JavaScript is disabled in your browser. Please enable JavaScript to view this website.
AB32430

Anti-EGFR (phospho Y1068) antibody [Y38]

  • RabMAb
  • Recombinant
  • Lab Essentials
  • 20ul selling size
  • What is this?

Be the first to review this product! Submit a review

|

(47 Publications)

Anti-EGFR (phospho Y1068) antibody [Y38] (ab32430) is a rabbit monoclonal antibody detecting EGFR in Western Blot, IP, ICC/IF. Suitable for Human.

- Biophysical QC for unrivalled batch-batch consistency
- Over 40 publications
- Trusted since 2006

View Alternative Names

ERBB, ERBB1, HER1, EGFR, Epidermal growth factor receptor, Proto-oncogene c-ErbB-1, Receptor tyrosine-protein kinase erbB-1

3 Images
Immunocytochemistry/ Immunofluorescence - Anti-EGFR (phospho Y1068) antibody [Y38] (AB32430)
  • ICC/IF

Unknown

Immunocytochemistry/ Immunofluorescence - Anti-EGFR (phospho Y1068) antibody [Y38] (AB32430)

Immunocytochemistry/Immunofluorescence analysis of untreated, EGF treated and EGF + LP treated A431 cells labelling EGFR (phospho Y1068) with purified ab32430 (left) and EGFR with ab52894 (right) both at a dilution of 1/1000.

Cells were fixed with 4% paraformaldehyde and permeabilized with 0.1% Triton X-100. ab150077, an Alexa Fluor® 488-conjugated goat anti-rabbit IgG (1/1000) was used as the secondary antibody. DAPI (blue) was used as the nuclear counterstain. ab7291, a mouse anti-tubulin (1/1000) and ab150120, an Alexa Fluor® 594-conjugated goat anti-mouse IgG (1/1000) were also used.

The image shows increased membrane staining after EGF (100ng/ml, 30min) treatment on A431 cells. The LP treatment decreased the increased membrane staining caused by EGF.

ab52894 was used as a Pan control for ab32430. The results showed membrane and cytoplasmic staining on untreated, EGF and EGF + LP treated A431 cells.

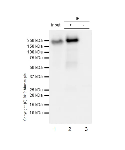
Immunoprecipitation - Anti-EGFR (phospho Y1068) antibody [Y38] (AB32430)
  • IP

Unknown

Immunoprecipitation - Anti-EGFR (phospho Y1068) antibody [Y38] (AB32430)

ab32430 (purified) at 1/30 dilution (2ug) immunoprecipitating EGFR in A431 treated with 200 ng/ml EGF for 15 minutes whole cell lysate 10ug . A431 (Human epidermoid carcinoma epithelial cell) treated with 200 ng/ml EGF for 15 minutes whole cell lysate 10ug
Lane 2 (+) : ab32430 & A431 treated with 200 ng/ml EGF for 15 minutes whole cell lysate 10ug
Lane 3 (-) : Rabbit monoclonal IgG (ab172730) instead of ab32430 in A431 treated with 200 ng/ml EGF for 15 minutes whole cell lysate 10ug
For western blotting, VeriBlot for IP secondary antibody (HRP) (ab131366) was used at 1/1000 dilution.
Blocking and diluting buffer : 5% NFDM/TBST.

All lanes:

Immunoprecipitation - Anti-EGFR (phospho Y1068) antibody [Y38] (ab32430)

Predicted band size: 134 kDa

false

Western blot - Anti-EGFR (phospho Y1068) antibody [Y38] (AB32430)
  • WB

Lab

Western blot - Anti-EGFR (phospho Y1068) antibody [Y38] (AB32430)

All lanes:

Western blot - Anti-EGFR (phospho Y1068) antibody [Y38] (ab32430) at 1/1000 dilution

Lane 1:

A431 (Human epidermoid carcinoma epithelial cell) whole cell lysates at 15 µg

Lane 2:

A431 (Human epidermoid carcinoma epithelial cell) treated with 100 ng/ml EGF for 30 minutes whole cell lysates at 15 µg

Lane 3:

A431 (Human epidermoid carcinoma epithelial cell) treated with 100 ng/ml EGF for 30 minutes. Then the membrane was incubated with phosphatase at 15 µg

Secondary

All lanes:

Western blot - Goat Anti-Rabbit IgG H&L (HRP) (<a href='/en-us/products/secondary-antibodies/goat-rabbit-igg-h-l-hrp-ab97051'>ab97051</a>) at 1/20000 dilution

Predicted band size: 134 kDa

Observed band size: 175 kDa

false

  • Carrier free

    Anti-EGFR (phospho Y1068) antibody [Y38] - BSA and Azide free

  • 519 Alexa Fluor® 488

    Alexa Fluor® 488 Anti-EGFR (phospho Y1068) antibody [Y38]

  • 665 Alexa Fluor® 647

    Alexa Fluor® 647 Anti-EGFR (phospho Y1068) antibody [Y38]

Key facts

Host species

Rabbit

Clonality

Monoclonal

Clone number

Y38

Isotype

IgG

Carrier free

No

Reacts with

Human

Applications

WB, ICC/IF, IP

applications

Immunogen

The exact immunogen used to generate this antibody is proprietary information.

Specificity

This antibody recognises only EGFR phosphorylated on Tyrosine 1068 of the mature human isoform 1 (corresponding to Y1092 from the precursor form P00533-1/p170).

Reactivity data

{ "title": "Reactivity Data", "filters": { "stats": ["", "Species", "Dilution Info", "Notes"], "tabs": { "all-applications": {"fullname" : "All Applications", "shortname": "All Applications"}, "IP" : {"fullname" : "Immunoprecipitation", "shortname":"IP"}, "FlowCyt" : {"fullname" : "Flow Cytometry", "shortname":"Flow Cyt"}, "WB" : {"fullname" : "Western blot", "shortname":"WB"}, "ICCIF" : {"fullname" : "Immunocytochemistry/ Immunofluorescence", "shortname":"ICC/IF"} }, "product-promise": { "all": "all", "testedAndGuaranteed": "tested", "guaranteed": "expected", "predicted": "predicted", "notRecommended": "not-recommended" } }, "values": { "Human": { "IP-species-checked": "testedAndGuaranteed", "IP-species-dilution-info": "1/30", "IP-species-notes": "<p><strong>For unpurified format use at 1/150 dilution.</strong></p>", "FlowCyt-species-checked": "notRecommended", "FlowCyt-species-dilution-info": "", "FlowCyt-species-notes": "<p><a href='/en-us/products/primary-antibodies/rabbit-igg-monoclonal-epr25a-isotype-control-ab172730'>ab172730</a> - Rabbit monoclonal IgG, is suitable for use as an isotype control with this antibody.</p>", "WB-species-checked": "testedAndGuaranteed", "WB-species-dilution-info": "1/1000 - 1/10000", "WB-species-notes": "<p>A blocking peptide is available for this antibody as <a href='/en-us/products/unavailable/human-egfr-peptide-ab205609'>ab205609</a>.</p>", "ICCIF-species-checked": "testedAndGuaranteed", "ICCIF-species-dilution-info": "1/100 - 1/250", "ICCIF-species-notes": "<p></p>" }, "Pig": { "IP-species-checked": "predicted", "IP-species-dilution-info": "", "IP-species-notes": "", "FlowCyt-species-checked": "notRecommended", "FlowCyt-species-dilution-info": "", "FlowCyt-species-notes": "", "WB-species-checked": "predicted", "WB-species-dilution-info": "", "WB-species-notes": "", "ICCIF-species-checked": "predicted", "ICCIF-species-dilution-info": "", "ICCIF-species-notes": "" } } }

Product details

What is this antibody validated in?
Anti-EGFR (phospho Y1068) antibody [Y38] (ab32430) is a rabbit recombinant monoclonal antibody and is validated for use in Western Blot (WB), Immunoprecipitation (IP), Immunocytochemistry/immunofluorescence (ICC/IF) in Human samples.

What is the molecular weight of EGFR?
Anti-EGFR (phospho Y1068) [Y38] (ab32430) specifically detects a band for EGFR (UniProt: P00533) at a molecular weight of 135kDa.

Trusted by the scientific community
Anti-EGFR (phospho Y1068) [Y38] (ab32430) was first used in a scientific publication in 2006 and has been cited over 40 times in peer-reviewed journals.

Trial sizes available!
Test your antibody or perform pre-screening before committing to a larger quantity. Sold in 10µl. Discover our selection of trial-size antibodies.

Other related products
We have a range of other formats of antibody clone [Y38] also available for your convenience: ab32430, Carrier free - ab171022, Alexa Fluor® 488 - ab237420, Alexa Fluor® 647 - ab237421

Species reactivity
Mouse, Rat: We have preliminary internal testing data to indicate this antibody may not react with these species.
Please contact us for more information.

Patented technology
Our RabMAb® technology is a patented hybridoma-based technology for making rabbit monoclonal antibodies. For details on our patents, please refer to RabMAb® patents.

What are the advantages of a recombinant monoclonal antibody?
This product is a recombinant monoclonal antibody, which offers several advantages including:

  • - High batch-to-batch consistency and reproducibility
  • - Improved sensitivity and specificity
  • - Long-term security of supply
  • - Animal-free batch production

For more information, read more on recombinant antibodies.

Properties and storage information

Form
Liquid
Purification technique
Affinity purification Protein A
Storage buffer
pH: 7.2 - 7.4 Preservative: 0.01% Sodium azide Constituents: PBS, 40% Glycerol (glycerin, glycerine), 0.05% BSA
Shipped at conditions
Blue Ice
Appropriate short-term storage duration
1-2 weeks
Appropriate short-term storage conditions
+4°C
Appropriate long-term storage conditions
-20°C
Aliquoting information
Upon delivery aliquot
Storage information
Avoid freeze / thaw cycle

Supplementary information

This supplementary information is collated from multiple sources and compiled automatically.

EGFR or Epidermal Growth Factor Receptor is a transmembrane glycoprotein that acts as a receptor for members of the epidermal growth factor family. Known alternatively as ErbB1 or HER1 this receptor has an approximate molecular weight of 170 kDa. EGFR is expressed in various cell types notably on epithelial cells and can influence multiple cellular processes through its kinase activity. It participates in the regulation of cell growth multiplication and survival by activating its kinase domain upon ligand binding.
Biological function summary

The EGFR protein plays an important role in cellular communication and signaling processes. EGFR pairs with other receptor family members to form active dimers or even higher-order complexes which in turn initiate intracellular signaling cascades. Through these complexes EGFR influences many processes including cell differentiation and repair. This function of EGFR makes it an integral part of mammalian biology affecting how cells respond to their environment by mediating changes in gene expression.

Pathways

EGFR is a central player in the MAPK and PI3K/Akt signaling pathways. Alongside other protein partners like KRAS and PI3 kinase it contributes to transmitting signals from the cell surface to the nucleus affecting gene transcription and cell behavior. These pathways are important for normal cell growth and division and aberrations in these pathways can lead to excessive or insufficient cell proliferation.

EGFR is pertinent to cancer biology including non-small cell lung cancer and glioblastoma where mutations or overexpression of the receptor frequently occur. It connects to proteins such as PTEN and BRAF which influence tumor progression and response to targeted therapies. EGFR's involvement in these disorders highlights its significance as a therapeutic target since it can be manipulated to alter disease progression.

Product protocols

For this product, it's our understanding that no specific protocols are required. You can visit:

Target data

The protein expressed by the EGFR gene functions as a receptor tyrosine kinase, binding with ligands from the EGF family to activate several signaling cascades that translate extracellular signals into cellular responses. Known ligands include EGF, TGFA/TGF-alpha, AREG, epigen, BTC/betacellulin, epiregulin, and HBEGF. Ligand binding triggers receptor dimerization and autophosphorylation, recruiting adapter proteins like GRB2 and activating complex downstream signaling pathways such as RAS-RAF-MEK-ERK, PI3 kinase-AKT, PLCgamma-PKC, and STATs, and possibly the NF-kappa-B cascade. EGFR also directly phosphorylates proteins like RGS16 and MUC1, influencing various cellular processes including its coupling with G protein-coupled receptor signaling and cell migration through interaction with CCDC88A/GIV. Isoform 2 of EGFR may act as an antagonist to EGF actions. In microbial infection, EGFR also serves as a receptor facilitating hepatitis C virus (HCV) entry into hepatocytes by promoting CD81-CLDN1 receptor complexes and enhancing membrane fusion with HCV envelope glycoproteins. This supplementary information is collated from multiple sources and compiled automatically.
See full target information EGFR phospho Y1068

Publications (47)

Recent publications for all applications. Explore the full list and refine your search

Scientific reports 15:23651 PubMed40603466

2025

TARG1 affects EGFR signaling through the regulation of RNA metabolism.

Applications

Unspecified application

Species

Unspecified reactive species

Mihály Mérey,Roberta Fajka-Boja,Gergely Imre,Péter Gudmann,Zsolt Török,Lajos Mátés,Ágnes Czibula,Gyula Timinszky

Oncology research 33:1459-1472 PubMed40486881

2025

Apatinib modulates sorafenib-resistant hepatocellular carcinoma through inhibiting the EGFR/JNK/ERK signaling pathway.

Applications

Unspecified application

Species

Unspecified reactive species

Dexue Fan,Wei Su,Zhaowen Bi,Xinxing Wang,Xianwen Xu,Mingze Ma,Lichao Zhu,Zhenhai Zhang,Junlin Gao

Life (Basel, Switzerland) 15: PubMed39860044

2025

Two Small Peptides from Hydrolysates Exhibit Antitumor Activity Through Inhibition of TNF-α-Mediated Signal Transduction Pathways.

Applications

Unspecified application

Species

Unspecified reactive species

Mengshuang Zhu,Shanshan Zhang,Jiyang Tang,Hairong Hou,Lizhen Wang,Houwen Lin,Xuanming Zhang,Meng Jin

ACS applied materials & interfaces 16:53489-53498 PubMed39348886

2024

Fluidic Interface for Surface-based DNA Origami Studies.

Applications

Unspecified application

Species

Unspecified reactive species

Miguel García-Chamé,Ivy Mayer,Leonie Schneider,Christof M Niemeyer,Carmen M Domínguez

Brain sciences 13: PubMed37759950

2023

The Crosstalk between the EGFR and IFN-γ Pathways and Synergistic Roles in Survival Prediction and Immune Escape in Gliomas.

Applications

Unspecified application

Species

Unspecified reactive species

Xingang Zhou,Tingyu Liang,Yulu Ge,Yu Wang,Wenbin Ma

Biology direct 18:33 PubMed37337223

2023

PSMD3-ILF3 signaling cascade drives lung cancer cell proliferation and migration.

Applications

Unspecified application

Species

Unspecified reactive species

Jin Zhang,Qianli Ma,Qiduo Yu,Fei Xiao,Zhenrong Zhang,Hongxiang Feng,Chaoyang Liang

Journal of cell science 136: PubMed36744428

2023

LRRK1 functions as a scaffold for PTP1B-mediated EGFR sorting into ILVs at the ER-endosome contact site.

Applications

Unspecified application

Species

Unspecified reactive species

Hiroshi Hanafusa,Keitaro Fujita,Misa Kamio,Shiori Iida,Yasushi Tamura,Naoki Hisamoto,Kunihiro Matsumoto

Analytical cellular pathology (Amsterdam) 2022:4846336 PubMed36046596

2022

N-Acetyl-L-Cysteine Protects Airway Epithelial Cells during Infection against Mucin Synthesis, Oxidative Stress, and Inflammatory Response and Inhibits HSPA6 Expression.

Applications

Unspecified application

Species

Unspecified reactive species

Lei Chi,Yuxia Shan,Zhenze Cui

Frontiers in immunology 13:912095 PubMed35958591

2022

ITGB4 Deficiency in Airway Epithelium Aggravates RSV Infection and Increases HDM Sensitivity.

Applications

Unspecified application

Species

Unspecified reactive species

Xizi Du,Lin Yuan,Ye Yao,Yu Yang,Kai Zhou,Xinyu Wu,Leyuan Wang,Ling Qin,Wenkai Li,Yang Xiang,Xiangping Qu,Huijun Liu,Xiaoqun Qin,Ming Yang,Chi Liu

International journal of biological sciences 18:349-359 PubMed34975337

2022

ITGB4 deficiency induces mucus hypersecretion by upregulating MUC5AC in RSV-infected airway epithelial cells.

Applications

Unspecified application

Species

Unspecified reactive species

Xizi Du,Yu Yang,Ming Yang,Lin Yuan,Leyuan Wang,Mengping Wu,Kai Zhou,Wenkai Li,Yang Xiang,Xiangping Qu,Huijun Liu,Xiaoqun Qin,Chi Liu
View all publications

Product promise

We are committed to supporting your work with high-quality reagents, and we're here for you every step of the way. In the unlikely event that one of our products does not perform as expected, you're protected by our Product Promise.
For full details, please see our Terms & Conditions

Please note: All products are 'FOR RESEARCH USE ONLY. NOT FOR USE IN DIAGNOSTIC OR THERAPEUTIC PROCEDURES'.

For licensing inquiries, please contact partnerships@abcam.com