JavaScript is disabled in your browser. Please enable JavaScript to view this website.
AB242417

Anti-EGFR (phospho Y1068) antibody [SP353] - BSA and Azide free

Be the first to review this product! Submit a review

|

(1 Publication)

Rabbit Recombinant Monoclonal EGFR phospho Y1068 antibody. Carrier free. Suitable for IHC-P, Flow Cyt, WB, ICC/IF and reacts with Human samples. Cited in 1 publication.

View Alternative Names

ERBB, ERBB1, HER1, EGFR, Epidermal growth factor receptor, Proto-oncogene c-ErbB-1, Receptor tyrosine-protein kinase erbB-1

5 Images
Immunohistochemistry (Formalin/PFA-fixed paraffin-embedded sections) - Anti-EGFR (phospho Y1068) antibody [SP353] - BSA and Azide free (AB242417)
  • IHC-P

Supplier Data

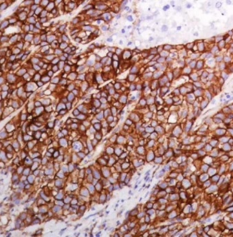
Immunohistochemistry (Formalin/PFA-fixed paraffin-embedded sections) - Anti-EGFR (phospho Y1068) antibody [SP353] - BSA and Azide free (AB242417)

PFA-fixed, paraffin-embedded human lung cancer tissue stained for EGFR using ab223499 at 1/100 dilution in immunohistochemical analysis.

This data was developed using the same antibody clone in a different buffer formulation containing PBS, BSA, glycerol, and sodium azide (ab223499)

Immunocytochemistry/ Immunofluorescence - Anti-EGFR (phospho Y1068) antibody [SP353] - BSA and Azide free (AB242417)
  • ICC/IF

Unknown

Immunocytochemistry/ Immunofluorescence - Anti-EGFR (phospho Y1068) antibody [SP353] - BSA and Azide free (AB242417)

Immunocytochemistry/ Immunofluorescence analysis of A431 (human epidermoid carcinoma epithelial cell) cells labeling EGFR with purified ab223499 at 1 : 100 (4.3 µg/ml). Cells were fixed in 4% paraformaldehyde and permeabilized with 0.1% Triton X-100. Cells were counterstained with ab195889 Anti-alpha Tubulin antibody [DM1A] - Microtubule Marker (Alexa Fluor® 594) 1 : 200 (2.5 µg/ml). Goat anti rabbit IgG (Alexa Fluor® 488, ab150077) was used as the secondary antibody at 1 : 1000 (2 µg/ml) dilution. DAPI nuclear counterstain. PBS instead of the primary antibody was used as the secondary antibody only control.This data was developed using the same antibody clone in a different buffer formulation containing PBS, BSA, glycerol, and sodium azide (ab242417)

Immunohistochemistry (Formalin/PFA-fixed paraffin-embedded sections) - Anti-EGFR (phospho Y1068) antibody [SP353] - BSA and Azide free (AB242417)
  • IHC-P

Supplier Data

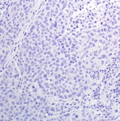
Immunohistochemistry (Formalin/PFA-fixed paraffin-embedded sections) - Anti-EGFR (phospho Y1068) antibody [SP353] - BSA and Azide free (AB242417)

PFA-fixed, paraffin-embedded human lung squamous cell carcinoma tissue stained for EGFR using ab223499 at 1/100 dilution in immunohistochemical analysis.

This data was developed using the same antibody clone in a different buffer formulation containing PBS, BSA, glycerol, and sodium azide (ab223499)

Flow Cytometry - Anti-EGFR (phospho Y1068) antibody [SP353] - BSA and Azide free (AB242417)
  • Flow Cyt

Supplier Data

Flow Cytometry - Anti-EGFR (phospho Y1068) antibody [SP353] - BSA and Azide free (AB242417)

Flow cytometric analysis of ab223499 in A431 (human epidermoid carcinoma cell line) + EGF cells (green) at 1/400 dilution compared to negative control of rabbit IgG (blue).

This data was developed using the same antibody clone in a different buffer formulation containing PBS, BSA, glycerol, and sodium azide (ab223499)

Flow Cytometry - Anti-EGFR (phospho Y1068) antibody [SP353] - BSA and Azide free (AB242417)
  • Flow Cyt

Unknown

Flow Cytometry - Anti-EGFR (phospho Y1068) antibody [SP353] - BSA and Azide free (AB242417)

Flow Cytometry analysis of A431 cells treated with 100ng/ml EGF for 10mins cells labeling EGFR with purified ab223499 at 1 : 4200 dilution (0.10 µg/ml) - Red. Cells were fixed with 4% paraformaldehyde . A Goat anti rabbit IgG (Alexa Fluor® 488, ab150081) secondary antibody was used at 1 : 2000 dilution. Isotype control - Rabbit monoclonal IgG (ab172730) - Black. Unlabeled control - Blue. Untreated cells - GreenThis data was developed using the same antibody clone in a different buffer formulation containing PBS, BSA, glycerol, and sodium azide (ab242417)

Key facts

Host species

Rabbit

Clonality

Monoclonal

Clone number

SP353

Isotype

IgG

Carrier free

Yes

Reacts with

Human

Applications

IHC-P, ICC/IF, Flow Cyt, WB

applications

Immunogen

The exact immunogen used to generate this antibody is proprietary information.

Reactivity data

{ "title": "Reactivity Data", "filters": { "stats": ["", "Species", "Dilution Info", "Notes"], "tabs": { "all-applications": {"fullname" : "All Applications", "shortname": "All Applications"}, "IHCP" : {"fullname" : "Immunohistochemistry (Formalin/PFA-fixed paraffin-embedded sections)", "shortname":"IHC-P"}, "FlowCyt" : {"fullname" : "Flow Cytometry", "shortname":"Flow Cyt"}, "WB" : {"fullname" : "Western blot", "shortname":"WB"}, "ICCIF" : {"fullname" : "Immunocytochemistry/ Immunofluorescence", "shortname":"ICC/IF"} }, "product-promise": { "all": "all", "testedAndGuaranteed": "tested", "guaranteed": "expected", "predicted": "predicted", "notRecommended": "not-recommended" } }, "values": { "Human": { "IHCP-species-checked": "testedAndGuaranteed", "IHCP-species-dilution-info": "", "IHCP-species-notes": "<p></p>", "FlowCyt-species-checked": "testedAndGuaranteed", "FlowCyt-species-dilution-info": "", "FlowCyt-species-notes": "<p></p>", "WB-species-checked": "guaranteed", "WB-species-dilution-info": "", "WB-species-notes": "<p></p>", "ICCIF-species-checked": "testedAndGuaranteed", "ICCIF-species-dilution-info": "", "ICCIF-species-notes": "<p></p>" } } }

Product details

ab242417 is the carrier-free version of ab223499.

What are the advantages of a recombinant monoclonal antibody?
This product is a recombinant monoclonal antibody, which offers several advantages including:

  • - High batch-to-batch consistency and reproducibility
  • - Improved sensitivity and specificity
  • - Long-term security of supply
  • - Animal-free batch production

For more information, read more on recombinant antibodies.

Conjugation ready
Our carrier-free antibodies are typically supplied in a PBS-only formulation, purified and free of BSA, sodium azide and glycerol. This conjugation-ready format is designed for use with fluorochromes, metal isotopes, oligonucleotides, and enzymes, which makes them ideal for antibody labelling, functional and cell-based assays, flow-based assays (e.g. mass cytometry) and Multiplex Imaging applications.

Use our conjugation kits for antibody conjugates that are ready-to-use in as little as 20 minutes with 1 minute hands-on-time and 100% antibody recovery: available for fluorescent dyes, HRP, biotin and gold.

Compatibility
This product is compatible with the Maxpar® Antibody Labeling Kit from Fluidigm, without the need for antibody preparation. Maxpar® is a trademark of Fluidigm Canada Inc.

Properties and storage information

Form
Liquid
Purification technique
Affinity purification Protein A/G
Storage buffer
pH: 7.2 - 7.4 Constituents: PBS
Shipped at conditions
Blue Ice
Appropriate short-term storage conditions
+4°C
Appropriate long-term storage conditions
+4°C
Storage information
Do Not Freeze

Supplementary information

This supplementary information is collated from multiple sources and compiled automatically.

EGFR or Epidermal Growth Factor Receptor is a transmembrane glycoprotein that acts as a receptor for members of the epidermal growth factor family. Known alternatively as ErbB1 or HER1 this receptor has an approximate molecular weight of 170 kDa. EGFR is expressed in various cell types notably on epithelial cells and can influence multiple cellular processes through its kinase activity. It participates in the regulation of cell growth multiplication and survival by activating its kinase domain upon ligand binding.
Biological function summary

The EGFR protein plays an important role in cellular communication and signaling processes. EGFR pairs with other receptor family members to form active dimers or even higher-order complexes which in turn initiate intracellular signaling cascades. Through these complexes EGFR influences many processes including cell differentiation and repair. This function of EGFR makes it an integral part of mammalian biology affecting how cells respond to their environment by mediating changes in gene expression.

Pathways

EGFR is a central player in the MAPK and PI3K/Akt signaling pathways. Alongside other protein partners like KRAS and PI3 kinase it contributes to transmitting signals from the cell surface to the nucleus affecting gene transcription and cell behavior. These pathways are important for normal cell growth and division and aberrations in these pathways can lead to excessive or insufficient cell proliferation.

EGFR is pertinent to cancer biology including non-small cell lung cancer and glioblastoma where mutations or overexpression of the receptor frequently occur. It connects to proteins such as PTEN and BRAF which influence tumor progression and response to targeted therapies. EGFR's involvement in these disorders highlights its significance as a therapeutic target since it can be manipulated to alter disease progression.

Product protocols

For this product, it's our understanding that no specific protocols are required. You can visit:

Target data

The protein expressed by the EGFR gene functions as a receptor tyrosine kinase, binding with ligands from the EGF family to activate several signaling cascades that translate extracellular signals into cellular responses. Known ligands include EGF, TGFA/TGF-alpha, AREG, epigen, BTC/betacellulin, epiregulin, and HBEGF. Ligand binding triggers receptor dimerization and autophosphorylation, recruiting adapter proteins like GRB2 and activating complex downstream signaling pathways such as RAS-RAF-MEK-ERK, PI3 kinase-AKT, PLCgamma-PKC, and STATs, and possibly the NF-kappa-B cascade. EGFR also directly phosphorylates proteins like RGS16 and MUC1, influencing various cellular processes including its coupling with G protein-coupled receptor signaling and cell migration through interaction with CCDC88A/GIV. Isoform 2 of EGFR may act as an antagonist to EGF actions. In microbial infection, EGFR also serves as a receptor facilitating hepatitis C virus (HCV) entry into hepatocytes by promoting CD81-CLDN1 receptor complexes and enhancing membrane fusion with HCV envelope glycoproteins. This supplementary information is collated from multiple sources and compiled automatically.
See full target information EGFR phospho Y1068

Publications (1)

Recent publications for all applications. Explore the full list and refine your search

Cell reports. Medicine 5:101572 PubMed38754420

2024

CD37 is a safe chimeric antigen receptor target to treat acute myeloid leukemia.

Applications

Unspecified application

Species

Unspecified reactive species

Benjamin Caulier,Sandy Joaquina,Pascal Gelebart,Tara Helén Dowling,Fatemeh Kaveh,Moritz Thomas,Luka Tandaric,Patrik Wernhoff,Niveditha Umesh Katyayini,Cara Wogsland,May Eriksen Gjerstad,Yngvar Fløisand,Gunnar Kvalheim,Carsten Marr,Sebastian Kobold,Jorrit M Enserink,Bjørn Tore Gjertsen,Emmet McCormack,Else Marit Inderberg,Sébastien Wälchli
View all publications

Product promise

We are committed to supporting your work with high-quality reagents, and we're here for you every step of the way. In the unlikely event that one of our products does not perform as expected, you're protected by our Product Promise.
For full details, please see our Terms & Conditions

Please note: All products are 'FOR RESEARCH USE ONLY. NOT FOR USE IN DIAGNOSTIC OR THERAPEUTIC PROCEDURES'.

For licensing inquiries, please contact partnerships@abcam.com