cell growth and division and aberrations in these pathways can lead to excessive or insufficient cell proliferation.

EGFR is pertinent to cancer biology including non-small cell lung cancer and glioblastoma where mutations or overexpression of the receptor frequently occur. It connects to proteins such as PTEN and BRAF which influence tumor progression and response to targeted therapies. EGFR's involvement in these disorders highlights its significance as a therapeutic target since it can be manipulated to alter disease progression.

Product protocols

For this product, it's our understanding that no specific protocols are required. You can visit:

Target data

The protein expressed by the EGFR gene functions as a receptor tyrosine kinase, binding with ligands from the EGF family to activate several signaling cascades that translate extracellular signals into cellular responses. Known ligands include EGF, TGFA/TGF-alpha, AREG, epigen, BTC/betacellulin, epiregulin, and HBEGF. Ligand binding triggers receptor dimerization and autophosphorylation, recruiting adapter proteins like GRB2 and activating complex downstream signaling pathways such as RAS-RAF-MEK-ERK, PI3 kinase-AKT, PLCgamma-PKC, and STATs, and possibly the NF-kappa-B cascade. EGFR also directly phosphorylates proteins like RGS16 and MUC1, influencing various cellular processes including its coupling with G protein-coupled receptor signaling and cell migration through interaction with CCDC88A/GIV. Isoform 2 of EGFR may act as an antagonist to EGF actions. In microbial infection, EGFR also serves as a receptor facilitating hepatitis C virus (HCV) entry into hepatocytes by promoting CD81-CLDN1 receptor complexes and enhancing membrane fusion with HCV envelope glycoproteins. This supplementary information is collated from multiple sources and compiled automatically.
See full target information EGFR

Publications (2)

Recent publications for all applications. Explore the full list and refine your search

Cancers 15: PubMed36765785

2023

Flexible Cyclic Immunofluorescence (cyCIF) Using Oligonucleotide Barcoded Antibodies.

Applications

Unspecified application

Species

Unspecified reactive species

Nathan P McMahon,Jocelyn A Jones,Ashley N Anderson,Matthew S Dietz,Melissa H Wong,Summer L Gibbs

JIMD reports 32:117-124 PubMed27344648

2016

Whole Exome Sequencing Identifies the Genetic Basis of Late-Onset Leigh Syndrome in a Patient with MRI but Little Biochemical Evidence of a Mitochondrial Disorder.

Applications

Unspecified application

Species

Unspecified reactive species

Michael Nafisinia,Yiran Guo,Xiao Dang,Jiankang Li,Yulan Chen,Jianguo Zhang,Nicole J Lake,Wendy A Gold,Lisa G Riley,David R Thorburn,Brendan Keating,Xun Xu,Hakon Hakonarson,John Christodoulou
View all publications

Product promise

We are committed to supporting your work with high-quality reagents, and we're here for you every step of the way. In the unlikely event that one of our products does not perform as expected, you're protected by our Product Promise.
For full details, please see our Terms & Conditions

Please note: All products are 'FOR RESEARCH USE ONLY. NOT FOR USE IN DIAGNOSTIC OR THERAPEUTIC PROCEDURES'.

For licensing inquiries, please contact partnerships@abcam.com